IBD Flashcards

(53 cards)

1
Q

Hur kan vi skilja på Chrons och ulcerös kolit?

A
  • Ulcerös kolit
    o Börjar i ändtarm och sträcker sig olika lång upp i tjocktarm (kan involvera hela tjocktarmen)
    o Har inga skipped lesions
    o Homogent/kontinuerligt utseende till skarp gräns med frisk vävnad
    o Kan leda till cancer
  • Chrons sjukdom
    o Lokalisation från munhåla till anus men 90 % sitter i ändtarm, tjocktarm, distala ileum
    o Skipped lesions (frisk tarm periodvis)
    o Utseende mer varierande med mer varierande intensitet
    o Transmural inflammation (hela tarmväggen)
    o Komplikatoner med fistelbildning, abcesser, strikurer och cancer
  • Ibland svårt avgöra – obestämd kolit
    o Kan ändras med tiden till mer tydlig fenotyp
    o Kan också ändras från ex UC till mer Chrons etc, ses hos 5-10 %
How well did you know this?
1
Not at all
2
3
4
5
Perfectly
2
Q

Vad ses på bilden?

A

UC

  • Gradering enligt Baron-Ginsburg
How well did you know this?
1
Not at all
2
3
4
5
Perfectly
3
Q

Vad beskrivs?

  1. Små lesioner först med liten randzon med rodnad
  2. Slemhinnan rodnad och kan påminna om UC
  3. Typisk sårbildning på följande bilder med fibrinbeläggning.
  4. När inflammationen tilltar blir ofta längsgående
  5. För att sedan gå åt alla håll och det bildas gatstensmönster (öar av slemhinna mellan såren)
A

Chron

How well did you know this?
1
Not at all
2
3
4
5
Perfectly
4
Q

Lokalisation

  • Ulcerös kolit
    o Proktit 30% (ändtarm)
    o Distal 40% (upp till vänster flexur)
    o Extensiv/total 30% (hela tjocktarmen)
  • Crohns sjukdom
    o Kolit 30%
    o Ileokolit 20% (tjocktarm och ileum)
    o Ileocekal 40% (caecum till distala ileum)
    o Övrig tunntarm 8-10%
    o Övre GI 1-2%
    Intestinala komplikationer, förklara dessa vid IBD
  • Fistlar
  • Abcess
  • Striktur
  • Cancer
A
  • Fistlar
    o Uppkommer pga av mikroperforation i tarm varpå kroppen leder om tarminnehåll så det inte kommer ut i fri bukhåla, till annan tarm eller andra håliga organ (urinblåsa, vagina) eller ut på hud (perinanalt, buken).
  • Abcess
    o Om fistlar inte lyckas leda undan tarminnehåll. Kroppen försöker kapsla in tarminnehåll för att infektion inte ska spridas
  • Striktur
    o Förträngning på grund av ärrbildning. Uppblåsning proximalt om dessa. Ileusattacker kan uppkomma också
  • Cancer
    o Både vid Chrons och UC, inflammation, om den får vara långvarigt aktiv kan leda till cellförändringar
How well did you know this?
1
Not at all
2
3
4
5
Perfectly
5
Q

Bedömning svårighetsgrad UC (Truelove & witts index) – skov
Vad är ett svårt skov?

A

Lösa avföringar >- 6/dygn tillsammans med någon av de andra punkterna (CRP oftast)

How well did you know this?
1
Not at all
2
3
4
5
Perfectly
6
Q

Vilka läkemedel används vid UC, vilka är snabbast att börja verka och vilket är långsammast?

A
  • Biologiska LM
    o Ustekrumab (IL-12/23-hämmare)
    o Vedolizumab (a4b7-integrinhämmare)
    o Anti-TNF
  • Immunomodulerade
    o Tofacitinib (JAK-hämmare)
    o Tiopuriner (Azatioprin, 6-merkaptopurin)
  • Kortison
  • 5-ASA (Asacol)
How well did you know this?
1
Not at all
2
3
4
5
Perfectly
7
Q

Behandlingspyramid vid UC?

A
  • Akut skov
    o Milt 5-ASA, lokal (proktit) eller lokal samt oral beroende på utbredning
    o Måttligt –> kortison
    o Svårt skov och ingen effekt av ovan –> inläggning + kortison iv
    o Rescuebehandling –> TNF-hämmare (infliximab)
    o Op i sista hand (kolektomi
  • Underhållsbehandling (för att hålla inflammation i schack)
    o 5-ASA, om ingen effekt (täta skov)
    o Tiopurin (azatioprin/mercaptopurin), om inte effekt
    o Biologiska LM (TNF-hämmare (i första hand (pris)), a4b7-integrinhämmare (Vedolizumab), IL-12/23-hämmare (Ustekrumab)) eller JAK-hämmare (Tofacitinib)
How well did you know this?
1
Not at all
2
3
4
5
Perfectly
8
Q

Hur högt upp når suppositiorier, skum och klysma i tarmen?

