Kidney Flashcards

(3 cards)

1
Q

Which two pediatric tumors have a t(12;15) translocation?

A

Congenital mesoblastic nephroma and fibrosarcoma

How well did you know this?
1
Not at all
2
3
4
5
Perfectly
2
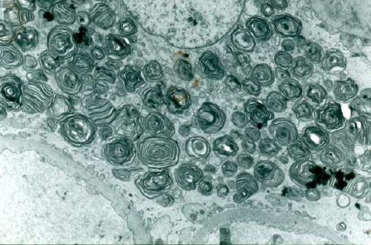
Q

BQ! What disease is this EM showing?

A

Fabry’s Disease: X-linked lysosomal storage disease that is caused by deficient activity of lysosomal enzyme α -galactosidase A. Abnormal storage product, “zebra
bodies” are seen in a podocyte.

How well did you know this?
1
Not at all
2
3
4
5
Perfectly
3
Q

What is the syndrome associated with WT1? WT2?

A

WAGR syndrome (WT-1)

– Wilms tumor

– Aniridia

– Genital anomalies

– Mental Retardation

Beckwith-Wiedemann syndrome (WT-2)

  • Wilms tumor
  • Hepatoblastoma
  • Congenital anomalies

– Macroglossia

– Macrosomia

– Midline abdominal wall defects

  • Ear abnormalities
  • Neonatal hypoglycemia
How well did you know this?
1
Not at all
2
3
4
5
Perfectly