TUBERCULOSE Flashcards

(72 cards)

1
Q

principal agente etiológico

A

Mycobacterium tuberculosis
- Gram +

How well did you know this?
1
Not at all
2
3
4
5
Perfectly
2
Q

transmissão

A

transmitido por via aérea, de uma pessoa com tb pulmonar ou laríngea, que elimina bacilos no ambiente (caso fonte), a outra pessoa, por exalação de aerossóis oriundos da tosse, fala ou espirro

How well did you know this?
1
Not at all
2
3
4
5
Perfectly
3
Q

o que é o termo bacilífero

A
  • refere-se a pessoas com tb pulmonar ou laríngea que tem baciloscopia positiva no escarro.
  • esses casos têm maior capacidade de transmissão
How well did you know this?
1
Not at all
2
3
4
5
Perfectly
4
Q

probabilidade de uma pessoa ser infectada depende de fatores exógenos, quais são

A
  • infectividade do caso-fonte,
  • a duração do contato
  • tipo de ambiente partilhado.
How well did you know this?
1
Not at all
2
3
4
5
Perfectly
5
Q

risco de adoecimento é, a progressão para a tb ativa após infecção, depende de fatores endógenos, quais são

A
  • Pessoas vivendo em situação de rua
  • Pessoas vivendo com o HIV
  • Pessoas privadas de liberdade
  • Indígenas
How well did you know this?
1
Not at all
2
3
4
5
Perfectly
6
Q

instalação da primoinfecção

A
  • primeiro contato com o agente
  • bacilo alcança espaço alveolar
  • macrófagos fagocitam o bacilo, porém não conseguem o destruir, assim ocorrendo a proliferação do bacilo com consequente destruição do macrófago
  • mais fagócitos são atraídos para o local, com consequente disseminação do bacilo para diversos órgãos e sistemas
How well did you know this?
1
Not at all
2
3
4
5
Perfectly
7
Q

surgimento da imunidade

A
  • após 2-10 semanas surge imunidade mediada por células (TCD4)
  • com isso, células T circundam os macrófagos, formando o granuloma
  • no centro da reação granulomatosa, surge uma área de necrose sólida caseosa, definindo o granuloma caseoso
How well did you know this?
1
Not at all
2
3
4
5
Perfectly
8
Q

bacilos podem permanecer latentes?

A
  • um pequeno número de bacilos permanecem latentes no interior dos granulomas
  • se o indivíduo tiver uma imunossupressão, um ou mais desses focos podem ser reativados, determinando a tuberculose pós-primária
How well did you know this?
1
Not at all
2
3
4
5
Perfectly
9
Q

foco granulomatoso pulmonar de onde tudo começou é chamado de

A

nódulo de Ghon (nódulo primário)

How well did you know this?
1
Not at all
2
3
4
5
Perfectly
10
Q

nódulo de Ghon (características)

A
  • geralmente único, se localizando no terço médio (lobo médio, língula, parte inferior do lobo superior ou parte superior do lobo inferior)
  • foco pequeno, que pode evoluir para dimensões de > 8mm, aparecendo no raio-x como um nódulo solitário
How well did you know this?
1
Not at all
2
3
4
5
Perfectly
11
Q

Complexo de Ranke (o que é)

A
  • o foco nos linfonodos satélites podem crescer, levando á adenopatia hilar
  • a associação do nódulo de Ghon com adenopatia satélite é chamado de complexo de Ranke (complexo primário)
How well did you know this?
1
Not at all
2
3
4
5
Perfectly
12
Q

mecanismo de doença TB primária

A
How well did you know this?
1
Not at all
2
3
4
5
Perfectly
13
Q

mecanismo de doença TB pós-primária

A
How well did you know this?
1
Not at all
2
3
4
5
Perfectly
14
Q

o que é TB primária

A

termo que descreve uma nova infecção por TB ou doença ativa em um hospedeiro previamente virgem