A

o Välj utefter utbredning

How well did you know this?
1
Not at all
2
3
4
5
Perfectly
9
Q
  • Proktit
    o Supp 5 ASA 1g till natten (tn) i 4v
    o Supp Prednisolon 20 mg tn i 4v
    o Om svår kan de kombineras direkt
  • Distal/extensiv
    o Tabl 5 ASA 4 5 g i 8v + Skum/klysma 5 ASA 1g i 4v
    o Klysma Prednisolon 31,25 mg tn i 4v (om svårare)
    o T Prednisolon 40 mg, nedtrappn 5 mg/v (om svårare)
    Vad är ovan behandling för?
A

Behandling utefter utbredning UC

How well did you know this?
1
Not at all
2
3
4
5
Perfectly
10
Q

Behandling vid aktiv UC

  • Beroende av
    o Sjukdomsaktivitet, lokalisation/utbredning, tidigare underhållsbehandling, riskprofil, patientens preferenser
  • Förstahandsbehandling 5-ASA, om det inte fungerar –> tillägg av kortison,
    Vad innebär steroidberoende och steroidrefraktär UC?
A

o Steroidberoende – blir symtomfri på högre doser men får återfall under nedtrappning eller inom 3 mån efter avslutad behandling
o Steroidrefraktär – Blir inte symtomfri ens på höga doser

How well did you know this?
1
Not at all
2
3
4
5
Perfectly
11
Q

UC symtomfri och kan avsluta kortison utan nytt skov inom 3 mån. Läkt slemhinna
Beskriv ovan med ett ord

A

Remission

How well did you know this?
1
Not at all
2
3
4
5
Perfectly
12
Q

Vid steroidrefraktär (även steroidberoende) UC aktuellt med
Immunomodulerare

  • Tiopurin
    o Azatioprin (Tabletter ( azatioprin , Imurel ®, Immunoprin ®))
    o Merkaptopurin (Tabletter (Puri nethol ®))
    o Effektivt som underhållsbehandling
    Hur lång tid innan effekt?
    Viktigt att göra vad i samband med denna medicinering?
A

o 3-6 mån innan effekt
o Uppföljning med blodprovskontroller

How well did you know this?
1
Not at all
2
3
4
5
Perfectly
13
Q
  • Många olika preparat
  • Administrering
    o Dropp, subkutan injektion underhud
  • Verkar mot TNF, bryter inflammationen
  • Effekt vid akut skov och underhållsbehandling
  • Om patienten inte fått effekt av 5-ASA, kortison eller immunomodulerande
  • Ibland snabb effekt (infliximab dagar), men vanligtvis utvärdering efter 8-12 veckor
    o Byt om ingen effekt
  • Ökad risk för infektion
    Vad beskrivs? Ge exempel på ett preparat
A

TNF-hämmare (infliximab ex)

How well did you know this?
1
Not at all
2
3
4
5
Perfectly
14
Q
  • Antikropp som binder integrin vilket hindrar lymfocyten att binda sin ligand på endotelet vilket gör att lymfocyten inte hittar till tarmväggen och ta sig ut i tarm.
  • Underhållsbehandling om 5-ASA eller tiopuriner inte hjälper
  • Upp till 3 månader innan effekt (snabbare vid UC (veckor))
    Vad beskrivs?
A

a4b7-Integrinhämmare (vedolizumab)

How well did you know this?
1
Not at all
2
3
4
5
Perfectly
14
Q
  • Antikropp som binder integrin vilket hindrar lymfocyten att binda sin ligand på endotelet vilket gör att lymfocyten inte hittar till tarmväggen och ta sig ut i tarm.
  • Underhållsbehandling om 5-ASA eller tiopuriner inte hjälper
  • Upp till 3 månader innan effekt (snabbare vid UC (veckor))
    Vad beskrivs?
A

a4b7-Integrinhämmare (vedolizumab)

How well did you know this?
1
Not at all
2
3
4
5
Perfectly
15
Q
  • Antikropp mot subenheten p40 som finns på både IL-12 och IL-23, binder alltså bägge dessa cytokiner
  • Dropp iv eller subkutan behandling
  • Effekt senast efter 4 månader
    Vad beskrivs?
A

IL-12/23-hämmare (Ustekinomab)

How well did you know this?
1
Not at all
2
3
4
5
Perfectly
16
Q

Vilken effekt har a4b7-hämmare?

