Heart Flashcards

(29 cards)

1
Q

What is the most common cause of congenital arrhythmia?

A

Maternal systemic lupus erythematosus (SLE).

How well did you know this?
1
Not at all
2
3
4
5
Perfectly
2
Q

What is the most common congenital cardiac malformation? Most common congenital cardiac anomaly?

A
  • “VSD is most common congenital cardiac malformation
  • “ASD is most common congenital cardiac anomaly, usually asymptomatic until adulthood”
How well did you know this?
1
Not at all
2
3
4
5
Perfectly
3
Q

What heart abnormality is seen in Turner’s?

A

Preductal coarctation of the aorta

They also get single umbilical artery

How well did you know this?
1
Not at all
2
3
4
5
Perfectly
4
Q

What are the 4 components of Tetralogy of Fallot?

A

Right to left shunt

– Overriding aorta

– Pulmonary valve stenosis

– Ventricular septal defect

– Right ventricular hypertrophy

How well did you know this?
1
Not at all
2
3
4
5
Perfectly
5
Q

What is the caveat when dating myocardial infarctions?

A

If the patient has had ANY type of reperfusion therapy, you can no longer accurately date the infarct

How well did you know this?
1
Not at all
2
3
4
5
Perfectly
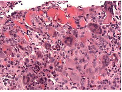
6
Q

BQ! If you see a heart slide showing giant cells, lymphocytes and eosinophils, what should be in your differential OTHER than sarcoidosis?

A

Giant cell myocarditis aka Fieldler’s myocarditis

Rapidly progressing disease of young adults, immediate need for transplant

Other differential is hypersensitivity myocarditis secondary to methyldopa (high yield!)

How well did you know this?
1
Not at all
2
3
4
5
Perfectly
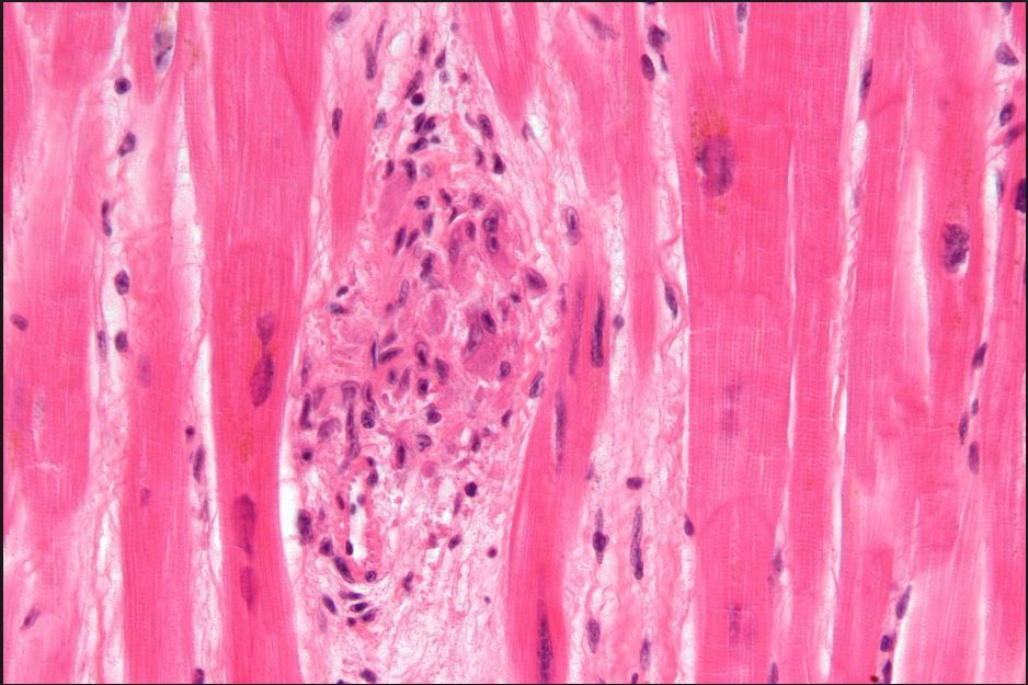
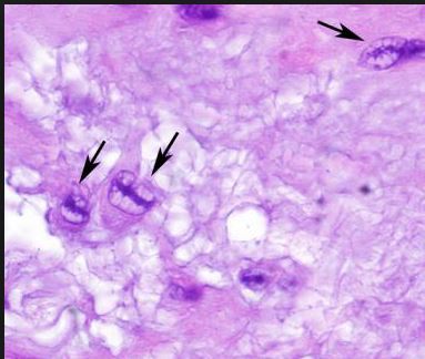
7
Q

