TRAUMA: TORÁCICO Flashcards

(8 cards)

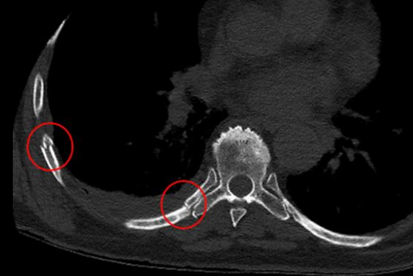
1
Q

Estudio inicial Fracturas costales

A

RX tórax óseo AP + oblicuas
- 1 m, ABCDE

How well did you know this?
1
Not at all
2
3
4
5
Perfectly
2
Q

Mejor estudio para fracturas costales

A

TC + 3D

Detecta fx no desplazadas

How well did you know this?
1
Not at all
2
3
4
5
Perfectly
3
Q

Hallazgos asociados a torax inestable en TC

A

Neumotórax, derrame, contusión (complicaciones)

How well did you know this?
1
Not at all
2
3
4
5
Perfectly
4
Q

Tórax inestable: definición imagenológica

A

≥2 fracturas en ≥3 costillas contiguas → segmento móvil.

How well did you know this?
1
Not at all
2
3
4
5
Perfectly
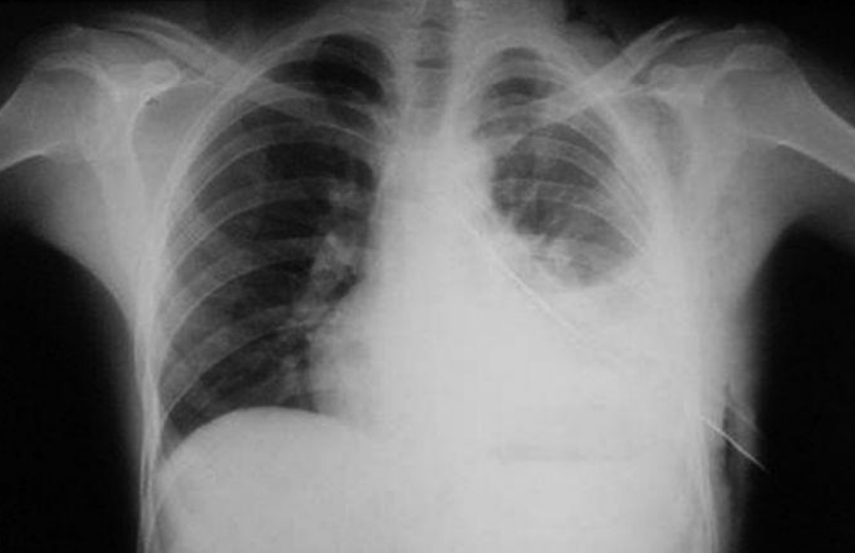
5
Q

Hallazgos Hemotórax en RX

A
  • Derrame (opacidad)
  • Borramiento ángulo costofrénico + silueta🫀
How well did you know this?
1
Not at all
2
3
4
5
Perfectly
6
Q

Mejor estudio Hemotórax

A

TC

(Derrame HEMÁTICO hiperdenso)

How well did you know this?
1
Not at all
2
3
4
5
Perfectly
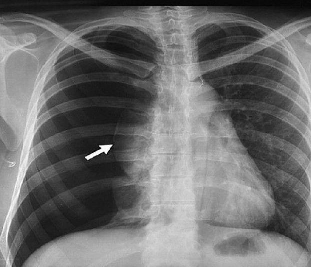
7
Q

Neumotórax en RX

A

Hiperclaridad sin trama vascular + pulmón colapsado

How well did you know this?
1
Not at all
2
3
4
5
Perfectly
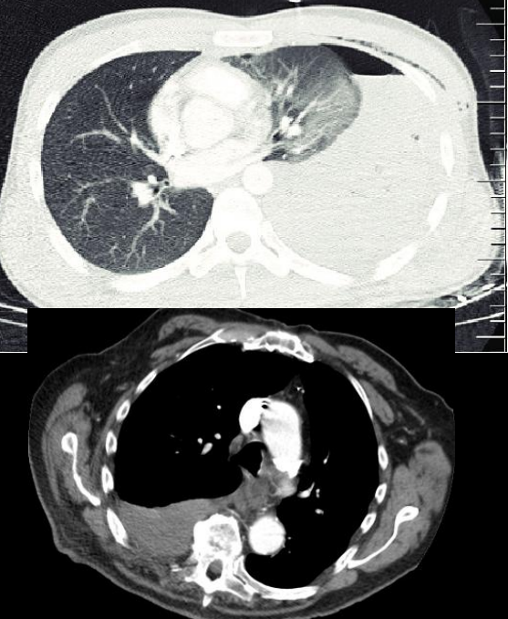
8
Q

¿Qué es?

A

Neumotórax TC

How well did you know this?
1
Not at all
2
3
4
5
Perfectly