Ortho Flashcards

(394 cards)

1
Q

5 reasons you should you consult Ortho for mgmt?

A
  1. long bone fractues
  2. open fractures
  3. injuries with joint violation
  4. tendon injuries
  5. neurovascular compromise
How well did you know this?
1
Not at all
2
3
4
5
Perfectly
2
Q

Describe this fracture?

A

AVIATOR
- Vertical fracture of talar neck with subtalar dislocation and backward displacement of body
- via forced dorsiflexion of foot

How well did you know this?
1
Not at all
2
3
4
5
Perfectly
3
Q

Describe Barton fracture?

A

DORSAL BARTON = usual
- Oblique intraarticular fracture of the dorsal rim of the distal radius with displacement of the carpus along with the fracture fragment
- Results from high-velocity impact across the articular surface of the radiocarpal joint, with the wrist in dorsiflexion at the moment of impact

VOLAR /REVERSE BARTON = rarer
- Wedge-shaped articular fragment sheared off the volar surface of the radius (volar rim fracture), displaced volarly along with the carpus
- Wrist in volar flexion at time of injury; also referred to as reverse Barton’s fracture; much rarer than dorsal Barton fracture

How well did you know this?
1
Not at all
2
3
4
5
Perfectly
4
Q

Describe this fracture?

A

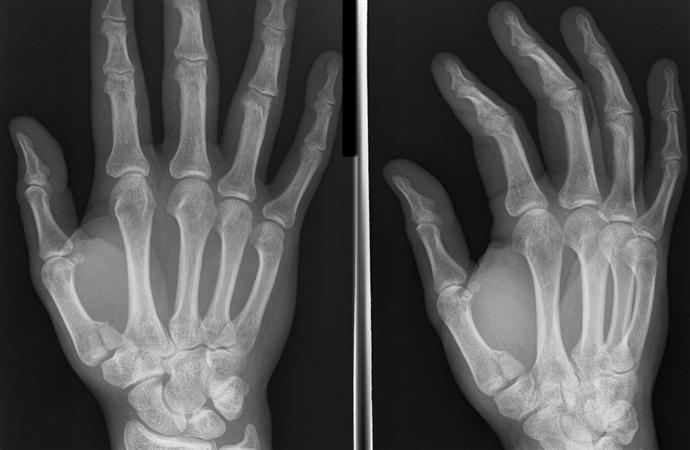
BENNETT
- Oblique fracture through base of the first metacarpal, with dislocation of the radial portion @ articular surface
- produced by direct force applied to end of metacarpal; dorsal capsular structures disrupted by dislocation; marked tenderness along medial base of thumb

  • thumb spica x 4 weeks
How well did you know this?
1
Not at all
2
3
4
5
Perfectly
5
Q

Describe this fracture?

A

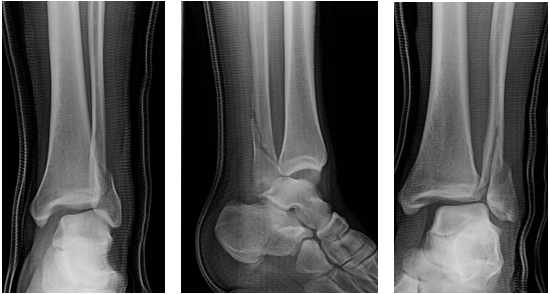
BOSWORTH
- Fracture-dislocation of the ankle resulting in the fibula being entrapped behind the tibia
- Produced by severe external rotation force applied to the foot; physical examination reveals foot severely externally rotated in relation to the tibia

How well did you know this?
1
Not at all
2
3
4
5
Perfectly
6
Q

Describe this fracture?

A

BOXER
- Fracture of the neck of the ring or small finger metacarpal
- from striking a clenched fist into an unyielding object, usually during an altercation, or against a wall, out of frustration or anger

How well did you know this?
1
Not at all
2
3
4
5
Perfectly
7
Q

Describe this fracture?

A

CHANCE
- Vertebral fracture, usually lumbar, involving the posterior spinous process, pedicles, and vertebral body
- simultaneous flexion and distraction forces on the spinal column, usually associated with use of lap seat belts; anterior column fails in tension, along with the middle and posterior columns; may be misdiagnosed as a compression fracture

How well did you know this?
1
Not at all
2
3
4
5
Perfectly
8
Q

Describe this fracture?

A

CHAUFFEUR
- also Hutchison fracture
- Solitary fracture of radial styloid
- may have scapholunate disruption
- Occurs from tension forces sustained during ulnar deviation and supination of the wrist

How well did you know this?
1
Not at all
2
3
4
5
Perfectly
9
Q

Describe this fracture?

A

CLAY SHOVELER
- Fracture of the tip of the spinous process of the sixth or seventh cervical vertebra

How well did you know this?
1
Not at all
2
3
4
5
Perfectly
10
Q

Describe this fracture?

A

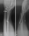
COLLES
- Dinner fork deformity
- Fracture of the distal radius with dorsal displacement and volar angulation, with or without an ulnar styloid fracture
- median nerve injury common
- usually a FOOSH

How well did you know this?
1
Not at all
2
3
4
5
Perfectly
11
Q

Describe this fracture?

A

COTTON
= Trimalleolar fracture
- Fracture of the lateral malleolus, fracture of the posterior malleolus, and either a fracture of the medial malleolus or disruption of the deltoid ligament, with visible widening of the mortise on ankle radiograph

How well did you know this?
1
Not at all
2
3
4
5
Perfectly
12
Q

Describe this fracture?

A

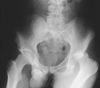
DASHBOARD
- Fracture of the posterior rim of the acetabulum
- a seated passenger striking the knee on a dashboard, driving the head of the femur into the acetabulum

How well did you know this?
1
Not at all
2
3
4
5
Perfectly
13
Q

Describe Dupuytren fracture

A
  • fracture-dislocation of ankle
  • Results from external rotation of the ankle, resulting in deltoid ligament rupture or medial malleolus fracture, diastasis of the inferior tibiofibular joint, and indirect fracture of the fibular shaft
How well did you know this?
1
Not at all
2
3
4
5
Perfectly
14
Q

Describe this fracture?

A

ESSEX-LOPRESTI
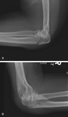
1. Fracture of radial head
2. Disruption of interosseous membrane
3. Dislocation of DRUJ
- Results from longitudinal (axial) compression of forearm

How well did you know this?
1
Not at all
2
3
4
5
Perfectly
15
Q

Describe this fracture?

A

GALEAZZI
- Fracture of mid to distal radial shaft w/ dislocation of DRUJ; ligaments of inferior radioulnar joint ruptured, head of ulna displaced from ulnar notch of radius
- AIN injury
- Results from fall on outstretched hand, with wrist in extension & forearm forcibly pronated; inherently unstable, w/ tendency to redisplace after reduction

How well did you know this?
1
Not at all
2
3
4
5
Perfectly
16
Q

Describe this fracture

A

HANGMAN
- Fracture-dislocation of atlas and axis, specifically of pars interarticularis of C2 and disruption of C2–3 junction; separation occurs between second and third vertebral bodies from anterior to posterior side
- Results from extreme hyperextension during abrupt deceleration; most common cause is the forehead striking the windshield of a car during a collision;

How well did you know this?
1
Not at all
2
3
4
5
Perfectly
17
Q

Describe this fracture

A

HUME
- Fracture of the proximal ulna associated with forward dislocation of the head of the radius
- “high Monteggia”

How well did you know this?
1
Not at all
2
3
4
5
Perfectly
18
Q

Describe this fracture?

A

JEFFERSON
- Burst fracture of ring of C1/atlas
- Axial loading results in a shattering of the ring of the atlas; decompressive type of injury; associated with disruption of transverse ligament; unstable injury

How well did you know this?
1
Not at all
2
3
4
5
Perfectly
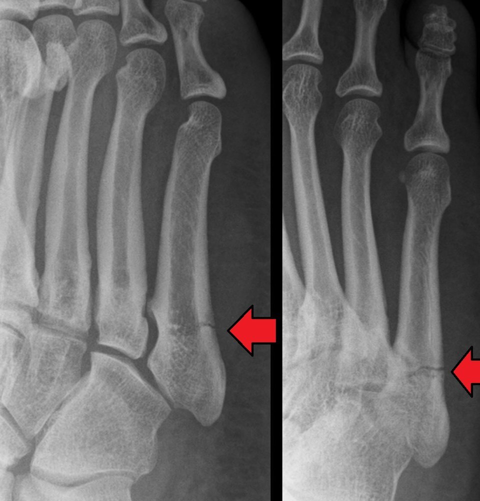
19
Q

Describe this fracture?

