Meningite Flashcards

(44 cards)

1
Q

definição

A
  • infecção purulenta aguda no interior do espaço subaracnóideo (ESA).
  • Está associada a uma reação inflamatória do sistema nervoso central (SNC), que pode resultar em diminuição da consciência, crises convulsivas, aumento da pressão intracraniana (PIC) e acidente vascular cerebral (AVC)
    HARRISON
How well did you know this?
1
Not at all
2
3
4
5
Perfectly
2
Q

via de infecção hematogênica

A
  • Colonização da nasofaringe, com subseqüente invasão da corrente sanguínea seguida de invasão do sistema nervoso central (SNC)
  • outras provém dos intestinos (enterobacté- rias), dos pulmões (pneumococo) e do aparelho geniturinário (gram-negativos), sempre por disseminação hematogênica
    UPTODATE e VERONESI
How well did you know this?
1
Not at all
2
3
4
5
Perfectly
3
Q

via de infecção por contiguidade

A
  • a partir de focos próximos às estruturas anatômicas do SNC, como otites médias crônicas, mastoidites ou sinusites.
    VERONESI
How well did you know this?
1
Not at all
2
3
4
5
Perfectly
4
Q

via de infecção por continuidade ou acesso direto

A
  • traumatismos cranianos e por manipulação propedêutica ou terapêutica do SNC e de estruturas próximas (punção liquórica e uso de cateter ou implantes sem a devida assepsia)
How well did you know this?
1
Not at all
2
3
4
5
Perfectly
5
Q

etiologia de recém-nascidos de até três meses de vida

A
  • Streptococcus agalactiae (estreptococo do grupo B)
  • Escherichia coli
  • Listeria monocytogenes
  • Klebsiella pneumoniae
  • Salmonella enteritidis
    VERONESI E MEDCURSO
How well did you know this?
1
Not at all
2
3
4
5
Perfectly
6
Q

etiologia de entre 3 meses e 10 anos de idade

A
  • Neisseria meningitidis
  • Streptococcus pneumoniae
  • Haemophilus influenzae tipo b
    VERONESI
How well did you know this?
1
Not at all
2
3
4
5
Perfectly
7
Q

etiologia acima dos 10 anos de idade

A
  • Neisseria meningitidis
  • Streptococcus pneumoniae
    VERONESI
How well did you know this?
1
Not at all
2
3
4
5
Perfectly
8
Q

etiologia na selinitude

A
  • Neisseria meningitidis
  • Streptococcus pneumoniae
  • Listeria monocytogenes
  • Streptococcus agalactiae
  • enterobactérias
    VERONESI
How well did you know this?
1
Not at all
2
3
4
5
Perfectly
9
Q

meningite por Streptococcus pneumoniae

A
  • QC de maior gravidade
  • deixa mais sequelas nos sobreviventes
  • fator de risco: pneumonia, sinusite, otite, alcoolismo, diabetes, TCE
How well did you know this?
1
Not at all
2
3
4
5
Perfectly
10
Q

meningite por Neisseria meningitidis

A
  • raramente deixa sequelas após cura
  • chance de óbito é menor quando comparado ao pneumococo
  • indivíduos com deficiência do sistema complemento são mais suscetíveis
How well did you know this?
1
Not at all
2
3
4
5
Perfectly
11
Q

meningite por S.aureus e S.epidermidis

A
  • mais envolvidos após procedimentos neurocirúrgicos, como tratamento de hidrocefalia
How well did you know this?
1
Not at all
2
3
4
5
Perfectly
12
Q

fatores de risco

A
How well did you know this?
1
Not at all
2
3
4
5
Perfectly
13
Q

fases da patogênese

A
  • meningite bacteriana se desenvolve quando os fatores de virulência do patógeno superam os mecanismos de defesa do hospedeiro
  • a patogênese tem 4 processos principais:
  • Colonização do trato respiratório, gastrointestinal ou genital inferior
  • Invasão da corrente sanguínea
  • Sobrevivência na corrente sanguínea
  • Entrada no espaço subaracnóideo
    UPTODATE
How well did you know this?
1
Not at all
2
3
4
5
Perfectly
14
Q

