What is a Bland-Altman Plot?

Femoral Nerve Block Anatomy
Muscles innervated
Cutaneous Innervation
What Distribution is missed?

Neuromuscular blockade and primary hyperparathyroidims
Treatment of Prolonged QT
Aspiration Management of LMA
Caudal: Systemic Toxicity

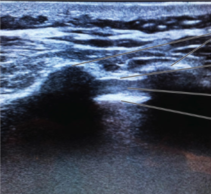
Identify the following block and structures


ERAS Protocol

Fluid therapy for traumatic brain injury
The choice of fluid should fulfill this utmost goal by augmenting oxygen delivery to the brain. Non-blood fluid, such as crystalloid and colloid, may help to treat hypotension and increase cerebral perfusion pressure (CPP), thus increase cerebral blood flow (CBF); however, it does not increase blood hemoglobin concentration and may actually decrease blood oxygen content due to hemodilution. Hypotonic, low sodium and dextrose-containing fluids should be avoided. 0.9% normal saline (NS) or even 3% NS should be considered if a crystalloid is chosen. The use of albumin in trauma victims is controversial. Most trauma centers choose not to use it. Mannitol is often adopted to decrease brain water and augment intravascular volume in patients with increased intracranial pressure. Red blood cell transfusion not only increases intravascular volume and facilitate CPP management but also augment blood oxygen content via the increase in hemoglobin.
Post op nausea Treatment
1) 5-HT3 receptor antagonist (e.g., ondansetron): commonly used in the perioperative management of PONV. Better at preventing vomiting than nausea. The recommended dose for ondansetron is 4mg at the end of the surgery. Do not re-dose unless more than 6 hours have elapsed since the last dose was administered, including in the immediate post-operative period. An adverse effect is QTc prolongation.
2) NK-1 receptor antagonist (e.g., aprepitant): more effective than ondansetron. Recommended to give prior to the start of surgery.
3) Corticosteroids (e.g., dexamethasone): recommended dosing is 4 mg at the beginning of the surgery due to long onset time.
4) Dopamine-2 receptor antagonist (e.g., droperidol, metoclopramide, Prochlorperazine): droperidol is effective as an anti-emetic. Recommended dosing is 0.625 to 1.25 mg at the end of surgery. Metoclopramide is considered a weak anti-emetic. The effective dose for metoclopramide is 25 to 50 mg. Metoclopramide 10mg is not recommended for PONV. Also, metoclopramide is not recommended as an antiemetic for patients who have received prophylactic ondansetron intraoperatively.
5) Anti-cholinergics (e.g. scopolamine patch): need to apply prior to going back to the operating room due to its 2 to 4 hour onset time. Can cause visual changes, dry mouth, and dizziness.

Therapeutic Hypothermia: Electrolyte Abnormalities

Type 1 vs Type 2 Alveoli
Type 1: Small, involved in gas exchange
Type 2: Produce surfactant

Brugada Syndrome Anesthetic Considerations
Anesthetic Considerations
Potential for hemodynamic collapse due to VT & VF
Avoid exacerbating factors of Brugada (ST Elevation):
Parasympathetic nervous system stimulation (increase in vagal tone)
Medications
Avoid BB, alpha agonists, neostigmine
Avoid class Ia antiarrhythmic (procainamide)
Electrolyte abnormalities: ↑↓K, ↑Ca
Fever
Considerations of AICD if in situ (only known treatment)
Preparations for treating Brugada Exacerbations or cardiac arrest:
All patients without AICD need defibrillator & pads in OR
Atropine, Ephedrine, Isoproterenol
Resuscitation drugs should be available
Typical ECG findings
Characteristic findings are RBBB & ST elevation in V1-V3

Pathophysiology of delayed hemolytic transfusion reaction
DHTRs are a potentially life-threatening complication of sickle-cell disease (SCD) treatment.

