What are the most common inheritance patterns for hereditary spherocytosis?
75% autosomal dominant
25% non-dominant
Homozygous dominant extremely rare
What is the classic clinical presentation of hereditary spherocytosis?
Anemia, jaundice, splenomegaly and intermittent abdominal pain (gallstones).
What proteins are affected in hereditary spherocytosis?
What disorder shows the following?
Hb: mildly low
MCV: low
MCHC: high
RDW: high
Retic: >3% (corrected)
Splenomegaly
Hereditary spherocytosis.
*Bonus: splenomegaly does not occur in mild hereditary elliptocytosis.
What is the diagnosis?

Normal or iron deficiency anemia
An eight year old child presents with microcytic anemia. The mother says genetic testing said there was something wrong with chromosome 16. What is the likely diagnosis?
Alpha thalessemia.
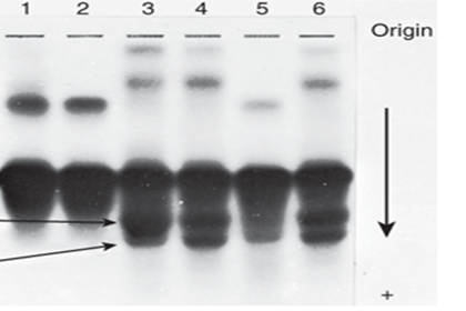
What is the first lane?
The second?

Name the 4 following hemoglobinopathies:


What is the hemoglobinopathy shown in lanes 3, 4 and 6?

Hemoglobin Constant-Spring (a-Thal: –/acsa)
Characterized by abnormally long/large Hb-A protein that shows minimal migration from the origin.
Which hemoglobins are visible on alkaline e-phoresis and disappear on acid e-phoresis?
Hb-A2
Which hemoglobins are not visible on alkaline e-phoresis, but appear on acid e-phoresis?
Hb-C: appears in the Hb-A2 lane on alkaline, but just past Hb-S on acid.
Also Hb E, Hb O-Arab, and Hb C-Harlem migrate with C in the area of Hb A2; all of which separate from Hb A on acid, except Hb E, which appears with Hb A
What is the geographic location of Hb-C
Western Africa
What are the morphologic features and clinical implication of Hb-C?
Numerous target cells with mild microcytosis. There is no clinical symptomatology.
Name this disease and presentation.

Hb-C; asymptomatic
On alkaline e-phoresis, where will Hb F migrate?
Between Hb S and Hb A.