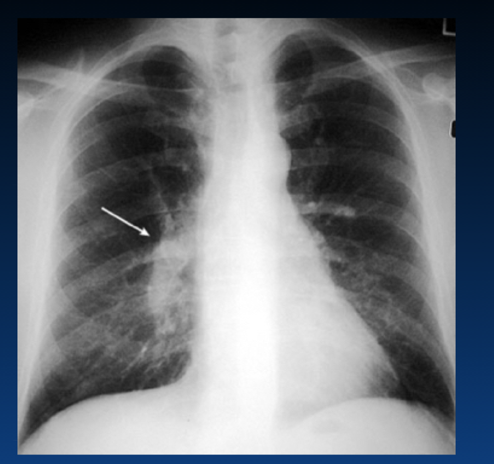
What is the Hampton hump?

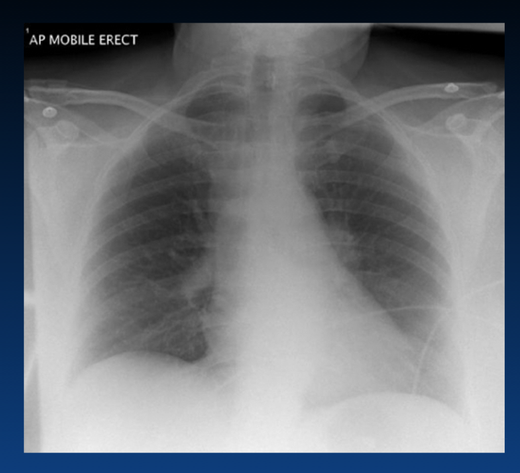
How is chest x-ray used in acute pulmonary embolism?

What do you see here?


What is shown here?


Where are the aortic and mitral valves here?


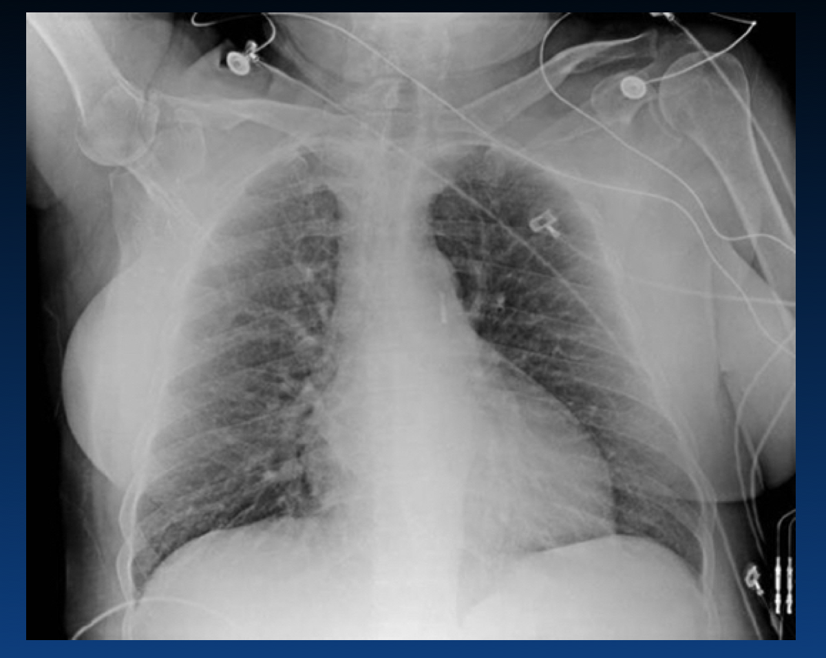
What kind of pacemaker is described?

What is shown at the arrow?


What is shown here?


What is shown here?

