



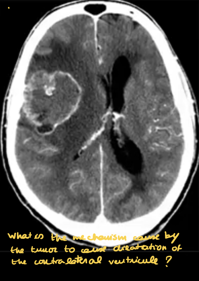
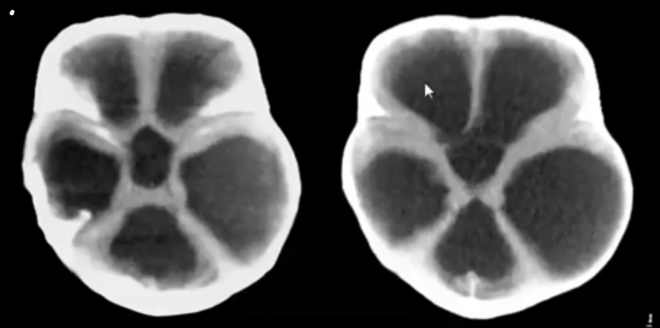
OBSTRUTIVE HYDROCEPHALUS


.



.

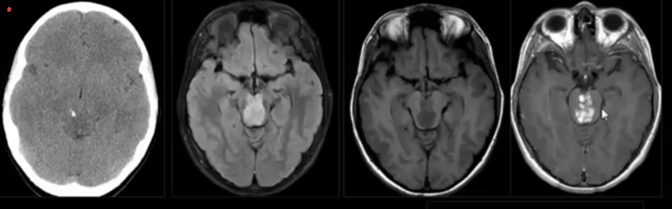
REMEMBER colloid cyst DOESNT ENHANCE!!!

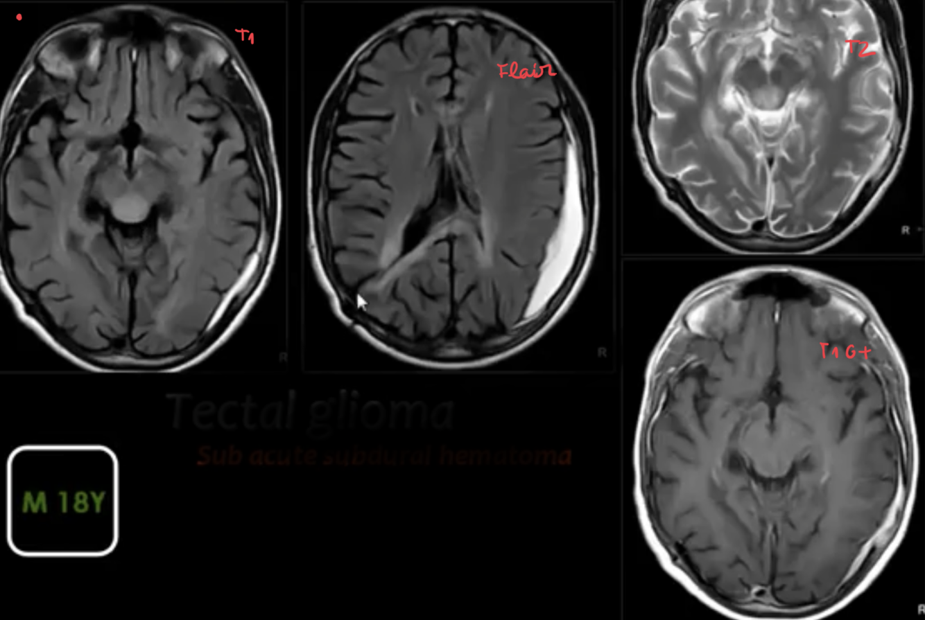
AQUEDUCTAL STENOSIS:
-acquired causes?
Extrinsic compression
tectal plate glioma / pineal tumour / posterior fossa tumour / cerebral vascular malformation
Intrinsic stenosis
infection: meningitis/ventriculitis
subarachnoid haemorrhage (SAH)

AQUEDUCTAL STENOSIS:
-congenital causes?
congenital causes:

aqueductal webs or diaphragms / gliosis


.


.


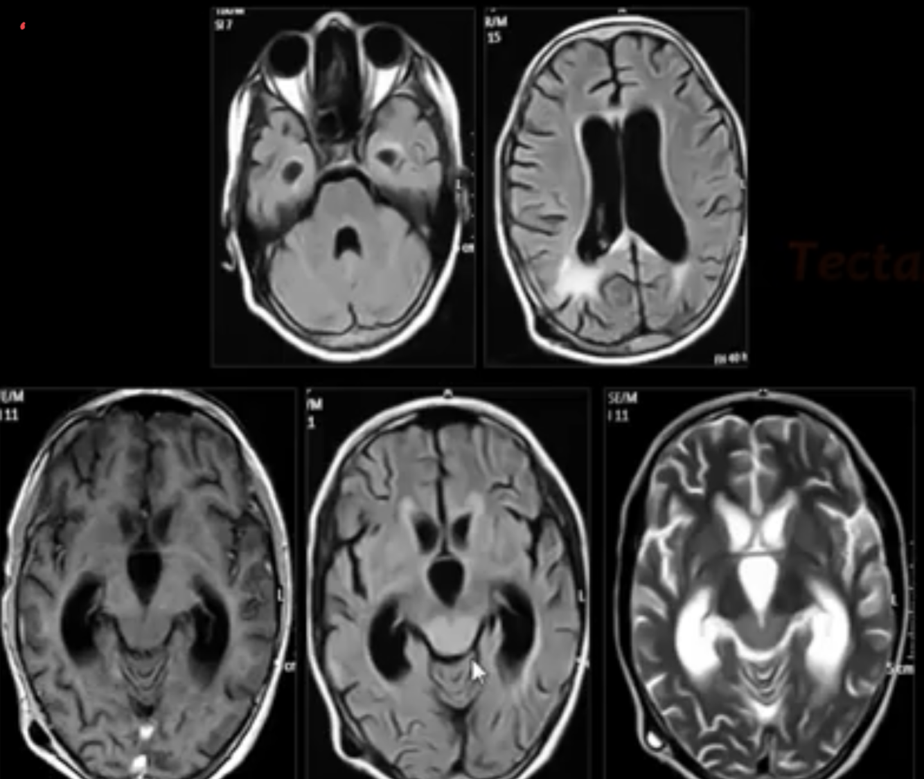
TECTAL GLIOMAS
major points


.


4TH VENT OBSTRUCTION:
-causes?


.


.

Regarding EPENDYMOMA, remember:

OBSTRUCTIVE COMMUNICATING HYDROCEPHALUS:
-causes?

