Gonartrose Flashcards

(34 cards)

1
Q

Gonartrose
Epidemiologia

A
  • Mais comum em mulheres > 50 anos
  • Primária ou secundária

Se acometimento precoce pensar em doença reumatológica.

How well did you know this?
1
Not at all
2
3
4
5
Perfectly
2
Q

Gonartrose
Clínica (4)

A
  • Dor mecânica insidiosa, pior pela manhã
  • Rigidez matinal < 30 minutos
  • Limitação ADM
  • Deformidade mais comum → VARO
How well did you know this?
1
Not at all
2
3
4
5
Perfectly
3
Q

Gonartrose
Incidências RX iniciais

A

AP, Perfil e Axial de Merchant

Avaliar os 3 compartimentos do Joelho

How well did you know this?
1
Not at all
2
3
4
5
Perfectly
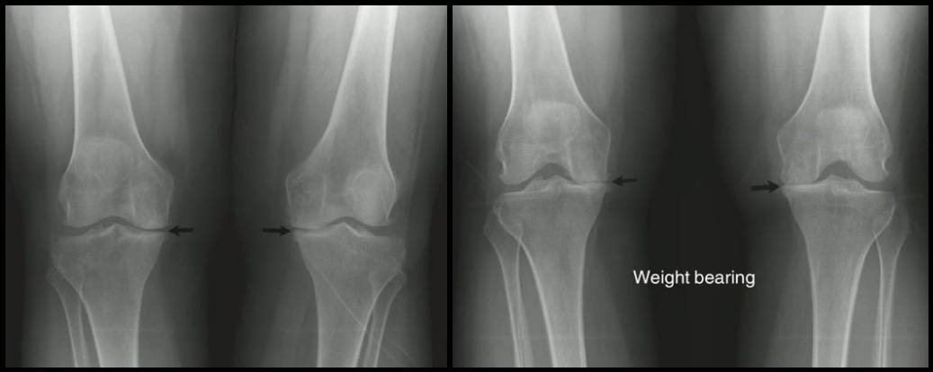
4
Q

Gonartrose
Incidências RX complementares (3)

A
  • AP com Carga
  • Rosemberg (PA com carga, Joelho fletido 45º, Raio incidindo na fossa poplítea com angulação Cranio-Caudal 10º)
  • Panorâmico → Avaliar Varo/Valgo
How well did you know this?
1
Not at all
2
3
4
5
Perfectly
5
Q

Gonartrose
Classificações (3)

A
  • Kellgreen-Lawrence
  • Dejour
  • Ahlback-Keyes
How well did you know this?
1
Not at all
2
3
4
5
Perfectly
6
Q

Gonartrose
Classificação de Kellgreen-Lawrence

A

Pouco utilizada.

How well did you know this?
1
Not at all
2
3
4
5
Perfectly
7
Q

Gonartrose
Classificação de Ahlback-Keyes (5)

A
How well did you know this?
1
Not at all
2
3
4
5
Perfectly
8
Q

Gonartrose
Classificação de Dejour (4)

A

Estágio 1: normal (10 anos para o 2)
Estágio 2: redução do espaço, osteófitos (8 anos para o 3)
Estágio 3: desalinhamento varo / valgo (2 anos para o 4)
Estágio 4: artrose grave, acometimento do LCA

Também leva nome na classificação de LCP e Instabilidade Patelofemoral

How well did you know this?
1
Not at all
2
3
4
5
Perfectly
9
Q

Gonartrose
Tratamento inicial (3)

A
  • Educação do Paciente
  • Atividade Física
  • Emagrecimento
How well did you know this?
1
Not at all
2
3
4
5
Perfectly
10
Q

Gonartrose
Tratamento Farmacológico
Glucosamina 1,5 g/dia (4)

A
  • Reduz progressão do estreitamento articular / dor
  • Aumento da síntese de proteoglicanas, glicosaminoglicanas e ácido hialurônico
  • Down regulation dos receptores de IL-1 e NO
  • Reduz síntese de metaloproteinases
How well did you know this?
1
Not at all
2
3
4
5
Perfectly
11
Q

Gonartrose
Tratamento Farmacológico
Condroitina 1,2 g/dia (4)

A
  • Não Reduz progressão do estreitamento articular (Reduz Dor)
  • Aumento da síntese de proteoglicanas, glicosaminoglicanas e ácido hialurônico
  • Down regulation dos receptores de IL-1 e NO
  • Reduz síntese de metaloproteinases
How well did you know this?
1
Not at all
2
3
4
5
Perfectly
12
Q

Gonartrose
Tratamento Farmacológico
Diacereína (4)

A
  • Não Reduz progressão do estreitamento articular (Reduz Dor)
  • Aumento da síntese de proteoglicanas, glicosaminoglicanas e ácido hialurônico
  • Down regulation dos receptores de IL-1 e NO
  • Reduz síntese de metaloproteinases

Efeito colateral Diacereína: DIARREIA

How well did you know this?
1
Not at all
2
3
4
5
Perfectly
13
Q

Gonartrose
Tratamento Cirúrgico
Opções (3)

A
  • Artroscopia
  • Osteotomias
  • Artroplastia
How well did you know this?
1
Not at all
2
3
4
5
Perfectly
14
Q

Gonartrose
Tratamento Cirúrgico
Indicação da Artroscopia

A

Bloqueio articular por corpo livre

How well did you know this?
1
Not at all
2
3
4
5
Perfectly
15
Q

Gonartrose
Tratamento Cirúrgico
Indicação da Osteotomia (3)

A
  • Varo até 15º → Osteotomia Valgizante
  • Artrose Unicompartimental (Dor em tal compartimento)
  • 5ª - 6ª década de vida, Ativos
How well did you know this?
1
Not at all
2
3
4
5
Perfectly
16
Q

Gonartrose
Tratamento Cirúrgico
Opções da Osteotomia Valgizante (2)

A
  • Cunha de abertura medial
  • Cunha de fechamento lateral
17
Q

Gonartrose
Tratamento Cirúrgico
Planejamento do ângulo de correção da Osteotomia Valgizante ?

