Five densities of radiography?
–Air
–Fat
–Soft tissue/Water
–Calcification
–Metal
Define consolidation
•“An exudate or other product of disease that replaces alveolar air, rendering the lung as solid.”
type of opacity
What are the three subdivisions of interstitial?
What are the major interstitial pathological patterns?
1.
–Bronchovascular
–Parenchymal (intralobular)
–Subpleural
2.
–Reticular
–Nodular
–Septal
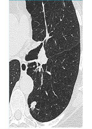
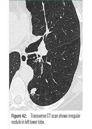
Define nodule, and mass
•Rounded opacities measuring up to 3 cm and greater than 3 cm, respectively.
What abnormality do you see here?


What is atelectasis?
•Reduced inflation of all or part of the lung”
•Decreased lung volume with focal increased opacity
(type of consolidation)
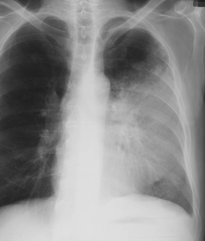
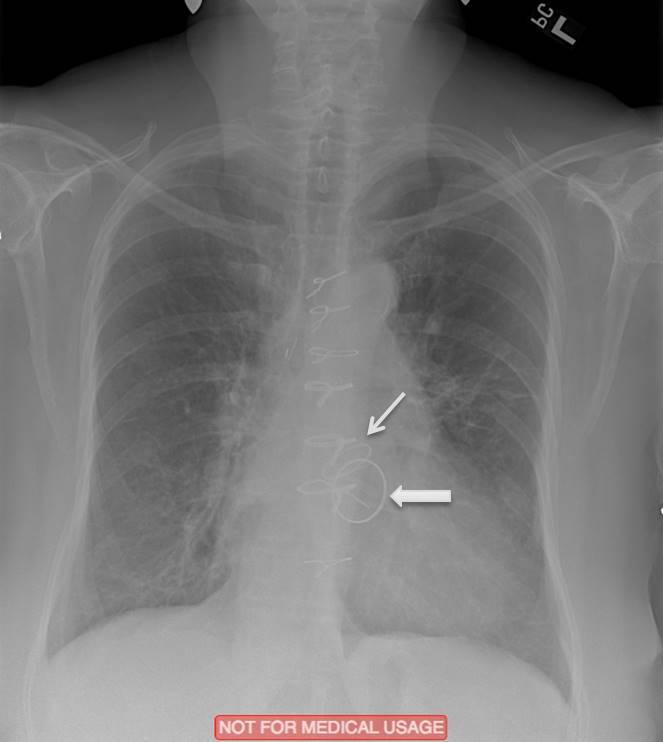
What do you see here?

Silhouette Sign, loss of defined heart border on left side
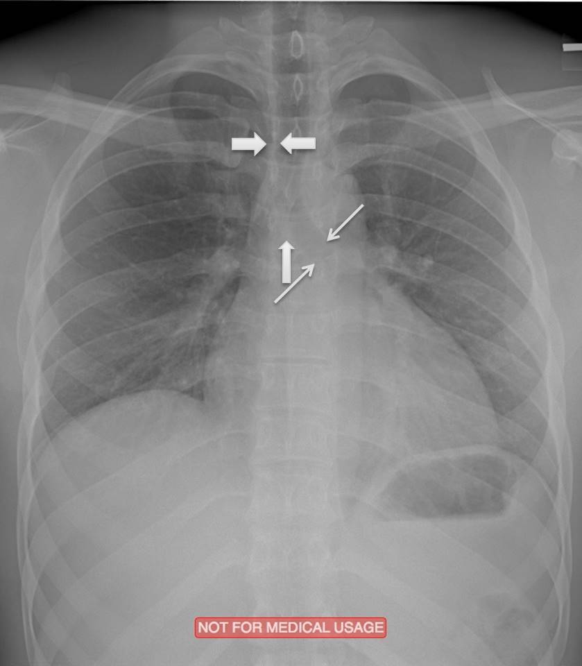
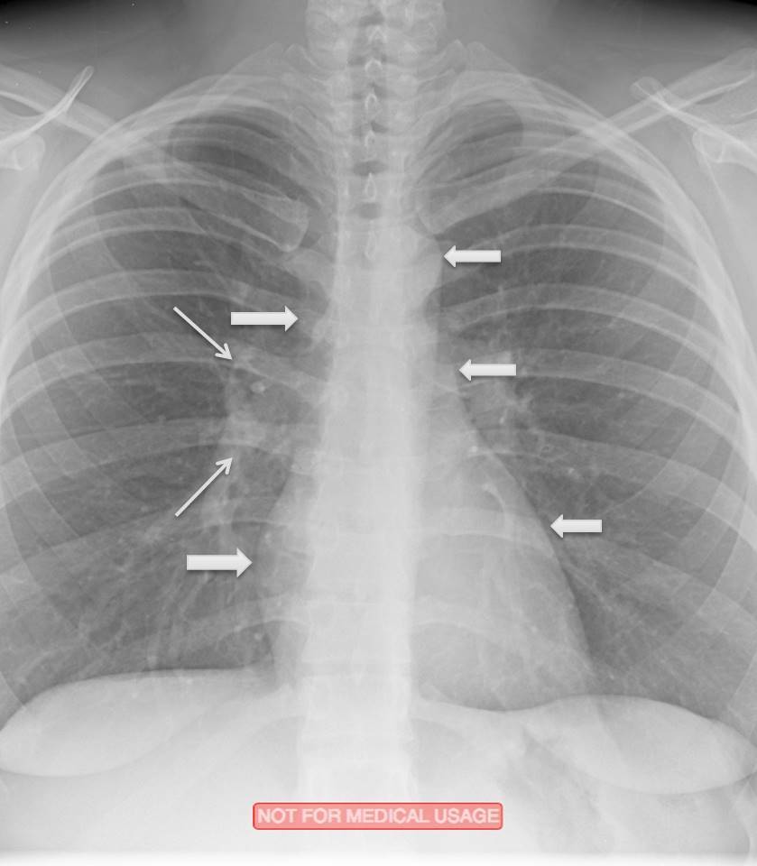
What structures are indicated by the arrows?

