Is this aortic regurgitation or aortic stenosis?




What is left atrial appendage enlargement usually indicative of?
Rheumatic Disease






What occurs in this stage of CHF?


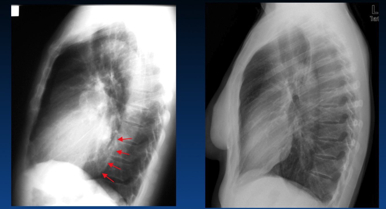
The left atrium is enlarged. What sign is the arrow pointing that indicates this?




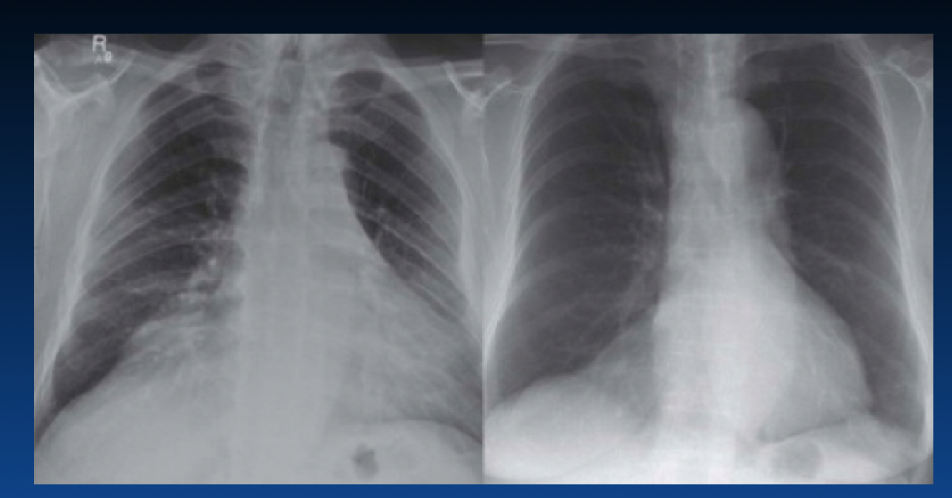
