TÓRAX I Flashcards

(99 cards)

1
Q

Tipo de radiografía:

A

Tele de Tórax (PA)

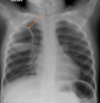
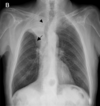
How well did you know this?
1
Not at all
2
3
4
5
Perfectly
2
Q

¿Cómo debe colocarse al px en una Tele de Tórax?

A
  • Bipedestación
  • En inspiración
  • Brazos → abducción
  • 1.8 m distancia
  • Pecho pegado al chasis
How well did you know this?
1
Not at all
2
3
4
5
Perfectly
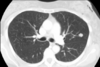
3
Q

¿Qué estructura pretende valorar una Tele de Tórax?

A

Pulmón

How well did you know this?
1
Not at all
2
3
4
5
Perfectly
4
Q

Tipo de radiografía:

A

T óseo (AP)

How well did you know this?
1
Not at all
2
3
4
5
Perfectly
5
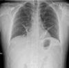
Q

¿Qué estructura pretende valorar un T óseo?

A

Huesos del tórax

How well did you know this?
1
Not at all
2
3
4
5
Perfectly
6
Q

¿Por qué no es confiable evaluar el corazón en un T óseo?

A

Se puede magnificar hasta 20% su tamaño

How well did you know this?
1
Not at all
2
3
4
5
Perfectly
7
Q

Esta es una radiografía de:

A

Mediastino

How well did you know this?
1
Not at all
2
3
4
5
Perfectly
8
Q

Lesiones en mediastino superior:

A

4T´s:
- Timoma
- Terrible linfoma
- Tiroides
- Teratoma

How well did you know this?
1
Not at all
2
3
4
5
Perfectly
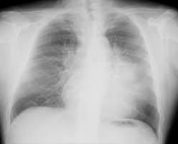
9
Q

Describe el signo de la silueta (+)

¿En qué lóbulo está?

A

1 silueta (no se diferencia la de la lx de la del ♥️)

(lóbulo ↑)

How well did you know this?
1
Not at all
2
3
4
5
Perfectly
10
Q

Describe el signo de la silueta (-)

¿En qué lóbulo está?

A

2 siluetas (si se diferencia la de la lx y la del ♥️)

(lóbulo ↓)

How well did you know this?
1
Not at all
2
3
4
5
Perfectly
11
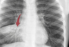
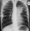
Q

¿Signo de la silueta?

A

Negativo

How well did you know this?
1
Not at all
2
3
4
5
Perfectly
12
Q

¿Signo de la silueta?

A

Negativo

How well did you know this?
1
Not at all
2
3
4
5
Perfectly
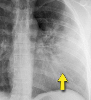
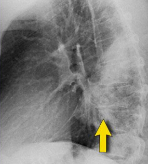
13
Q

¿Signo de la silueta?

Ubicación:

A

Positivo

Lóbulo superior

How well did you know this?
1
Not at all
2
3
4
5
Perfectly
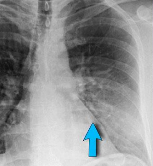
14
Q

¿Signo de la silueta?

Ubicación:

A

Positivo

Lóbulo inferior

How well did you know this?
1
Not at all
2
3
4
5
Perfectly
15
Q

¿Signo de la silueta?

Ubicación:

A

Negativo

Lóbulo inferior

How well did you know this?
1
Not at all
2
3
4
5
Perfectly
16
Q

Menciona el signo

A

Binoculares o Gemelos

vaso blanco, bronquio negro

How well did you know this?
1
Not at all
2
3
4
5
Perfectly
17
Q

Diámetro de la pulmonar no debe medir más de:

A

30 mm

≤ 29 mm 🚹 y ≤ 27 mm 🚺

How well did you know this?
1
Not at all
2
3
4
5
Perfectly
18
Q

Gold standard para ver patología pulmonar:

A

TC

How well did you know this?
1
Not at all
2
3
4
5
Perfectly
19
Q

Estudio de imagen para emergencias en patología pulmonar:

A

Tórax portátil

How well did you know this?
1
Not at all
2
3
4
5
Perfectly
20
Q

¿Qué distribución tiene la lx?

A

Central o parahiliar unilateral

How well did you know this?
1
Not at all
2
3
4
5
Perfectly
21
Q

¿Qué distribución tiene la lx?

A

Periférica o subpleural unilateral

How well did you know this?
1
Not at all
2
3
4
5
Perfectly
22
Q

¿Qué distribución tiene la lx?

A
  • Periférica al lóbulo o subpleural
  • Difusa (abarca 1 lóbulo completo)
How well did you know this?
1
Not at all
2
3
4
5
Perfectly
23
Q

¿Qué distribución tiene la lx?

A
  • Nodular
  • Triangular con base pleural (atelectasia)
How well did you know this?
1
Not at all
2
3
4
5
Perfectly
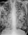
24
Q

¿Qué patrón tiene la lx?

