Whats the importance of MRI in the study of skull base lesions?

When do u consider the enhancement of dura to be dural invasion? What`s the importance?

Major points on perineural spread in H&N malignancies?

Name the 4 categories of skull base lesions?

Nme all of the strutures surrounding the Crib. Plate in coronal view?

Keros classification is applied to what?
Whats the maximum grade and its meaning?

Where is located foramen cecum?

Whats passes through:

Name the ANTERIOR skull base lesions?

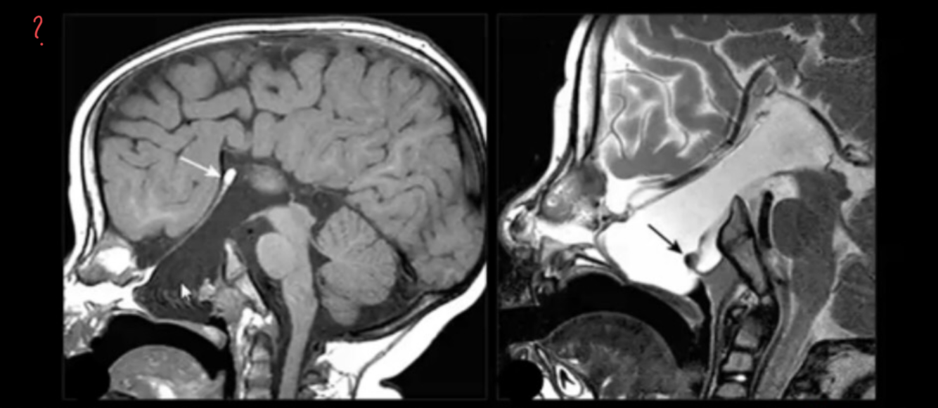
Major points of Encephalocele?

?

Fronto-ethmoidal Encephalocele.
Brain abnormalities possibly associated with Encephalocele?

Description and dx?


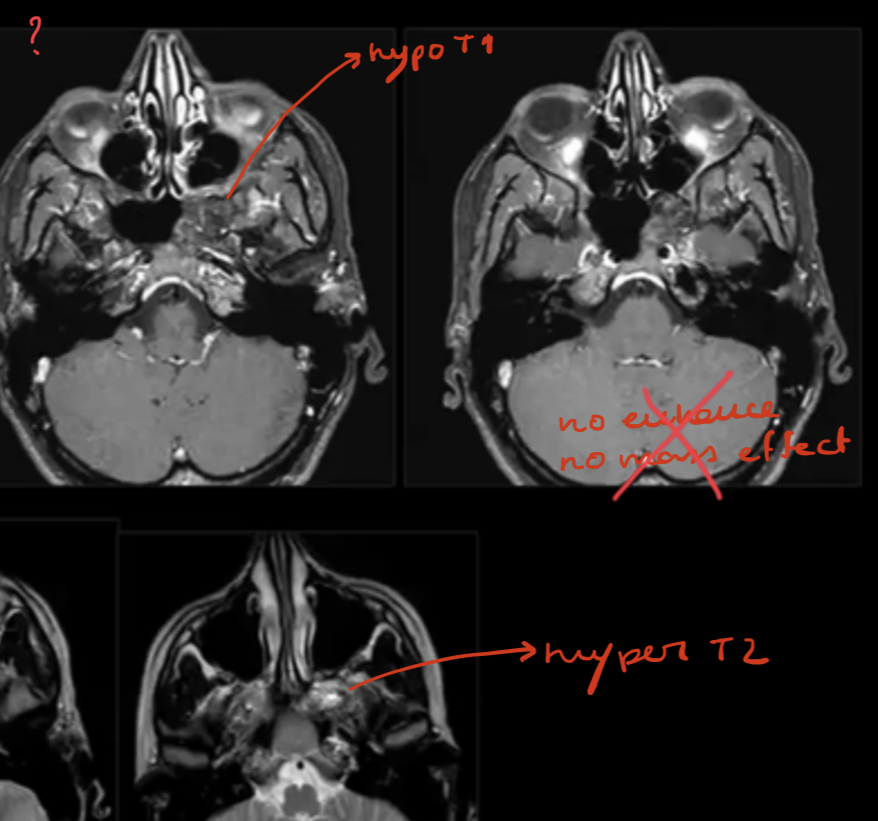
Major topics on Areas of Arrested Pneumatization?

Explain process of pneumatisation of the paranasal sinus?

Arrested pneumatization in CT/MRI?

?

Arrested Pneumatisation
DDx of Arrested Pneumatization?

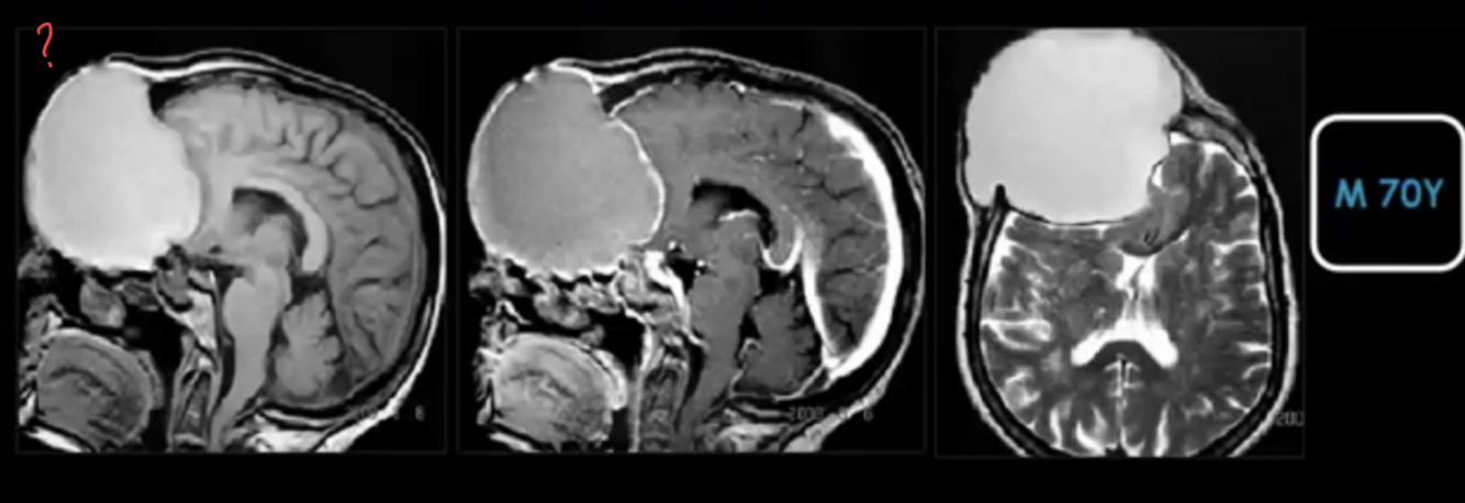
Major topics on Fibrous Displasia?

Whats the McCune Albright syndrome?

What sinus is more affected by Mucoceles?

?

ATTENTION
No continuation with intracranial compartment!
Different from encephalocele!!!

Major topics on Fungal Sinusitis?

Types of Fungal Sinnusitis?
Mucosa affection will have traduction on imaging
