A 62-year-old woman has experienced frequent heartburn for many years. For the last 2 months she has noted difficulty swallowing solid food. She reports that she can’t sleep except when sitting in her recliner chair; takes multiple antacid medications. Moderately obese, WBC 4,300, HCT 37%, MCV 82. What would you expect to see on gross and histological examination of this patient’s esophagus?
She is presenting with typical symptoms of GERD. Since she has had heartburn for many years, she is at risk for metaplasia to Barrett’s esophagus and possible dysplasia to esophageal adenocarcinoma. Grossly you would see deep pink areas among the normal pale squamous mucosa. Histologically you would see replacement of squamous cells by intestinal type columnar epithelium if she had Barrett’s esophagus. If she did not have Barrett’s you would see squamous hyperplasia and intraepithelial eosinophils.

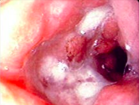
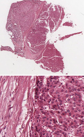
A 62-year-old man presented with dysphagia. 100 pack year smoking history; drinks 4-5 beers a night but is not an alcoholic; lifelong history of “heartburn”. Father died of cirrhosis of the liver, age 68; mother died of lung cancer, age 65. Thin male with raspy voice and dry, hacking cough; mild tremor of both hands; clubbing of fingertips. WC 7,400, HCT 36%, MCV 85. A barium swallow revealed extensive neoplastic obstruction in the middle third of the esophagus. What are common tumors that present this way?
50% of all esophageal carcinomas are adenocarcinomas (shown below). However, they usually present lower in the esophagus. With his lifestyle choices, squamous cell carcinoma is also common. Finally, leiomyomas can also occur in the esophagus.

This 67-year-old white woman was admitted for recent history of weight loss, recurrent nausea, vomiting and anorexia. She had a history of chronic atrophic gastritis and was noted to have developed hypochlorhydria for the last two years. Mother always had “stomach troubles”, died of MI age 78; husband works at the Smithfield ham packing plant. BMI 22. Thin, anxious female, HR 97, RR 23. WBC 4,200, HCT 34%, MCV 78. The upper GI series showed an ulcerated lesion in the lesser curvature of the pyloric antrum. A partial gastrectomy was performed. What is the most common cause of her condition?
She has gastric carcinoma. Adenocarcinoma is the most common cause of gastric malignancy. Rates are decreasing in the US, despite increased rate of gastric adenocarcinoma near the cardia from GERD.
This 52-year-old white male has an 18-month history of epigastric pain that occurs after eating. He reports a 30-pound weight loss over the past year. He has also had two episodes of massive hematemesis. Worked for Enron corporation, eats Tylenol like candy for stress headaches, takes OTC antacids daily. Father died of MI age 48; mother has depression and has attempted suicide twice. BMI 24, HR 78, RR 15. WBC 4,300 HCT 35%, MCV 78. Endoscopic biopsy of the stomach shows necrotic debris and mucus. Where are the most common locations for this condition to present?

Note the sharply punched-out border with mucosal scarring adjacent to the ulcer. This is a peptic ulcer. Peptic ulcers most commonly present in the 1) proximal duodenum 2) pyloric antrum & lesser curvature
This 30-year-old woman had been complaining of diffuse bone and knee pains. She had frequent loose stools for the past few months and occasional foul smelling stools. A small bowel biopsy was obtained. History of eczema and asthma as a child; never liked milk or dairy products. Mother died of lymphoma at age 50. Mild abdominal distention with prominent bowel sounds. WBC 6,300, HCT 38% MCV 90 Hb 13. Radiographs of the neck and spine showed early kyphosis with generalized demineralization. What is responsible for the kyphosis and osteomalacia seen in this patient? What other symptoms may present because of this?
She has Celiac disease. Villous atrophy causes a malabsorption of vitamin D, which impairs the body’s ability to deposit bone. She may also present with folate, B12 and Fe deficiency from malabsorption.
A 39-year-old white male had been treated for painful postprandial cramps and intermittent diarrhea for 5 years prior to colectomy three years ago. During the last two months he has suffered repeated episodes of steatorrhea and his body weight dropped from 165 to 135 lbs. For the last two weeks he has complained of transient joint stiffness and pain. Has tried numerous diets to help with symptoms, now eats mostly rice and cereal. Uncle and cousin have irritable bowel problems, another cousin has rheumatoid arthritis. Thin anxious male with diffuse abdominal tenderness. WBC 7,900 HCT 37%, Hg 12,MCV 75. What aspects of his history point toward a malabsorption disease?
This young, white male has Crohn disease. Joint pain may indicate malabsorption of vitamin D. Steatorrhea indicates malabsorption of fat. Low MCV indicates microcytic anemia, possibly from Fe malabsorption.
A 56-year-old journalist presented with symptoms of an acute abdomen. There was a long history of vague lower abdominal discomfort and occasional pain. He traveled frequently and often “ate on the run.” A stool sample was positive for occult blood. The WBC was 12,000 with a “shift to the left.” Endoscopy is shown below. What caused him to have this condition?