A

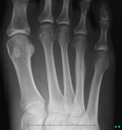
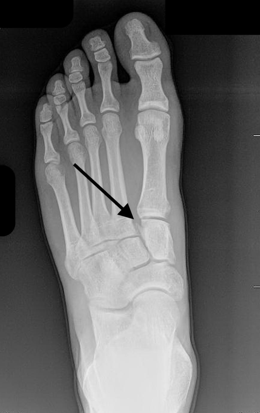
JONES
- Transverse fracture of the fifth metatarsal base, occurring at least 15 mm distal to the proximal end of the bone, distal to the insertion of the peroneus brevis

How well did you know this?
1
Not at all
2
3
4
5
Perfectly
20
Q

Describe this fracture?

A

WAGSTAFFE-LE FORT
- Avulsion fracture of the anterior cortex of the lateral malleolus
- Rare pull-off injury of the fibular attachment of the anterior tibiofibular ligament

How well did you know this?
1
Not at all
2
3
4
5
Perfectly
21
Q

Describe this injury?

A

LISFRANC
- Fracture located around the tarsometatarsal (Lisfranc) joint, usually associated with dislocation of this joint

How well did you know this?
1
Not at all
2
3
4
5
Perfectly
22
Q

Describe this fracture?

A

MAISONNEUVE
- Fracture of proximal third of fibula associated with rupture of the deltoid ligament or fracture of the medial malleolus and disruption of the syndesmosis
- Results from external rotation of the ankle with transmission of forces through syndesmosis; proximally, the force is relieved by fracture of the fibula

How well did you know this?
1
Not at all
2
3
4
5
Perfectly
23
Q

Describe this fracture?

A

MALGAIGNE
- Fracture of the ilium near the sacroiliac joint with displacement of the symphysis, or a dislocation of the sacroiliac joint with fracture of both ipsilateral pubic rami
- unstable pelvis

How well did you know this?
1
Not at all
2
3
4
5
Perfectly
24
Q

Describe this fracture?

A

MARCH
- Fatigue, or stress, fracture of the metatarsal
- Arises from long marches or other repetitive use trauma (e.g., marathon running) or, less commonly, from single stumbling movements

