Laringe Flashcards

(21 cards)

1
Q

REPASO ANATÓMICO Y FUNCIONAL DE LARINGE

A
How well did you know this?
1
Not at all
2
3
4
5
Perfectly
2
Q

Topografía laríngea

A

Línea imaginaria que pasa por encima del músculo tiro-aritenoideo y cuerda vocal falsa o banda ventricular. La mucosa de esta banda se mete como bolsillo, ese espacio se llama ventrículo laríngeo, luego forra superficie donde está la cuerda vocal por lo que las CV son las dos cosas que señala la flecha, y se hace otra línea imaginaria en la falsa y a eso se le llama glotis

How well did you know this?
1
Not at all
2
3
4
5
Perfectly
3
Q

Supraglotis

A

Ventrículo laríngeo, vestibulo, epiglotis, cuerda vocal falsa (banda ventricular)

How well did you know this?
1
Not at all
2
3
4
5
Perfectly
4
Q

El drenaje linfático de CV y glotis es

A

Muy pobre, el de sub y supraglotis es muy rico
Si hay tumor maligno en cualquiera de los 3 niveles supra y sub tienen más posibilidad de diseminación linfática

How well did you know this?
1
Not at all
2
3
4
5
Perfectly
5
Q

Senos piriformes

A

Hipofaringe

How well did you know this?
1
Not at all
2
3
4
5
Perfectly
6
Q

Inervación laríngea

A

Debajo del cayado de la aorta da vuelta y sube al lado del esófago buscando la laringe (IZQ), este es intratorácico. TODO PX CON ALT NEURO DE LADO IZQ DE LARINGE TENEMOS QUE PENSAR TUMOR EN MEDIASTINO
Der: cayado por debajo de subclavia derecha

How well did you know this?
1
Not at all
2
3
4
5
Perfectly
7
Q

Histología del pliegue vocal

A

Reinke cuando espacio se tensa algo le pasa a la mucosa buscar

How well did you know this?
1
Not at all
2
3
4
5
Perfectly
8
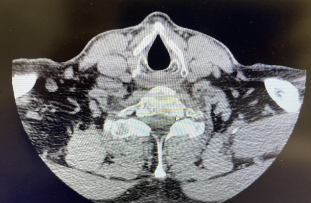
Q
A

Foto de enmedio: forma de casa: luz glótica y cartílago tiroides que puede tener forma de lágrima o forma de reloj de arena.
Subglutis 3era foto huevito

How well did you know this?
1
Not at all
2
3
4
5
Perfectly
9
Q
A

TAC / AXIAL
NIVEL GLÓTICO:
CUERDAS VOCALES
Y CARTÍLAGO
TIROIDES

How well did you know this?
1
Not at all
2
3
4
5
Perfectly
10
Q
A

Estenosis esofágicas
Disfagia torácica

How well did you know this?
1
Not at all
2
3
4
5
Perfectly
11
Q
A

Presbilaringe: cartilago tiroides calcificado

How well did you know this?
1
Not at all
2
3
4
5
Perfectly
12
Q

Laringoscopia con luz estroboscópica

A

Para que sirve

How well did you know this?
1
Not at all
2
3
4
5
Perfectly
13
Q

Nódulos

A
  • ANTECEDENTE : PROFESIONALES DE LA VOZ
  • VOZ : ASPERA CONSTANTE
  • PATRON : BILATERAL.
    SE PRESENTAN EN AMBAS CUERDAS VOCALES
  • “NODULOS EN BESO”
  • PATOLOGIA : LESIONES CÉSILES, FIBROSIS
    AFECTACIÓN SÓLO EPITELIAL

Cuando le decimos al paciente que diga III se pegan

How well did you know this?
1
Not at all
2
3
4
5
Perfectly
14
Q
A

Nódulos
Espacio oscuro es el ventrículo laríngeo

How well did you know this?
1
Not at all
2
3
4
5
Perfectly
15
Q

PÓLIPOS

A
  • ANTECEDENTE : ABUSO VOCAL AGUDO
  • PATRON UNILATERAL
  • PATOLOGIA : LESION PEDICULADA, VASCULARIZADA,
    VIOLÀCEA ó ROSA. SÓLO AFECTACIÓN EPITELIAL
  • VOZ : BITONAL

Aquí rompe: se queda sangre dentro de cuerda: se organza en forma de hematoma: se transforma en un pólipo. Proceso toma años

How well did you know this?
1
Not at all
2
3
4
5
Perfectly
16
Q

Edema de Reinke

A
  • ANTECEDENTES : MUJER > 40 AÑOS, CIGARRILLO, ALCOHOL, OBESIDAD, MUY PLATICADORES, GRANDES GRITADORES y/o PROFESIONAL DE LA VOZ
  • PATRON : BILATERAL. AMBOS PLIEGUES VOCALES EDEMATIZADOS, ASPECTO HIALINO
  • PATOLOGIA : EDEMA DEL ESPACIO DE REINKE
  • VOZ : ASPERA CON FATIGA VOCAL

Se debe de hidratar el espacio con agua VO al menos 30 minutos de usar la voz, porque tarda 20 min en llegar
Otra herramienta: inhalar vapor

TX: Insición longitudinal y se aspira el edema

17
Q

PAPILOMATOSIS LARÍNGEA

A
  • LESIONES PSEUDOTUMORALES
  • PATRON : LOCALIZADO O DIFUSO
  • ETIOLOGIA : VIRAL (VPH)
  • FORMAS : INFANTIL Y ADULTO
  • ALTAMENTE RECIDIVANTE
  • SINTOMAS : DISFONIA Y DISNEA PROGRESIVA
  • TRATAMIENTO : QUIRURGICO
18
Q

ANOMALÍAS CONGÉNITAS DE LA LARINGE: Laringomalacia

A

Conducta: nada, suele corregir a los 2 años
Episodios de cianosis al llanto

19
Q

Parálisis de cuerdas vocales

A

UL: IATROGENIA QX

20
Q

Microcirugía endolaríngea

21
Q

Laringitis agudas

A

Corditis tarda 2 semanas en curar
Crup: tos estenosante, constrictiva, noche, parainfluenzae, punta lapiz

The hallmarks of epiglottitis are the three Ds: Dysphagia, Drooling, and Distress.