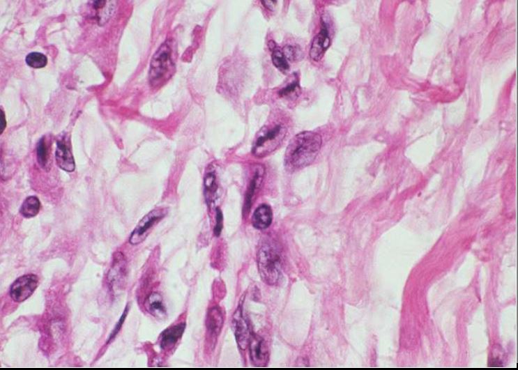
What type of myocarditis is being shown here and how can you tell?

A

Rheumatic myocarditis which is a pancarditis

The picture is showing Anitschkow cell from an Aschoff nodule—

fibrinoid necrosis of heart muscle
– Anitschkow cell (histiocytes with condensed chromatin give caterpillar like appearance)
– Aschoff cells (MN giant cells)
– Collagenolysis

How well did you know this?
1
Not at all
2
3
4
5
Perfectly
10
Q

What disease is this? (instant recognition!)

A

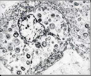
Fabry’s disease

X-linked recessive form of sphingolipidosis due to
deficiency of alphagalactosidase A
Angiokeratomas, renal insufficiency & cardiac failure
Histology: vacuolated myocytes

EM shows intralysosomal dense lamallae with concentric
or packed arrangement (Zebra bodies)

How well did you know this?
1
Not at all
2
3
4
5
Perfectly
11
Q

If stem gives a person who is taking Adriamycin, what is the next step in management?

A

GET EM!

Grading scheme based on sarcotubular dilatation
(vacuolization) and myofibrillar loss

How well did you know this?
1
Not at all
2
3
4
5
Perfectly
12
Q

What uncommon disorder is characterized by markedly thin RV replaced by fat?

A

Arrhythmogenic RV Dysplasia

How well did you know this?
1
Not at all
2
3
4
5
Perfectly
13
Q

What cardiac tumor is being shown?

A

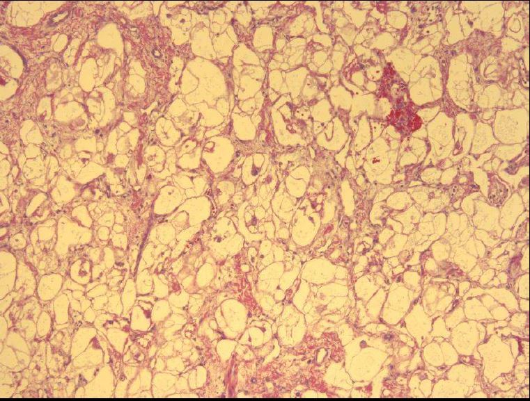
Rhabdomyoma

MOST COMMONLY IN LEFT VENTRICLE

Most common primary cardiac tumor of
infancy and childhood

May be sporadic, but >50% associated with TS
Eosinophilic, polygonal cells with large glycogen-rich cytoplasmic vacuoles with stranding “spider cells”

How well did you know this?
1
Not at all
2
3
4
5
Perfectly
14
Q

What is a McCallum’s patch?