How well did you know this?
1
Not at all
2
3
4
5
Perfectly
25
Outline 4 basic fracture lines
Transverse - occurs at a right angle to the long axis of the bone Oblique - runs oblique to the long axis of the bone Spiral - from a rotational force, a torque, and encircles the shaft of a long bone in a spiral fashion Comminuted - fracture with more than two fragments
26
8 LE bones common to have stress fractures?
Metatarsals Cuneiform Navicular Calcaneus Tibia Fibula Femoral shaft Femoral neck
27
Describe Salter Harris classification?
Type 1-5
28
Outline 5 initial mgmt steps of open fractures
1. Control hemorrhage in field w/ sterile pressure dressing after removing gross debris (wood, clothing, leaves) 2. Splint w/out reduction, unless vascular compromise 3. Irrigate w/ NS, cover w/ NS-soaked sponges after arrival in ED 4. Begin IV ABX ppx, usually Cefazolin for grade I, add Gentamycin for grades II-III. 5. Give tetanus ppx, including tetanus Ig for large crush wounds.
29
Outline IV ABX for open fractures
GRADE 1-2 = Ancef 2g IV q8h GRADE 3 = add Gentamycin 2-5mg/kg IV q24h OR CTX 2g IV q24h only Soil contamination = add Metronidazole 500mg IV q8h Farm-related or Fecal contamination = add Penicillin G 2mill units IV q4h for clostridial contamination Water contamination SEA = Levofloxacin 750mg IV q24h + Metronidazole 500mg IV q8h FRESH = PipTazo 4.5g IV q6h
30
Mgmt of an open tuft fracture?
- fingers and toes - crush injuries - vigorous irrigation and debridement, as long as digital arteries intact - infxn rare
31
List 6 late complications of undiagnosed vascular injuries related to fractures
- thrombosis - arteriovenous fistulae - aneurysm - false aneurysm - tissue ischemia with limb dysfunction - amputation
32
Common nerve injuries associated with fractures?
Distal radius = Median Elbow injury = Median or Ulnar Shoulder dislocation = Axillary Sacral fracture = Cauda equina Acetabulum fracture = Sciatic Hip dislocation = Sciatic Femoral shaft fracture = Peroneal Knee dislocation = Tibial or Peroneal Lateral tibial plateau fracture = Peroneal
33
List 7 Non-fracture causes of compartment syndrome
- Isolated soft tissue trauma - Prolonged procedures in lithotomy position - Prolonged tuck position (knees to chest) for lumbar surgery - Coma - Spontaneous hemorrhage - Interstitial intravenous injections - Application of excessive traction in treatment of fracture
34
List 10 Causes of Compartment Syndrome
Bleeding: - Major vascular injury - Coagulation disorder - Anticoagulant therapy Reperfusion: - Arterial bypass grafting - Embolectomy - Ergotamine ingestion - Cardiac catheterization - Lying on limb Trauma: - Fracture - Seizure convulsions Intensive muscle use: - Exercise - Seizures - Eclampsia - Tetany - Muscle hypertrophy Burns: - Thermal - Electrical Intraarterial drug injection Interstitial infiltration Leaky dialysis cannula Venous obstructions: - Phlegmasia cerulea dolens - Ill-fitting leg brace - Tight cast - Venous ligation Procedures/Surgery: - ORIFs - Excessive traction on fractured limbs - Closed fascial defects Nephrotic syndrome Popliteal cyst
35
List 8 complications of fractures
AVN Compartment syndrome Complex regional pain syndrome Fat embolism syndrome Fracture blisters Hemorrhage Nerve injuries Vascular injuries
36
List 10 complications of prolonged immobility and hospitalization
Contractures Wound infection Decubitus ulcers Muscle atrophy DVT PE Delirium Psychosis PNA Stress GI ulcers UTI
37
List 5 complications of casting
- Compartment syndrome - Thermal injury - Pressure sores - Bacterial and fungal infections (especially if wound under casted area) - Pruritic dermatitis
37
3 examples of paired fractures?
1. Distal tibia and proximal fibula 2. Calcaneus (Os calcis) and Lumbar spine 3. Ring structures (pelvis or mandible)
38
List 2 absolute & 2 relative contraindications to cold therapy after Ortho/MSK injury
Absolute: - Severe cold allergy (hives & joint pain) - Raynaud disease Relative: - Rheumatoid conditions - Paroxysmal cold hemoglobinuria --> renal dysfnc & secondary HTN
39
Describe degrees of sprains?
First degree: - minor tearing of ligament - minimal joint tenderness - no abnormal joint movement Second degree: - partial tear of ligament - tender, mod hemorrhage, some abnormal motion Third degree: - complete tearing of ligament - stressing joint leads to grossly abnormal motion - may have XR finding
40
Outline timeline for immobilizing sprains
First 48-72 hours, +/- crutches for LE
41
Describe degrees of strains?
First degree: - minor tearing of musculotendinous unit - characterized by minor swelling, local tenderness, and minimal restriction of movement Second degree: - fibrous tearing along a continuum but without complete disruption - Swelling, ecchymosis, and loss of strength are more marked. Third degree: - complete disruption of the musculotendinous unit - resultant separation of muscle from muscle, muscle from tendon, or tendon from bone. *Accompanying avulsion fracture may be present on XR in second- or third-degree
42
List 10 risk factors for tendinitis
- Increased age - Decreased blood supply and decreased tensile strength - Muscle weakness and imbalance - Insufficient flexibility - Male - Obesity - Smoking - Malalignments - Training errors - Improper equipment - DM - CKD - RA - SLE - Steroids - Fluoroquinolones
43
How is tendinosis different from tendinitis?
Tendinosis is chronic painful conditions of the tendon - "degenerative" changes to tendon
44
List 6 common sites for tendinits
UE: - Rotator cuff - Radial wrist = de Quervain’s tenosynovitis - Hand extensors at lateral humeral epicondyle = tennis elbow - Wrist flexors at medial epicondyle = golfer elbow LE: - Achilles tendon - Patellar tendon = jumping sports - Biceps femoris - Semitendinosus and Semimembranosus = hamstring syndrome - Posterior tibial tendon = shin splints - Iliotibial band
45
List 8 common sites for calcific tendinitis
Shoulder Wrist Hand Neck Knee Ankle Foot Mandible
46
List 4 common sites of bursitis
Can be traumatic, infectious, related to systemic illness Olecranon Greater trochanter of femur Prepatellar Anserine bursa around knee
47
5 types of low back pain EMERGENCIES?
1) New back pain with neurologic findings in a patient with a malignancy history 2) Back pain and symptoms of epidural compression syndrome 3) Back pain with infectious cause symptoms 4) Back pain with gross muscle weakness or paralysis 5) Back pain with severe or progressive neurologic deficits
48
List 10 red flag hx features for back pain
Recent significant trauma Sensation of ripping/tearing Associated chest or abdominal pain History of cancer Anticoagulant use Intravenous drug use Immunocompromised status History of prolonged glucocorticoid use History of osteoporosis History of abdominal aortic aneurysm Patient >50 years Unrelenting night or rest pain Worsened with cough, Valsalva, sitting Unexplained weight loss Recent bacterial infection (skin/soft tissue, pneumonia, urinary tract infection) Recent GI/GU procedure Failure to improve after 6 weeks of conservative therapy Bowel, bladder, and/or sexual dysfunction Saddle anesthesia
49
List 10 red flag physical exam features in back pain
Abnormal vital signs—hypotension, hypertension, tachycardia, fever Unequal blood pressure readings in the upper extremities Murmur of aortic insufficiency Pulse deficit or circulatory compromise of the lower extremities Pulsatile abdominal mass Urinary retention Urinary or stool incontinence Loss of rectal sphincter tone Severe or progressive neurologic deficit Focal lower extremity weakness New ataxia or difficulty walking Decreased perianal sensation
50
What are 4 significant MODIFIABLE risk factors for dx of back pain and sciatica?
1) Nicotine dependence 2) Alcohol abuse 3) Obesity 4) Depressive disorders
51
List 20 DDx of Back Pain
1) Extraspinal Pathology - aortic dissection - bacterial IE - PE - PNA - pleural effusion - MI - ruptured AAA - esophageal dz - penetrating PUD - pancreatitis - pancreatic Ca - biliary colic - cholecystitis - cholangitis - renal colic - perinephric abscess - pyelonephritis - gonadal torsion - PID - endometriosis - pregnancy - prostatitis - herpes zoster - retroperitoneal hemorrhage - psoas abscess 2) Spinal Pathology - cauda equina syndrome - spinal epidural abscess or hematoma - vertebral osteomyelitis - infectious discitis - fracture (traumatic, pathologic) - malignancy (metastatic, leukemia/lymphoma, multiple myeloma, spinal cord tumor) - transverse myelitis - spondylitis (ankylosing, psoriatic) - spondylolysis or spondylolisthesis - disc herniation - degenerative disease (discs, facet joints) - spinal osteoarthritis - isolated sciatica - spinal stenosis 3) MSK or Nerve Root Pain - acute muscle strain - acute ligamentous sprain - osteoporosis - spinal curvature (lordosis, kyphosis) - osteoid osteoma - nonspecific low back pain
52
Describe myelopathy
- SCI 2/2 compression, inflammation, ischemia - acute or insidious gradual - LE sensory defs, loss of pain, weakness, gait disturbance - UMN signs INTACT: hyperreflexia, hypertonia, (+) Babinski, bladder dysfnc
53
Describe radiculopathy
- injury of nerve root - pain, sensory abnormal, weakness - isolated issue compared to multilevel myelopathies
54
Most common pathogen in spinal infections?
S. aureus
54
Classic triad of epidural abscess?