A
  • Antikropp som binder integrin vilket hindrar lymfocyten att binda sin ligand på endotelet vilket gör att lymfocyten inte hittar till tarmväggen och ta sig ut i tarm.
How well did you know this?
1
Not at all
2
3
4
5
Perfectly
17
Q

Hur fungerar IL-12/23-hämmare (Ustekinomab)?

A

Antikropp mot subenheten p40 som finns på både IL-12 och IL-23, binder alltså bägge dessa cytokiner

How well did you know this?
1
Not at all
2
3
4
5
Perfectly
18
Q

Hur fungerar JAK-hämmare?

A
  • Hindrar att signal från receptor på cellyta går in till cellkärnan. Normalt sett binder cytokin sin receptor och JAK skickar vidare signal genom fosforylering av STAT som går in i kärnan som transkriptionsfaktor
  • Nu hindras signalen att komma in till cellkärnan –> ingen transkription
  • 4 olika typer av JAK som kombineras 2 och 2. Beroende på vilken som hämmas lite olika effekt och biverkansprofil
How well did you know this?
1
Not at all
2
3
4
5
Perfectly
19
Q

Så vad sätter du in härnäst vid steroidrefraktär UC?

A
  • TNF-hämmare och om effekt av denna, tillägg av immunomodulerare för ytterligare effekt och hindra antikroppsbildning. En av dem kan eventuellt sättas ut senare
How well did you know this?
1
Not at all
2
3
4
5
Perfectly
20
Q

Vid steroidberoende skov UC

  • Steroidberoende på låg dos
    o Ge immunmodulerare och fortsatt kortisonbehandling till IM fått effekt
    Om det är steroidberoende på hög dos?
A

o TNF-hämmare och IM för ytterligare effekt och hindra antikroppsbildning
o Senare kan ev TNF-hämmare sättas ut och bara behålla IM (ex Asatioprin)

  • Om ingen effekt av TNF-hämmare
    o Någon av de andra IM eller JAK-hämmare
How well did you know this?
1
Not at all
2
3
4
5
Perfectly
21
Q

Om svårt skov i ulcerös kolit eller steroidrefraktär – inläggning (följ algoritm)

  • Dagliga prover (blodstatus, CRP, albumin, krea)
  • Kortikosteroider
    o Betapred 4 mg x 2 iv
  • Understödjande medicinsk behandling
    o Anemi, vätske och elektrolytrubbningar
    o Nutrition (ev sond, men oftast klarar de äta själva)
    o Antibiotika endast vid infektion
    o Undvik antikolinergika, opioider, loperamid, och NSAID (alla dessa kan förvärra inflammation eller ge ökad risk för komplikationer), sår eller spontanblödning.
  • Om inte bättre dag 4
    o Kolektomi eller rescuebehanfling (oftast), beroende på status
    o Fortsatt induktion efter 2 och 6 veckor även tillägg av 5-ASA eller azatioprin
  • Om förbättrad dag 4
    o Utskrivning med kortison och 5-ASA som underhållsbehandling
    Nämn två saker till som kan vara viktiga i initialskedet av handläggningen? Vad innebär rescuebehandling?
A
  • DT BÖS
    o För att se ev dilaterad tarm eller perforation
  • Trombosprofylax (ökad risk vid svårt skov med mer immobilisering

Rescuebehandling = TNF-hämmare (infliximab ex)

22
Q

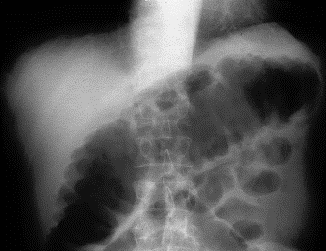
Akut kolektomi vid UC
Indikationer?

A

o** Svår attack utan tecken på förbättring efter 5 dygn.
o
Toxisk megacolon** (bilden (buköversikt)) (Inflammationen i slemhinnan påverkar serosan i kolon som ger paralys av muskellager och tarmen blåser upp sig och följden kan bli avföring i bukhåla med peritonit)
o Perforation (Dessa patienter kan se friska ut till denna komplikation, men har ofta varit sjuka länge med nedtryckt immunförsvar (delvis pga medicinering))
o Massiv blödning

23
Q

Typisk bild på?