A

Ponto de Noyes (62,5% lateral no eixo horizontal do joelho)
Ângulo linhas:
* Centro da cabeça femoral até Noyes
* Centro do tornozelo até Noyes

1 mm da cunha = 1º de correção // Posterga ATJ por 5 - 10 anos

18
Q

Gonartrose
Tratamento Cirúrgico
Opções da Artroplastia (2)

A
  • Unicompartimental
  • ATJ
19
Q

Gonartrose
Tratamento Cirúrgico
Indicações Artroplastia Unicompartimental (3)

A
  • Sem grandes deformidades
  • Artrose Unicompartimental (Dor em tal compartimento)
  • Baixa Demanda

Indicações como na Osteotomia Valgizante, mas com baixa demanda.

20
Q

Gonartrose
Tratamento Cirúrgico
Indicações ATJ e CI Absolutas (5)

A

Indicação: Alívio da Dor
CI Absolutas:
* Pioartrite recente
* Infecção ativa em qualquer sítio
* Mecanismo extensor incompetente
* Recurvato por insuficiência muscular
* Artrodese funcional e indolor

21
Q

Gonartrose
ATJ
Etapas da Cirurgia (5)

A
  • Acesso
  • Cortes ósseos (Femoral, Tibial, Femoral Posterior)
  • Preparação Tibial
  • Preparação Patelar
  • Balanceamento dos GAPS
22
Q

Gonartrose
ATJ
Vias de Acesso (3)

A
  • Parapatelar medial
  • Subvasto medial
  • Midvasto medial
23
Q

Gonartrose
ATJ
Cortes ósseos (3)

A
  • Femoral → 5 - 7º de Valgo
  • Tibial → Corte Transverso de 10 mm ou 2mm do compartimento mais acometido
  • Femoral Posterior → 3º Rotação Externa
24
Q

Gonartrose
ATJ
Próximo passo após cortes ósseos

A

Preparação Tibial (Impacção e Medida do implante)

25
**Gonartrose** ATJ Próximo passo após preparação tibial
Preparação Patelar: Corte da Superficie Articular da Patela, preservando 12mm da sua espessura Implante da patela mais medial → ↓ Ângulo Q | Controverso, Alguns não fazem essa etapa
26
**Gonartrose** ATJ Balanceamento dos GAPS (4)
* Extensão e Flexo **frouxos:** Aumentar o polietileno * Extensão e Flexo **tensos:** Diminuir o poli // Aumentar corte tibial * **Extensão tensa:** Liberação osteófitos posterior // Aumentar corte femoral distal * **Flexão tensa:** Diminuir o componente femoral // Sacrifício do LCP
27
**Gonartrose** ATJ Procedimentos adicionais para deformidades Varo/Valgo
* Pie Crusting * Enxerto ósseo / cunha metálica se grande depressão
28
**Gonartrose** ATJ - Complicações Pos-OP
* Rigidez (17%) por artrofibrose * Infecções (3,8%) * Desgaste da Prótese * FX Periprotética (2,5%)
29
**Gonartrose** ATJ - Complicação Pos-OP Diagnóstico Infecção
1 critério Maior OU 3 menores **Maiores:** * 2 culturas com a mesma bactéria * Fístula **Menores:** * Aumento VHS e PCR * Leuco no líquido sinovial * PMN no líquido sinovial * Cultura por punção * Histologia Positiva
30
**Gonartrose** ATJ - Complicação Pos-OP Classificação Infecção (4)
SEGAWA **Tipo 1:** DX no ato cirúrgico **Tipo 2:** Aguda (< 1 mês) **Tipo 3:** Hematogênica aguda **Tipo 4:** Crônica ( > 1 mês)
31
**Gonartrose** ATJ - Complicação Pos-OP TTO Infecção
Segawa 2 e 3 → Limpeza e troca do Poli Segawa 4 → Limpeza e troca da Prótese | Padrão ouro em 2 tempos → Primeiro limpeza, e depois Implante
32
**Gonartrose** ATJ - Complicação Pos-OP Tratamento da Rigidez (4)
* Fisioterapia * Manipulação sob anestesia até o 3º mês * Artroscopia até o 6º mês * Liberação aberta após o 6º mês
33
**Gonartrose** ATJ - Complicação Pos-OP FX Periprotética, principal local e Fatores de Risco (5)
* Femur Distal * Corte exagerado da cortical anterior * Baixa densidade óssea * Artrite Reumatoide * Osteólise
34
**Gonartrose** ATJ - Complicação Pos-OP FX Periprotética. Tratamento (2)
**Prótese Estável** * Sem desvio OU osso ruim → Imobilizar * Com desvio → Fixação **Prótese Instável** * Prótese de Revisão (Pode precisar de Enxerto)