Where are the lines of reflection of the parietal pleura?
a. Vertebral – costal pleura becomes continuous with mediastinal pleura posteriorly.
b. Costal – costal pleura becomes continuous with diaphragmatic pleura inferiorly.
c. Sternal – costal pleura becomes continuous with mediastinal pleura anteriorly.
The extention of the cervical pleura into the root of the neck is clinically relevant as it may be punctured due to wounds in this region with a resulting __________.
Pneumothorax
A 25 y/o male presents to the ED with a ice pick stab wound to the left thoracic wall at the level of the 9th intercostal space near the MAL. The patient displays dyspnea, cyanosis, and lack of breath sounds on the left. The knife most likely damaged what structure?
Costodiaphragmatic recess
What is the innervation of the pleura?
Phrenic nerves and intercostal nerves
What is inflammation of the pluera called?
Pleuritis, or pleurisy
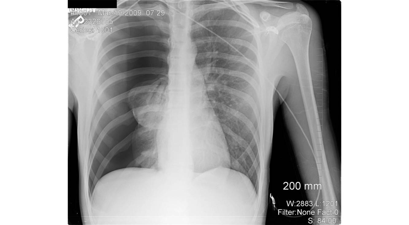
What is shown in in this image?

Pneumothorax
Tall, lanky men (typically) are at risk for what lung condition?
Primary, or spontaneous, pneumothorax
If the pleura membranes become inflamed due to disease (pleuritis or pleurisy), they become rough and no longer slide easily over one another. Why is this so painful? Where is pain referred to? Associated cord levels?
Pleuritis can be very painful because the parietal pleura receives extensive sensory innervation from intercostal and phrenic nerves. Thus, pain is referred to the area of the thoracic wall or to the point of the shoulder via the phrenic nerves (C3,4,5). The visceral pleura sensory nerves travel with autonomic fibers of the bronchial vessels.
The right sternal reflection passes inferiorly in the medial plane to the level of the 6th costal cartilage; the left sternal reflection passes inferiorly in medial plane to the level of the 4th costal cartilage and then turns laterally and inferiorly to the level of the 6th costal cartilage.
Why is this clinically important?
This creates a notch allowing a small part of the pericardium to be in direct contact with the anterior thoracic wall (bare area of the heart; important for pericardiocentesis).
How many surfaces and borders do the lungs have? Name them.
3 borders- anterior, inferior, posterior (rounded)
3 surfaces - costal, mediastinal, diaphragmatic
What separates the lobes of the right lung?
Superior and middle are separated by a horizontal fissure.
Middle and inferior lobes are separated by the oblique fissure
What separates the lobes of the left lung?
Superior and inferior lobes separated by the oblique fissure
What does the plueral cavity contain?
Contains a minimal amount of lubricating serous fluid; between parietal and visceral pleura. NOTHING else in IN the pleural cavity.
What are the pleural recesses?
a. Areas of pleural cavity which the lungs do not completely occupy during quiet respiration; two layers of parietal pleura come into contact with each other.
b. Costomediastinal – where mediastinal pleura reflects to become costal pleura anteriorly.
c. Costodiaphragmatic – where costal pleura reflects to become the diaphragmatic pleura (inferiorly, around periphery of diaphragm).
a.The costodiaphragmatic recess can inadvertently be damaged during procedures or injuries in the abdomen since it…
reflects at TV12 posteriorly (like renal biopsies).
Describe the bronchopulmonary segments
What clinical correlations are associated with the bronchopulmonary segments?
What are the surgical treatment options available?
Diseases of the lung (tumors, abscesses) often localize to a bronchopulmonary segment. These segments can be surgically resected without altering function of other segments.
a. Pneumonectomy = surgical removal of one lung
b. Lobectomy = surgical removal of one lobe of the lung
c. Segmentectomy = surgical removal of a bronchopulmonary segment
Identify the tagged structures and describe the path of blood flow.


Describe the systemic circulation of the lungs.
a. Bronchial arteries
1. Originate from thoracic aorta.
2. Typically two on the left and one on the right; the right often originates from 3rd right posterior intercostal artery.
3. Courses with the bronchial tree.
4. Supply trachea and bronchii.
b. Bronchial veins – course with bronchial arteries; terminate in azygos veins.
What are the lymph nodes we need to be aware of? Briefly describe each.
Where is the auscultory triangle?
triangle-at TV8 (trapezius, lattissimus and rhomboids)
Where are the auscultory spots on the anterior anatomy?

Where are the posterior auscultory points?

A 7 y/o male with a history of asthma attacks presents with difficulty breathing and obvious wheezing sounds with each breath. What is the most likely mechanism mediating this patient’s symptoms?
Increased parasympathetic stimulation to tracheobronchial tree