What does this slide of a renal artery show?


What is the major form of Peripheral resistance control?

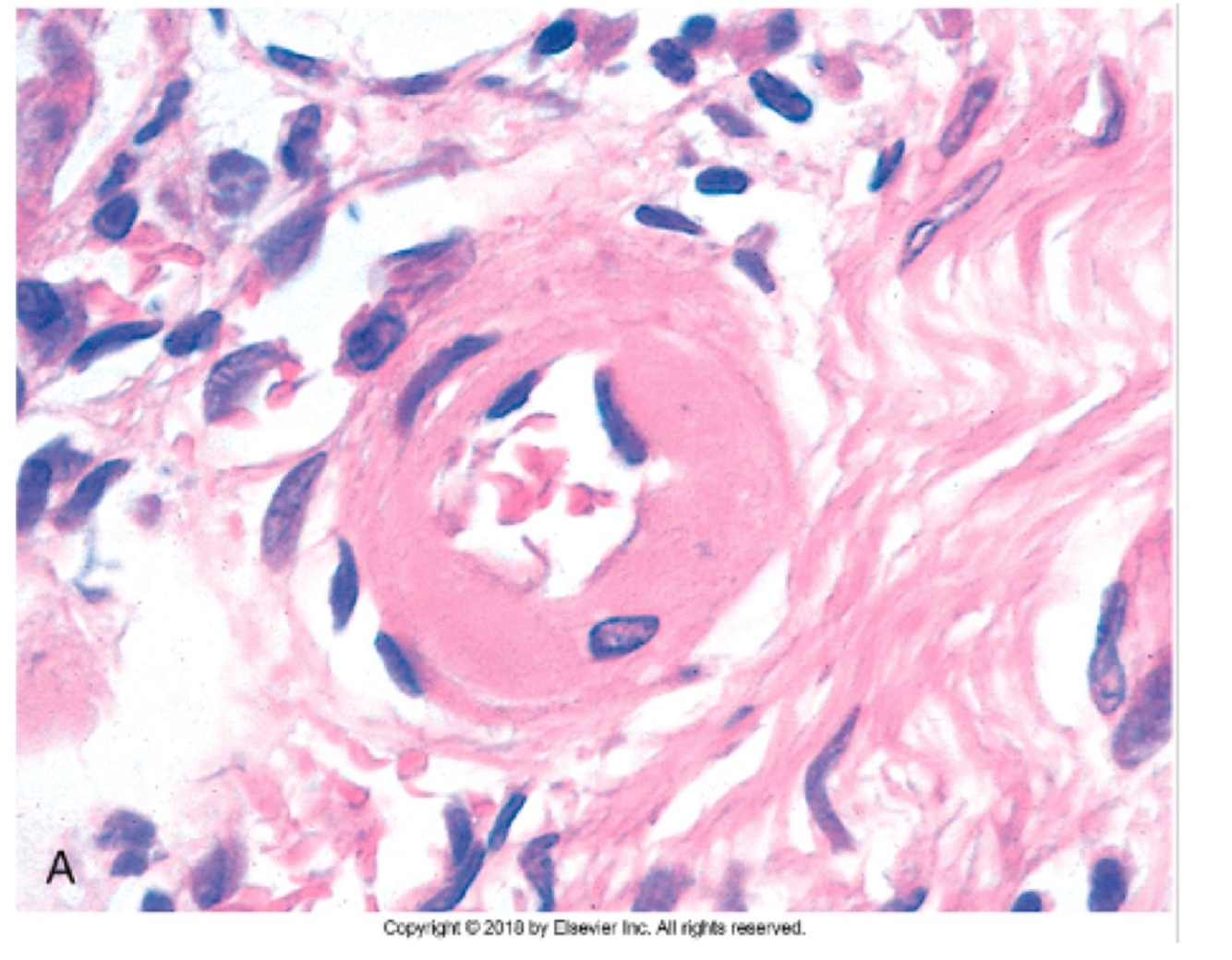
What are the characters of Hyaline arteriolosclerosis

What is malignant hypertension and what is it associated with?

What are the two types of HTN? Which is more common, what are the main causes of the more uncommon one?

