When is the the embryonal period in lung development and what is it?
26 days - 6 weeks
Development of proximal airways (R&L bronchi & 10 segmental bronchi)
Pulmonary arteries from from 6th arch at end of 6 weeks
When is the the pseudoglandular period in lung development and what is it?
6-16 weeks
Development of terminal bronchioles, division of lobules & acini; pseudostratified columnar epithelium
Bonus answer:
8 weeks: lymphatics into lung (week 8)
10-13 weeks: cartilage, SmM, cilia, goblet cells
15-16 weeks: tubular submucosal glands
When is the the acinar/cannalicular period in lung development and what is it?
16-28 weeks
Vascularizaiton w/growth of cannaliculi (respiratory bronchioles) and alveolar ducts (eventually alveolar saccules) from terminal bronchioles
Bonus Answer:
Type II alveolar cells –> surfactant synthesis
Type I alveolar cells differentiate from Type II
Capillaries proliferate under Type I cells
Cartilage extension to distal bronchi (week 24)
When is the the saccular period in lung development and what is it?
28-34 weeks
Subdivision saccules, respiratory bronchioli, interstitial tissue shrinks, fibroblasts differentiate, production of collagen, ECM & elastin, Double capillary network, early gas exchange (32 weeks)
When is the the alveolar period in lung development and what is it?
34 weeks-2 years post natal
Lymphatics extend through interlobular septae to pleura
Double to single capillary bed (air-blood barrier = 0.2 microns)
Induction of surfactant (from 32 weeks, maternal glucocort)
Type II pneumocytes increase
What period of lung development is this?

Embryonal
What period of lung development is this?

Pseudoglandular
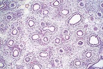
What period of lung development is this?

Pseudoglandular
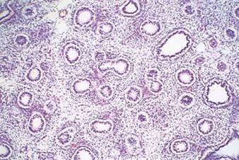
What period of lung development is this?

Pseudoglandular
What period of lung development is this?

Cannalicular
What period of lung development is this?

Saccular
What period of lung development is this?

Saccular
What period of lung development is this?

Alveolar
What signals induce surfactant production from Type II pneumocytes
Exercise, hyperinflation, steroids
What gene is required for production/expression of SP-A, B, C and ABCA3
TTF-1
What are the 5 primary lipoproteins comprising surfactant?
Large: SP-A & SP-D
Small: SP-B & SP-C
When is steroid administration recommended to prevent surfactant deficient IRDS in prematurity?
28-34 weeks
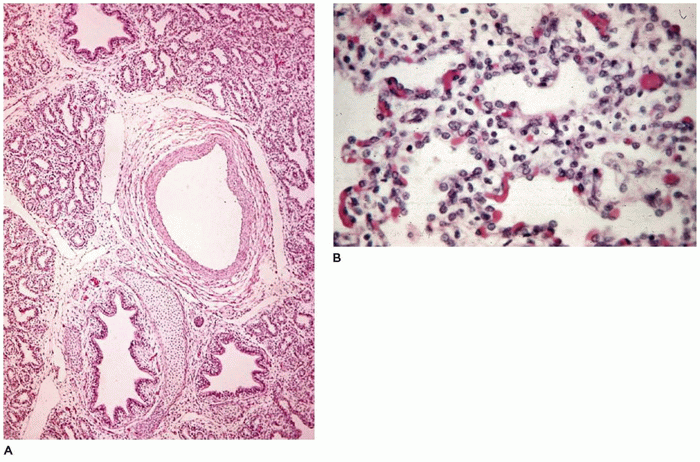
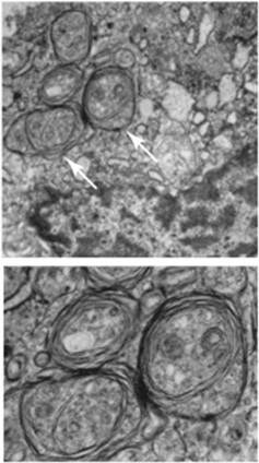
Lung biopsy: what disease?

Surfactant SP-B deficient
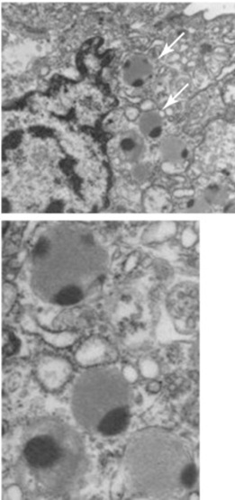
Lung biopsy: what disease?

Surfactant ABCA3 deficient
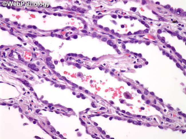
Lung biopsy: neonate in ARDS
What is this?

Early surfactant deficiency
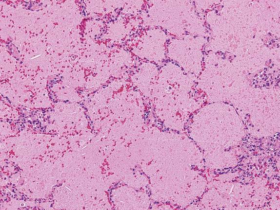
Lung biopsy: neonate in ARDS
What is this?
BQ: What is differential?

Surfactant deficiency
DDx: congenital alveolar proteinosis
What is the mechanism of congenital pulmonary alveolar proteinosis?
Failure of surfactant degradation/clearance due to mutations in CSF2RA or CSF2RB (GC-CSF)
*can also be cause by receptor autoantibody
What is choanal atresia?
What syndrome is associated with it?
Occlusion of airway between nasal passage & nasopharynx.
Ass’d w/CHARGE syndrome
What 2 syndromes are frequently associated with laryngomalacia?
Pierre Robin, cri-du-chat