Fever back pain focal neurologic deficits
55
Name gold standard imaging for dx of spinal infection
MRI with contrast
56
List 5 common sources of neoplastic spinal cord compression
lung ca prostate ca breast ca multiple myeloma lymphoma
57
List 6 causes of cauda equina syndrome
Disc herniation at L4/5 or L5/S1 Spinal Abscess Spinal Hematoma Spinal Fractures Lumbar Spondylosis Tumours to spine
58
Features of cauda equina syndrome?
- bladder dysfunction (most common) - bowel dysfunction - sexual dysfunction - saddle anesthesia (highest predictive value) - unilateral or bilateral radiculopathy (worse with recumbent positioning, weakness, paresthesias)
59
Two types of Cauda Equina syndrome based on bladder effects?
CES-I = Incomplete - reduced bladder sensation - decreased desire to void - strained micturition - decreased urinary stream CES-R = Retention - complete retention - overflow incontinence
60
List 10 Causes of Acute Transverse Myelitis
- MS - SLE - Sarcoidosis - Vasculitis - VZV - HSV - CMV - EBV - Enterovirus - TB - Lyme - Syphilis
61
Describe typical mechanical back pain
- unilateral - worsened with movement - alleviated with rest not associated with complaints of numbness, weakness, bowel or bladder dysfunction - Pain may radiate generally to the buttocks or posterior thigh areas, but not past the knee
62
List 3 most important features associated with serious outcomes in back pain
1) new urinary retention 2) disturbance of saddle sensation 3) use of anticoagulants
63
Physical Exam Features for L/S Nerve Root Compromise
64
List 3 causes of vertebral osteomyelitis
IVDU Spinal surgery Pott disease = TB of spine
65
List 8 high risk factors for compressive myelopathy
- history of cancer - unexpected weight loss - trauma - chronic steroid use - anticoagulation - fever - immunocompromised - injection drug use - spinal surgery
66
Historical clues for back pain causes
67
Reasons to get advanced imaging in setting of back pain
History of malignancy or unexplained weight loss Fever with localized back pain Immunocompromised status History of injection drug use or bacteremia History of anticoagulant use Trauma of high force relative to patient History of recent spinal procedure or surgery New weakness of extremities Sensory level or saddle anesthesia Abnormal reflexes, including positive Babinski sign Urinary retention or incontinence with post-void residual volume >100 mL Sphincter dysfunction: loss of sphincter tone or bowel incontinence
68
Analgesia options for non-specific mechanical back pain
Exercise therapy Topical capsaicin Topical lidocaine patch NSAIDs Acetaminophen Short course opioids Short course benzos
69
Tx for pts with nerve root pain and acute radiculopathy in ED?
Single pulse dose steroid --> dexamethasone 6-10mg IV Taper of prednisone 60mg, 40mg, 20mg PO x5 days each for total 15 days
70
Empiric ABX tx for epidural abscess or spinal osteomyelitis?
Epidural Abscess: --> Vancomycin 20mg/kg IV load, then 15-20mg/kg q8-12h AND --> Metronidazole 500mg IV q8h AND --> CTX (q12), Cefotaxime (q6), Ceftazidime (q8h), or Cefepime (q8) all 2g IV *Cefepime or Ceftazidime when considering Pseudomonas Spinal Osteomyelitis: INTRAVENOUS: --> Cefazolin (q8), CTX (q12), Cefotaxime (q6), Ceftazidime (q8h), or Cefepime (q8) all 2g IV AND --> Vancomycin 20mg/kg IV load, then 15-20mg/kg q8-12h ORAL: --> Ciprofloxacin 750 mg PO BID OR --> Septra DS 1 tab PO BID
71
Med Tx for CES or Malignancy causing cord compression?
Dexamethasone 10mg IV x1
72
List 5 indications for emergency spine surgery consult?
Spinal epidural abscess Compressive neoplasm Osteomyelitis Fracture Other compressive spinal lesions
73
List 5 Intrinsic and 5 Extrinsic factors causing tendinopathies
* Mechanical overload and repetitive microtraumas Intrinsic: - age - gender - blood type O - obesity - tobacco use - malalignment - joint laxity - muscle weakness - imbalance Extrinsic: - ergonomics - equipment changes - abnormal movements - excessive duration of activity - increased frequency & intensity of activity - environmental conditions Additionally: - excessive protein intake - systemic diseases (CAD, DM, gout) - medication use (statins, fluoroquinolones)
74
List common sites for Tendinopathies (4) and Bursitis (4)
TENDINOPATHY - Bicipital tendinopathy = long head biceps - Tennis elbow = extensor tendons - Acute tendinopathy of wrist = flexor carpi ulnaris - de Quervain's tenosynovitis = EPB + APL BURSITIS - Bursitis of shoulder = supraspinatus tendon & subdeltoid bursa - Student's elbow = olecranon bursa - Ischial bursitis = posterior ischial tuberosity - Trochanteric bursitis = gluteus medius & minimus - Housemaid's knee = prepatellar bursa - Infrapatellar bursitis - Heel bursitis = Achilles tendon
75
Outline 5 phases of tendon healing
1) Hemorrhagic phase 2) Inflammatory phase 3) Proliferative phase 4) Formative phase 5) Remodeling phase 12 weeks to regain prior strength Full recovery 3-6 months
76
List 10 DDx for Tendinopathy
Tendon rupture Ligamentous injury (sprain) Inflammatory arthritis (e.g., rheumatoid) Fractures (e.g., avulsion, stress) Tumors Tenosynovitis Osteochondrosis (e.g., Osgood-Schlatter disease) Bursitis Septic arthritis Osteoarthritis Foreign bodies Rhabdomyolysis Osteomyelitis Nerve entrapment syndromes Tendon sheath infections (e.g., pyogenic)
77
How does the supraspinatus tendon become impinged?
- Impingement occurs because of position interposed btwn humeral head and acromion. - Greater tuberosity of humerus impinges supraspinatus against undersurface of anterior third of acromion
78
How does biceps tendon become impinged?
- Long head of biceps may impinge due to location btwn supraspinatus & subscapularis tendons in rotator interval
79
List 4 complications of rotator cuff impingement syndrome
- osteophytic changes - subacromial bursitis - bicipital tendinopathy - calcific tendinopathy
80
List 5 special tests to suggest dx of rotator cuff tendinopathy
- Empty can/Jobe - Drop arm - Shrug sign - Neer - Hawkins-Kennedy
81
List 2 special tests to suggest dx of bicipital tendinopathy?
- Yergason - Speed
82
List 6 risk factors for Calcific Tendinopathy
Female Age 30-60 DM Thyroid d/o Nephrolithiasis Genetic predisposition
83
What is this? Possible tx?
Calcific tendinopathy of the supraspinatus tendon - pain during resorptive phase - pain in response to local chemical pathologic disorder or direct mechanical irritation - decreased ROM - Can dx with XR and US - tx with percutaneous needle lavage and steroid injection
84
What is Lateral epicondylitis?
- Tennis Elbow - insertion of extensor carpi radialis brevis onto lateral epicondyle of humerus - exacerbated by wrist extension and supination
85
What 2 special tests reproduce pain of lateral epicondylitis?
Cozen's - resisted wrist ext Maudsley's - resisted D3 extension
86
What is Medial epicondylitis?
- golfer's elbow - insertion of flexor carpi radialis onto medial epicondyle - exacerbated by wrist flexion and pronation
87
What is de Quervain's tenosynovitis?
- APL & EPB (Abductor Pollicis Longus and Extensor Pollicis Brevis) - thickening of extensor retinaculum over dorsal wrist - result of intrinsic overuse & degenerative mechanisms - PAIN at radial styloid process - exacerbated by abduction of thumb, ulnar deviation of wrist - F 6x more likely > M - Age > 40yr
88
What 2 special tests reproduce pain of de Quervain's tenosynovitis?
Finkelstein's - passively flexed thumb Eichhoff's - thumb in fist and ulnar deviate
89
What is Patellar Tendinopathy?
- Jumper's knee - pain at inferior pole of patella
90
List 8 risk factors for Achilles tendinopathy
DM CKD ankylosing spondylitis reactive arthritis gout pseudogout fluoroquinolones statins moderate alcohol intake middle-long distance running
91
Outline dx criteria for Achilles Tendon Rupture
- middle aged, untrained athlete applying excessive force w/ pop, weakness, struck feeling DX by 2+ of: - Palpable 2-6cm defect proximal to insertion - positive Thompson test - increased passive ankle dorsiflexion - decreased plantar flexion strength
92
List 5 muscles that help plantarflex the ankle
Gastrocnemius Soleus Tibialis posterior Flexor digitorum longus Flexor hallucis longus Peroneus brevis Peroneus longus
93
List 5 findings of tendinopathy on US
- loss of the fibrillar echotexture - focal tendon thickening - diffuse thickening - focal hypoechoic areas - extended hypoechogenicity - irregular and ill-defined borders - microruptures - intratendinous calcifications - peritendinous inflammatory edema
94
General Mgmt of Tendinopathies
Identify the cause of discomfort Eliminate the sources of the primary tendinopathy Institute treatment modalities Analgesic medications (e.g., NSAIDs) Protection Relative rest Optimal loading (e.g., ergonomic alterations) Application of ice, compression, and elevation as necessary Educate patients regarding the underlying mechanical causes Modify patient behavior to minimize or eliminate sources of continuing irritation (e.g., biofeedback, coaching) Enhance the patient’s diet (e.g., add vitamin D sources) Refer patients for appropriate follow-up care and early rehabilitation.
95
List 8 causes of Bursitis
trauma prolonged pressure gout pseudogout RA psoriatic arthritis S. aureus infection idiopathic nearby cellulitis complication of aspiration or injection
96
