TORCHES Flashcards

(14 cards)

1
Q

Sífilis Congênita

Infecção pelo T.Pallidum transmitida por via transplacentária hematogênica em qualquer fase gestacional, diagnóstico é baseado nos sintomas que a maioria dos infectados apresenta ao nascer, como alterações radiológicas (periostite e osteocondrite) de LCR e hematológicas (anemia, leucocitose e monocitose)

Verdadeiro ou falso?

A
  • Falso
  • Mais de 50% nasce assintomático
  • Sintomas se manifestam dentro dos 3 primeiros meses de vida
How well did you know this?
1
Not at all
2
3
4
5
Perfectly
2
Q

Hepatite B congênita

Período gestacional com maior risco de transmissão transplacentária

A

Risco de transmissão

  • Primeiro trimestre: 10%
  • Segundo e terceiro trimestre: 60%

PS
Caso mãe portadora crônica e com HBSag/HbAG reagentes, não fazer imunoprofilaxia, mais 90% das crianças irão desenvolver infecção aguda para VHB e poderão progredir para infecção crônica

  • Maioria dos RNs é assintomática
How well did you know this?
1
Not at all
2
3
4
5
Perfectly
3
Q

CMV perinatal (parto/pós-parto)

  • Transmissão
  • Sequelas: físicas e em imagem
  • Diagnóstico: método e até quando fazer
  • Tratamento: medicamento, o vírus é eliminado totalmente
Lesões periventriculares
A
  • CMV perinatal é adquirido principalmente devido a exposição a secreções genitais infectadas e no aleitamento
  • Infecção subclínica (assintomática) na maioria das vezes, importante realizar exames audiométricos e avaliações do desenvolvimento periódico

Principal sequela.

  • Surdez neurosensorial detectada nos 3 primeiros anos de vida, é a principal causa de surdez neonatal não hereditária

Outras alterações:

  • Calcificações periventriculares (na toxoplasmose é intraparenquimatosa)
  • Alterações oculares
  • Restrição crescimento uterino
  • Hepatomegalia

Diagnóstico:

  • Isolamento viral ou PCR em urina ou saliva até 3 semanas de vida no máximo
  • Realizado logo após o nascimento

Tratamento: imagem

O VÍRUS TRATADO FICA APENAS LATENTE, PODE SER REATIVADO!!

How well did you know this?
1
Not at all
2
3
4
5
Perfectly
4
Q

TORCHES

Sífilis gestacional

Peridiocidade testes na gestante e retratamento

A

Acompanhamento

  • Teste não treponêmico (VDRL) mensal

RETRATAMENTO

  • Não redução da titulação em 2 diluições no intervalo de 6 meses (sífilis recente) ou 12 meses (sífilis tardia) após tratamento adequado
  • Aumento da titulação em 2 diluições em qualquer momento do seguimento
  • Persistência ou recorrência de sinais e sintomas em qualquer momento do seguimento
How well did you know this?
1
Not at all
2
3
4
5
Perfectly
5
Q

Sífilis gestacional

  • Diagnóstico
  • Tratamento
  • Retratamento
A

Diagnóstico

  • Na gestante basta 1 teste positivo para fechar diagnóstico infecção por T.Pallidum
  • Pode ser não treponêmico (VDRL,RPR) ou treponêmico (FTA-ABS,TPHA e ELISA)

Tratamento

  • Iniciar tratamento com Bezentacil 30 dias antes do parto
  • Controle terapêutico com VDRL mensal
  • Tratamento do parceiro sexual não é mais critério de tratamento adequado

RETRATAMENTO (sempre avaliar VDRL)

  • Não redução da titulação em 2 diluições (EX: 1:16->1:4) no intervalo de 6 meses (sífilis recente) ou em 12 meses (sífilis tardia) após tratamento adequado
  • Aumento da titulação em 2 diluições em qualquer momento do seguimento
  • Persistência ou recorrência de sinais e sintomas em qualquer momento do seguimento
How well did you know this?
1
Not at all
2
3
4
5
Perfectly
6
Q

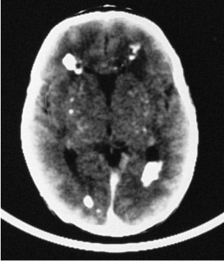
Toxoplasmose gestacional

  • Diagnóstico: até quando fazer?
  • Tratamento: Quando iniciar esquema triplice
Lesões intraparenquimatosas
A

RESUMO

IGG/IGM(+)–>Iniciar Espiramicina–>Avidez (-)(só solicitar até 16 semanas): continuar espiramicina –> 18 semanas, solicitar USG e PCR –> se positivos, trocar para esquema triplíce (sulfadiazina, ácido folínico e pirimetamina)