A

Kolektomerad kolon vid UC
o Skarp övergång med sjuk slemhinna

24
* Typisk bild på kolektomerad kolon vid UC o Skarp övergång med sjuk slemhinna * Subtotal kolektomi och ileostomi (laparoskopiskt) Varför tar man inte bort ändtarmen?
Det dubblar tiden för operation, spelar ingen roll för prognos. Ska det åtgärdas på sikt så måste ändtarmen finnas kvar
25
Kolektomi vid UC * Operation o Första året efter diagnos 10% o Inom första 10 åren 25-30% o Totalt 35-40% Indikationer för elektiv kolektomi?
o Försenad tillväxt/pubertet o Steroidberoende sjukdom o Dysplasi/cancer
26
Rekonstruktiv kirurgi efter kolektomi pga UC är Individualiserat val (har man familj, barn osv), baseras på pat:s aktuella livssituation, livslångt perspektiv. Men vilka alternativ finns?
* IRA (Ileo-rektal anastomos) * Bäckenresorvoar (IPAA) * Kockresorvoar (bild) * Ingen (permanent iliostomi)
27
Rekonstruktiv kirurgi efter kolektomi pga UC * IRA (Ileo-rektal anastomos) * Bäckenresorvoar (IPAA) * Kockresorvoar (bild) * Ingen (permanent iliostomi) Vad betyder respektive op ovan, vilka för- och nackdelar har de olika alternativen?
* IRA (Ileo-rektal anastomos) o Sy hop skarv mellan tunntarm och kvarvarande ändtarm (som ska fungera och inte vara så inflammerad) o Fördel med anal kontinens 86-100 %, urgency (kvarvarande signalering), 4-5 tömningar/dag, ej nattetid. o Nackdel --> rektalcancer hos 2 % (5-ASA viktigt och endoskopiska kontroller) * Bäckenresorvoar (IPAA) o Ändtarm tas bort och man gör en tunntarmsresorvoar som sys fast till analkanalen och man kan tömma tarm på vanligt sätt o Gold-standard. Fördel att all sjuk vävnad ta bort. Full anal kontinens hos 70 %, tömmer tarmen 5-6 ggr/dag, 0-1 ggr/natt o Nackdel: pouchit vanligt (flammation i resorvoar), kroniskt hos 10 %. Även att man får koppla ur den av olika anledningar, anlägga stomi högre upp. Påverkar fertilitet. Risk för impotens/retrograd ejakulation * Kockresorvoar (bild) o Kateteter som töms 3-4 ggr/dygn o Upprepad revisionskirurgi vanligt o Risk för pouchit * Ingen (permanent iliostomi) o Problem: sexualfunktion, självbild etc
28
Vilken sjukdom har högst risk för permanet stomi, UC eller Chrons?
* Crhons sjukdom 3-7 % * Ulcerös kolit 1-3 %
29
Ökad risk för cancer vid UC vid?
* Extensiv kolit * Debut före 15 års ålder * Förekomst av primär skleroserande cholangit * Hereditet för kolorektal cancer
30
Chrons är en progressiv sjukdom * Går förvisso i skov men samtidig progredierande tarmskada med strikturer, fistlar, abcesser * Kräver ofta kirurgi * Viktigt vara proaktiv Läkemedel vid Chron? Tidsperspektiv på dessa innan de verkar?
* Biologiska LM o Ustekrumab (IL-12/23-hämmare) o Vedolizumab (a4b7-integrinhämmare) o Anti-TNF * Immunomodulerade o Metotrexat o Tiopuriner (Azatioprin, 6-merkaptopurin) o * Kortison
31
Behandling vid Chron akut skov och underhållsbehandling?
* Akut skov o Kortison lokalt eller oralt beroende på utbredning, utebliven effekt --> iv, utebliven effekt --> o TNF-hämmare eller kirurgi o Men ändå lugnare än UC (mer kroniskt liksom) så biologiska LM och immunmodulerare kan bli aktuella här också * Underhållsbehandling o Tiopuriner (Azatioprin/mercaptopurin), utebliven effekt --> o Metotrexat, utebliven effekt --> o TNF-hämmare, utebliven effekt --> o a4b7-integrinhämmare, IL-12/IL-23-hämmare
32
Indikation för immunmodulerare /biologisk beh vid Chron?
* Vid debut o Prognostiskt ogynnsam sjukdom? (Svår inflammation, utbredd sjukdom, viktig del av tarmen (ändtarm, utbredd i tunntarmen, tolvfingertarm, matstrupe)) * Behandlingssvikt o Täta återfall (≥2 per år) o Steroidberoende o Steroidrefraktär * Komplikation o Fistel/abscess (kräver också kirurgiska åtgärder) o Striktur (i tidigt skede, men kan också bli aktuellt med ballongdilatation eller kirurgi vid ex ileus) * Efter tarmresektion o Endoskopi 6 månader efterfår avgöra bilden o Recidivbenägen (flera operationer, endoskopiskt utbrett/svårt recidiv)? o Undvika recidiv av komplikation (fistel, abscess, striktur)?
