HEMORRAGHE - red flags

…

…

…

…

ICH - enhancement:

…

…

.


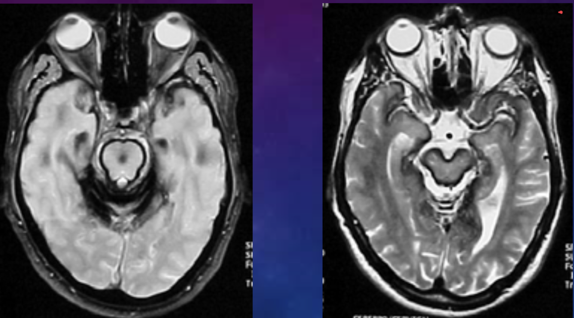
SUPERFICIAL SIDEROSIS - what is it?

HEMOSIDEROSIS - clinic?

SIDEROSIS

.
(symptoms: vertigo, tinnitus)


.


.


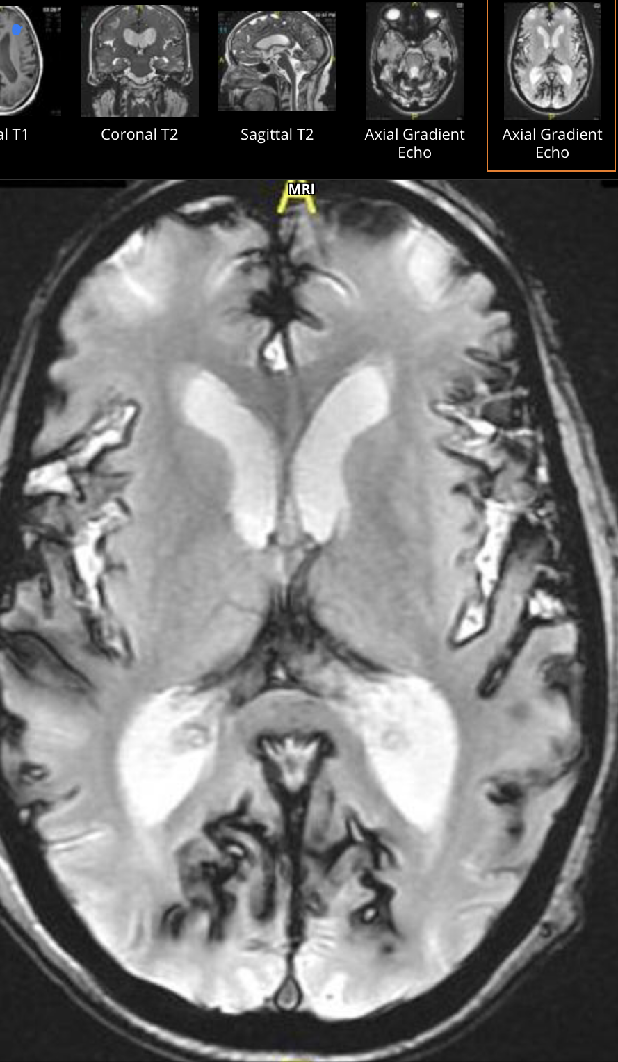
ICH
-swi in hyperacute/acute hematoma?

ICH
-swi in subacute & chronic hematoma

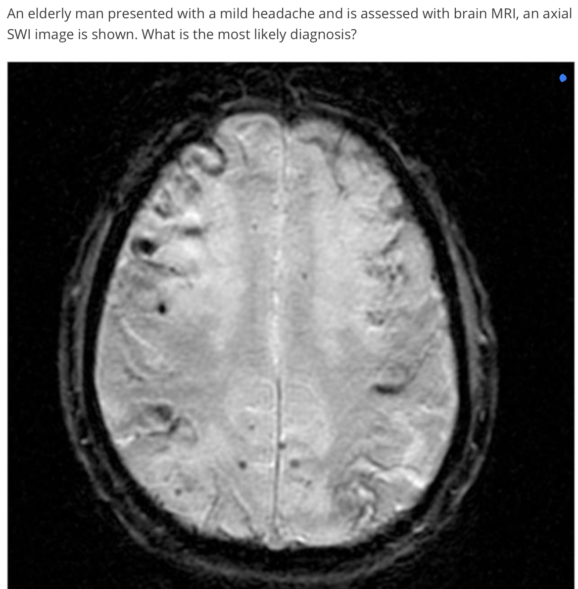
ICH
-swi- hematoma vs calcification

ICH
-swi- hematoma vs calcification

…

…

…

…

ICH
-types intraxial hemorraghe