PRIMEIRO TRIMESTRE
Sorologia TXP IGG e IGM

  • Suscetível: IGG e IGM (-)
  • Imune: IGG (+) e IGM (-)
  • Soroconversão: previamente IGG/IGM(-) vira IGG/IGM (+)
  • Casos suspeitos: IGM/IGG (+) na primeira consulta, sem informações prévias. O IGM pode permanecer positivo por mais de 1 ano após infecção aguda, portanto a gestante pode ter infecção aguda ou crônica
  • iniciar espiramicina em casos suspeitos
  • Solicitar avidez nos casos suspeitos, só pode ser feita até 16-20 semanas
  • Avidez alta: infecção antiga, 4-5 meses atrás, IGM falso positivo
  • Avidez baixa: infecção aguda ou casos crônicos
  • Ao se confirmar infecção fetal, mudar esquema para triplice (acido folínico, pirimetamina e sulfadiazina) até o momento do parto

Toxoplasmose >16 semanas

  • Trocar espiramicina por pirimetamIna+sulfadiazina+ácido fólico se infecção aguda diagnóstica apenas no 3 trimestre, não há necessidade de amniocentese
  • Iniciar investigação fetal com 18 semanas (e após 4 semanas de infecção materna) por meio da amniocentes, USG e PCR.
  • Alterações no USG incluem: focos hiperecogênicos, hidrocefalia, rest, cresc, hepatoespenomegalia, ascite, calcificações intra hepáticas, hidropsia fetal
  • Se PCR do liquido amniotico positivo para toxoplasmose, manter esquema triplice até o parto, não precisa suspender sulfadiazina 1 mês antes do parto
  • Se PCR negativo, manter espiramicina até o parto
How well did you know this?
1
Not at all
2
3
4
5
Perfectly
7
Q

HIV gestacional

  • Diagnóstico: quando fazer? quantos testes? Quando iniciar tratamento?
  • Via do parto: como e quando é definida? Qual medicação usar?
  • Contraindicações do parto?
  • Profilaxia do RN?
A
  • Teste para HIV deve ser feito no 1 e 3 trimestre e no momento do parto
  • Diagnóstico só é confirmado com 2 testes diferentes positivos
  • TARV deve ser iniciada assim que houver diagnóstico: TDF+3TC+DTG

Com 34 semanas, baseado na CV, definimos a via de parto:

  • CV desconhecida ou >1000 cópias/ml: cesárea eletiva com 38 semanas+Zidovudina/AZT EV no parto 3 hrs antes e mantido até ligadura do cordão umbilical
  • Trabalho de parto antes de 38 semanas + 4cm de dilatação: AZT EV e cesarea após 3hrs, suspender AZT após clampeamento do cordão
  • CV< 1000: parto segundo indicação obstétrica, pode ser vaginal->AZT injetável IV no parto
  • Indetectável: parto vaginal segundo recomendação obstétrica, pode ser vaginal. Não precisa de AZT, apenas continuar usando TARV
  • CV>1000 cópias em momento de parto ativo: parto vaginal + AZT EV

Cuidados com o RN

  • Evitar amniotomia,evitar clampeamento imediato, evitar aspirar VA, evitar instrumentos e realizar banho precoce para remover sangue
  • HIV é contraindicação absoluta a amamentação

Profilaxia do RN

RN de baixo risco (mãe com TARV regular desde primeira metade da gestação +CV indetectável a partir da 28 semana):

  • apenas Zidovudina (AZT) por 28 dias

RN de alto risco (tudo que não se encaixa na de baixo risco):

  • AZT +Lamivudina (3TC) + Raltegravir (RAL) por 28 dias.
How well did you know this?
1
Not at all
2
3
4
5
Perfectly
8
Q

HEPATITE B GESTACIONAL

  • Exames para definir conduta
  • Vacinar RN e mãe? (Meses?) Forma de parto? Pode amamentar?
A
  • Gestantes HBsAG reagentes no exame de triagem deverão complementar a avaliação com solicitação de HBeAG, ALT (TGP) e CV-HBV.
  • CV> 200.000 e AST/ALT >2x normal indica TDF
  • Se HBeAG reativo (replicação viral) fazer profilaxia com TDF (tenofovir) no 3 trimestre (28-32 semanas) e manter após o parto
  • PS: se HBeAG reativo, CV-HBV não tem importância, pois já se assume que a carva viral é alta.