List 5 predisposing factors for septic bursitis
Trauma (minor or repetitive) Occupational trauma DM Atopic dermatitis RA Gout EtOH abuse
97
List 6 DDx for atraumatic, nonseptic bursitis
RA SLE Scleroderma Gout Pseudogout Ankylosing spondylitis Hypertrophic pulmonary osteoarthropathy Oxalosis Whipple disease (bacterial dz that affects many organ systems, including MSK w/ joint involvement) Idiopathic hypereosinophilic syndrome
98
List Oral and IV ABX for septic buristis
ORAL: --> Dicloxacillin 500 mg PO QID OR --> Septra DS 1-2 tabs PO BID OR --> Clindamycin 300 mg PO QID IV: Vanco for MRSA risk
99
List 5 complications of aseptic superficial bursal injections
- skin atrophy over the bursa - persistent pain - development of septic bursitis - bleeding - postinjection flare as a result of release of microcrystals - tendon rupture
100
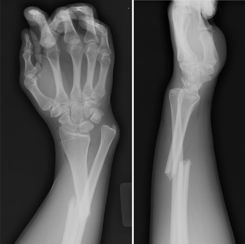
Describe this fracture?
MONTEGGIA - Fracture of junction of proximal & middle thirds of ulna w/ anterior dislocation of radial head - PIN injury (weak thumb or finger ext) - FOOSH with forced pronation or direct blow to ulna - Cast in supination in KIDS
101
Describe this fracture?
NIGHTSTICK - fracture of ulna (or radius, or both) - defence wound from blow to forearm
102
Describe the Piedmont fracture
Same as Galeazzi! - Closed fracture of radius at middle third–distal third junction, DRUJ injury, but ulna intact
103
Describe this fracture?
POTT or BIMALLEOLAR - bimall or just distal fibular 4-7cm above lateral mall
104
Describe this fracture?
ROLANDO - Comminuted intraarticular fracture at base of the first metacarpal; frequently Y- or T-shaped - via axial load with metacarpal in partial flexion - worse prognosis than Bennett * thumb spica x 4 weeks
105
Describe this fracture?
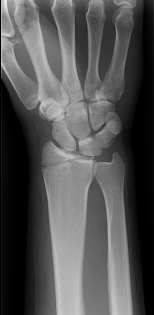
SMITH *Reverse of the Colles fracture - garden spade deformity - Extraarticular fracture of the distal radius with volar displacement of distal fragment - median nerve compression common - usually results from fall with force to back of hand - more likely unstable and require surgery
106
Describe this fracture?
STENER - gamekeeper’s thumb - Avulsion of the ulnar corner of the base of the proximal phalanx of the thumb - Bony equivalent of rupture of the ulnar collateral ligament Thumb spica
107
Describe this fracture?
TEARDROP - Wedge-shaped fracture of the anteroinferior portion of the vertebral body, displaced anteriorly - Commonly involves a ligamentous injury - may produce neurologic injury
108
Describe this fragment?
THURSTON HOLLAND FRAGMENT w/ SH2 - Triangular metaphyseal fragment that accompanies the epiphysis in Salter-Harris type II fractures
109
Describe this fracture?
TILLAUX - Isolated avulsion fracture of the anterolateral aspect of the distal tibial epiphysis - Occurs in older adolescents (12–15 years) after the medial parts of the epiphyseal plates close but before the lateral part closes - external rotation force places stress on anterior talofibular ligament
110
3 classes of arthritis?
Degenerative Infectious Inflammatory
111
Clinical factors to consider for joint pain?
- Pt age - Time course (acute <7d, subacute 7d-3w, chronic 3w-mos) - Timing of symptoms - Hx of trauma to joint - Associated systemic symptoms - Description of pain - Location of pain - Aggravating/alleviating factors
112
List 6 DDx for monoarthritis
- septic arthritis - gout - pseudogout - osteoarthritis - trauma - hemarthrosis
113
List 5 DDx for symmetrical polyarthritis
- RA - psoriatic arthritis - PMR - enteric arthritis - ankylosing spondylitis
114
List 8 DDx for asymmetrical polyarthritis
- gonococcal arthritis - lyme arthritis - acute rheumatic fever - endocarditis - reactive arthritis - viral arthritides - gout - pseudogout
115
List 4 extra-articular systemic findings of RA?
- C-spine instability - Pericarditis - Pulmonary nodules - Anemia
116
List 2 extra-articular systemic findings of Psoriatic Arthritis?
- Cutaneous plaques (most commonly elbows, knees) - IBD
117
List 4 extra-articular systemic findings of Ankylosing Spondylitis?
- Uveitis/Iritis - Cardiac abnormalities - Aortic Regurgitation - IBD
118
List 3 extra-articular systemic findings of Reactive Arthritis
- Conjunctivitis - Urethritis - Oral ulcerations
119
List 3 extra-articular systemic findings of Lyme dz?
- Erythema chronicum migrans - Cardiac conduction abnormalities - Bell's palsy
120
Name classic finding of gout
Tophi - nontender collections of uric acid crystals in subcut tissue near affected joints
121
What are Major/Minor systemic findings of acute rheumatic fever?
JONES criteria --> Must have elev Strep Ab titre OR (+) rapid Strep test/GAS throat cx --> 2 Major or 1 Major + 2 Minor for diagnosis MAJOR: - Joint pain (migratory polyarthritis) - Carditis (on echo/Doppler) - Subcutaneous Nodules - Erythema marginatum - Sydenham chorea MINOR: - Arthralgia - Prolonged PR interval - Fever - ESR > 60 mm - CRP > 3.0 mg/dL
122
Name an XR finding of acute arthritis, like gout, pseudogout, or septic
Soft-tissue swelling only
123
List 3 XR findings of late septic arthritis (>7 days)
Subchondral bone destructions Periosteal reaction Loss of joint space
124
List 2 XR findings of late pseudogout (MCP, radiocarpal, hip, knee)
- Chondrocalcinosis - Asymmetric joint space narrowing
125
6 XR findings of degenerative arthritis?
1) Asymmetric joint space narrowing - worsened by WB views 2) Sclerosis of juxta-articular bone 3) Osteophytes 4) Bone spurs 5) Subchondral cysts 6) Minimal to no osteoporosis
126
List 3 XR findings of late Rheumatoid Arthritis
Symmetric joint space narrowing Osteoporosis of periarticular bone Marginal erosions
127
4 indications for urgent arthrocentesis
1) obtain joint fluid for possible infection or crystals 2) drain large hemarthrosis 2/2 trauma or injury 3) inject medication into joint 4) evaluate a laceration for possible extension into joint
128
Name 1 absolute & 1 relative contraindication to arthrocentesis
Absolute: - area of cellulitis or SSTI Relative: - coagulopathy
129
List 4 complications of arthrocentesis
Introducing infection Bleeding Pain Allergic rxn to injected meds
130
3 synovial fluid values that point to septic arthritis?
1) >50,000 WBC/mm3 2) >90% PMNs 3) positive gram stain *prothetic joint is >1100/mm3 >60% PMNs
131
Compare gout and pseudogout crystalopathies
Gout = monosodium urate crystals - needle shaped - negative birefringent Psuedogout = calcium pyrophosphate crystals - rhomboid shape - positively birefringent
132
List 10 risk factors for septic arthritis
- Young children - Age >80 - Immuncompromised - HIV - DM - Hemodialysis - Endocarditis - IVDU - Hip or knee prosthesis - Prosthetic joints w/ recent intra-articular steroids - Recent joint surgery - Skin infection - RA - Gout - Pseudogout
133
Name common bacteria causing septic arthritis in: - neonates/infants - children - adolescents/young adults - older adults - SCD - IVDU - prothetic joints
Neonates and infants: - S. aureus - GBS Children: - S. aureus - GAS - Strep pneumoniae - Kingella kingae - Lyme Adolescents and young adults: - S. aureus - Neisseria gonorrhea Older adults: - S. aureus - Streptococcus sp. - Gram-negative rods Sickle cell: - S. pneumonia - Salmonella (more commonly osteomyelitis) IVDU: - S. aureus - Pseudomonas - Gram-negative rods Prosthetic joint: - S. aureus - Coagulase-negative Staphylococcus - Streptococcus sp. - Gram-negative rods
134
Empiric IV ABX for septic arthritis
Initial: --> IV cephalosporin 2g (CTX, cefepime, ceftazidime, cefazolin) PLUS --> vancomycin 20mg/kg IV x1, then q8-12h OR --> linezolid 600mg IV OR --> daptomycin 6mg/kg IV Gram POS cocci: ?MRSA - ensure MRSA coverage as above Gram NEG bacilli: --> CTX 2g IV q24h Gram NEG diplococci: --> CTX 2g IV q24h PLUS --> azithromycin 1000mg PO for Chlamydia coverage
135
Treatments for OA pain
1) PO NSAIDs (if low - mod GI risk factors) 2) Topical NSAIDs *or topical capsaicin or lidocaine 3) Acetaminophen 4) Corticosteroid injection 5) Physical therapy referral 6) Cold therapy 7) Bracing 8) PO Duloxetine (start with FMD) *add PPI if mod-high GI risks
136
List 7 Viruses that cause Arthritides
Hep B (sign of early infection) Hep C HIV Parvovirus B19 Rubella virus/vaccination Alphaviruses (Chikungunya) Flaviviruses (Dengue, Zika, West Nile)
137
List 5 risk factors for dissemination of Gonoccocal infxn to joints
Immunocompromised Women Pregnancy IVDU Multiple sex partners
138
Outline clinical features of disseminated gonococcal infxns to joints
Oligoarthritis (2-4 joints) - Wrist, knee, ankle - Modest effusions Diffuse migratory arthralgias Fever Small painless, nonpruritic skin lesions - papules, pustules, vasculitic
139
Tx of Gonococcal Joint Infxn
- CTX 2g IV or IM q24h + azirthomycin 1g PO for Chlamydia coverage
140
List 6 risk factors for Gout
- Older adults - Obesity - HTN - DM - Thiazide diuretic use - Cyclosporin use
141
List 3 dietary triggers for Gout
*Purine-rich diet - meats - beer - legumes - seafood - shellfish, anchovies
142
List 5 joints most affected by gout
MTP1 Other MTPs & Tarsals Knee Ankle Hand
143
2 U/S findings of gout
1) Double contour sign - one hyper echoic line of crystals, one of bony surface 2) Wet clumps of sugar - chronic tophi with heterogeneous centre and hypo echoic rim
144
Tx for acute gout attacks