A

Miliar

How well did you know this?
1
Not at all
2
3
4
5
Perfectly
25
¿Qué distribución tiene la lx?
"Alas de mariposa"
26
Cuando tenemos una masa NO delimitada muy radioopaca, podemos pensar en:
Consolidación
27
Un lobulillo pulmonar 2° se compone de:
- Acinos - T. C - Tabiques interlobulillares
28
¿Cómo es la distribución de los vasos linfáticos pulmonares?
Siguen a los tabiques interlobulillares | Drenan
29
Patrones pulmonares **hiperdensos** (↑ atenuación)
- Alveolar - Intersticial/Reticular - Nodular - Atelectasia
30
Tipos de patrón alveolar:
- Consolidación (sólido) - Vidrio despulido (sombras)
31
Patrón que ocurre por ocupación del espacio aéreo: | Sustancias que ocupan ese espacio:
Ocupación alveolar | Sangre, pus, agua, exudado
32
Entidad más frecuente de presentación de patrón de consolidación:
Neumonía
33
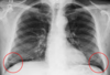
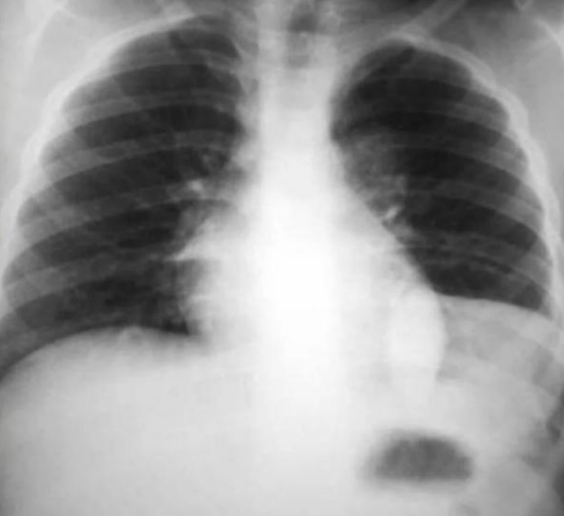
¿Qué signo ves?
**Broncograma aéreo** DATO CLAVE DE CONSOLIDACIÓN ## Footnote (radioopacidad/hiperdensidad con bronquios llenos de aire)
34
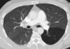
* ¿Qué estudio es? * ¿Qué patrón ves?
- TC - **Vidrio despulido** | (todavía se ven los vasos)
35
Distribución en "alas de mariposa" se asocia a:
Influenza | O edema pulmonar alveolar
36
Distribución + común de una neumonia viral
Bilateral
37
Distribución + común de una neumonía bacteriana:
Unilateral
38
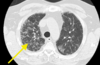
* ¿Qué estudio es? * ¿Qué patrón ves? | Descríbelo:
- TC - **Reticular** "red/telaraña" | Polígono con punto (vaso) en el centro
39
¿Cómo se describe el patrón reticular en RX?
Líneas finas/gruesas en extremos del pulmón
40
* Nombra el signo * ¿Qué tipo de estudio es? * Patrón observado
- **Líneas de Kerley** - RX - Reticular | (sólo se ven así en RX)
41
Causas del patrón reticular: | Se puede ocupar por:
Ocupación/enf del intersticio (barrera alveolo-capilar) | Agua, colágeno
42
Etiologías más frecuentes de presentación del patrón reticular:
1. **Edema pulmonar** ⭐ 2. Enf linfática 3. Fibrosis pulmonar
43
Principales enfermedades linfáticas que ocasionan patrón reticular:
1. **Sarcoidosis** 2. Carcinomatosis linf (diseminación linfangítica del cáncer) 3. Linfomas
44
- Estudio - Patrón - Etiología - Descripción
- TC - Reticular - Sarcoidosis o Carcinomatosis linf - Engrosamiento septal + nódulos perilinfáticos ("**arrosariado**"📿)
45
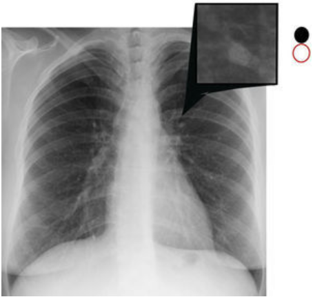
El patrón nodular es frecuente en enfermedades:
Granulomatosas
46
Signo características que se observa en metastasis pulmonares | Patrón:
"**Balas de cañon**" | Nodular
47
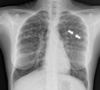
Diferencias entre nódulo y masa en estudios de imagen:
- **Nódulo** < 3 cm - **Masa** > 3 cm
48
Los nódulos se pueden ver:
- **Sólidos** (↑↑ blanco) - **Subsólidos** (vidrio despulido)
49
Los nódulos solitarios se pueden deber a:
- Cáncer - TB - Neumonía
50
Muchos nódulos se pueden deber a:
Metástasis
51
La neumonía en niños más frecuente se describe en imagen como:
Neumonía "redonda"
52
- El patrón miliar es un patrón: - Es característico de: | (diseminación hematógena)
- Nodular - TB
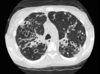
53
- Estudio - Patrón
- TC - Nodular
54
* Nombra el signo * Patrón observado
- Balas de cañón - Nodular
55
- Patrón - Característico de: - Nombre del signo:
- Nodular - TB activa - **Patitas de rana "árbol en brote"**
56
- Signo: - Característico de:
- **Nódulo de Ghon** - TB
57
Nódulo de Ghon + Ganglios calcificados hiliares o paratraqueales
Complejo de Ranke
58