Right side is normal


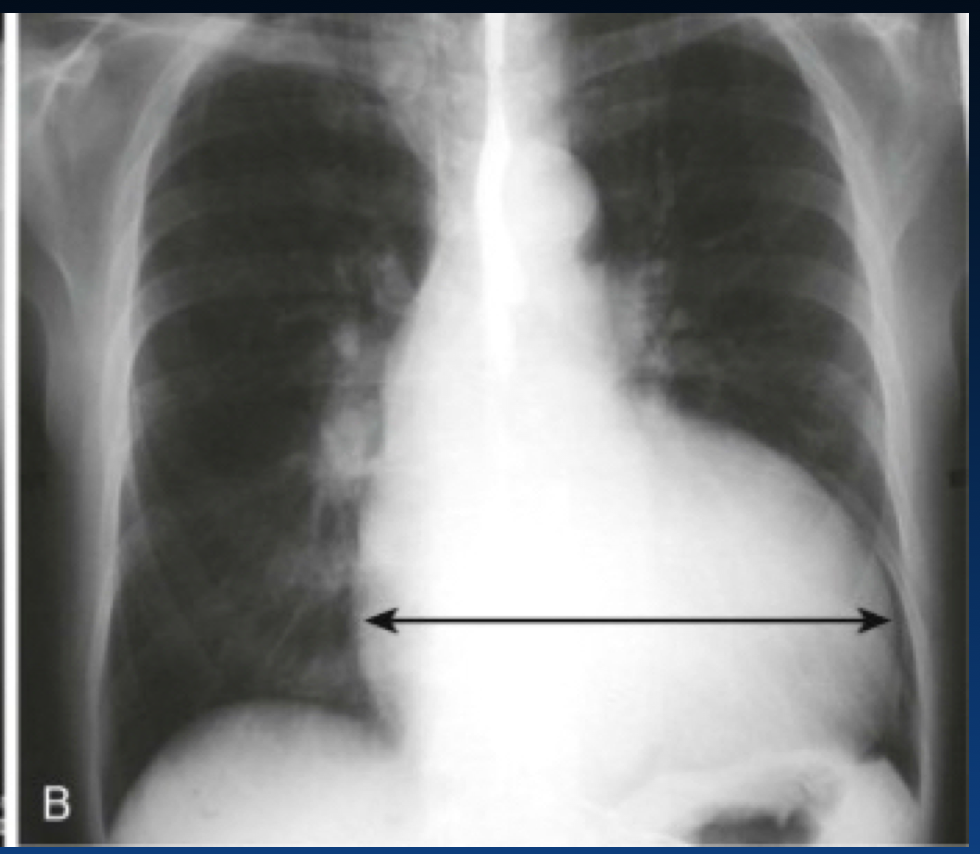
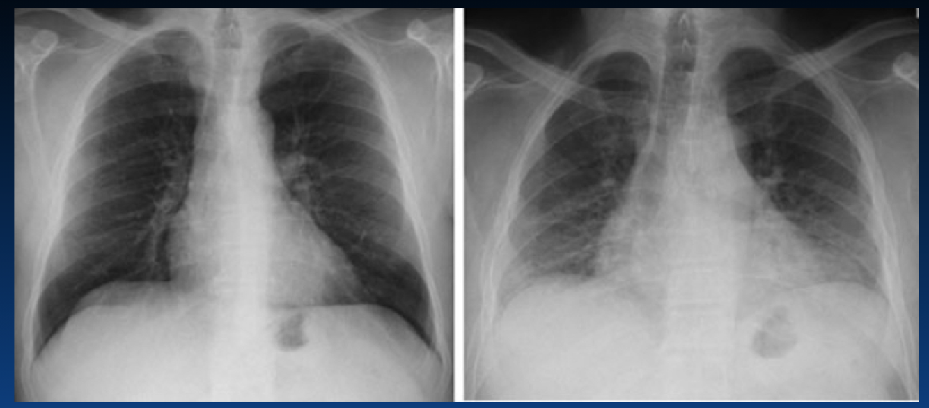
What are the reasons for increased CTR?



Label the heart chambers






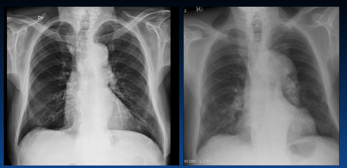
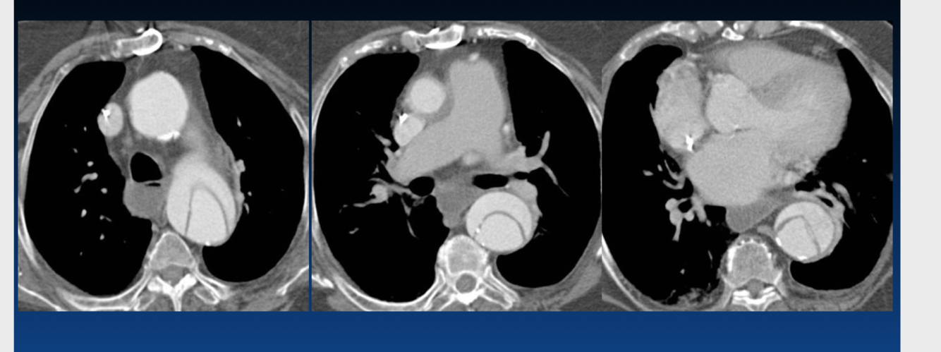
Which type of aortic dissection is treated surgically and which is treated medically?

