Lesões do LCA Flashcards

(14 cards)

1
Q

Lesões do LCA
Origem
Inserção
Porção mais forte

A

Origem: Superfície póstero-medial do côndilo lateral
Inserção: Medial à inserção do corno anterior do menisco lateral
Porção mais forte: Porção Tibial (Rompe na parte femoral ou intra-substancial)

How well did you know this?
1
Not at all
2
3
4
5
Perfectly
2
Q

Lesões do LCA
Bandas do LCA, tensas em ?

A

FAMília apPLE
Anteromedial tensa em Flexão
Posterolateral tensa em Extensão

How well did you know this?
1
Not at all
2
3
4
5
Perfectly
3
Q

Lesões do LCA
Mecanismo do Trauma

A

Rotação interna + Stress em Valgo

Entorse Relativo → Rotação interna do femur (Rotação Externa da Tibia)

How well did you know this?
1
Not at all
2
3
4
5
Perfectly
4
Q

Lesões do LCA
Fatores de Risco (4)

A
  • Sexo Feminino
  • Frouxidão Ligamentar
  • IMC Elevado
  • Estenose do Notchin Intercondilar

Sexo Feminino → Estenose do Notching e Frouxidão

How well did you know this?
1
Not at all
2
3
4
5
Perfectly
5
Q

Lesões do LCA
Lesões Associadas (3)

A
  • Menisco Lateral → Agudo (Stress em Valgo)
  • Meniso Medial → Crônico
  • Lesão Osteocondral → Côndilo Lateral
How well did you know this?
1
Not at all
2
3
4
5
Perfectly
6
Q

Lesões do LCA
Lesões Associadas: Tríade de O’Donoghe

A

LCA + LCM + Menisco Medial

How well did you know this?
1
Not at all
2
3
4
5
Perfectly
7
Q

Lesões do LCA
Testes Especiais para cada banda

A
  • Lachman → Banda AM (É o mais SENSÍVEL)
  • Pivot Shift → Banda PL (É o mais ESPECÍFICO)
How well did you know this?
1
Not at all
2
3
4
5
Perfectly
8
Q

Lesões do LCA
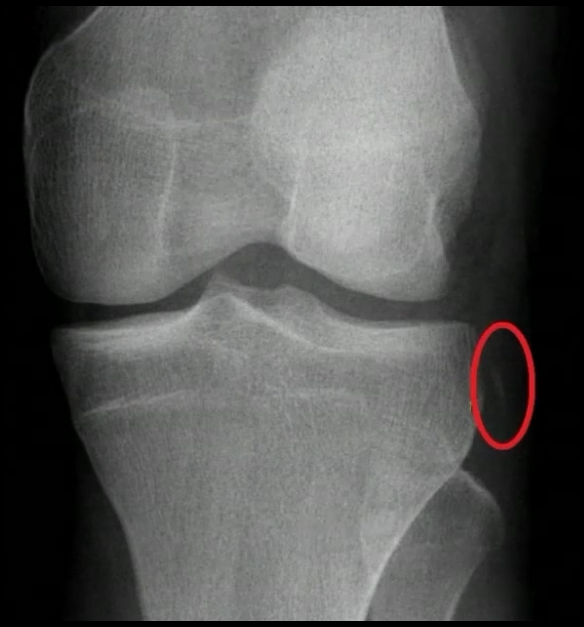
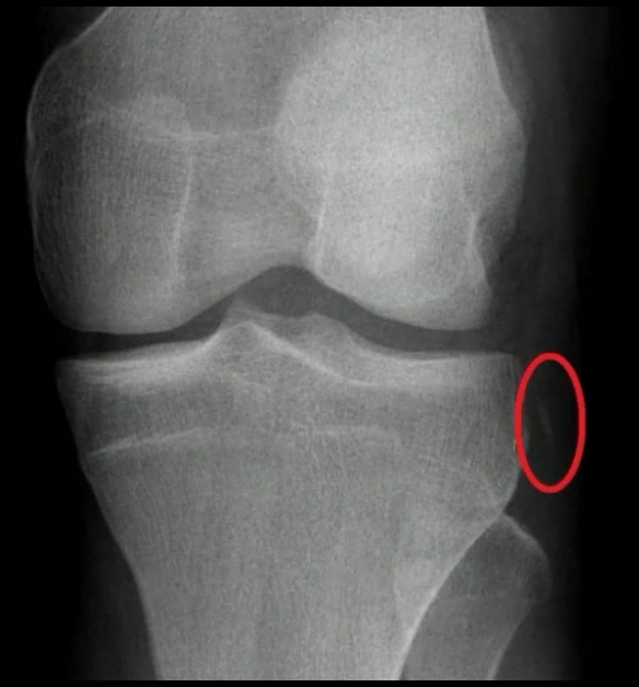
Exame de Imagem: RX ?