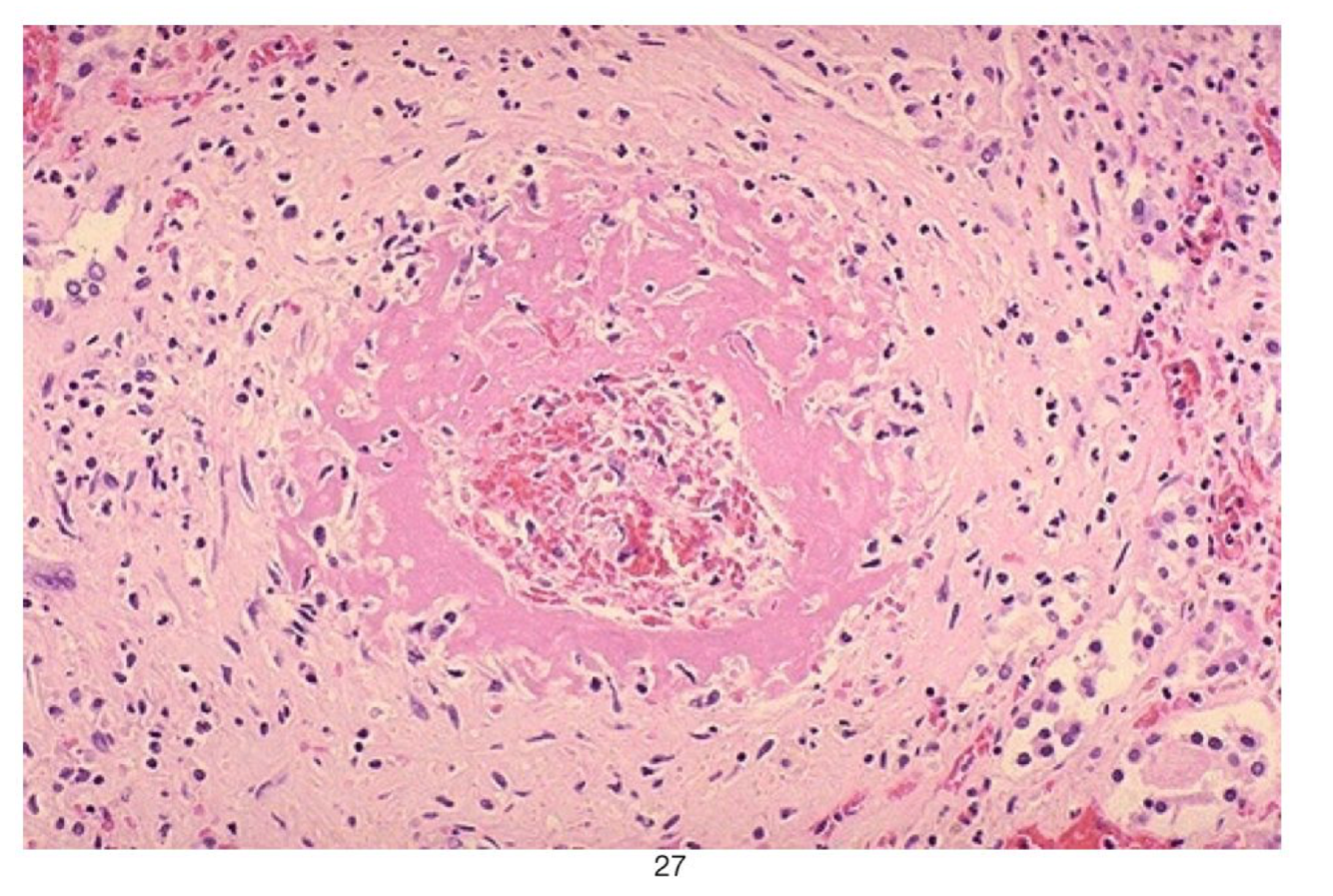
What type of HTN is necrotizing arteriolitis associated with?
Where does it occur?

Describe how autoregulation and pH determine resistance in vessels?

What does this image of an arteriolar wall show?


What are the three forms of HTN?


How do Natriuretic peptides work?

What are the general outcomes of hypertension?

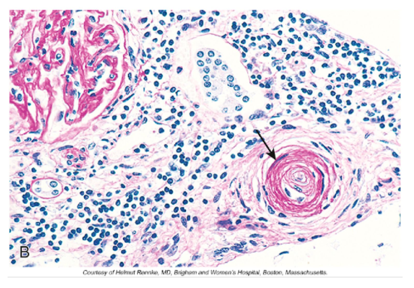
What does this slide show?


Describe the leakage of plasma components in Hyaline arteriolosclerosis?
What occurs in the kidneys in this disease?

Describe how Aldosterone works

Describe how Angiotensin works

How do Kidneys influence peripheral resistance and sodium
excretion/retention?

What are the Single-gene disorders associated with HTN?

What happens to the vessels in Hyperplastic arteriolosclerosis?

What determines stroke volume and what determines Heart rate and myocardial contractility?

