Propofol infusion syndrome associated with all of the following EXCEPT
Local Anesthetic Systemic Absorption based on injection site from GREATEST to LEAST
Anesthetic Considerations in Management of Abdominal Aortic Aneurysms.
How does cross clamp time relate to outcome?

At what point in pregnancy is maternal cardiac output the highest?
Immediatly following delivery
Up to 2.5x Pre-pregnancy values (150%)

Characteristics of teh following E-Cylinders

The difference between SIADH and Cerebral Salt Wasting Syndrome in Setting of CNS pathology
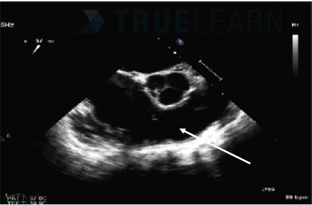
Arrow is Pointing at What Structure?
What is this view?


Transfusion of which blood product is most likely to cause transfusion associated sepsis?

Chromosone 22q11 Deletion

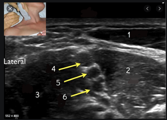
Identify the Block and Following Structures
Complications?


What is a “3 in 1” Block
What Nerves Are Blocked?

Why do we use Mannitol during Kidney transplant surgery
True or False
Platelet Transfusions carry a lower risk of TRALI compared to PRBC transfusions
Neonatal Resuscitation is based on what essential vital sign?
Definition of Time Constant as it relates to Anesthetic Circuit
Time constant = (volume or capacity of circuit)/Fresh Gas Flow (FGF)
Manifestations of Charcot-Marie Tooth Disease
Anesthetic Considerations

Most common cause of cardiac collapse in setting of venous air embolism?

Important drugs that do NOT cross the placenta
Hint: “He Is Going Nowhere Soon”
Purpose of dP/dt in assessment of cardiac function on echocardiography
Spinal anesthesia onset of action and duration of action in infants compared to adults
The Liver receives greatest blood flow from which vessel?
What about oxygen delivery?
What is the role of the Hepatic Arterial Buffer Response (HABR)
What is the role of Adenosine?
What is the concern in the setting of acute discontinuation of TPN for a patient being taken for surgery?
The “SHIVERS” of Serotonin Syndrome