A

Endocardial inflammation in acute rheumatic heart disease
Endocardium becomes white (scar)

How well did you know this?
1
Not at all
2
3
4
5
Perfectly
15
Q

What is Libman Sacks endocarditis?

A

seen in lupus erythematosus
Vegetations covering both sides of valve surfaces
Fibrinoid necrosis & inflammation

How well did you know this?
1
Not at all
2
3
4
5
Perfectly
16
Q

What is molecular event seen in 50% of hypertrophic cardiomyopathy?

A
Defect in ß myosin heavy chain on
chromosome 14 (50%)
How well did you know this?
1
Not at all
2
3
4
5
Perfectly
19
Q

Where do cardiac myxomas occur?

A

75% in the left atrium

How well did you know this?
1
Not at all
2
3
4
5
Perfectly
23
Q

Alterations in the expression of miRNAs (micro RNAs) is associated with which pathologic process in the heart?

A

Cardiac hypertrophy

24
Q

BQ SLIDE!

What is this lesion in the heart?

A

Rheumatic Heart Disease

Picture is showing the characteristic Aschoff nodule composed of Anitschkow cells (seen here)

25
Q

This tumor shown:

  • Second most common primary heart tumor, ¾ of all valve tumors
  • Aortic valve
  • Grossly resembles lambl excrescences (LE) but is on surface of valve and LE are on valve closure
  • Histo – avascular papillae lined by endothelium
A

Papillary Elastofibroma

26
Q

What is the main difference between giant cell myocarditis (shown here) and hypersensitivity myocarditis?

A

HS will have eosinophils (shown here)

27
Q

What is the most common congenital heart malformation?

28
Q

What is tetralogy of Fallot?

A

VSD with an obstruction of the right ventricular outflow track known as subpulmonary stenosis, an overriding aorta, and right ventricular hypertophy

29
Q

What cardiac manifestation is most likely to develop secondary to carcinoid?

A

Tricuspid valve insufficiency

30
Q

What syndrome has arrhythmogenic right ventricle cardiomyopathy and hyperkeratosis of the palmer and plantar skin surfaces and is from a mutation in the plakoglobin gene?

A

Naxos syndrome

31
Q

What are the large, medium and small vessel vasculitides?

A

Large: Giant Cell Arteritis and Takayasu’s

Medium: polyarteritis nodosa and Kawasaki’s

Small: Wegener’s, Churg Strauss and microscopic polyangiitis

32
What cardiac tumor is positive for calretinin?
Cardiac myxoma ## Footnote _Other calretinin + tumors_: Adenomatoid tumor Sex-cord stromal tumors Adrenocortical tumors Mesothelioma
33
What is the mutation in Carney syndrome (cardiac myxomas, endocrine issues, etc)?
Autosomal dominant mutation of PRKAR1A (protein kinase A) ## Footnote **Myxoid lesions:** cardiac myxoma, skin angiomyxoma, myxoid fibroadenoma of the breast **Pigmented and calcifying lesions:** spotty skin pigmentation, epithelioid blue nevus, pigmented nodular adrenocortical hyperplasia, psammomatous melanotic schwannoma, large cell calcifying sertoli cell tumor **Endocrine hyperactivity:** pituitary adenoma, chondroid hamartoma
37
What is the number one cause of bacterial myocarditis worldwide?
Corynebacterium diphtheriae
39
This lesion: * Related to coronary artery dz but occurs only in transplant pts * Histo – _concentric intimal thickening_ of _intramyocardial_ vessels * Can see complete obstruction of vessel lumen and ischemic damage * Limiting factor for long term success of heart transplant and main cause of death in long term survivors
Cardiac allograft vasculopathy
41
What are the lesions that recur after cardiac transplant?
* Sarcoid * Giant cell myocarditis * Amyloid * Chagas’ dz * Fabry dz