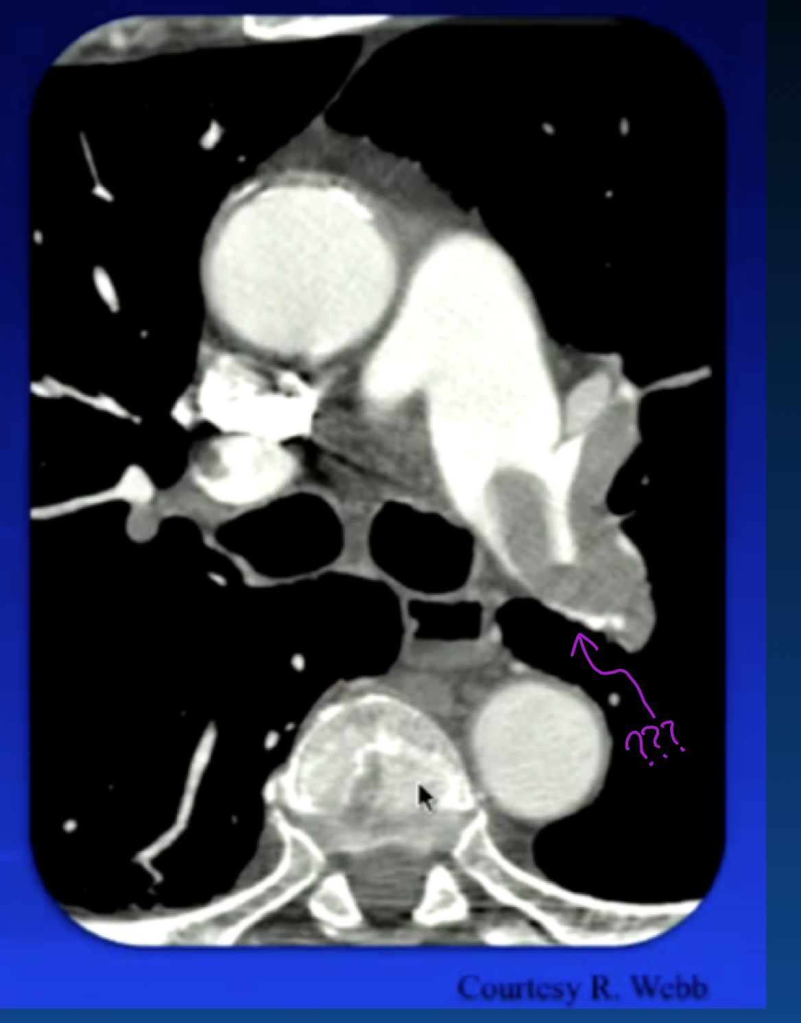
Saddle Embolism: When it goes over bifurcation of pulmonary artery

What condition caused this? (the white arrow?)