33
Mb Crohn komplikationer?
* Strikturer * Abscesser i buken/ perianalt * Fistlar o Enterokutant /mellan tarmsegment/ enterovesikalt perianalt/ även vagina * Perforation (ovanligt) * Blödning (ovanligt)
34
Vad ses på bilden?
Typisk utseende vid Chrons med vidgad tunntarm till höger (skrumpnat), med fett som kramar om tunntarmen (fat wrapping). Förstorade lymfkörtlar, tarmvägg/mesenterie förtjockas och kramar ibland om hela tunntarmen
35
Kirurgi vid mb Chron * Grundregel: akut kirurgi ska undvikas elektiv op optimal. ”Turn an emergency into an elective operation” o Komplex kirurgi och stor risk för komplikationer Restriktiva indikationer, vilka är dessa? Vad är viktigt att tänka på om vi måste göra ett ingrepp?
o Komplikationer o Svikt på med. behandling o Misstanke på cancer Minimera ingreppen (resektioner etc): livslång sjukdom/ livslångt perspektiv
36
Kirurgi vid mb Chron * Grundregel: akut kirurgi ska undvikas elektiv op optimal. ”Turn an emergency into an elective operation” o Komplex kirurgi och stor risk för komplikationer Utredning inför operation?
o MRT tunntarm o Ultraljud vid misstänkt abscess: diagnos och intervention (dränage, bilden) o Fistulografi (kontrast via hudfisteln för att se vart det leder) o Koloskopi (så vi vet att det inte finns nedströms förträngningar när vi tar bort uppströms)
37
Kirurgi vid mb Chron * Grundregel: akut kirurgi ska undvikas elektiv op optimal. ”Turn an emergency into an elective operation” o Komplex kirurgi och stor risk för komplikationer * Restriktiva indikationer: o komplikationer o Svikt på med. behandling o Misstanke på cancer o Minimera ingreppen (resektioner etc): livslång sjukdom/ livslångt perspektiv * Komplikationer är kopplade till preoperativa riskfaktorer o Preop intra abdominell infektion. o Preop steroidbeh. o Hypoalbuminemi (lägre än 30g / l) o Viktnedgång mer än 5% 6 mån preop o Intraabdominell fistel vid op. o Akut op Optimering inför op?
o Preop nutrition: näringsdrycker, enteral nut (via näringsdropp (nasogastrisk sond) som är lätt att ta upp med mindre mängd slaggprodukter (mindre buksmärtor, stannar inte upp lika lätt i trånga partier). Återställer nutritionsbehov och kan ha lika god effekt som steroider). o Trappa ner steroider (7,5 mg/dygn eller lägre) minst 4 veckor före op kan underlättas via samtidig enteral nut. o Dränering av ev abscess (samtidig antibiotikabehandling) o Rökstopp. o Trombos och antibiotikaprofylax vid op.
38
Vanliga operationsalternativ vid Mb Chron?
* Ileocekal resektion (vanligast) o Övergången mellan tunntarm och tjocktarm o Får ofta tillbaka sjukdomen * Ileokolisk reresektion o Vid återkomst av sjukdom i samma område * Segmentella colonresektioner o Kortare segment * Ibland tarmresektion komb. med temporär stomi. * Strikturoplastiker o Syr om korta förträngningar på tarm istället för att ta bort tarm, ex öppnar tarm på längd och syr på tvär * Perop enteroskopi oftast. * Intra operativ ballongdilatation (sällan) o Bäst på strikturer i övergång mellan tunntarm och tjocktarm
39
* 70% opererade minst en gång Ileocekal eller ileokolon * 45% två ggr inom 10 år o Minskat till 10 % idag * 25% tre eller fler operationer Vid vilken sjukdom gäller ovan?
Mb Chron
40