How well did you know this?
1
Not at all
2
3
4
5
Perfectly
15
Q

QC TB pulmonar

A
  • febre baixa
  • dor pleurítica ou retroesternal
  • irritação
  • tosse (raramente)
  • sudorese noturna
  • inapetência
How well did you know this?
1
Not at all
2
3
4
5
Perfectly
16
Q

principal sintoma da TB pulmonar

A

febre

How well did you know this?
1
Not at all
2
3
4
5
Perfectly
17
Q

característica da febre na TB pulmonar

A

início da febre geralmente gradual e de baixo grau, mas pode chegar a 39°C e durava em média 14 a 21 dias

How well did you know this?
1
Not at all
2
3
4
5
Perfectly
18
Q

alterações radiográficas na TB pulmonar

A
  • linfadenopatia hilar e/ou mediastinal
  • derrame pleural
  • consolidação pulmonar
How well did you know this?
1
Not at all
2
3
4
5
Perfectly
19
Q

principal achado radiográfico na TB pulmonar

A

Linfadenopatia hilar

How well did you know this?
1
Not at all
2
3
4
5
Perfectly
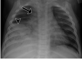
20
Q

o que é visto nesse raio-x

A

Linfonodomegalia mediastinal (seta) e consolidação nos lobos médio e inferior direito (cabeça de seta)

How well did you know this?
1
Not at all
2
3
4
5
Perfectly
21
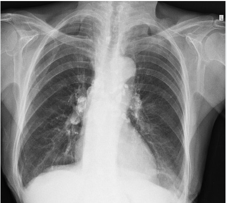
Q

o que é visto nesse raio-x

A

tuberculose primária apresentando derrame pleural

How well did you know this?
1
Not at all
2
3
4
5
Perfectly
22
Q

o que é TB pós-primária

A

TB pós-primária pode resultar da reativação de uma infecção remota ou através de uma nova infecção (exógena) em uma pessoa previamente infectada

How well did you know this?
1
Not at all
2
3
4
5
Perfectly
23
Q

TB pós-primária em quanto tempo desenvolve a doença

A

pode permanecer não diagnosticada e potencialmente infecciosa por dois a três anos ou mais, com desenvolvimento de sintomas apenas no final do curso da doença

