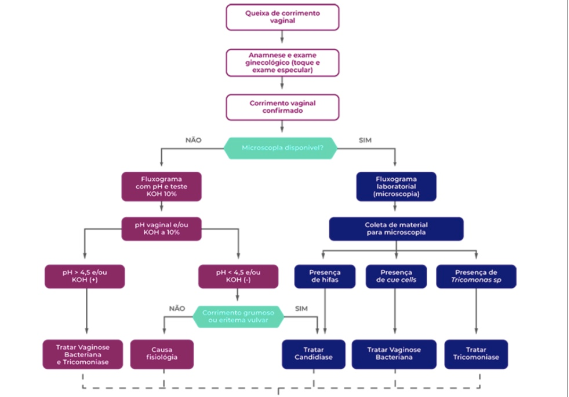
Infecção Flashcards

(8 cards)

1
Q

Ginecologia

DIP
Etiologia, quadro clínico e diagnóstico

A

Etiologia

  • 85% de casos por via sexual, 15-25 anos
  • Chlamydia Trachomatis e Neisseria gonorrheae (mais severa)

Fatores de risco

  • Duchas ou tampão vaginal pode favorecer ascenção de microrganismos
  • Uso de DIU, porém APENAS ATÉ 20 DIAS APÓS COLOCAÇÃO (referente a colocação e não ao dispositivo)

Quadro Clínico

  • Dor abdominal baixa ou pélvica
  • Corrimento vaginal purulento (esverdeado) fétido
  • Dor a mobilização do colo, toque vaginal e palpação de anexos.

Diagnóstico (tabela):

3 maiores e 1 menor OU 1 elaborado
How well did you know this?
1
Not at all
2
3
4
5
Perfectly
2
Q

Ginecologia

DIP

Complicações

A

Abscesso Tubo Ovariano:

  • Suspeitar se houver sinal da roda denteada
  • Ocorre quando há infecção da tuba uterina (Trompa de Falópio) devido a DIP, geralmente por Clamídia e Gonococo (Neisseria gonorrhoeae)
  • Por reação tecidual, forma-se conteúdo purulento, que pode se desprender, passar atráves das fímbrias e contaminar peritonio pélvico
  • Com o tempo, o conteúdo purulento fica viscoso e dá origem ao abscesso tubo-ovariano.
  • Se o abscesso se localizar APENAS nas tubas uterinas, chamamos de Piossalpinge
  • Após resolução, o abscesso pode se tornar uma massa multicistica chamada de hidrossalpinge, que possui conteudo liquido claro NÃO purulento.
  • O abscesso pode romper, levando ao óbito.

Conduta: Classificação de Monif

Internar se:

  • Abscesso tubo ovariano ou peritonite (descompressão brusca): sinal da roda denteada
  • Gravidez
  • Antibioticoterapia refratária após 72 hrs
  • Intolerância a ATB oral
  • Imunossupressão
How well did you know this?
1
Not at all
2
3
4
5
Perfectly
3
Q

DIP
* Critérios de internação e tratamento*

A
How well did you know this?
1
Not at all
2
3
4
5
Perfectly
4
Q

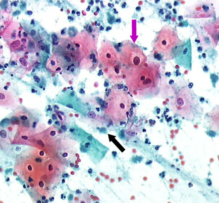
Vaginose citolítica

Etiologia e Tratamento

Seta azul: Lactobacillus
A

Etiopatogenia: Proliferação excessiva de Lactobacillus (Bactérias que acidificam naturalmente a vagina) PH<4,5

  • Corrimento esbranquiçado, flocular, fluido ou em grumos
  • Prurido que piora na pré-menstruação (Fase Lútea-período em que PH é mais ácido)
  • Falsa disúria e dispareunia
  • Sintomas são bem parecidos com candidíase, logo, suspeitar quando o corrimento e prurido não melhoram com anti-fúngicos
  • Bacterioscópia: excesso de Lactobacillus

Tratamento: aumentar Ph vaginal com duchas vaginais com bicarbonato de sódio (30-60g) diluído em 1 litro de água 2 a 3 vezes por semana até remissão da sintomatologia