Conduta

  • Vacinar gestantes contra hepatite B (0-1-6 meses)
  • Parto vaginal(obstétrico)+lactação permitida (se fissura com sangue, usar outra mama)
  • RN deve ser vacinado e receber imunoglobulina (HBIg) ao nascimento, AMBAS ATÉ 12 HORAS
How well did you know this?
1
Not at all
2
3
4
5
Perfectly
9
Q

Rubéola congênita

Semestre de risco, quadro clínico e tratamento

A
  • Causada pelo vírus RNA do gênero Rubivírus da família Togaviridae
  • Risco de transmissão vertical maior se contraído no primeiro trimestre e até 18-20 semanas, chegando a 90% se contraído antes das 11 semanas

Principais manifestações( OCO-ouvido, coração, olho ):

  • Perda auditiva: manifestação tardia mais comum. Geralmente bilateral e origem neurosensorial (degeneração da coclea e orgão de corti)
  • Catarata:
  • Cardiopatia congênita (Persistência do canal arterial a mais comum)

Tratamento:
Sem tratamento

How well did you know this?
1
Not at all
2
3
4
5
Perfectly
10
Q

Sífilis Congênita

  • Manifestações precoces e radiograficas
A

Manifestações precoces- até 2 anos

  • Rinite sífilica ou corrimento nasal: secreção purulenta excessiva
  • Rash maculopapular e exantema vesicular (pênfigo bolhoso): área de eritema acompanhada de descamação em palma das mãoes e planta de pé com vesículas de conteúdo purulento, contato transmite infecção
  • Pseudoparilisa de Parrot: limitação de movimento unilateral de MMSS devido a osteocondrite
  • Alterações radiográficas:
    1. Periostite:
    2. Sinal de Wimberger: degeneração da porção proximal da tíbia
How well did you know this?
1
Not at all
2
3
4
5
Perfectly
11
Q

Sífilis congênita

Manifestações tardias (>2 anos)

A

Principais:

  • Dentes de Huntchington
  • Coriorretinite
  • Perda auditiva sensorial
  • Tíbia em sabre
  • Nariz em cela
How well did you know this?
1
Not at all
2
3
4
5
Perfectly
12
Q

Sífilis Gestacional

  • Paciente com Cicatriz sorológica-conduta
A
  • Se mãe com sífilis gestacional prévia, com histórico comprovado de tratamento adequado e documentação de queda de VDRL em 2 diluições (1/16->1/4)
  • Apresenta teste treponêmico positivo (hemaglutinação indireta)
  • Conduta: coletar VDRL do RN
How well did you know this?
1
Not at all
2
3
4
5
Perfectly
13
Q

Sífilis Congênita

Conduta

A
  • Caso a gestante não tenha feito exames para sífilis e já tenha ocorrido o parto, coletar teste rápido. Se positivo, avaliar histórico de tratamento da gestante (se negativo, não necessidade de tratamento para bebe ou gestante)
  • Verificar se foi tratada adequadamente durante a gestação (Benzetacil 30 dias antes do parto)
  • Coletar VDRL materno e infantil

Caso 1: VDRL infantil menor que 2 diluições do que VDRL materno (EX: VDRLi: 1/2, VDRLm:1/8)

  • Fazer exame físico na criança
  • Se normal, considera-la exposta a sífilis, sem necessidade de tratamento imediato (mais precisa ser acompanhada)
  • Se alterado, verificar VDRL
  • Se VDRL reagente (qualquer titulação): seguir conduta de sífilis congênita (CASO 2)
  • Se não reagente: investigar para outras TORCHES

Caso 2: VDRL infantil maior que 2 diluições do VDRL materno (EX: VDRLi: 1:16, VDRLm:1/4)

  • Considerar sífilis congênita, notificar
  • Realizar no RN: HMG, glicemia, RX de ossos longos e líquor (VDRL, glicorraquia, celuraridade, proteínorraquia)
  • Se exames normais (LCR sem nenhuma alteração em prot,glicose,VDRL,celularidade): aplicar Penicilina Benzatina 50.000 UI IM DU
  • Exame alterados EXCETO liquor: Penicilina cristalina EV ou Penicilina Procaína IM por 10 dias
  • Alteração liquor (ou se não foi possível coletar): neurosífilis-> Penicilina Cristalina EV por 10 dias
  • PS: VDRL +, Proteína > 150 e celularidade acima de 25 são alterações do liquor, bastando um deles

Seguimento (do RN)

  • VDRL seriado: 1,3, 6, 12 e 18 mes
  • Espera-se que começe a cair no terceiro mês e negativado no sexto, se não cair ou subir por muito tempo, devemos retratar
  • Fazer teste treponêmico aos 18 meses (confirma)
  • Fazer seguimento oftalmológico, neurológico e audiológico
How well did you know this?
1
Not at all
2
3
4
5
Perfectly
14
Q

HIV congênito

Investigação no RN

A
  • Solicitar carga viral nos prazos abaixo e com 1 ano a sorologia
  • Se todos negativos, a infecção por HIV é descartada
How well did you know this?
1
Not at all
2
3
4
5
Perfectly