Diffusion Hypoxia Prevention with N2O Use
Diffusion Hypoxia has proven to be avoided by administration of oxygen for 10 minutes from cessation of nitrous oxide anaesthesia.
Compliance of lung equation
1/Crs = 1/Cl + 1/Ccw
or
C lung = Change volume (L)/Change pressure (cm)
Cerebral palsy anesthetic considerations and managment
Background
A disorder of movement & posture due to a static encephalopathy
Huge spectrum of presentation: almost asymptomatic to completely dependent
Caused by a cerebral insult in the immature brain that occurred prenatally, perinatally, or during infancy
The motor deficit may manifest as:
Hypotonia
Spasticity
Extrapyramidal features such as choreoathetoid/dystonic movements or ataxia
Considerations
↓ C-spine mobility & possible difficult intubation
Aspiration risk (GERD/↓lower esophageal sphincter tone)
Pulmonary:
Recurrent aspiration & pulmonary impairment
Scoliosis & ↑ bleeding risk during scoliosis surgery
Rule out pulmonary HTN/RV failure
CNS:
Developmental delay/lack of cooperation
Seizure d/o
Hydrocephalus
Altered response to anesthetics:
↓ MAC of volatiles & longer emergence
↑ sensitivity to muscle relaxants
Volatiles & succinylcholine NOT contraindicated
Difficult IV access, monitoring, & positioning due to contractures
Ex-premature conditions
↑ risk of hypothermia

Drowning management
What is the first step?
The 2010 European Resuscitation Council Guidelines state that rescue breaths should be the first steps prior to CPR administration to restore oxygenation and ventilation. Emergency personnel should avoid the following in a drowning victim: maneuvers to expel water from the lungs, cervical spine immobilization if no trauma is suspected, rough handling of a hypothermic patient because it may induce arrhythmias, and delay in transportation to an emergency department. All patients should be transferred to the emergency room independent of their initial appearance unless obvious rigor mortis, lividity, or decay are present.
Once in the Emergency Department, the primary goals should be avoidance of further hypoxemia and restoration of ventilation and circulation. Vomiting occurs frequently in these patients and airway protection should be considered.
Needlestick infectious risk and management
HIV
HBV
HCV
Hepatitis B prophylaxis Current CDC guidelines call for the administration of hepatitis B immune globulin (HBIG) and/or hepatitis B vaccine. While the efficacy of the combination has not been evaluated in the needlestick injury setting, it has been shown to be the most efficacious approach in the perinatal setting. The approach has no contraindications during pregnancy and lactation.
Hepatitis C prophylaxis CDC guidelines acknowledge that there is no active post-exposure prophylaxis for HCV. There is some evidence that treatment with interferon alfa-2b may be beneficial preventing chronic hepatitis.
HIV prophylaxis CDC guidelines generally recommend a post-exposure prophylaxis protocol with 3 or more antiviral drugs, when it is known that the donor was HIV positive; however, when the viral load was low and none of the above noted risk factors are met, the CDC protocol utilizes 2 antiviral drugs

Fontant Circulation
The order for repair of hypoplastic left heart syndrome is “Not Gonna Fly”
Background
Fontan is a palliative procedure for patients with functional univentricular physiology
Selection criteria for performance of Fontan are: adequately sized pulmonary arteries; low PVR; good LV function & the presence of sinus rhythm
The driving force for blood flow through the pulmonary circulation is the difference between central venous pressure (CVP) & atrial pressure:
There is NO active pumping of blood through the lungs
Cardiac output is essentially completely dependent on pulmonary blood flow
Hypovolemia is tolerated very poorly
Preoperative preparation: Review information from patient’s cardiologist; changes in patient’s exercise tolerance, level of cardiac impairment, details of the patient’s physiology, anatomy, & any residual & sequelae of previous surgeries
Minimize NPO interval, maintain intravascular volume (↓ preload results in ↓ pulmonary blood flow & cardiac output)
Goals
Hemodynamic goals:
Preload: keep full, avoid dehydration
Rate & rhythm: strict normal sinus rhythm
Contractility: maintain
Afterload: maintain
Pulmonary vascular resistance: keep low
Avoid hypercarbia, hypoxemia, acidosis, stress, pain, high intrathoracic pressures
Fluid management:
Guided by CVP or TEE (TEE very useful)
Vascular capacitance is ↑ in the Fontan patient; more fluid may be required than anticipated based on the formula commonly used to calculate fluid requirement
Ventilatory strategy:
Spontaneous ventilation is best as it enhances venous return & pulmonary blood flow
For PPV:
Limit peak inspiratory pressure (<20 cmH2O), use low respiratory rates (<20 bpm), short inspiratory times, avoid excessive positive end-expiratory pressure, moderately elevated tidal volumes (10–15 mL/kg), ensure adequate intravascular volume
Postoperative concerns:
Maintaining volume status, acid-base balance, & cardiac output are essential in the postoperative period; ensure adequate hydration & aggressively manage low cardiac output with intravenous hydration & inotropes
Adequate analgesia improves pulmonary mechanics & oxygenation; enhanced vigilance is required to avoid the effects of hypercapnia secondary to opioids
Treat postoperative nausea & vomiting to permit adequate hydration, prevent dehydration & electrolyte loss, & allow the patient to resume their medication regimen
The order for repair of hypoplastic left heart syndrome is “Not Gonna Fly”: Norwood, Glenn, Fontan.