1) NSAIDs - Indomethacin - Naproxen - Ibuprofen - prompt start with onset of pain, continue until 24hrs after symptom resolution 2) Colchicine - inhibits formation of microtubules - ++risk of OD, small therapeutic window - avoid in renal and hepatic insufficiency 3) Steroids - Intra-articular inj or PO - prednisone 40mg PO x5-7 days * Can do combo therapy, but avoid PO NSAIDs + PO Steroids
145
List 6 risk factors for Pseudogout/CPPD
- Elderly - Prior trauma to joint - Recent joint surgery - Hemochromatosis - Amyloidosis - Hypothyroidism - HyperPARAthyroidism
146
List 5 joints affected by pseudogout
- Knee is #1 - Hips - Ankles - MCPs - wrists - elbows - shoulders - spine
147
Txs for pseudogout
- NSAIDs - Steroids (systemic or intra-articular) - Colchicine - maybe MTX, IL-1 inhibitors, anti-TNFa agents
148
What symptoms does Lyme infxn cause in joints?
Early - migratory myalgia and arthralgias, with Erythema migrans rash Late - asymmetric arthritis w/in 6mos of infxn, large joint effusions Large joints, knees
149
Tx for Lyme disease affecting joints?
PPX: *engorged tick found, >24-36h attached in endemic area --> Doxycycline 200mg PO x1 (4.4mg/kg for kids) EARLY ACUTE DZ: --> Doxycycline 100mg PO BID x 10 days LATE ARTHRITIS: --> Doxycycline 100mg PO BID x 28 days *Can substitute Amoxicillin 50mg/kg/DAY divided into q8h (max 500mg/dose) for tetracycline allergy, pregnant pt, children *If failed PO tx, CTX 2g IV q24h for mod-severe persistent arthritis
150
Tx for Acute Rheumatic Fever with arthritis tx as well
--> Benzathine Penicillin 1.2mill units IM x1 OR --> Penicillin V 500mg PO q8h x 10 days OR --> Amoxicillin 500mg PO q12h x 10 days OR --> Clarithromycin 250mg PO q12h x 10 days (for pen allergy) For Arthritis: --> ASA 50-100mg/kg/day PO divided to q6h (no effect on cardiac) OR --> Hydrocortisone 1-2mg/kg/day PO slowly taper over 2-4 weeks (better for cardiac involvement) Ongoing PPX: --> Penicillin PO or IM qMonthly x 5 years or until adulthood (recurrence rate 8-10% w/in 5 yrs)
151
What is a positive straight leg raise?
- Lay patient supine - Passively lift their extended leg - If pain at 30deg or more, positive test - Pain down the ENTIRE leg! (Not just in low back or to the knee)
152
List 2 primary joints affected by Rheumatoid Arthritis, and 4 classic deformities
Symmetrically in PIPs and MCPs, feet too - stiff and sore in AM, improved with movement Progressive articular deterioration - Ulnar deviation - Swan neck deformities - Boutonniere deformities - Joint subluxations
153
Tx for Rheumatoid Arthritis?
NSAIDs DMARDs (biologic and non-biologic) Immunosuppressants Corticosteroids Exercise Diet Stress reduction Cryotherapy PT Massage Surgery (synovectomy, arthroplasty, or arthrodesis)
154
List 4 common Seronegative Spondyloarthropathies
- Ankylosing spondylitis (AS) - Reactive arthritis - Psoriatic arthritis - Enteropathic arthritis (associated w/ IBD)
155
Joint involvement & Clinical features of Seronegative Spondyloarthropathies
- Sacroiliac joint - Multiple distal/peripheral joints - Pathologic changes @ Entheses (ligament & tendon insertion sites) - RF (-) - HLA-B27 (+)
156
List 6 clinical features of Ankylosing Spondylitis
- Male - Younger <40 yrs - Chronic back pain, insidious onset - XR = sacroilitis & bamboo spine - Extra-articular = Uveitis, urethritis, vasculitis (even of aorta) - Entheses = plantar fasciitis, Achilles tendinopathy
157
List 3 Txs for Ankylosing Spondylitis
NSAIDs Anti-inflammatories DMARDs
158
Outline clinical features of Reactive Arthritis, and list 5 bacteria associated with it
- Ages 20-40 - Asymmetric polyarthritis - LE joints - 2-6 wks after dysentery or cervicitis/urethritis - Extra-articular = conjunctivitis, uveitis, oral ulcers - Chlamydia, Salmonella, Shigella, Yersinia, Campylobacter
159
Tx for Reactive Arthritis
NSAIDs ABX tx for Chlamydia NO ABX for diarrheal/dysentery bacteria
160
Clinical features of Psoriatic Arthritis
Range of presentations: - Asymmetric oligoarthropathy - Symmetric polyarthropathy - Spondylitis - DIP joint involvement (vs PIP/MCP in other rheum) - Arthritis mutilans
161
Tx for Psoriatic Arthritis
NSAIDs Local corticosteroid injections DMARDs NO systemic steroids
162
Outline clinical features of IBD Enteropathic Arthritis
Acute - accompanies GI flares Asymmetric, Migratory Polyarthritis - usually knees
163
Tx for IBD Enteropathic Arthritis
Sulfasalazine Intra-articular steroid injections NOT NSAIDs (exacerbate GI symptoms)
164
List 3 conditions with widespread joint pain, but that are NOT a true arthritis
1) Fibromyalgia 2) Polymyalgia rheumatica 3) Scleroderma
165
3 most serious pelvic ring injuries caused by high-energy impact?
1) Anteroposterior compression fractures = Open-book 2) Vertical shear fractures = Malgaigne 3) Fractures w/ significant displacement * Likely major blood loss req'ing transfusions
166
Best diagnostic imaging for diagnosing pelvic fracture?
CT
167
Define & Describe Fragility Pelvic Fractures?
--> Fracture caused by an injury that would be insufficient to fracture normal bone - older adults - involve Anterior column of Acetabulum - Comminuted - Severe impaction of femoral head
168
What is Mortality Rate of Posterior arch # + hypotension?
50%
169
List 3 procedural options for pelvic hemorrhage
Angiography & embolization Pelvic packing Invasive fixation *combination of above
170
Which arteries are injured in these pelvic fractures? - Posterior pelvic arch - Pubic rami
Posterior pelvic arch --> Superior gluteal artery Pubic rami --> Obturator + Internal pudendal arteries
171
Name the 5 ligaments of the posterior pelvic arch
1) Iliolumbar 2) Anterior Sacroiliac 3) Posterior Sacroiliac 4) Sacrospinous 5) Sacrotuberous * Stabilizing force of the posterior pelvis * Disruption of any = mechanically unstable pelvic fracture
172
Describe Tile's Classification of Pelvic Fractures *biomechanical stability of the pelvic ring
Type A: --> Stable, posterior arch intact - Avulsion fractures - Isolated iliac wing fracture - Pubic rami fractures - Minimally displaced ring fracture - Transverse fractures of the sacrum or coccyx Type B: --> Partially stable, incomplete disruption of the posterior arch - Rotationally unstable - Vertically stable - 2/2 AP injuries = open-book fractures - 2/2 Lateral compression injuries - Unilateral or Bilateral Type C: --> Unstable, complete disruption of the posterior arch - Rotationally & Vertically unstable - Iliac, Sacroiliac, and Vertical sacral injuries - 2/2 Vertical shearing forces - Unilateral or Bilateral
173
Describe Young-Burgess Classification of Pelvic Fractures *mechanisms of injury
AP Compression: I. Symphysis diastasis <2.5 cm II. Symphysis diastasis >2.5 cm = Rotational instability - Sacrospinous + Anterior sacroiliac ligament disruption III. Symphysis diastasis >2.5 cm = Complete Rotational & Vertical instability - Complete disruption of Anterior + Posterior sacroiliac ligament Lateral Compression w Pubic Rami #s: I. Sacral crush injury on ipsilateral side II. Sacral crush injury with disruption of Posterior sacroiliac ligaments = Rotational instability - Iliac wing fracture may be present (crescent fracture) III. Severe internal rotation of ipsilateral hemipelvis with external rotation of contralateral side = Rotational instability - "Windswept" pelvis Vertical Shear: - Vertical displacement of symphysis and sacroiliac joints = Complete Rotational & Vertical instability Combined Mechanisms: Any combination of above
174
Describe the Pelvic Fragility Fracture classification *And which Types are stable and non-op vs unstable and operative?
TYPES I + II = Stable, Non-op TYPES III + IV = Operative Type I = Anterior pelvic ring # only --> IA - Unilateral --> IB - Bilateral Type II = Nondisplaced Posterior pelvic ring # --> IIA - Nondisplaced and isolated posterior --> IIB - Sacral crush injuries with anterior disruption --> IIC - Nondisplaced sacral, sacroiliac, or iliac # with anterior disruption Type III = Displaced unilateral posterior pelvic ring # with an anterior pelvic ring # --> IIIA - Displaced unilateral ilium # --> IIIB - Displaced unilateral sacroiliac fracture-dislocation --> IIIC - Displaced sacral # Type IV = Displaced bilateral posterior # --> IVA - Bilateral iliac fractures or sacroiliac disruptions --> IVB - Spinopelvic dissociation, bilateral vertical fractures through sacral ala with horizontal component --> IVC - Fracture is a combination of different posterior instabilities
175
What is a Straddle Fracture?
4-Pillar Injury = #s of Pubic Rami on both sides of Symphysis Pubis --> Butterfly segment - direct blow with straddle mechanism - can occur w/out posterior arch disruption OR +/- lateral compression or vertical shearing - GU tract often injured as well *MUST CT to r/o posterior #s +/- Cystogram
176
Describe this fracture?
DUVERNEY - isolated iliac wing fracture - direct trauma to iliac crest - usually lateral compression * Consult Ortho in ED - can extend into acetabulum, and may require ORIF - can be associated with major -non-pelvic injuries
177
At which level are transverse sacral fractures likely to involve neurologic injury? Likely mechanism of injury? XR views?
Above S4 = Neurologic injury common - Operative when not intact Below S4 = Unlikely neuro issues - Conservative non-op mgmt Flexion injury = struck to lower back by heavy load while bending over OR direct forces to sacrum, fall from significant height *Get pelvic outlet view
