When concerned about a bile duct injury, when to go straight to PTC instead of ERCP
if transection is definitely suspected. Otherwise, if concerned about cystic duct stump, hepatic bed, or incomplete transection, ERCP first is reasonable.
Bismuth Strasberg A
Cystic duct stump leak or duct of luska leak
Bismuth Stransburg B
LIgaiton and division of anomylous right sided segmental hepatic duct
(present as late pain, not reliably diagnosed with ERCP since both right and left main ducts opacity. Presents with persistent pain, diagnosed with MRCP.)
Bismuth Strasburg C
Same as B, but proximal duct leaks freely into abdomen.
Bismuth Strasburg D
lateral injury to extrahepatic bile duct, cautery injury or otherwise.
Bismuth Strasburg E
Disruption of biliary-enteric continuity. Will require PTC
Bismuth strasburg classification
Repair is HJ for all but type A (maybe Type D if no stricture)

Contraindications to immediate reapir of bile duct injury
Latest time to consider early repair for bile duct injury in patient doing well
72 hours. (otherwise external and internal drainage followed by elective repair 6-8 weeks)
Preoperative considerations before biliary enteric reconstruction after bile duct injury
Bile re-feeding
nurtiion
Fat soluble vitamin replacement, especially vitamin K (likely parenteral needed)
Position of right hepatic artery in relation to hepatic duct
directly posterior (principle of anterior only dissection on biliary reconstruction)
Differential for liver mass

Annual incidence of HCC in cirrhosis
3-4% per year.
Risk factors for cholangiocarcinoma
Most common liver mets
work up for liver mass
Imaging for liver mass with biomarkers should be sufficient, but if a biopsy is necessary - markers to help differentiate
LIver lesion imaging characteristics

cholangiocarcinoma (characteristics)
delayed venous enhancement.

Milan criteria
Screening for HCC (population and frequency)
Cirrhotics of any kind
LIver U/S and AFP every 6-12 months.
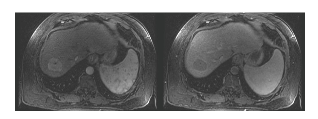
HCC imaging characteristics
arterial enhancement with venous washout

Childs pugh score
Childs A could undergo resection (except those with portal hypertension) (poor mans test - platelet count < 100k)
Childs B - only limited resection
Childs C - not suitable for resection

Future liver remnant requirements