colonização das membranas mucosas

A
  • meningococos possuem fímbrias (adesinas), na sua superfície, que os permitem aderir à mucosa e se colonizar
  • A colonização do epitélio da mucosa do hospedeiro é facilitada pela evasão da IgA secretora da mucosa através da secreção do patógeno de IgA protease
  • A IgA protease inativa o anticorpo da mucosa e facilita a ligação bacteriana às células epiteliais hospedeiras
How well did you know this?
1
Not at all
2
3
4
5
Perfectly
15
Q

Invasão na corrente sanguínea

A
  • invasão da corrente sanguínea é provavelmente mediada por uma interação de fatores ambientais, do hospedeiro e fatores genéticos dos patógenos
  • fatores ambientais: infecção viral prévia, tabagismo e abuso de álcool
  • fatores do hospedeiro: asplenia, deficiência de complemento, deficiência de anticorpos e terapia ou condições imunossupressoras
How well did you know this?
1
Not at all
2
3
4
5
Perfectly
16
Q

sobrevivência intravascular

A
  • após a invasão, a cápsula polissacarídica dos principais patógenos meníngeos serve como a principal linha de defesa ao inibir a superfície deposições de adesinas, evitando assim a fagocitose
  • várias moléculas de superfície bacteriana visam componentes específicos do complemento
  • Os patógenos evitam a atividade bactericida do complemento, sobrevivem na corrente sanguínea e atravessam a barreira hematoencefálica para o líquido cefalorraquidiano (LCR).
How well did you know this?
1
Not at all
2
3
4
5
Perfectly
17
Q

invasão meníngea

A
  • penetração bacteriana no espaço subaracnóideo é facilitada pela duração e grau de bacteremia e ocorre pela interação das bactérias com as células endoteliais da barreira sangue-líquor
  • plexo coróide pode ser o local de entrada inicial da bactéria no ventrículo com posterior disseminação por todo o LCR
  • Após ultrapassar a barreira hematoliquórica, as bactérias podem se colonizar com mais facilidade porque, no SNC, o sistema humoral de defesa é precário
How well did you know this?
1
Not at all
2
3
4
5
Perfectly
18
Q

fisiopatologia

A
  • Componentes da estrutura bacteriana induzem a produção e a secreção local de citocinas (IL-1, IL-6 e TNF-a), que medeiam o processo inflamatório.
  • As citocinas ativam o endotélio cerebral, induzindo a adesão de leucócitos e glicoproteínas e a diapedese dos leucócitos para o liquor.
  • lesão da microvasculatura cerebral e o processo inflamatório das meníngeas facilitam a produção de edema cerebral
  • produção de edema -> aumento da pressão intracraniana
  • produção de mediadores vasoativos (oxigênio e nitrogênio) reduz a autorregulação do fluxo sanguíneo cerebral, prejudicando o metabolismo celular, produzindo, em consequência, dano cerebral
19
Q

fenômenos que podem dar origem a sequelas neurológicas

A
  • Tromboflebite de vasos corticais, consequente a focos de necrose no endotélio dos vasos
  • Edema inflamatório endocraniano, responsável pela síndrome de hipertensão endocraniana
  • Exsudato fibrinopurulento no espaço subaracnóideo, bloqueando, parcial ou totalmente, a drenagem liquórica (hidrocefalia)
20
Q

empiema subdural

A
  • inflamação do espaço subaracnóideo pode difundir transudato através da aracnoide, que se acumula no espaço subdural, formando a coleção subdural
  • Quando a coleção subdural se infecta ou quando o espaço é alcançado por exsudato purulento, forma-se o empiema subdural.
    • frequente em recém-nascidos até 1 ano de vida
21
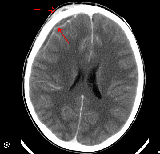
Q

o que verifica nessa imagem

A

empiema subdural

22
Q

QC - meningite bacteriana

A

febre, cefaléia intensa, náusea, vômito, rigidez de nuca, prostração e confusão mental, sinais de
irritação meníngea e exantema