178
List common Avulsion Fractures in the pelvis (bone + tendon)
Iliac crest = Abdominal muscles ASIS = Sartorius + Tensor fascia lata AIIS = Restus femoris Greater trochanter = Gluteus medius + minimus Lesser trochanter = Iliopsoas Ischial tuberosity = Hamstrings Body of pubis & Inf pubic rami = Adductors/Gracilis
179
4 Causes for pathologic fracture of the pelvis?
Neoplasm Paget disease Dietary osteomalacia Radiation therapy
180
What are bucket handle fractures?
Rami fractures on the contralateral side after lateral compression injury to pelvic
181
Radiographic Clues to Pelvic Posterior Arch Fractures
Avulsion of L5 transverse process Avulsion of ischial spine Avulsion of lower lateral lip of the sacrum (sacrotuberous ligament) Displacement at the site of a pubic ramus fracture Asymmetry or lack of definition of bone cortex at superior aspect of the sacral foramina
182
Describe Denis Classification of Vertical Sacral Fractures
Zone I = lateral to the sacral foramina (sacral ala) Zone II = transforaminal Zone III = central sacrum medial to the foramina - may involve central spinal canal * high risk of neurologic complications as zones increases ** radiographic diagnosis of this fracture hinges on examination of the symmetric cortical lines that are normally present at the superior margins of the sacral foramina on the anteroposterior view. Disruption, distortion, or asymmetry of these lines is an important marker of sacral fractures.
183
Name 3 communicating sites that would make an open pelvic fracture?
Dermal wound Vaginal wound Rectal wound
184
Describe Goldman Classification for Pelvic Fracture Urethral Injury
I— Posterior urethra intact but stretched II— Partial or complete pure posterior injury with tear of membranous urethra above the urogenital diaphragm III— Partial or complete combined anterior/posterior urethral injury with disruption of the urogenital diaphragm IV— Bladder neck injury with extension into the urethra IVA— Injury of the base of the bladder with peri-urethral extravasation simulating a true type IV urethral injury V— Partial or complete pure anterior urethral injury
185
Outline Neurologic Deficits of Pelvic Fractures as Expected by Nerve Root Level (L5-S5)
L5 Sensory deficit—dorsum of foot and lateral calf Weakness—anterior tibial compartment S1 and S2 Sensory deficit—posterior aspect of the leg, sole and lateral foot, genitalia Weakness—hip extension, knee flexion, and plantar flexion S2–S5 Sensory deficit - to perineum Weakness - sexual dysfunction, bowel/bladder dysfunction
186
Clinical features of acetabular #s?
- Inability to WB - Pain in hip area with percussion of heel - Pain in hip area with pressure to greater trochanter
187
Universal Classification of Acetabular Fractures
Type A: Fractures of one column of the acetabulum (anterior or posterior column). Type B: Transverse (T-type) fractures through both anterior and posterior columns; a portion of the acetabulum remains attached to the proximal ilium. Type C: Transverse (T-type) fractures through both anterior and posterior columns; no portion of the acetabulum remains attached to the axial skeleton.
188
List 3 Causes of Coccyx Fractures
Fall into sitting position Kicked in the behind area Birthing process
189
Treatments for Coccygeal Fractures?
- Limited activity - Stool softeners - Non-opioid analgesia - Hot baths - Rubber donut cushion for sitting - Sit in hard chair If pain persists >8wks - Local steroid injection - Coccygectomy
190
List 5 risk factors for developing DVT/PE in pelvic fractures
- Age >60yr - Any pelvic fracture - Complex acetabular fractures - Associated injuries - Time to surgery >2wk
191
List 5 causes of coccydynia, not including fractures?
- Trauma during childbirth - Sacrococcygeal neuropathy - Infections - Local tumors - Faulty posture - midline disk herniation - lumbar facet arthropathy - compression of the sacral roots - neuralgia from sacral plexopathy
192
List 4 Indications for AP Pelvic XRs in trauma
*Severe mechanisms of injury (MVC, ped vs vehicle, fall >10ft) - Symptomatic pain - Examination is compromised by dec LoC - Distracting injuries
193
Outline normal sizes of Pubic & SI joints in pelvis
Pubic symphysis = 5mm SI joints = 2-4mm
194
List 8 Factors Predicting the Need for a Blood Transfusion in Patients With a Pelvic Fracture
- Shock index ≥0.9 - Hypothermia - Inc Lactate - Tile B+C fractures - Open-book fractures - Displaced obturator ring fractures - Obvious vertical displacement of the posterior pelvis - Displacement ≥0.5 cm of any fracture site in the pelvic ring PLUS displaced symphysis pubis
195
List 5 Indications to XR the Elbow
- limited ROM - mod to severe pain - obvious deformity - joint effusion - significant tenderness or crepitus over any bony prominence or radial head
196
List 4 causes of elbow posterior fat pad sign
Adults - Radial head fracture Children - Supracondylar fracture Inflammation Infection
197
Most common complication of Humeral fractures?
Radial nerve injury - wrist drop - cannot extend fingers and thumb
198
List 9 risk factors for biceps tendon rupture
Men Ages 40-60 Smoking DM CKD SLE RA Steroid use Fluoroquinolone use
199
Outline Sensory and Motor testing for Radial, Median and Ulnar nerves
Radial - sensation dorsum of hand - motor wrist extension Median - sensation palmar D3 tip - motor A-OK sign Ulnar - sensation palmar aspect D5 - motor abduct fingers
200
Outline Mgmt of Humeral Shaft Fractures
Sugar Tong Splint and Sling OR Hanging Cast Check radial nerve Ortho should see within 48hrs
201
Which type of Supracondylar fractures are more common? Which nerve injury is common with each?
Extension type - AIN other is Flexion type - Ulnar
202
Name 2 XR aides for dx'ing possible supracondylar fractures
1. Anterior Humeral Line - lateral XR - line along anterior surface of humerus thru the elbow - should transect middle third of capitellum 2. Baumann's angle - AP XR - intersection of line down middle of humerus and second line thru growth plate of capitellum = 75deg - deviation >5-10deg ABNORMAL
203
Ossification Centres of the Peds Elbow and Age of Appearence?
CRITOE = Capitellum = 1 Radial head = 3 Internal (medial) epicondyle = 5 Trochlea = 7 Olecranon = 9 External (lateral) epicondyle = 11
204
Describe the Gartland Classification for Supracondylar fractures *and mgmt of each type
Type I: Minimal or no displacement *splint/cast for comfort Type II: Displacement of the fracture but with the posterior cortex intact --> IIA: No rotational component --> IIB: Some rotational component *reduction, casting, monitor for compartment syndrome *percutaneous pinning Type III: Displaced, no cortical contact, periosteal contact --> IIIA: No rotation of the fracture --> IIIB: Rotation present *sedation+reduction *posterior splint *percutaneous pinning Type IV: Complete disruption/displacement *operative mgmt
205
Which age group gets Transcondylar fractures, and which type is more common? *Mgmt options
Elderly with fragile, osteoporotic bones Extension type more common *Internal fixation, or elbow arthroplasty
206
Describe types of Intercondylar Fractures * Mgmt?
*Open reduction and rigid internal fixation Avoid manipulation unless NV compromise
207
What is the more common side fractured in condylar fractures? Involvement of what section of bone makes a condylar fracture unstable?
- Lateral condyle more common - Involvement of the trochlear ridge makes it unstable - Surgical fixation if displaced >3mm Lateral, or >2mm Medial (A) Normal anatomy. (B) Lateral trochlear ridge not in fracture fragment (stable). (C) Lateral trochlear ridge included with fracture fragment (unstable).
208
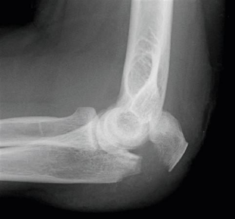
What is this fracture?
Fracture of Capitellum - usually from impact of the radial head from FOOSH
209
In Epicondylar fractures: - outline most common side - age group affected - nerve involvement *Mgmt?
Medial epicondyle fractures more common - often involves apophysis of flexor tendons Children & adolescents - "Little Leaguers elbow" turned into avulsion fracture Ulnar nerve injury *Displacement cut off 5mm, surgical if >5mm Posterior splint in flexion and pronation
210
Outline clinical features of Olecranon Fractures, including age group and nerve affected.
Usually adults Check ulnar nerve status Check displacement on XR with elbow at 90deg - If displacement >2mm, need surgery - Can have radial head dislocation as well (A) Olecranon fracture with displacement (B) Fracture accompanied by radial head dislocation
211
Describe Mason Classification of Radial Head Fractures
Usually FOOSH injury Look for fat pad on XR, may be only sign of fracture if also tender Type I: - nondisplaced fractures *sling Type II: - fractures involving less than 30% of the articular surface with more than 2 mm displacement - including impaction or angulation *immobilize short term and sling Type III: - comminuted fractures of the entire radial head *likely ORIF Type IV: - any of the previous types with elbow dislocation
212
Name 2 NV structures to worry about in elbow dislocations
Brachial artery Median nerve
213
Describe Nursemaids' Elbow & 2 reduction techniques
Subluxation of Radial Head = "Pulled Arm" Ages 1-4yr F > M, L > R NO XRs needed if simple and story fits Reduce by: - Hyperpronation reduction OR - Supination-Flexion reduction