Adam, 32 år Läkarbesök på vårdcentralen, rökare sedan tonåren, tidigare frisk och medicinfri. Han har sedan två år en del besvär från mage tarm med viss uppblåsthetskänsla, mild buksmärta emellanåt och tendens till lös avföring 2 4 ggr/dag utan blodtillblandning. Han har sökt sin VC då han sista månaderna fått mer besvär av måttlig till svår buksmärta. Han har känt sig trött en tid och tycker att konditionen försämrats. Han är 182 cm lång och har utan att ändra kost eller motion gått ner 3 kg i vikt till 70 kg senaste halvåret. Vid kroppsundersökning är han något blek, men f.ö. utfaller undersökningen utan anmärkning. Rektoskopi u.a. Troliga förklaringar till Adams magtarmbesvär?
* Cancer, IBD (Chrons eller UC, eller mikroskopisk kolit), IBS, ulcus, laktosintolerans, celliaki
41
Adam, 32 år Läkarbesök på vårdcentralen, rökare sedan tonåren, tidigare frisk och medicinfri. Han har sedan två år en del besvär från mage tarm med viss uppblåsthetskänsla, mild buksmärta emellanåt och tendens till lös avföring 2 4 ggr/dag utan blodtillblandning. Han har sökt sin VC då han sista månaderna fått mer besvär av måttlig till svår buksmärta. Han har känt sig trött en tid och tycker att konditionen försämrats. Han är 182 cm lång och har utan att ändra kost eller motion gått ner 3 kg i vikt till 70 kg senaste halvåret. Vid kroppsundersökning är han något blek, men f.ö. utfaller undersökningen utan anmärkning. Rektoskopi u.a. Remiss till endoskopienheten Gastroskopi ua . Px från duodenalslemhinna. Vid Coloskopi finner man en rodnad, svullen slemhinna med petekier i caecum med relativt skarp gräns i distala ascendens . Valveln är svullen, rodnad och svår att passera eftersom det är trångt, men till slut kan även 20 cm av distala ileum inspekteras. Den är svullen och rodnad med flertal ytliga upp till cm stora sår. Ingen övre gräns. Övriga colon och rektum ua . Px distala ileum Vad har han drabbats av?
Chrons – utbredning i distala ileum och makroskopisk bild
42
Adam, 32, rökare. Frisk och medicinfri. Endoskopienheten, bedömning: ileocekal Crohn, sårig inflammation, inga komplikationer. Oklar utbredning i tunntarmen. Järnbrist. Åtgärd?
* Remiss MR tunntarm * Budenofalk budesonid nedtrappningskur 9 mg under 8 v. o Färre systemiska biverkningar men god antiinflammatorisk effekt ileocekalt * Ferinject 2000 mg via Dagvården.
43
Adam 32, år. Rökare, frisk och medicinfri. Har nu diagnosticerats med Mb Chron. Endoskopienheten, bedömning: ileocekal Crohn, sårig inflammation, inga komplikationer. Oklar utbredning i tunntarmen. Åtgärd. * Remiss MR tunntarm * Budenofalk budesonid nedtrappningskur 9 mg under 8 v. o Färre systemiska biverkningar men god antiinflammatorisk effekt ileocekalt * Ferinject 2000 mg via Dagvården. Telefonkontakt IBD ssk 2 veckor: mår mycket bättre, buksmärtan nästan borta, 2-3 lösa/halvfasta avföringar. Fungerar bra med medicinen. Piggare, bättre aptit, gått upp 2 kg i vikt. Åtgärd?
Fortsatt nedtrappningskur
44
Adam 32, år. Rökare, frisk och medicinfri. Har nu diagnosticerats med Mb Chron. Endoskopienheten, bedömning: ileocekal Crohn, sårig inflammation, inga komplikationer. Oklar utbredning i tunntarmen. Åtgärd. * Remiss MR tunntarm * Budenofalk budesonid nedtrappningskur 9 mg under 8 v. o Färre systemiska biverkningar men god antiinflammatorisk effekt ileocekalt * Ferinject 2000 mg via Dagvården. Telefonkontakt IBD ssk 2 veckor: mår mycket bättre, buksmärtan nästan borta, 2-3 lösa/halvfasta avföringar. Fungerar bra med medicinen. Piggare, bättre aptit, gått upp 2 kg i vikt. Åtgärd. * Fortsatt nedtrappningskur Svar Histologi och MR * Histologi förenlig med Crohn * MR tunntarm o 50 cm inflammerad distal ileum, trångt, men ingen prestenotisk dilatation. Behandling?
* Fortsatt Budenofalkkur underhållsbehandling med Azatioprin (måldos 175 mg)
45
