What are the boundaries of the middle mediastinum?
Contents of the middle medistinum?
Describe the pericardium
A.A closed, fibroserous sac surrounding the heart and origins of great vessels.

Describe the fibrous pericardium
Describe the serous pericardium
Describe the two clinical correlations of the pericardial sac
What are the pericardial sinuses?
Transverse pericardial sinus
oblique pericardial sinus
Describe the transverse pericardial sinus
what is the clinical correlation associated with this structure?
Describe the oblique pericarial sinus
What are the sternopericardial attachments?
Superior sternopericardial ligament
Inferior sternopericardial ligament
phrenopericardial ligaments
Describe the pericardial vascular supply
Describe the pericardial innervation
What happens if the serous pericardial membranes become inflamed?
If the serous pericardial membranes become inflamed (pericarditis), they become rough and no longer slide easily over one another. Pericarditis can be very painful due to the presence of pain fibers in the fibrous and parietal pericardium (There are no pain fibers in visceral pericardium).
Describe a cardiac tamponade
Surgeons and ER docs call this:
Beck’s Triad
Mnemonic - 3 D’s:
What is Dressler’s syndrome?
Post MI pericarditis
Detail the flow of blood through the heart beginning with deoxygenated blood.
Blood is pumped from the left ventricle to the systemic circulation through the aorta.
What are the external sulci of the heart?
Describe the surfaces and borders of the heart
(3 borders, 4 surfaces)
What forms the base and apex of the heart?
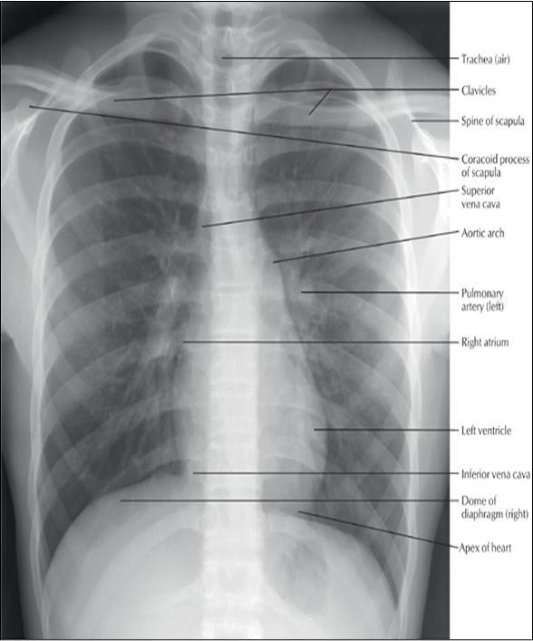
Identify the tagged structures!


Describe the function of the fibrous skeleton of the heart
a. Provide structural support for heart valves; maintaining patency and preventing distention during heart contraction.
b. Provide attachment sites for the cardiac muscle and for the valve leaflets.
c. Insulates against impulse conduction from atria to ventricles; prevents aberrant spread of impulses.
d. Provides tunnel for passage of the A/V Bundle (of His)
Describe the structure of the fibrous skeleton of the heart
Describe the ratio of the atrial wall to the right ventricular wall to the left ventricular wall.
1:3:9

What are the noteable features of the right atrium?