Diverticulitis is caused by increased intraluminal pressure in the colon along lines of weakness around the blood vessels that penetrate the inner muscular layer. The pressure pushes the mucosa and submucosa through the muscle wall causing a pseudodiverticulum. These then can become infected.

A 43-year-old male was admitted to the hospital because of repeated episodes of syncope. He had passed bloody stools over the past several months and had experienced intermittent episodes of diarrhea and constipation. A rectal exam was negative. Hematocrit was 24% with an MCV of 67 mm (fL). The stool was guaiac positive, 3+. Sigmoidoscopic exam revealed an almost encircling and ulcerated plaque-like lesion at 20 cm. Where is this patient at highest risk for metastatic cancer?
Liver is the most common site of metastasis for colonic adenocarcinoma.
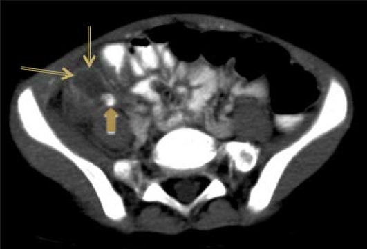
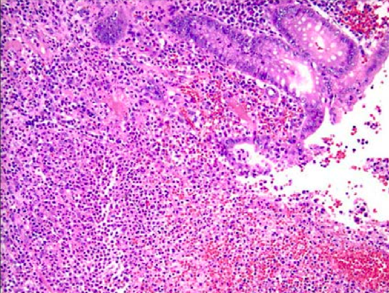
A 10-year-old female presented to the ER with right lower quadrant paim. PE was consistent with an acute abdomen. A rectal exam was negative. Increased WBC count with 12% bands. Abdominal CT consistent with periappendiceal abscess. What would you expect to see on histologic examination of her appendix?

Sloughed mucosa in lumen, PMNs everywhere, interstitial hemorrhage and dirty fat.

This three-week-old male infant presents with a mildly enlarged abdomen and a history or having only a few runny stools since birth. He was the 3400 gm product of an unremarkable pregnancy and delivery to a 25- year-old G2P2 mother. Passage of meconium did not occur until the end of the second day of life. Physical examination revealed a 3850-gram male infant with an enlarged lower abdomen, with a mass palpable in the left lower abdomen. His abdomen is mildly tender. What complications is he at risk for?
Hirschprung disease can result in stasis of stool, infection, enterocolitis, sepsis and/or bowl obstruction.
A 48-year-old G5 P5 woman with a history of cholelithiasis is admitted with vomiting and intense abdominal pain radiating to her back. BMI 30; Physical exam reveals decreased bowel sounds, abdominal tenderness and guarding. Serum amylase is 720 U/L (Nl=25-125), lipase 1350 U/L (Nl

Note the fat necrosis, hemorrhage and basophilic calcium deposits. This patient has pancreatitis. Genetic causes include PRSS1 (trypsin) and SPINK1 (trypsin inhibitor)
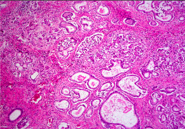
A 50-year-old alcoholic seeks medical attention for recurrent bouts of abdominal pain exacerbated with ethanol ingestion. Physical exam reveals decreased bowel sounds, abdominal tenderness and guarding. Serum amylase and lipase increased. Urine positive for glucose. Imaging studies show a large cystic mass in the pancreas and the presence of diffuse calcification and concretions within the pancreatic duct. What would you expect to see on histological examination of this patient’s pancreas?

