.

.

.

.

When to use MRI in skull base and facial trauma?

.

Functions of the burtresses?

LeFort types?

.


.

.


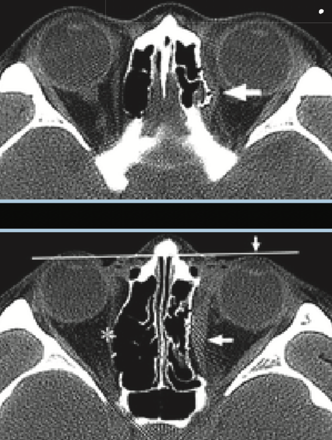
Naso-orbito-ethmoidal fracture. What to report on CT?

Naso-orbital-etmoidal fractures complications?

.


Types of Maxillary-facial isolated fractures?

MANDIBULAR FRACTURES ?

MANDIBULAR FRACTURES - Locations?

ORBITAL FRACTURES?

.


…
Orbital Apex fragments can lead to optic nerve damage

.


SKB FRACTURES - Signs of each skull base fractures?

…

…

