LITIASIS VESICULAR Flashcards

(10 cards)

1
Q

¿Qué método es más rápido y específico para diagnosticar litiasis vesicular?

A

USG

How well did you know this?
1
Not at all
2
3
4
5
Perfectly
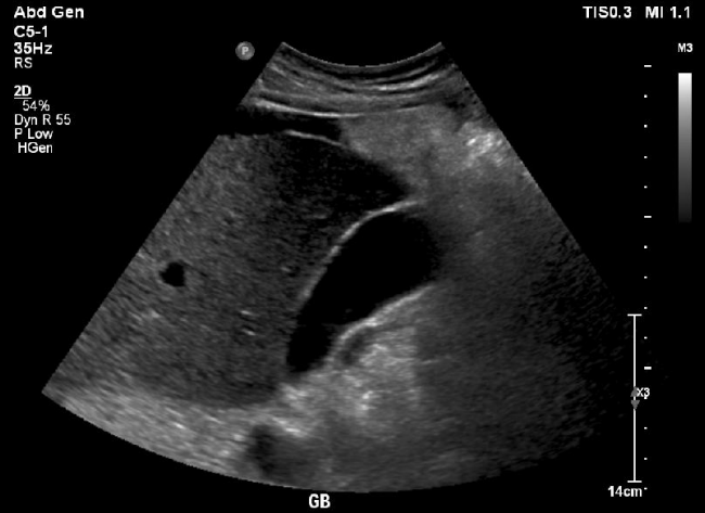
2
Q

Signo que usualmente es falso y se confunde con litiasis vesicular en USG

A

“Lodo” o “barro” biliar

How well did you know this?
1
Not at all
2
3
4
5
Perfectly
3
Q

Medidas
- Volumen vesicular:
- Pared vesicular:

A
  • < 100 ml
  • < 3 mm
How well did you know this?
1
Not at all
2
3
4
5
Perfectly
4
Q

Método por RX contrastada para patologías de árbol biliar

A

Colangiografía por sonda o CPRE

How well did you know this?
1
Not at all
2
3
4
5
Perfectly
5
Q
  • Mejor método para vesícula, vías biliares y páncreas:
  • ¿Cómo se ven los litos?
A
  • COLANGIORM
  • Hipointensos
How well did you know this?
1
Not at all
2
3
4
5
Perfectly
6
Q

Diferencia entre litos vesiculares y renales:

Método + sensible para litos:

A
  • Vesícula ⭢ redondos
  • Renales ⭢ amorfos

RM

How well did you know this?
1
Not at all
2
3
4
5
Perfectly
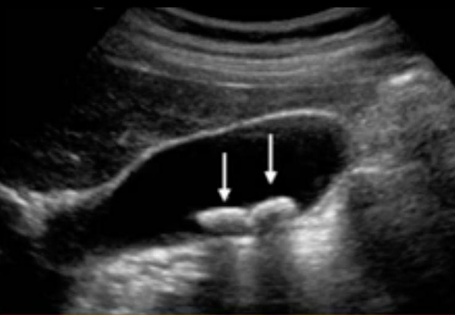
7
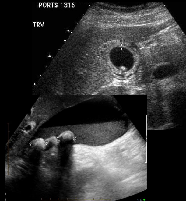
Q

¿Qué signo ecográfico es típico de litos vesiculares?

A

Sombra sónica posterior (HIPERECOGENICIDADES)

How well did you know this?
1
Not at all
2
3
4
5
Perfectly
8
Q

¿Qué hallazgo se puede ver en TC si los litos son cálcicos?

A

Hiperdensidad
(colesterol ⭢ hipodensos)

☮ (centro hipodenso)

How well did you know this?
1
Not at all
2
3
4
5
Perfectly
9
Q

¿Qué hallazgo radiográfico puede sugerir litos?

A

Radioopacidades redondeadas o en “capas de cebolla”

How well did you know this?
1
Not at all
2
3
4
5
Perfectly
10
Q

Prueba para verificar vaciamiento vesicular

A

Boyden

How well did you know this?
1
Not at all
2
3
4
5
Perfectly