Adam 32, år. Rökare, frisk och medicinfri. Har nu diagnosticerats med Mb Chron. Läkarbesök 12 veckor efter diagnos. Mår bra, fast avföring 1-2 gånger dagligen, mild buksmärta vid enstaka tillfällen. Avslutat kortison för en dryg månad sedan. Azatioprin upptrappat till måldos, tolererar det Blodprover * Hb 148, CRP<10, * Ferritin 122, F-calpro 376 (viss kvarvarande inflammation) * TPMT normalt. o Genotypningsmetod som mäter förekomst av de två vanligaste men inte alla förekommande polymorfier som leder till nedsatt TMPT-aktivitet (vi kan då anpasssa dosen!, i detta fallet sänka den (azatioprin)) Bedömning/Åtgärd?
Bedöms vara i remission. Fortsatt azatioprin, anti-TNF (eftersom han har kvarvarande inflammation))
46
Adam, 32 år med Mb Chron Mår första åren bra, men får sedan återkommande obturationsattacker där MR tunntarm visar flera långa stenoser med prestenotisk dilatation. Svarar inte på medicinsk behandling (vid trångt i tarmen kan det vara svullnad pga inflammation eller fibros (lm hjälper inte vid det senare). Åtgärd? Viktigt tänka på efter denna typ av åtgärd?
* Ileocekal resektion Behepan pga B12-brist.
47
Erik 20 år, på vårdcentralen Singel och läser Industriell ekonomi på universitetet. Han är icke-rökare, tidigare frisk och medicinfri. Han söker sin VC p.g.a. tilltagande besvär sedan fyra veckor med blodtillblandad diarré, uttalade trängningar och buksmärta som släpper efter tarmtömning. Han tömmer nu tarmen 6-8 gånger dagligen, grötaktig konsistens med tydligt med blod i de flesta avföringarna. 1-2 avföringar nattetid. Han är 186 cm lång och väger oförändrat 79 kg. Han var i Turkiet för sex månader sedan. Ingen i omgivningen har liknande besvär. Ingen hereditet för mag-tarmsjukdom. Differentialdiagnoser? Utredning? Basal utredning på vårdcentralen * Vid kroppsundersökning finner man att han är något blek, men f.ö. utfaller undersökningen utan anmärkning med mjuk och oöm buk utan resistenser. * Rektoskopi visar svullen, rodnad slemhinna med kontaktblödning, men inga sår. * Kapillärt Hb är 112. Vidare utredning?
* Blodprover * F-odling, Cl difficile toxin och Cystor/maskägg * F-Kalprotektin (vi vet iofs att han har en inflammation i och med fyndet på rektoskopi)
48
Erik 20 år, på vårdcentralen Singel och läser Industriell ekonomi på universitetet. Han är icke-rökare, tidigare frisk och medicinfri. Han söker sin VC p.g.a. tilltagande besvär sedan fyra veckor med blodtillblandad diarré, uttalade trängningar och buksmärta som släpper efter tarmtömning. Han tömmer nu tarmen 6-8 gånger dagligen, grötaktig konsistens med tydligt med blod i de flesta avföringarna. 1-2 avföringar nattetid. Han är 186 cm lång och väger oförändrat 79 kg. Han var i Turkiet för sex månader sedan. Ingen i omgivningen har liknande besvär. Ingen hereditet för mag-tarmsjukdom. Basal utredning på vårdcentralen * Vid kroppsundersökning finner man att han är något blek, men f.ö. utfaller undersökningen utan anmärkning med mjuk och oöm buk utan resistenser. * Rektoskopi visar svullen, rodnad slemhinna med kontaktblödning, men inga sår. * Blodprover (Hb 115, MCV 81, CRP 17, Albumin 31, Ferritin 8, Krea 76, Folat 18, Kobolamin 297 * F-odling, Cl difficile toxin och Cystor/maskägg * F-Kalprotektin (vi vet iofs att han har en inflammation i och med fyndet på rektoskopi) Två veckor senare kommer Erik till endoskopienheten. Han har väsentligen oförändrade besvär. Trött. F-odl neg. Koloskopi * Homogen inflammation från rektum till mellersta descendens. Slemhinnan är svullen och rodnad med petekier och kontaktblödning, men inga sår och ingen spontanblödning. Skarp gräns mot normal slemhinna. Resterande colon och 20 cm distal ileum är ua . Px för PAD skickas * Bilden visar colon descendens Vad tyder allt ovan på?
Distal UC
49
Erik 20 år, tidigare frisk och medicinfri. Diagnosticeras efter sina magbesvär med distal UC. Bedömning * Endoskopi o Måttlig inflammation med distal utbredning * Bedömning o Måttligt skov i distal UC o Järnbristanemi Förslag på behandling?