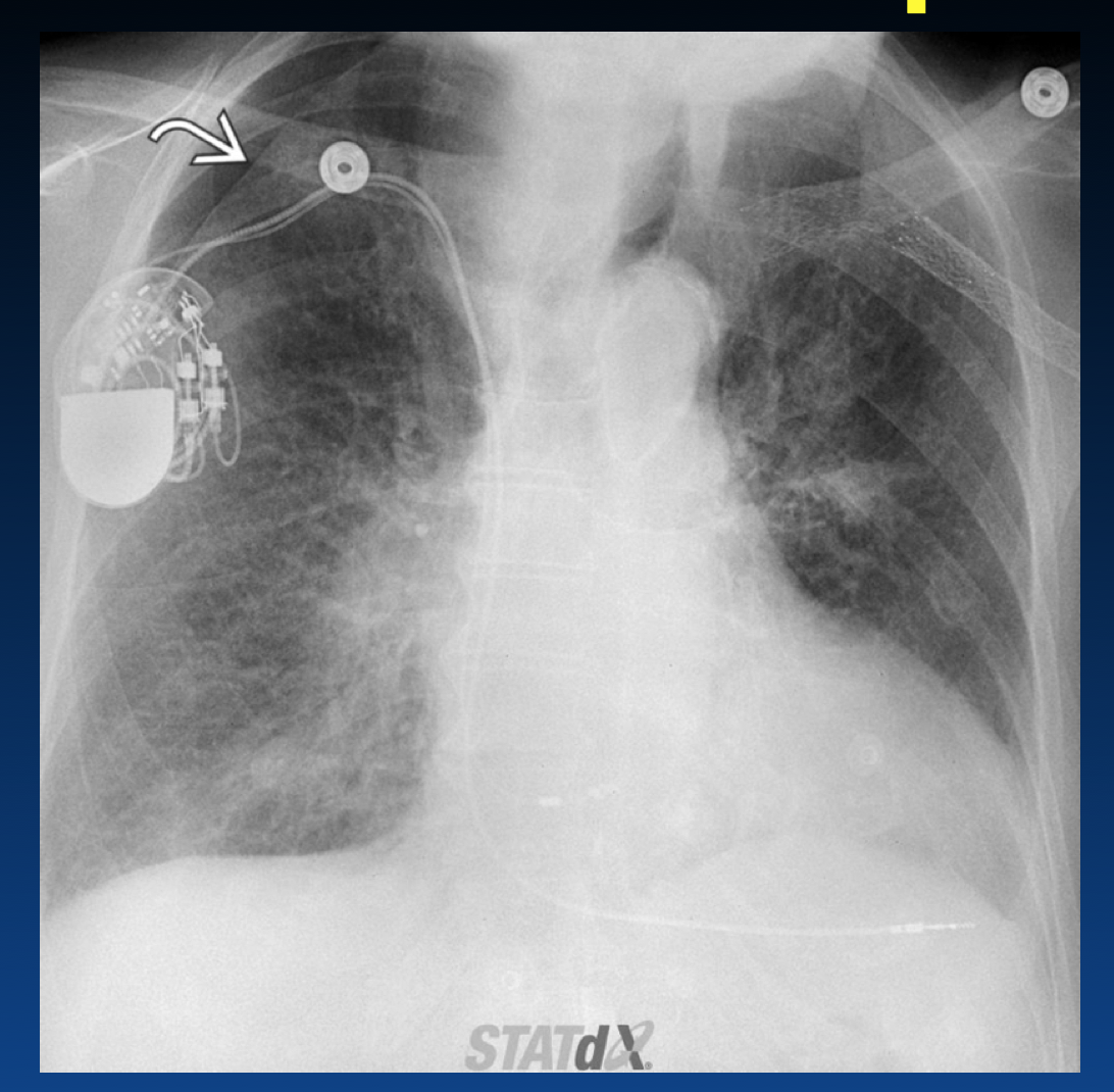
Name the Pacemaker/ICD Complication


Name the Pacemaker/ICD Complication


What is shown at the arrow?

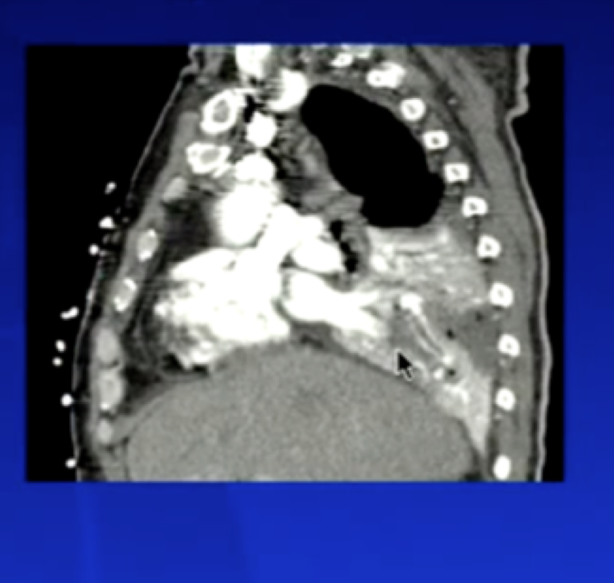
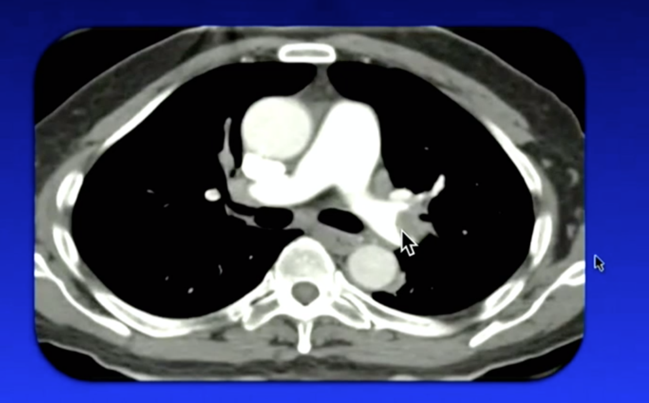
eccentric clot

What device is described?

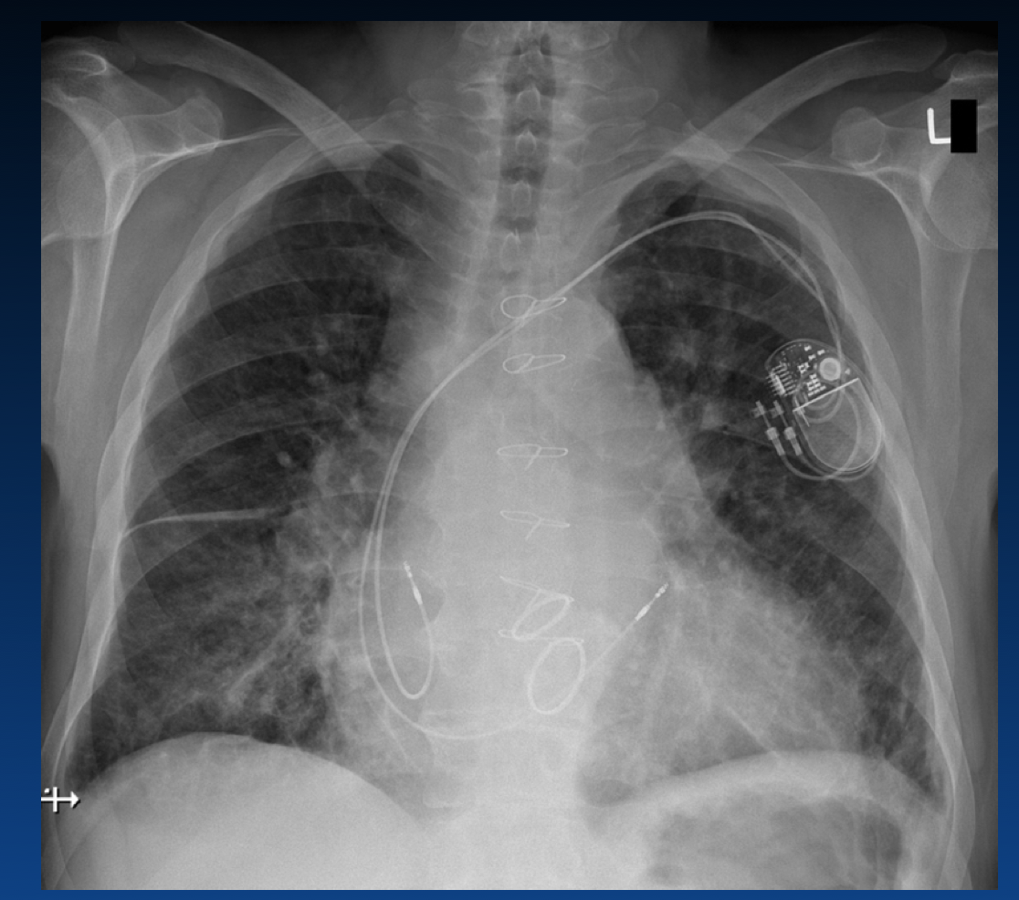
What kind of pacemaker is this?