A

Investigar Lesões Associadas

Lesão de Segond → Patognomônico de lesão LCA

How well did you know this?
1
Not at all
2
3
4
5
Perfectly
9
Q

Lesões do LCA
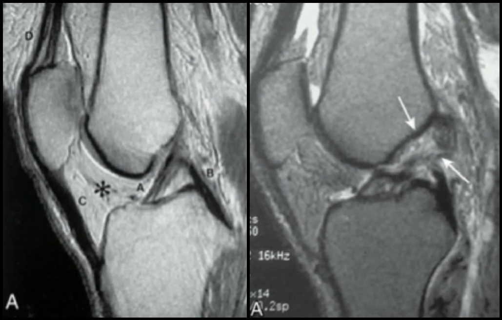
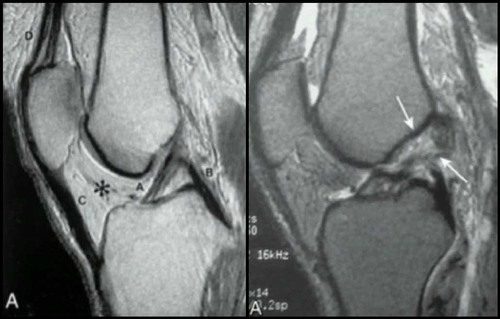
Exame de Imagem: RNM?

A

Lesão do LCA → Melhor visto no corte Sagital
Lesão Osteocondral → Edema Ósseo
Lesões Meniscais

How well did you know this?
1
Not at all
2
3
4
5
Perfectly
10
Q

Lesões do LCA
TTO Conservador (3)

A
  • Poucos Sintomas, Baixa Demanda
  • Fortalecimento
  • Brace
How well did you know this?
1
Not at all
2
3
4
5
Perfectly
11
Q

Lesões do LCA
TTO Cirúrgico
Agudo x Retardado
Anatômico x Isométrico
Flexores x Patelar

A
  • Agudo → Avulsão Óssea
  • Retardado → Melhora do Edema, ADM completa antes da CX ( ↓ Chance de Artrofibrose)
How well did you know this?
1
Not at all
2
3
4
5
Perfectly
12
Q

Lesões do LCA
TTO Cirúrgico
Agudo x Retardado
Anatômico x Isométrico
Flexores x Patelar

A
  • Anatômico → Posição nativa, controla instabilidade rotatória, banda simples ou dupla.
  • Isométrico → Direção Única, não controla rotação

Padrão Ouro → Anatômica com BANDA SIMPLES

How well did you know this?
1
Not at all
2
3
4
5
Perfectly
13
Q

Lesões do LCA
TTO Cirúrgico
Agudo x Retardado
Anatômico x Isométrico
Flexores x Patelar

A

Flexores:
Vantagens: ↑ Resistência, ↑ Elasticidade, ↓ Morbidade (Sangramento, dor)
Desvantagens: Sem fixação óssea (Maior tempo para liberar esportes), ↓ Força de Flexão (Importante para Atletas)

Patelar:
Vantagens: Consolidação óssea, Sem perda força de flexão
Desvantagens: Fratura de patela, Ruptura Lig. Patelar, Menos Flexível

How well did you know this?
1
Not at all
2
3
4
5
Perfectly
14
Q

Lesões do LCA
TTO Cirúrgico - Posicionamento do Enxerto
Túnel Femoral
Túnel Tibial

A

Túnel Femoral → Posterior
* Frouxo em flexão, tenso em extensão (Banda PL)

Túnel Tibial
* Anterior → Evitar Impingment (Atrito no intercondilo)
* Se posterior causa instabilidade rotacional (Muito verticalizado)

How well did you know this?
1
Not at all
2
3
4
5
Perfectly