How well did you know this?
1
Not at all
2
3
4
5
Perfectly
24
Q

QC TB pós-primária

A
  • tosse seca ou produtiva
  • febre vespertina
  • sudorese noturna e anorexia
  • mal-estar
  • dispneia
  • emagrecimento
  • perda de peso
How well did you know this?
1
Not at all
2
3
4
5
Perfectly
25
TB primária ocorrência
mais comum em crianças
26
TB pós-primária ocorrência
mais comum no adolescente e no adulto jovem
27
exame físico TB pós-primária
- fácies de doença crônica e emagrecimento - ausculta pulmonar pode apresentar diminuição do murmúrio vesicular, sopro anfórico ou mesmo ser normal.
28
principal acometimento radiográfico da TB pós-primária
normalmente envolve os segmentos apical e posterior dos lobos superiores
29
manifestação radiográfica mais comum na TB pós-primária
áreas irregulares de consolidação com margens mal definidas
30
complicações da tuberculose
- hemoptise - pneumotórax - choque séptico - parada respiratória - destruição pulmonar extensa
31
baciloscopia: no que consiste
- consiste na pesquisa direta do bacilo de Koch através do exame microscópico - pesquisa do bacilo álcool-ácido resistente – BAAR, pelo método de Ziehl-nielsen, é a técnica mais utilizada em nosso meio.
32
indicações da baciloscopia
- sintomático respiratório, durante estratégia de busca ativa - caso de suspeita clínica e/ou radiológica de tb pulmonar, independentemente do tempo de tosse - acompanhamento e controle de cura em casos pulmonares com confirmação laboratorial
33
baciloscopia: quantas amostras
- 2 amostras de escarro - uma na consulta, e a outra na manhã do dia seguinte
34
casos em que houver indícios clínicos e radiológicos de suspeita de tb e as duas amostras de diagnóstico apresentarem resultado negativo, ____________
podem ser solicitadas amostras adicionais
35
baciloscopia: quando fecha o diagnóstico
baciloscopia positiva e quadro clínico compatível com tb fecham o diagnóstico e autorizam o início de tratamento da tb.
36
baciloscopia: é o exame de escolha para
acompanhar a resposta terapêutica na TB pulmonar bacilífera; sua negativação representa o parâmetro mais confiável para demonstrar a eficácia do tratamento
37
Teste rápido molecular para tuberculose (TRM-TB): o que é
- teste de amplificação de ácidos nucleicos utilizado para detecção de DNA dos bacilos do complexo M. tuberculosis - também realiza triagem de cepas resistentes à rifampicina pela técnica de reação em cadeia da polimerase (PCR)
38
TRM-TB: indicação
- indicado, prioritariamente, para o diagnóstico de tuberculose pulmonar e laríngea em adultos e adolescentes - diagnóstico de casos novos de tb pulmonar e laríngea em adultos e adolescentes de populações de maior vulnerabilidade - diagnóstico de tb extrapulmonar nos materiais biológicos já validados; - triagem de resistência à rifampicina nos casos de retratamento
39
TRM-TB: quantas amostras de escarro são necessárias
necessária somente uma amostra de escarro.
40
TRM-TB: em quanto tempo fica pronto o resultado
fica pronto em 2 horas
41
TRM-TB: qual a sua sensibilidade e especificidade
- sensibilidade: 90% - especificidade: 99%
42
TRM-TB: utiliza em casos de retratamento
- pode detectar bacilos mortos ou inviáveis, o tRM-tb não deve ser utilizado para diagnóstico nos casos de retratamento (reingresso após abandono e recidivas). - nesses casos, o diagnóstico da tb deve ser feito com baciloscopia de escarro e cultura para micobactérias
43
algoritmo diagnóstico de casos novos de tb pulmonar e laríngea em adultos e adolescentes baseado no tRM-tb
44
algoritmo diagnóstico de casos novos de tb pulmonar e laríngea em adultos e adolescentes de populações com maior vulnerabilidade1 baseado no tRM-tb
45
grupos de maior vulnerabilidade para TB
- índios - presidiários - portadores de HIV - população de rua - profissionais de saúde - contatos de TB multirresistente
46
cultura: quando positivo, qual a conduta
- toda cultura (+) deve ser encaminhada para o TSA (teste de sensibilidade antimicrobiana) - os fármacos inicialmente testados são: estreptomicina, isoniazida, rifampicina, etambutol e pirazinamida
47
cultura: indicações em local com TRM-TB
- todo caso com diagnóstico de tb por meio de tRM-tb deverá realizar cultura e ts, independentemente de apresentar ou não resistência à rifampicina; - todo caso com suspeita de tb com tRM-tb negativo, com persistência do quadro clínico, deverá realizar cultura e ts