- La lx nodular es: - Distribución:
Subsólida periférica
59
Patrón de colapso del tejido pulmonar con pérdida de volumen:
Atelectasia
60
Principales causas de atelectasia:
- Obstrucción - Compresión
61
Tipos de atelectasia:
62
# Tipos de atelectasia Obstrucción de un bronquio → el aire atrapado distal se reabsorbe → colapso
Atelectasia Obstructiva (Reabsortiva) | Moco (tapón mucoso), cuerpo extraño
63
# Tipos de atelectasia Algo comprime el pulmón desde afuera → colapso
Atelectasia compresiva (Pasiva) | Derrame pleural, neumotórax, tumor
63
# Tipos de atelectasia Fibrosis del parénquima retrae el tejido
Atelectasia Cicatrizal (Contracción) | TB pulmonar, neumonía crónica, secuelas de ARDS
64
La atelectasia ocasiona ........ de estructuras | Estructura CLAVE a buscar:
Retracción | Tráquea (hacia lado afectado)
65
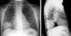
¿Qué es?
Atelectasia triangular
66
¿Qué es?
Atelectasia por obstrucción
67
Menciona el patrón
Atelectasia
68
Menciona el patrón
Atelectasia
69
Patrones pulmonares **hipodensos** (↓ atenuación)
- Quiste - Cavitación - Bronquiectasias - Hiperclaridad
70
- Patrón - Descríbelo
- Quístico - Lx redonda, paredes delgadas < 2mm, bien definidas
71
Las lx quísticas se pueden confundir con:
Caverna o bulla
72
- Causa de las lx quísticas: - Contienen:
- Lx parénquima - Aire o líquido
73
Ejemplos de lx de patrón quístico:
- **Neumatoceles** (se rompe → neumotórax) - **Bronquiectasias**
74
Describe un patrón de cavitación:
- Lx ovoide + pérdida de parénquima - Pared gruesa irregular - Contenido liquido o aéreo | (previamente sólida)
75
Si la pared de una cavitación es gruesa e irregular, la causa puede ser:
- Absceso - Ca pulmonar (escamoso) - TB
76
Si la pared de una cavitación es fina y casi imperceptible < 1mm, la causa puede ser:
Bulla enfisematosa
77
- Patrón: - Descríbela: - Probable etiología:
- Cavitación - Pared gruesa, irregular con aire - Cáncer o TB
78
- Patrón: - Enfermedad:
- Cavitación - Bulla enfitematosa o por tabaquismo
79
Dilatación anormal e irreversible del árbol bronquial
Bronquiectasias
80
- Patrón: - Síndrome asociado:
- Bronquiectasias - Kartagener
81
Signos del sx de Kartagener:
- Bronquiectasias - Dextrocardia - Sinusitis
82
Las bronquiectasias pueden ser secundarias a:
Infección necrosante crónica de bronquios y bronquiolos
83
Las bronquiectasias provocan:
- Infecciones recurrentes - Tos productiva crónica - Mucho esputo y hemoptisis
84
Subtipos de bronquiectasias:
85
¿Qué signo es?
Signo del tranvía | (2 líneas paralelas)
86
¿Qué signo es?
Signo del tranvía | (2 líneas paralelas)
87
Mejor método dx para bronquiectasia:
TC
88
Signo de DISTRIBUCIÓN que se da por atrapamiento de aire:
Mosaico
89
- Signo - Enfermedad asociada
- Signo del anillo de compromiso - Bronquiectasia | (bronquio-argolla y vaso-anillo)
90
Patrón en el que hay disminución de la densidad “mayor radiolucidez”
Hiperclaridad
91
Causas de una hiperclaridad
* Técnica * Hiperinsuflación compensatoria * Atrapamiento de aire * Enfisema * Neumotórax
92
Patrón pulmonar:
Hiperclaridad | Mosaico
93
Patrón pulmonar
Hiperclaridad | Mosaico
94
Tipos de enfisema: | (respecto al lobulillo pulmonar 2°)
- Centrolobulillar - Paraseptal - Panlobulillar
95
Tipo de enfisema:
Centrolobulillar | (se va desde periferia hacia el centro el pulmon, se ve puntito blanco)
96
Tipo de enfisema:
Paraseptal | (justo en periferia al lado de tabiques)
97
Tipo de enfisema:
Panlobulillar
98
En un neumotórax nos tenemos que los vasos no excedan la...
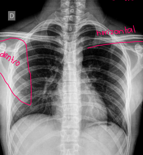
Pleura visceral