PS; embora a Candida viva em PH ácido, ela NÃO é a origem da acidez

How well did you know this?
1
Not at all
2
3
4
5
Perfectly
5
Q

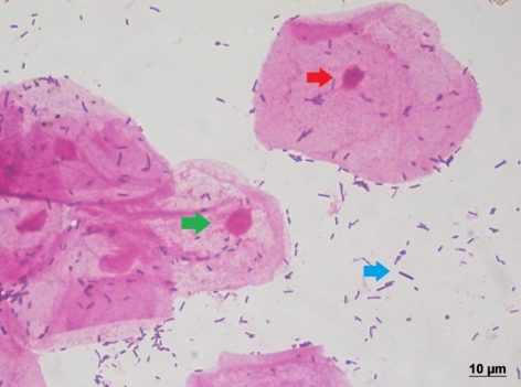
Vaginose Bacteriana

Etiologia, diagnóstico e tratamento

Clue cells: cel. recobertas de bacterias
A
  • Redução de Lactobacillus e proliferação de bactérias anaeróbias, como a Gardinerella Vaginallis. (ou Atopium vaginae,Molibuncus)
  • PH>4,5

Critérios de Amsel->Diagnóstico necessita de 3 dos 4 critérios

  • Corrimento vaginal homogêneo
  • Presença células alvo ou clue cells a microscopia
  • PH>4,5
  • Teste das aminas positivo (Whiff Test) odor de peixe (teste positivo)

Tratamento (tabela): evitar ingestão de alcool com imidazólicos, pois pode causar efeito dissulfiram ou antabuse, que diminui metabolismo de álcool, acumulando derivado tóxico, o acetaldeído que causa vômitos e convulsões

  • Orientar abstinência sexual e uso de preservativas
  • Falha no tratamento: duchas, sexo desprotegido,DIU,Imunodeficiência,resis.bact a imidazólicos (Atopobium vaginae-vaginose recorrente)
How well did you know this?
1
Not at all
2
3
4
5
Perfectly
6
Q

Tricomaníase

Etiologia, Quadro clínico, diagnóstico e tratamento

A

ETIOLOGIA

  • Infecção sexualmente transmissível causada por Trichomonas vaginalis

QUADRO CLÍNICO

  • Corrimento amarelo-esverdeado com bolhas
  • Odor fétido
  • Prurido e irritação vulvar
  • Dispareunia e colpite

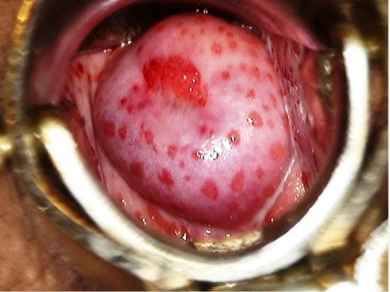
DIAGNÓSTICO:

  • ph>5,0
  • Exame especular: colo em framboesa (lesões puntiformes/ microulcerações/colpite)
  • Exame a fresco: protozoários flagelados e muitos leucócitos

TRATAMENTO

  • Metronidazol 2g DU VO
  • Controle de cura 3 meses após tratamento
  • Tratar parcerias sexuais
How well did you know this?
1
Not at all
2
3
4
5
Perfectly
7
Q

Candidíase

Etiologia, quadro clínico, fatores de risco, diagnóstico e tratamento

Pseudo-hifas
A

ETIOLOGIA

  • Candida Albicans
  • É parte da flora de 20-30% de mulheres assintomáticas
  • Vida sexual ativa gera microabrasões e alterações de PH que favorecem a infecção, mas a Candida não é comumente transmitida sexualmente
  • Fatores de risco: DM descompensado, obesidade, gravidez, corticoides,ATB,contraceptivos orais,imunodeficiência,Umidade, contato com substancias irritantes (talcos, perfumes, sabonetes,desodorantes íntimos)

QUADRO CLÍNICO

  • Corrimento branco, grumoso,aderido a vagina
  • Prurido,
  • PH < 4,5 (Candida gosta de meio ácido)
  • Disúria, dispareunia
  • Sintomas pioram antes da menstruação (fase lútea) e durante ela devido a acidez vaginal estar no máximo

DIAGNÓSTICO

  • Fungos na citologia a fresco
  • Exame microscópico de leucorréia vaginal detecta hifas e leveduras após aplicação de KOH 10%

CLASSIFICAÇÃO

  • Recorrente: 4x/ano, investigar HIV,Corticoide e DM
  • Complicada: sintomas intensos, recorrente, agente etiológico não albicans e comorbidades (HIV,diabetes) ou gestação

TRATAMENTO (TABELA)

PS: no HIV fazer tratamento para CVV recorrente, Na gestação usar TTO Tó

How well did you know this?
1
Not at all
2
3
4
5
Perfectly
8
Q

Vulvoganites

Fluxograma

A
How well did you know this?
1
Not at all
2
3
4
5
Perfectly