Right Paratracheal Stripe
Carina
Left Mainstem Bronchus
How are most chest X-rays done?
How does a portable CXR differ?
Posterior to anterior
lateral
portable is A to P
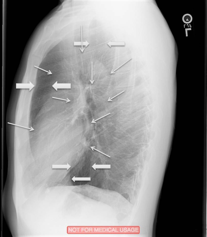
What structures are indicated by the arrows?

Left“3 Moguls”:
Aortic Arch
MPA
Left Ventricle
Right
SVC
Hilum
Right Atrium
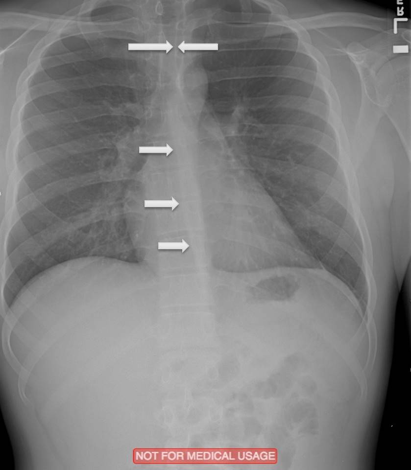
Identify the indicated lines/stripes

Junctional Lines
Azygoesophageal Recess
What are the windows of the mediastinum?

Retrosternal
Retrotracheal
Retrocardiac
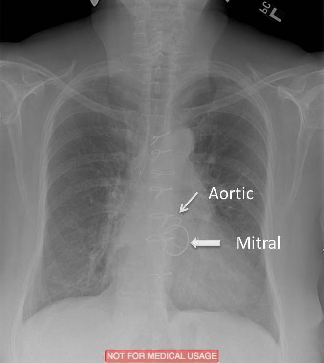
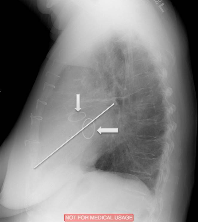
What are the indicated valves?


What valves are indicated?


What are typical CT protocols? (5)
•Chest CT without contrast
–Reduced dose chest CT
•“High Resolution CT” of the chest
–Dynamic Expiratory Tracheal CT
•Chest CT with contrast
•Pulmonary CT angiogram
•Coronary CT angiogram
What is standard for diagnosing pulmonary emboli?
Pulmonary CTA
Coronary CTA
Echocardiography, describe it
Describe nuclear imaging…
How is it done?
What kind of camera?
When is it performed?
Gated?
What data does it provide?
What is the spatial resolution like?
Describe cardiac MR
What kind of imaging?
Gated? Contrast?
Describe the spatial and contrast resolution
What data does it provide?
How’s the evaluation of surrounding structures
Unique additional functions?