Chronic pancreatitis presents with dilated ducts, diminished acini, fibrosis and inflammatory infiltrate.

This 49-year-old male, a heavy smoker, presented with a history of recurrent epigastric pain, nausea and vomiting for the past two months. He was found to have scleral icterus. A CT scan of the abdomen revealed a mass within the head of the pancreas. A laparotomy was performed yielding a firm, ill-defined mass within the head of the pancreas and infiltrating surrounding peripancreatic tissue. The patient died soon after surgery. What would you expect to see on histological examination of the tumor?
Most pancreatic cancers are adenocarcinomas. You would see desmoplastic reaction and perineural/perivascular invasion by the tumor.

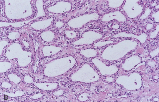
The patient is a 66-year-old woman who presented to the ER with abdominal pain.. Mass palpable in left upper quadrant. Imaging studies revealed cystic mass at the head of the pancreas. What would you expect to see on histologic examination of the mass?
Pancreatic serous cyst adenomas present with cuboidal cells lining cysts.

A 45-year-old obese woman G4P4 complains of right upper quadrant abdominal pain lasting over 6 months. The pain is usually worst after meals. Otherwise, she has no other complaints. What symptoms would she present with that would lead you to suspect cholanitis?
Charcot’s triad: pain, fever/chills and jaundice
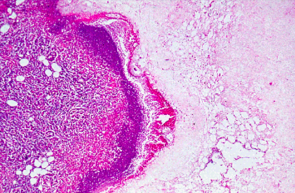
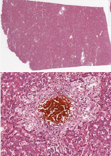
A 55-year-old woman developed ascites and died. There was a history of viral hepatitis associated with a blood transfusion 21 years ago while she worked in Taiwan as a missionary. She is diagnosed with hepatocellular carcinoma. What would you expect biopsy to look like?
*

A three-week old jaundiced male infant was born to a 26 year old G3 now P2 woman after an uncomplicated pregnancy and delivery. At birth the total bilirubin was 2.0 mg/dl, rising to 4.4 at four days of age then falling to 0.9 mg/dl at one week of age. At four weeks of age his mother noted that his sclera were “yellow” and brought him to their pediatrician. His bilirubin is now 7.8 mg/dl, of which 7.1 mg/dl is conjugated. Biopsy is shown below. What is your diagnosis?

Biliary obstruction
65 yo female with history of heart failure presents to the clinic with increasing swelling of the lower extremities and increasing fatigue. She had a myocardial infarction 2 years ago. Her father died of a MI at the age of 50. She has 2+ pitting edema of the lower extremities. She has had increasing levels of AST and ALT. What would you expect her liver biopsy to look like?
Passive liver congestion

How do you differentiate oropharyngeal dysphagia from esophageal dysphagia?
Oropharyngeal: neuromuscular etiology, difficulty with water and liquids. Esophageal: obstructive or peristaltic etiology, difficulty with solids first.
Presence of what cells in an esophageal biopsy would be concerning for adenocarcinoma?
Paneth and goblet cells
What are the genetic characteristics of this lesion?
Note the well-differentiated appearance of this squamous cell carcinoma. These involve loss of p53/p16 tumor suppressor genes and overexpression of RB.
Why is there a poor prognosis for esophageal cancer?
The esophagus is not lined by a serosa and the tumor can spread easily.
What are risk factors for this condition?
H. pylori, nitrates and smoking are all risk factors for development of gastric carcinoma. Note that H. Pylori can cause MALT, which can be cured by antibiotics.
What type of gastric carcinoma will commonly be missed on upper GI endoscopy?
Linitis plastica caused by signet-ring cells (shown below). This type of tumor is rare, most gastric tumors are exophytic or flat.