Liquido amniótico Flashcards

(2 cards)

1
Q

Polidrâmnio

Diagnóstico

A
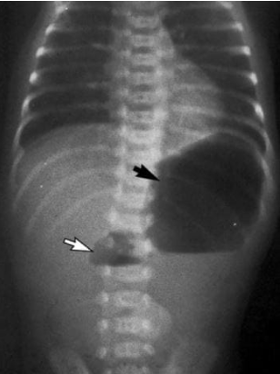
  • ILA (índice de líquido amniótico) >18
  • Ex: sinal de dupla bolha abdominal, que indica atresia dudodenal, indicando que o feto não consegue deglutir o líquido amniótico
How well did you know this?
1
Not at all
2
3
4
5
Perfectly
2
Q

Oligoamnio

Diagnóstico

A

ILA < 8

Sinal de sofrimento fetal

How well did you know this?
1
Not at all
2
3
4
5
Perfectly