A: surgical
B: medical
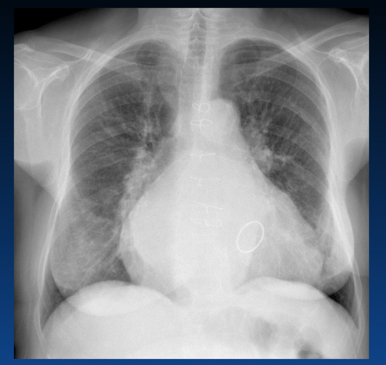
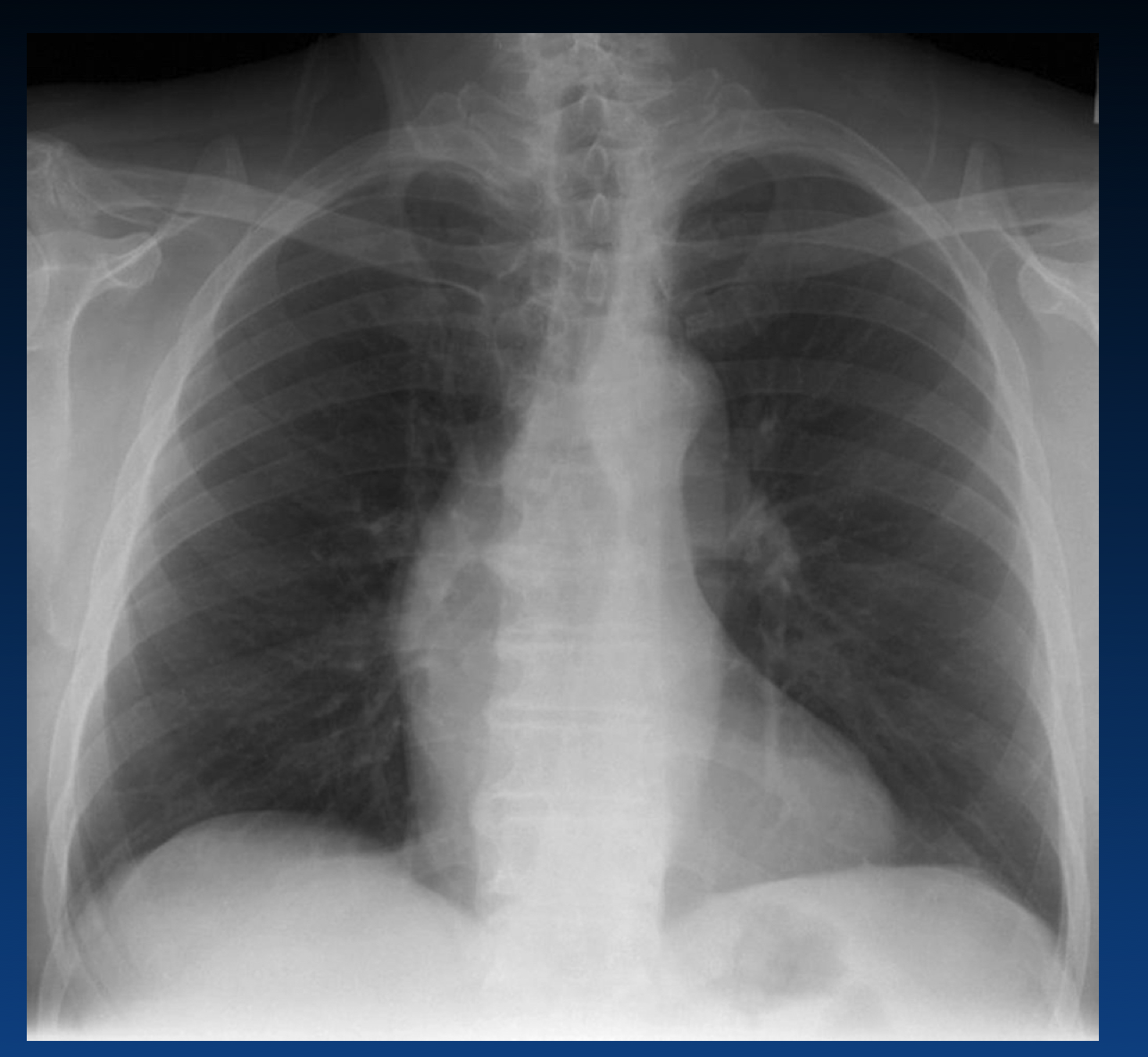
This does not show a real increase CTR. Why?

You can tell an expiration by the height of diaphragm as well as counting the ribs (the right only shows 4 ribs). You should see 6 or 7 ribs.

How can you tell the difference between aortic regurgitation and aortic stenosis on an x-ray?
Regurge is wider
Label the heart chambers






What is the Cardiothoracic Ratio?