Single Lead Ventricular Pacemaker VVI

What is the Palla sign?
What device is shown?


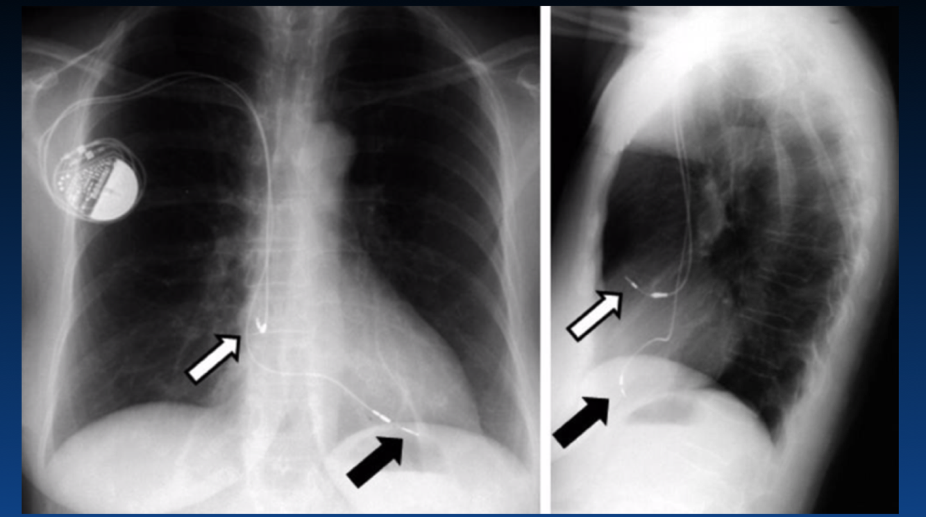
What is wrong with this?

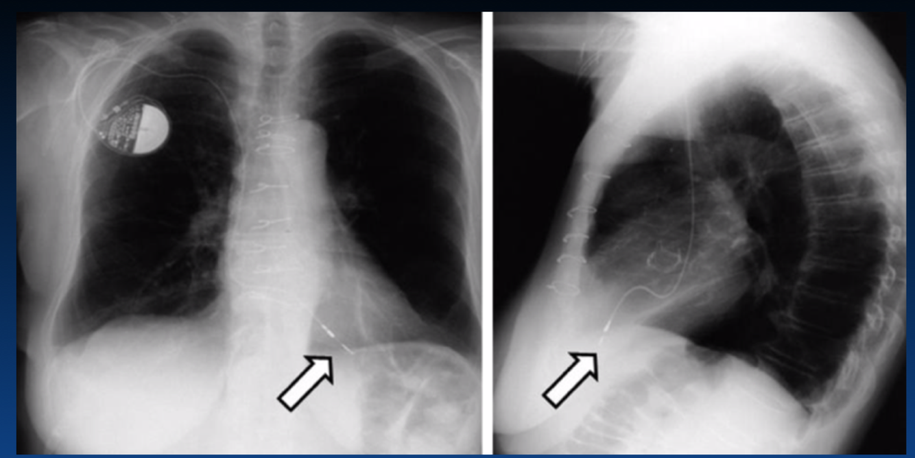
Misplaced lead

What are the features of right heart strain from pulmonary embolism?

What pacemaker is described?

What is the Checklist for CIED Evaluation

Where are the aortic and mitral valves here?


What kind of pacemaker is shown?


What is Twiddler Syndrome?