Intraoperative fluid management: Infants
Perioperative fluid replacement for children and infants is a complex and somewhat controversial topic. Traditionally, the first step in determining the hourly fluid requirements for a child described by Holliday and Segar and coined as the “4/2/1” rule: For children < 10 kg their hourly fluid needs are body weight (kg) x 4. For children 10-20 kg, their hourly fluid needs are 40 ml + (BW – 10 kg) x 2 . Finally, for children > 20 kg, their needs are calculated by 60 mL + (BW – 20 kg) x 1. Thus, a 22 kg child would be thought to require 62 ml/hr of a hypotonic maintenance fluid (traditionally 5% dextrose in 0.45% sodium chloride).
According to Smith’s Anesthesia for Infants and Children:
Determination of maintenance fluid needs per the 4/2/1 rule
Estimation of volume deficit from preoperative fasting (hourly maintenance needs x number of fasting hours)
This volume delivered 50% of the first hour of anesthesia and 50% over the next 2 hours
Severity of surgical procedure and tissue trauma as it results in redistribution of fluids in the body compartments.
Mild trauma 2-6 ml/kg/hr
Moderate trauma 4-8 ml/kg/hr
Severe trauma 6-10 ml/kg/hr
Fluids needed to replete blood losses and to support blood pressure based on losses
Due to the large volume of fluids that can be administered perioperatively, it is recommended to use isotonic crystalloids form volume repletion during this setting. Tough dextrose-containing hypotonic fluids are most commonly used for maintenance fluids in pediatrics, they should not be used for boluses or volume beyond calculated hourly maintenance needs.
Opioid Conversion IV to Intrathecal
Morphine
Hydromorphone
Fentanyl
Mnemonic: “a tenth, a fifth, a third”
As a general rule of thumb:
Morphine: 10mg IV = 1mg Epidural = 0.1mg Intrathecal (1/10 ratio; very hydrophilic)
Hydromorphone: 1mg IV = 0.2mg Epidural = 0.04 Intrathecal (1/5 ratio; intermediate)
Fentanyl: 100mcg IV = 33mcg Epidural = 6-10mcg Intrathecal (between 1/3 to 1/5 ratio; very lipophilic)
Below what INR is it not recommmended to give FFP?
1.8
ECT Cardiac effects
Absolute and Relative Contraindications
Before discussing contraindications, it is important to first understand the physiologic effects of ECT. These include :
Large increases in cerebral blood flow and intracranial pressure
Initial parasympathetic discharge manifested by bradycardia, occasional asystole, premature atrial and ventricular contraction, hypotension and salivation
Following parasympathetic reaction is a sympathetic discharge associated with tachycardia, hypertension, premature ventricular contractions, and rarely, ventricular tachycardia and ECG changes, including ST-segment depression and T-wave inversion, may also be seen.
Glucose homeostasis is also affected. Hyperglycemia seen in insulin dependent patients
Absolute contraindications: Known pheochromocytoma
Relative contraindications: The risk of the patient’s psychiatric illness, side effects of antidepressant medications must be weighed against the risk of ECT and anesthesia. These conditions include :
Increased intracranial pressure, ok if there is not a mass effect
Brain tumors, same recommendation as above
Recent stroke- ECT has been performed successfully
Cardiovascular conduction defects. Pacemaker is not a contraindication to ECT- AICD function can be deactivated and magnet should be available if needed
High-risk pregnancy- OB consult and fetal monitoring is recommended
Aortic and cerebral aneurysms
Asthma/COPD- some suggest that you should discontinue theophyline because of its potential to cause status epileptics
Recommendations:
Delay ECT for patients with unstable angina, decompensated heart failure, or severe symptomatic valvular disease until these conditions are stabilized or optimized. Cardiology consultation may be of benefit
For high-risk neurosurgical lesions including recent stroke and brain tumor, neurosurgical consultation is recommended
Diabetic patients should hold oral hypoglycemic, short acting insulin and halve their long acting dose with fasting
Warfarin can be continued in high risk patients with INR <3.5
In severe GERD antacids can be taken or intubation considered