48
cultura: indicações em local sem TRM-TB
- locais onde não há a disponibilidade do tRM-tb, o diagnóstico da doença será realizado por meio da baciloscopia - cultura deverá ser realizada independentemente do resultado da baciloscopia para todos os casos com suspeita de tb
49
diagnóstico de TB, realiza teste para HIV
- Todo paciente com diagnóstico de tuberculose deve ser testado para HIV - O diagnóstico precoce de infecção pelo HIV em pessoas com tuberculose tem importante impacto no curso clínico das duas doenças.
50
infecção latente (ILTB): definição
- pessoas infectadas, em geral, permanecem saudáveis por muitos anos, com imunidade parcial ao bacilo - indivíduos não apresentam nenhum sintoma e não transmitem a doença, mas são reconhecidos por testes que detectam a imunidade contra o bacilo.
51
Antes de se afirmar que um indivíduo tem ilTB, é fundamental ___________________
excluir a TB ativa, por meio da anamnese, exame clínico e radiografia de tórax.
52
ILTB: investigação
investigação é indicada somente em populações que potencialmente se beneficiarão do tratamento preconizado para iltb
53
ILTB: populações com indicação para investigação
54
ILTB: diagnóstico
- prova tuberculínica (pt) é utilizada para diagnóstico de iltb e pode também auxiliar o diagnóstico de tuberculose ativa em crianças - consiste na inoculação intradérmica de um derivado protéico purificado do M. tuberculosis para medir a resposta imune celular a esses antígenos.
55
ILTB: prova tuberculínica: indicações
- identificar casos ilTB em adultos e crianças; - auxiliar no diagnóstico de tb ativa em crianças.
56
prova tuberculínica reativa: indica doença
prova tuberculínica reativa, isoladamente, indica apenas a presença de infecção e não é suficiente para o diagnóstico da tuberculose doença
57
esquemas de tratamento da tuberculose e local de manejo clínico preferencial
58
Esquema Básico para o tratamento de adultos e adolescentes: indicações
casos novos de tuberculose ou retratamento em adultos e adolescentes (≥ 10 anos de idade); todas as apresentações clínicas (pulmonares e extrapulmonares), exceto a forma meningoencefálica e ostearticular.
59
Esquema Básico para o tratamento da TB em adultos e adolescentes (≥ 10 anos de idade)
60
esquema básico para o tratamento da tb em crianças (< 10 anos de idade)
61
Em todos os esquemas de tratamento, os medicamentos deverão _________
ser ingeridos diariamente e de uma única vez.
62
consultas clínicas e exames de seguimento do tratamento da tb adultos.
63
reações adversas podem ser divididas em dois grandes grupos: __________
- reações adversas “menores”, em que normalmente não é necessária a suspensão dos medicamentos antiTB - reações adversas “maiores”, que normalmente causam a suspensão do tratamento
64
Reações adversas menores aos fármacos do esquema básico
65
Reações adversas maiores aos fármacos do esquema básico
66
prevenção da infecção pelo M.tuberculosis (MTB) em RN
- Recém-nascidos (Rn) expostos a casos de tb pulmonar ou laríngea, recomenda-se a prevenção da infecção pelo Mtb - Antes de iniciar a quimioprofilaxia (QP) primária, afastar tuberculose no RN - não deverá ser vacinado com a bcG ao nascer - Recomenda-se utilizar a isoniazida (H) por três meses e, após esse período, faz-se a prova tuberculínica (PT) - resultado da PT for ≥ 5mm, a H deve ser mantida por mais três meses, completando seis meses de tratamento, e o Rn não deverá ser vacinado para bcG - caso resultado da PT < 5mm, a H deve ser interrompida e a vacinação para BCG efetuada
67
tratamento da ILTB
RIFAPENTINA + ISONIAZIDA (3HP)
68
O QUE É O 3HP?
- 3HP é um novo esquema de tratamento da ILTB de curta duração. - Consiste na tomada uma vez (1x) por semana dos medicamentos isoniazida (H) e rifapentina (P), durante três meses.
69
QUAIS AS INDICAÇÕES PARA TRATAMENTO COM O 3HP?
pode ser utilizado por todas as pessoas com diagnóstico de ILTB e/ou com indicação de tratamento da ILTB, incluindo as pessoas vivendo com HIV (PVHIV)
70
QUANTAS DOSES SÃO NECESSÁRIAS PARA O TRATAMENTO COMPLETO? ILTB
estará completo quando ocorrer a tomada de 12 doses de isoniazida + rifapentina por 12 semanas. Dependendo do caso, esse prazo pode ser prorrogado para 15 semanas.
71
A POSOLOGIA DO 3HP
72
Fluxograma para investigação de contatos adultos e adolescentes (≥10 anos de idade)