Neumonia Flashcards

(40 cards)

1
Q

Que es la Neumonia

A

Es un proceso infeccioso del parenquima pulmonar secundario a la presencia de un microorgnaismo

How well did you know this?
1
Not at all
2
3
4
5
Perfectly
2
Q

Cual es la infeccion mas mortal a nivel mundial

A

Neumonía

How well did you know this?
1
Not at all
2
3
4
5
Perfectly
3
Q

Clasificación de la neumonia

A
How well did you know this?
1
Not at all
2
3
4
5
Perfectly
4
Q

Que es una consolidacion

A

Es una ocupación alveolar

How well did you know this?
1
Not at all
2
3
4
5
Perfectly
5
Q

microorgnaismos tipicos de nuemonia

A
How well did you know this?
1
Not at all
2
3
4
5
Perfectly
6
Q

Porque el ERGE es un factor de riesgo para neumonia

A

Por las microaspiraciones

How well did you know this?
1
Not at all
2
3
4
5
Perfectly
7
Q

Microorgnaismos atipicos que causan neummonaia

A
How well did you know this?
1
Not at all
2
3
4
5
Perfectly
8
Q

Virus y hongos que causan neumonia

A
How well did you know this?
1
Not at all
2
3
4
5
Perfectly
9
Q

Microorganismo mas comun que causa neumonia

A

Neumococo

How well did you know this?
1
Not at all
2
3
4
5
Perfectly
10
Q

Factores de riesgo epidemiologicos asociados con etioloigia conocida

A
How well did you know this?
1
Not at all
2
3
4
5
Perfectly
11
Q

Factores de riesgo para MRSA y pseudomonas

A
How well did you know this?
1
Not at all
2
3
4
5
Perfectly
12
Q

Clinica de neumonia

A
How well did you know this?
1
Not at all
2
3
4
5
Perfectly
13
Q

Que vamos a encontrar en la exploracion fisica en la neumonia

A

Inspeccion: si el paciente esta muy comprometido puede haber signos de insuficiencia respiratoria
Auscultacion: Estertores
Palpación: Vibraciones aumentadas
Percusion: Matidez

How well did you know this?
1
Not at all
2
3
4
5
Perfectly
14
Q

Manifestaciones extrapulmonares de micoplasma neumonie

A

Anemia hemolitica y meningitis bulosa (sinusitis y otitis)

How well did you know this?
1
Not at all
2
3
4
5
Perfectly
15
Q

Manifestaciones extrapulmoanres de Legionela

A

Hiponatremia y elevacion de transamiansas

How well did you know this?
1
Not at all
2
3
4
5
Perfectly
16
Q

Neumonias asociadas a exposicion de animales

A

Por pajaros es Psitiacosis
Por conejos es tularemia
Por animales de granaja es coxiella bruneti

How well did you know this?
1
Not at all
2
3
4
5
Perfectly
17
Q

Caracteristicas clínicas de las neumonais virales

18
Q

Como confirmo el dx d

A

Con un estudio de imagen

19
Q

Imagen de una neumonia viral

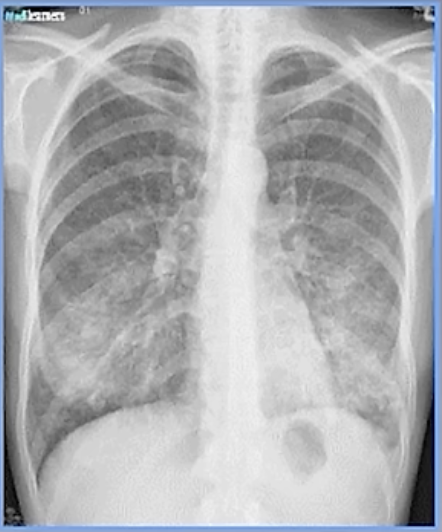
20
Q

Imagen de neumonia multilobar

A

son atipicas y se dan en inmunocomrpometidos

21
Q

Imagen de neumonia necrotizante

A

se ven cavitaciones y la da S.aureus o TB

22
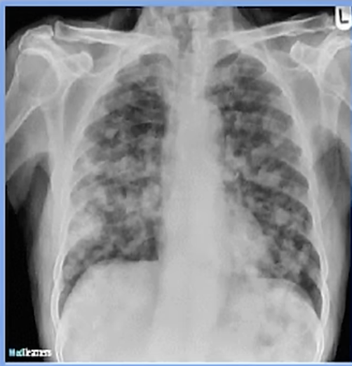
Q

Imagen de neumonia micronodular

A

la da Tb milliar o Histoplasmosis

23
Q

Cuando pedimos una TACAR

24
Q

Con que escala estratifico la neumonia

25
Como funciona el CURB-65
26
manejo del grupo 1 de CURB-65
Manejo ambulatorio
27
Manejo del grupo 2-3 de CURB-65
Manejo hospitalario
28
cual es la mejro escala para estratificar a los pacientes con neumonia
PSI
29
Cuantas clases tiene el PESI
5
30
Manejo para el PESI clase 1-3
Ambulatorio
31
Manejo del PESI case 4 y 5
intrahospitalario
32
indicaicones de hospitalizacion
33
Indicaicones de UCI
34
Manejo de la neumonia
35
puntos generales de manejo de antibioticos
36
tratamiento para grupo 1
37
tratamiento para grupo 2 y 3
38
tratamiento para los pacientes que son alergicos a los betalactamicos
Doxiciclina macrolido Quinolona respiratoria (levo, moxi)
39
Que opciones tengo si un paciente con neumonia no mejora o va peor
40
duracion de la sintomatologia