TRAUMA: TCE Flashcards

(12 cards)

1
Q

¿En qué pacientes está indicada la RX de cráneo?

A

Trauma de ⭣ impacto / niños pequeños.

How well did you know this?
1
Not at all
2
3
4
5
Perfectly
2
Q

¿Qué diferencia una sutura de una fractura en RX?

A
  • Sutura: borde serrado, línea curva, + clara, 📍 anatómica fija
  • Fx: borde liso, línea recta, + oscura, atraviesa suturas
How well did you know this?
1
Not at all
2
3
4
5
Perfectly
3
Q

¿Cuál es el mejor estudio para fracturas de cráneo en TCE ⭡ impacto?

A

TC con ventana ósea + 3D

How well did you know this?
1
Not at all
2
3
4
5
Perfectly
4
Q

¿Qué fracturas se detectan solo por TC?

A

Fx de base de cráneo

How well did you know this?
1
Not at all
2
3
4
5
Perfectly
5
Q

Signos indirectos de fractura de base en TC

A

Sangre en seno esfenoidal, celdillas mastoideas, neumoencéfalo

Rino/oto raquia/ragia

How well did you know this?
1
Not at all
2
3
4
5
Perfectly
6
Q

Fractura lineal: hallazgos

A

Línea radiolucente fina; temporal/parietal + frec

How well did you know this?
1
Not at all
2
3
4
5
Perfectly
7
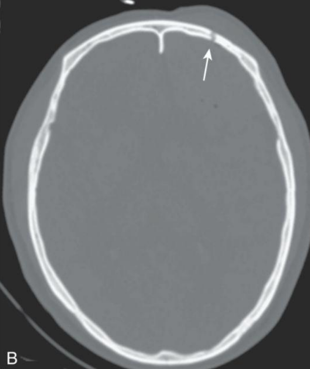
Q

Fractura deprimida: imagen clave

Zona común:

A

Hundimiento del hueso; mejor en TC 3D.

Frontoparietal

How well did you know this?
1
Not at all
2
3
4
5
Perfectly
8
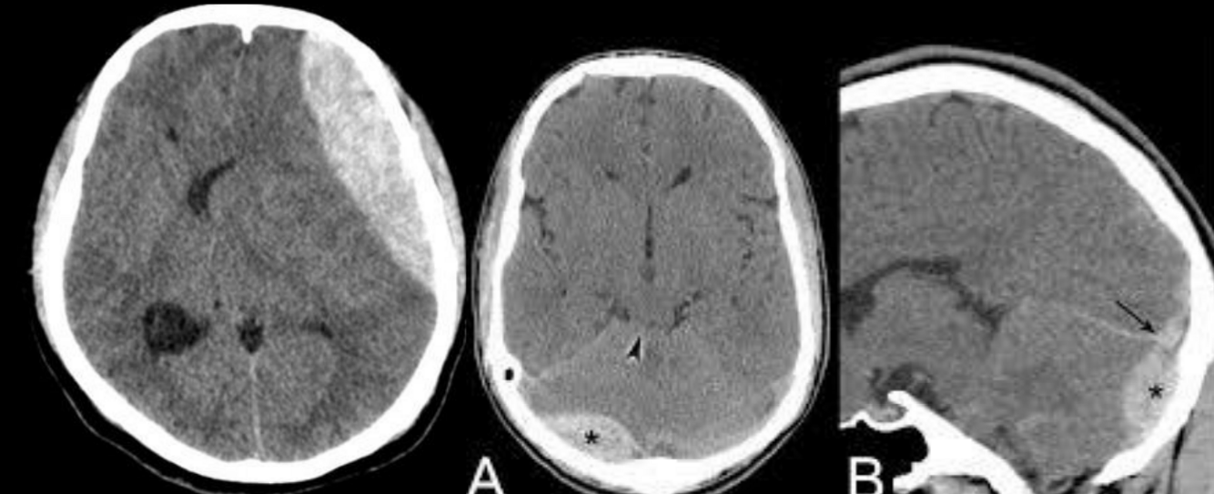
Q

Hematoma subdural en TC

A

Colección semilunar / cóncava adyacente a superficie cerebral

venoso, lento

How well did you know this?
1
Not at all
2
3
4
5
Perfectly
9
Q

Signo de subdural subagudo

A

Niveles sangre-líquido.

How well did you know this?
1
Not at all
2
3
4
5
Perfectly
10
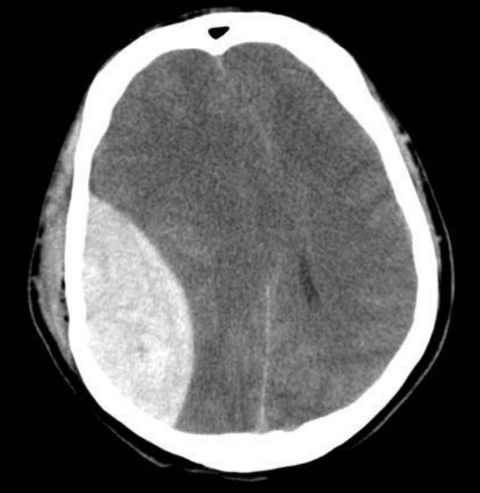
Q

Hematoma epidural en TC

A

Colección biconvexa/lenticular, NO cruza suturas

arterial

How well did you know this?
1
Not at all
2
3
4
5
Perfectly
11
Q

Arteria afectada en el hematoma epidural

A

A. Meníngea media

How well did you know this?
1
Not at all
2
3
4
5
Perfectly
12
Q

Epidural: hallazgo asociado casi siempre

A
  • Fractura
  • Herniación/efecto masa
How well did you know this?
1
Not at all
2
3
4
5
Perfectly