TEP Flashcards

(33 cards)

1
Q

Que es la TEP

A

ocurre cuando un trombo venoso ocluye la vasculatura pulmonar.
-El trombo proviene generalmente de la vasculatura pelvica

How well did you know this?
1
Not at all
2
3
4
5
Perfectly
2
Q

Factores de riesgo fuertes para TEP

A
How well did you know this?
1
Not at all
2
3
4
5
Perfectly
3
Q

Factores de riesgo débiles para TEP

A
How well did you know this?
1
Not at all
2
3
4
5
Perfectly
4
Q

Triada de Virchow

A
How well did you know this?
1
Not at all
2
3
4
5
Perfectly
5
Q

Cuadro clínico de la TEP

A

Disnea
-Dolor torácico
-Sincope
-Hemoptisis
la clave es que es subito

How well did you know this?
1
Not at all
2
3
4
5
Perfectly
6
Q

Que signos podemos ver en la TEP

A

-taquicardia
-Desaturacion
-Inestabilidad HD La mas importante

How well did you know this?
1
Not at all
2
3
4
5
Perfectly
7
Q

Signos de inestabilidad hemodinámica

A
How well did you know this?
1
Not at all
2
3
4
5
Perfectly
8
Q

para que usamos la escala de Wells

A

Para ver la probabilidad del paciente de tener TEP

How well did you know this?
1
Not at all
2
3
4
5
Perfectly
9
Q

Puntaje de la escala de Wells

A

El criterio mas importante es los signos clínicos de TVP
-Probabilidad baja de 0-1
-Probabilidad intermedia 2-6
-probabildad alta mas de 6

How well did you know this?
1
Not at all
2
3
4
5
Perfectly
10
Q

Para que usamos el cuestionario PERC

A

para pacientes con probabilidad baja de tener TEP

How well did you know this?
1
Not at all
2
3
4
5
Perfectly
11
Q

Cuestionario PERC

A

Negativa si cumple TODOS los criteriosà descarta TEP

How well did you know this?
1
Not at all
2
3
4
5
Perfectly
12
Q

Para que usamos dinero D

A

Lo usamos por su alto valor de sensibilidad pero su especificad es negativa, el punto de corte son 500.

How well did you know this?
1
Not at all
2
3
4
5
Perfectly
13
Q

A partir de que edad se ajusta el dinero D

A

A partir de los 50 se ajusta por edad: edadx10

How well did you know this?
1
Not at all
2
3
4
5
Perfectly
14
Q

Cual es el estudio de elección para TEP

A

La angiotac se usa por su especificidad alta 96% Sensibiliad del 83%

How well did you know this?
1
Not at all
2
3
4
5
Perfectly
15
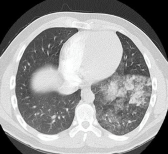
Q

Signos radiológicos de la angiotac

A

Signo de westermarc y la joroba de hampóton
-Vidreo despulido indica oligohemia

How well did you know this?
1
Not at all
2
3
4
5
Perfectly
16
Q

Que mide la gammagrafia pulmonar

A

EL coeficiente de V/Q
Menor radiación y menor uso de medio de contraste

17
Q

Indicaciones para el uso de gammagrafia

A

mujeres jóvenes, embarazadas, anafilaxia por contraste, ERC
Se usa en TEP crónica

18
Q

Como clasificamos los pacientes con TEP en base a la gamagrafia

A

normal (excluye TEP), alta probabilidad (considerada dx TEP) y no dx

19
Q

Cual es estándar de oro para TEP

A

Arteriografía pulmonar

20
Q

Uso del Ecocardiograma

A

para ver DVD sino tengo una angiotac puedo ver signos de DVD y le hago trombolisis

21
Q

Para que se usa la ecografia por compresion

A

Sensibilidad >90% y especificidad 95% para TVP sintomática
Único criterio dx validado: compresibilidad incompleta de la vena (presencia coágulo)

22
Q

Cual es el signo mas característico de la TEP

A

Taquicardia sinusal signo + característico

23
Q

Cuales son los signos en EKG de sobre carga de VD

A

S1Q3T3.
arritmia mas comun es FA

24
Q

de que nos habla el lactato

A

De hipoperfusion

25
Tx para los pacientes con TEP
Oxigeno con puntas nasales de alto flujo, si tiene TA baja le das vasopresores, si se tiene datos de baja contractilidad baja inotropicos. ECMO paciente muy mal
26
A que pacientes les inicio coagulación
-pacientes con probabilidad alta o intermedia a 1 mg/kg cada 12 horas dosis preventiva 0.5 mg/kg Con HBPM -pacientes con probabilidad baja a dosis preventiva
27
Indicaciones de la HNF
Pacientes con inestabilidad HD, obesidad grave, TFG < 30. * Intravenosa * Monitorizar TTPa
28
Indicaciones de AVK
Estándar de anticoagulación en 50 años. * Mantener HNF o HBPM por 5 días hasta alcanzar INR entre 2-3 por 2 días consecutivos.
29
Indicacion de trombolisis
Pacientes con estratificación de riesgo alto con rTPA 100mg para 2 horas
30
Si tengo paciente de baja probabilidad de TEP que le doy
Le puedo ir dando anticoagulacion a dosis preventiva en lo que descarto TEP
31
Si tengo paciente con TEP con probabilidad intermedia
Anticoagulacion a dosis plenas, pero si en la angiotac encuentro coágulos en las subsegmentarias le continuas anticoagulante y lo mandas a su casa. Si en la angiotac esta el coagulo en una arteria principal se va a cateterismo. Si el paciente tiene un coagulo subsegmentario pero esa inestable le hago trombolisis o cateterismo
32
Criterios para trombolisis
Pacientes inestables Pacientes con Signos de DVD
33
Todos los pacientes deben de tener anticoagulacion
Si por 3 meses