Tuberculosis Flashcards

(34 cards)

1
Q

Porcentaje de poblacion que esta infectada por TB a nivel mundial

A

1/4 parte de la población se ha infectado por el bacilo de la tuberculosis.
Entre el 5% al 10% enferman. la probabilidad aumenta en poblaciones de riesgo

How well did you know this?
1
Not at all
2
3
4
5
Perfectly
2
Q

Generalidades de la transmisión de la TB

A

Se transmite por via aerea mediante aerosoles

How well did you know this?
1
Not at all
2
3
4
5
Perfectly
3
Q

Factores de riesgo para la infeccion y desarollo de la enfermedad

A
How well did you know this?
1
Not at all
2
3
4
5
Perfectly
4
Q

Porque la mycobacterium es un BAAR

A

Porque en su pared tiene acido micolico y Lipoarabinomamano

How well did you know this?
1
Not at all
2
3
4
5
Perfectly
5
Q

Porque los cultivos de TB tardan mucho

A

Porque la bacteria crece muy lento (20 horas)

How well did you know this?
1
Not at all
2
3
4
5
Perfectly
6
Q

Evolucion de la infeccion

A
How well did you know this?
1
Not at all
2
3
4
5
Perfectly
7
Q

Una vez que el paciente se infecta cuales son los dos desenlaces que tiene el paciente

A

Infeccion primaria progresiva o una infeccion latente

How well did you know this?
1
Not at all
2
3
4
5
Perfectly
8
Q

Caracteristicas de la Infeccion primaria

A
How well did you know this?
1
Not at all
2
3
4
5
Perfectly
9
Q

Que es el foco de Gohn

A
How well did you know this?
1
Not at all
2
3
4
5
Perfectly
10
Q

Caracteristicas de la Infeccion primaria progresiva

A
How well did you know this?
1
Not at all
2
3
4
5
Perfectly
11
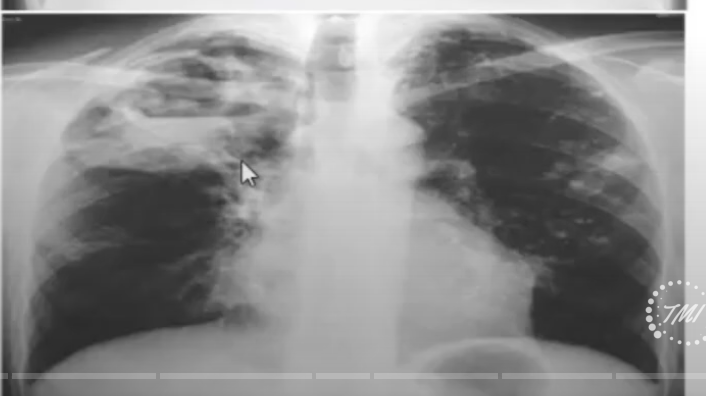
Q

Manifestacion por imagen de una infeccion primaria progresiva

A
How well did you know this?
1
Not at all
2
3
4
5
Perfectly
12
Q

Para que nos sirve la prueba de la Tuberculina o PPD

A

Simplemente nos dice si el el paciente estuvo en contacto con la enfermedad

How well did you know this?
1
Not at all
2
3
4
5
Perfectly
13
Q

Clinica de una infeccion primaria

A
How well did you know this?
1
Not at all
2
3
4
5
Perfectly
14
Q

Clinica de una TB secundaria

A
How well did you know this?
1
Not at all
2
3
4
5
Perfectly
15
Q

Manifestacion por imagen de una TB secundaria es decir reactivacion

A
How well did you know this?
1
Not at all
2
3
4
5
Perfectly
16
Q

Caracteristicas de la prueba IGRA

17
Q

Diagrama para el dx de TB con pruebas moleculares

18
Q

Estudio inicial para el dx de TB

19
Q

Cuando es positiva la basciloscopia

A

Si tengo una baciloscopia con tres cruces ya es positiva e inicio tx
si tengo una con una cruz o dos cruces le tengo que hacer otra( dos positivas para confirmar el dx)

20
Q

Cuales son los requerimentos de un esputo adecuado

21
Q

Cual es el Gold standart para TB

A

Cultivo de Lowestein Jensen positivo en 21 dias

22
Q

Cual es la prueba ideal actualmente

A

pruebas moleculares sin embargo por su alto costo no se usan tanto

23
Q

Positividad de las pruebas con el estadio clinico de la enfermedad

24
Q

Contra que nos protege la vacuna BCG

A

Contra TB milliar y Meningea

25
Como se divide el tx de Tuberculosis
Se divide en dos fases: una fase intensiva de dos meses y una mase de mantenimiento con 4
26
En que momento puedo pasar yo de la fase de inicio a la de mantenimiento
En cuanto tenga una basiloscopia negativa
27
Cuales son los medicmaentos bactericidas
Isoniazida y Rifampicina
28
EA comun de los antifimicos
Hepatotoxicos
29
Cuanto dura el tx en TB latente
3 meses, para que sea latente debe de tener IGRA positivo
30
EA comun de isoniazida
Neuropatia periferica, se suplementa con vit B6
31
EA de la rifampicina
Coloracion naranja, es el antifimico mas potente que tenemos si se tiene resistencia ante la rifampicina el paciente ya es multiresistente
32
EA de la pirazinamida
Hipeuricemia y reacciones cutaneas
33
EA dle etambutol
Neuritis optica con discromatopsia al rojo y verde
34
Segundas linea para el tx