* Muntlig och skriftlig information * Behandling av inflammationen o Prednisolon 5 mg 8x1, nedtrappning 5 mg/v o 5-ASA (Asacol) 800 mg 5x1 till återbesöket. o Antiinflamatorisk (Pentasa) rektalsuspension1g tn i 4v. * Järnbristanemin? o Ferinject 1000 mg vid två tillfällen via Dagvården
50
Erik 20 år, tidigare frisk och medicinfri. Diagnosticeras efter sina magbesvär med distal UC. Behandling * Muntlig och skriftlig information * Behandling av inflammationen o Prednisolon 5 mg 8x1, nedtrappning 5 mg/v o 5-ASA (Asacol) 800 mg 5x1 till återbesöket. o Antiinflamatorisk (Pentasa) rektalsuspension1g tn i 4v. * Järnbristanemin? o Ferinject 1000 mg vid två tillfällen via Dagvården Uppföljning? Telefontid 2 veckor IBD-ssk. Väsentligen oförändrade besvär med 6-8 blodtillblandade lösa avf per dygn, varav 1 2 på natten. Tagit medicinen som ordinerat. Hb 105, CRP 24, Albumin 28 Bedömning? Åtgärd?
Bedömning: steroidrefraktär Åtgärd: inlägges * Behandling o Betapred 4 mg x 2 iv o Innohep 4500 E x 1 sc o Normalkost * DT buköversikt
51
Erik 20 år, tidigare frisk och medicinfri. Diagnosticeras efter sina magbesvär med distal UC. Behandling * Muntlig och skriftlig information * Behandling av inflammationen o Prednisolon 5 mg 8x1, nedtrappning 5 mg/v o 5-ASA (Asacol) 800 mg 5x1 till återbesöket. o Antiinflamatorisk (Pentasa) rektalsuspension1g tn i 4v. * Järnbristanemin? o Ferinject 1000 mg vid två tillfällen via Dagvården Uppföljning? Telefontid 2 veckor IBD-ssk. Väsentligen oförändrade besvär med 6-8 blodtillblandade lösa avf per dygn, varav 1 2 på natten. Tagit medicinen som ordinerat. Hb 105, CRP 24, Albumin 28 Bedömning: steroidrefraktär Åtgärd: inlägges * Behandling o Betapred 4 mg x 2 iv o Innohep 4500 E x 1 sc o Normalkost * DT buköversikt o Ingen dilatation eller perforation. Svullen tarmvägg i hela colon Dag 4. Mår oförändrat. 5 blodiga lösa avföringar, feberfri. * Blodprover o Hb 102, CRP 41, albumin 25 * Sigmoideoskopi o Svullen, rodnad slemhinna med petekier och kontaktblödning. Inga sår eller spontanblödning. Dag 5 * Ingen anmnes på tuberkulos. Lungrtg ua. * Väger 79 kg. Lämplig åtgärd?
Rescuebehandling TNF-hämmare (Inflixumab (Remicade)) (5mg/kg) som infusion,
51
Erik 20 år, tidigare frisk och medicinfri. Diagnosticeras efter sina magbesvär med distal UC. Behandling * Muntlig och skriftlig information * Behandling av inflammationen o Prednisolon 5 mg 8x1, nedtrappning 5 mg/v o 5-ASA (Asacol) 800 mg 5x1 till återbesöket. o Antiinflamatorisk (Pentasa) rektalsuspension1g tn i 4v. * Järnbristanemin? o Ferinject 1000 mg vid två tillfällen via Dagvården Uppföljning? Telefontid 2 veckor IBD-ssk. Väsentligen oförändrade besvär med 6-8 blodtillblandade lösa avf per dygn, varav 1 2 på natten. Tagit medicinen som ordinerat. Hb 105, CRP 24, Albumin 28 Bedömning: steroidrefraktär Åtgärd: inlägges * Behandling o Betapred 4 mg x 2 iv o Innohep 4500 E x 1 sc o Normalkost * DT buköversikt o Ingen dilatation eller perforation. Svullen tarmvägg i hela colon Dag 4. Mår oförändrat. 5 blodiga lösa avföringar, feberfri. * Blodprover o Hb 102, CRP 41, albumin 25 * Sigmoideoskopi o Svullen, rodnad slemhinna med petekier och kontaktblödning. Inga sår eller spontanblödning. Dag 5 * Ingen anmnes på tuberkulos. Lungrtg ua. * Väger 79 kg. * Får rescuebehandling Dag 8 mkt förbättrad * Fast avföring utan blod * Hb 111, CRP < 10, albumin 30 Utskrivning med vilken behandling?
o Nedtrappningskur prednisolon 40 mg, minska 5 mg/v. o Infusion TNF-alfa-hämmare (remicade) 400 mg iv efter 2 och 6 veckor o Tablett 5-ASA (Asacol) 800 mg 5 x 1 och azatioprin måldos 200 mg/dag o Ferinjekt 1000 mg mg iv vid två tillfällen