How do you know if you’re looking at a supine abdomen vs. upright abdomen?
Gas bubble and hemidiaphragms will be visible on the upright abdomen image.

What conditions is SBFT (small bowel follow through) good for imaging?

Chronic GI condition like Crohn’s: look for stricture, fistula, adhesions. Pediatric: look for transit times.
What conditions is barium enema good for imaging?

Ulcers and polyps
What modality is the workhorse for GI imaging?
CT is most sensitive. CT is also used in virtual colonography.

Downsides to virtual colonoscopy?
Can’t biopsy or remove polyps, sessile polyps are non-identifiable.
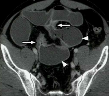
What is CT enterography good for using?

Looking for strictures and fistulas in patients with Crohn’s. MR is usually used, but CT enterography is used when people are claustrophobic, can’t sit still or have metal in them.
When is nuclear medicine used?
Identification of neoplasms or intermittent lower GI bleeds.
What images do you get in an abdominal series?
PA chest, supine abdomen and upright abdomen
What things do you look for in an abdominal radiograph?
Bones, stones, masses, gasses.

How do you know if you are looking at a supine abdominal view?
Pubic symphysis
What does this patient have in their gallbladder?

Gallbladder carcinoma, doppler tells you that they are not calcifications, they have vascularity.
What is your diagnosis?

Kidney stones
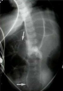
A child presents with fatigue, difficulty breathing and an abdominal mass. What is your diagnosis?

Wilm’s tumor
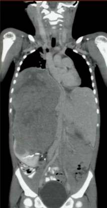
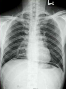
What does this patient have?

Hepatosplenomegaly
What does this patient have?

Ascities. Note increased density, central bowel loops, thickened peritoneal fat stripe, loss of other edges (liver, spleen and bladder)
What causes this?

Pneumoperitoneum can be caused by rupture of a hollow viscous from cancer, infection, infarction, surgery…
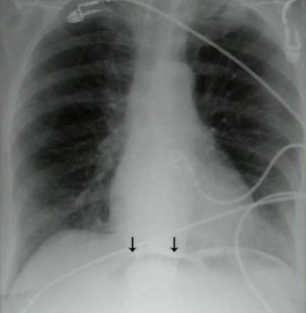
What sign is this?

Rigler sign, air on the inside and outside of the body, indicating pneumoperitoneum.
What sign is this?

Football sign indicating pneumoperitoneum
What sign is this?

Inverted V sign, indicating pneumoperitoneum
What sign is this?

Cupola sign, the patient is laying down and you see air below the hemidiaphragm
What sign is this?

Pneumobilia, common bile duct filled with air leading to air seen in center of liver, this is often from surgery, air from duodenum enters biliary tract, benign condition.
What is this condition associated with?

Portal venous gas is associated with ischemic bowel. Air seen in periphery of liver.
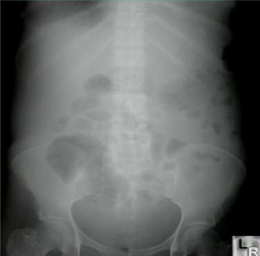
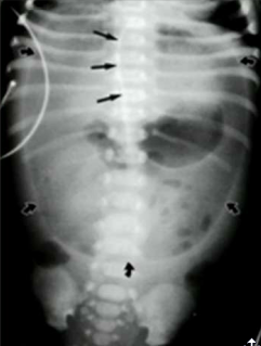
How do you determine if bowel is dilated?
3-6-9, 3cm at small bowel, 6cm at colon, 9cm at cecum.
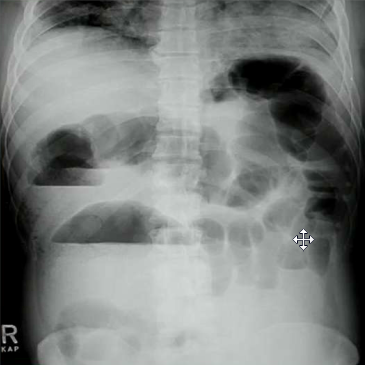
What are the top two causes of this?

1) Adhesions 2) Hernia. Note the dilated loops of bowel indicating small bowel obstruction.