23
Q

sinais de irritação meníngea

A
  • Sinal de Kernig
  • Sinal de Brudzinski
  • Rigidez de nuca
24
Q

o que é Sinal de Kernig

A
  • resposta em flexão da articulação do joelho, quando a coxa é colocada em certo grau de flexão, relativamente ao tronco
  • há 2 formas de se ter esse sinal:
  • paciente em decúbito dorsal –> eleva-se o tronco, fletindo-o sobre a bacia; há flexão da perna sobre a coxa e dessa sobre a bacia; e,
  • paciente em decúbito dorsal –> eleva-se o membro inferior em extensão, fletindo-o sobre a bacia; após pequena angulação, há flexão da perna sobre a coxa
25
o que é Sinal de Brudzinski
flexão involuntária da perna sobre a coxa e dessa sobre a bacia, ao se tentar fletir a cabeça do paciente
26
exantema na meningite bacteriana
- apresenta-se tipicamente eritematoso e macular no início da doença, evoluindo rapidamente para exantema petequial - não empalidece à pressão em mais de 80% dos casos - casos mais graves, verifica-se o desenvolvimento de grandes lesões purpúricas
27
complicações da meningite bacteriana
perda da audição, distúrbio de linguagem, retardo mental, anormalidade motora e distúrbios visuais
28
meningite tuberculosa QC e em quantos estágios é dividida
- evolução mais lenta, de semanas ou meses, tornando difícil o diagnóstico de suspeição. - classicamente o curso da doença é dividido em três estágios
29
estágio 1 da meningite tuberculosa
- duração de 1 a 2 semanas, caracterizando-se pela inespecificidade dos sintomas, - febre, mialgias, sonolência, apatia, irritabilidade, cefaleia, anorexia
30
estágio 2 da meningite tuberculosa
- persistência dos sintomas sistêmicos e pelo surgimento de evidências de dano cerebral (sinais de lesão de nervos cranianos, exteriorizando-se por paresias, plegias, estrabismo, ptose palpebral, irritação meníngea e hipertensão endocraniana).
31
estágio 3 da meningite tuberculosa
surge o déficit neurológico focal, opistótono, rigidez de nuca, alterações do ritmo cardíaco e da respiração e graus variados de perturbação da consciência, incluindo o coma
32
meningite tuberculosa -> teste tuberculínico
- pode ou não ser reagente
33
QC meningites virais
- exame físico chama a atenção o bom estado geral associado à presença de sinais de irritação meníngea - duração do quadro é geralmente inferior a 1 semana - não associada a complicações
34
liquor meningites bacterianas, tuberculosa e virais
35
tratamento meningite bacteriana
36
tratamento para N.meningitidis
37
tratamento meningite viral
- suporte - hidratação
38
isolamento do paciente
indicado apenas durante as primeiras 24 horas do tratamento com o antibiótico adequado
39
quimioprofilaxia dos contatos: indicação
- o contato íntimo são considerados os moradores do mesmo domicílio, indivíduos que compartilham o mesmo dormitório, comunicantes de creches e pessoas diretamente expostas às secreções do paciente - não está indicada para pessoal médico ou de enfermagem que tenha atendido pacientes com meningites bacterianas, a menos que tenha havido exposição às secreções respiratórias
40
quimioprofilaxia: medicamento e posologia
41
vacinação
- vacina Meningococo C -> 2,4 e 6 mês de vida - Pneumo 10 - BCG (H.influenzae)
42
uso de corticóides
O uso de corticóide nas situações de choque é discutível
43
principais sintomas de meningite bacteriana em menores de 1 ano
- Crianças de até 9 meses poderão não apresentar os sinais clássicos de irritação meníngea - febre, irritabilidade ou agitação, choro persistente, grito meníngeo, recusa alimentar, acompanhada ou não de vômitos, convulsões e abaulamento da fontanela.
44
agente etiológico + comum
- Neisseria meningiditis - diplococo Gram-negativo