214
List 4 sources of shoulder pain, extrinsic to the shoulder joint itself
C-spine d/o's Thoracic outlet issue Myocardial issues Diaphragmatic irritations
215
List 3 motor tests for the rotator cuff muscles
Supraspinatus - Empty Can Infraspinatus & Teres Minor - External Rotation Subscapularis - Internal Rotation
216
Outline the Sensory & Motor Components of the Nerve Roots in the Brachial Plexus
C2 to C4: - Sensory - Neck to Shoulder tip - Motor - Trapezius C5: - Sensory - Lateral upper arm - Motor - Elbox flexion C6: - Sensory - Lateral forearm & thumb - Motor - Wrist extension C7: - Sensory - Tip of D3 - Motor - Elbow extension C8: - Sensory - Medial forearm & tip D5 - Motor - Finger flexion T1: - Sensory - Medial upper arm - Motor - Finger abduct
217
What section of the clavicle is the most common area of fracture?
1) Middle 1/3 2) Lateral 1/3 3) Medial 1/3
218
Describe Neer classification for Clavicular fractures? *mostly distal #
Type I: - stable and minimally displaced because the coracoclavicular ligament remains intact Type II: - associated with a torn coracoclavicular ligament and likely displaced because the proximal fragment lacks any stabilizing forces Type III: - injuries involve the articular surface.
219
List 6 indications to seek emergent Ortho care for clavicular fractures
- Open fractures - NV injuries - Skin tenting - >2cm shortened (overlap) - Severely comminuted - Type II lateral fracture - Interposition of soft tissues
220
List 4 types of scapular fractures under Ada-Miller classification
I = Processes fractures (IA Acromion, IB Scapular Spine, IC Coracoid) II = Neck fractures III = Glenoid fractures IV = Body fractures
221
Describe the Neer Classification for Proximal Humeral Fractures
Based on relationship of fracture fragments, and how displaced they are 4 distinct segments - Articular surface - Greater tuberosity - Lesser tuberosity - Humeral shaft *Segment considered displaced if angled >45deg or separated by >1cm (1) Minimal displacement (2) Two-part displacement (3) Three-part displacement (4) Four-part displacement - when present, anterior and posterior dislocations included as part of classification
222
List 3 NV structures commonly affected in proximal humeral fractures
Axillary nerve Axillary artery Brachial plexus
223
List 3 complications of proximal shoulder fractures
Adhesive capsulitis AVN Myositis ossificans formation (bone grown in muscles)
224
Describe grading of Sternoclavicular joint dislocations
Grade 1: - Mild sprain of sternoclavicular & costoclavicular ligaments Grade II: - Subluxation of joint (anterior or posterior) 2/2 disruption of the sternoclavicular ligament and capsule Grade III: - Complete rupture of the sternoclavicular and costoclavicular ligaments results in a grade III injury = True Dislocation *<25 years old, these may represent SH1 injuries if the medial clavicle epiphysis is unfused
225
List 8 complications of posterior sternoclavicular joint dislocation
- Compression or Laceration of great vessels - Tracheal injury - Hoarseness - Dysphagia - Dysphonia - Tracheoesophageal fistula - Tracheal compression - PTX - Thoracic outlet syndrome - Brachial plexus injuries
226
Describe Rockwood 6-class grading system for AC ligamentous injuries
I - Sprain of AC ligament II - Subluxation - AC rupture - CC ligament sprain - <50% bone width displacement upward III - Dislocation - AC + CC ligaments ruptured - Detachment of deltoid + trap insertions IV - Posterior Dislocation - All ligaments ruptured V - Superior Dislocation - All ligaments ruptured - 100-300% increased coracoclavicular distance VI - Inferior Dislocation - All ligaments ruptured ## Footnote Type 3+ refer to Ortho
227
List 3 ways to describe Anterior GH dislocations
Traumatic or Nontraumatic Primary or Recurrent Subcoracoid or Subglenoid - (or Subclavicular or Intrathoracic)
228
List 3 complications associated with recurrent anterior GH dislocations
Large Hill-Sachs deformity Bony Bankart’s lesion Glenoid rim fracture
229
What is a Bankart lesion vs a bony Bankart lesion?
Bankart = injury of anteroinferior glenohumeral ligament with capsulolabral detachment Bony Bankart = same above but includes fracture of anteroinferior glenoid rim
230
What is a Hill-Sachs deformity?
Compression fracture of posterolateral aspect of humeral head caused by forceful impingement against the anterior rim of glenoid
231
Name and describe 7 techniques for reduction of anterior shoulder dislocations
1) Stimson (hanging weight): - Patient prone with dislocated shoulder hanging over edge of bed - Attach a 10-15 lb weight to the wrist or lower forearm providing traction in forward flexion. - Reduction usually occurs over 20–30 min 2) Traction/Countertraction: - Apply traction along abducted arm while assistant using folded sheet wrapped across the chest applies countertraction 3) External rotation: - Patient seated or in supine, involved arm is slowly and gently adducted to the side. - Elbow is flexed to 90 degrees, and slow, gentle external rotation is applied to achieve reduction 4) Cunningham: - Patient sitting, adduct the affected arm and place elbow in full flexion resting against operator’s shoulder - Operator provides traction by placing their wrist on patient’s forearm while patient shrugs shoulders superiorly and posteriorly. - Operator adds massage to trapezius, deltoid, and biceps 5) Milch: - Patient supine and HOB 20–30 degrees. - Affected arm is held by wrist and slowly abducted and externally rotated. The operator stops whenever resistance to motion is encountered and continues when the patient is relaxed. - If humerus has not reduced by 90 degrees of abduction and 90 degrees of external rotation, gentle longitudinal traction is applied along the humerus while free hand exerts lateral and superior pressure on humeral head 6) FARES: * Variation of Milch (FAst, REliable, and Safe) - Adds oscillation in a vertical direction while the affected arm is abducted. 7) Scapular manipulation: - Apply traction (manual or hanging weights), and manipulate scapula by rotating the inferior tip medially and stabilizing the superior and medial edges with the opposite hand - Patient in seated position and second operator applies traction in the forward horizontal position
232
3 locations for Posterior shoulder dislocations
Subacromial Subglenoid Subspinous
233
List 4 XR findings of Posterior shoulder dislocation
Lightbulb sign - internal rotation of humeral head Rim sign - inc space btwn anterior glenoid rim and articular surface of humeral head Reverse Hill Sachs - impaction fracture of anteromedial humeral head Trough sign - curvilinear density parallel to articular cortex of humeral head, after reverse Hill Sachs
234
Features of Inferior shoulder dislocation (Luxatio Erecta), and how to reduce it
- Superior aspect of humeral head is forced below inferior rim of glenoid - arm locked overhead in 110-160 degrees of abduction, elbow flexed, and forearm rests on top of head - Neurapraxia of brachial plexus common - Thrombosis of axillary artery a risk - on XR, humeral shaft is parallel to scapular spine - reduce with traction, countertraction
235
What XR finding is pathognomonic for Scapulothoracic Dissociation?
* >1 cm of lateral displacement of scapula on AP CXR is pathognomonic - Massive local soft tissue swelling of the shoulder, clavicle distraction. - Vascular injuries to subclavian, axillary, brachial vessels. - Severe neurologic injuries, brachial plexus
236
Two physical exam findings associated with proximal bicep tendon rupture
Popeye sign Ludington sign
237
3 stages of calcific tendinitis?
Silent Subacute - Enlargement and softening of the deposit lead to narrowing of the subacromial space, resulting in impingement under the acromial arch Acute - severe inflammatory reaction within and around the deposit
238
Lit 4 risk factors for Adhesive Capsulitis?
Female Age 40-60 Thyroid disease DM
239
Manuveurs to test the motor function of the hand?
A-OK - median Extend thumb (or wrist) - radial Abduct fingers - ulnar
240
Areas to test sensation on the hand?
Dorsum, D1 webspace = radial D3 = median D5 = ulnar
241
Most common extensor tendon injury of the hand?
Rupture of terminal tendon on DIP = Mallet injury
242
4 Classic Kanavel findings for flexor tenosynovitis?
1) Fusiform swelling of digit 2) Tenderness along tendon sheath 3) Digits held in flexion at rest 4) Pain with passive extension of the digit
242
Tx for a stable finger tuft with a subungual hematoma without external disruption of the nail plate?
Trephination without antibiotics
243
Intrinsic Hand Muscles (9)
Thenars: (median nerve) - Abductor Pollicis Brevis - Flexor Pollicis Brevis - Opponens Pollicis Hypothenars: (ulnar) - Opponens Digiti Minimi - Flexor Digiti Minimi - Abductor Digiti Minimi - Adductor Pollicis (ulnar) - Lumbricals (ulnar + median) - Interossei (ulner)
244
9 EXTENSOR Extrinsic Hand Muscles
Extensors: (radial) APL, EPB / EPL / ECRL, ECRB / EI, EDC / EDM / ECU - Abductor Pollicis Longus - Extensor Pollicis Brevis (PIN) - Extensor Pollicis Longus - Extensor Carpi Radialis Longus - Extensor Carpi Radialis Brevis - Extensor Indicis - Extensor Digitorum Communis - Extensor Digiti Minimi - Extensor Carpi Ulnaris
245
Muscles that border the anatomical snuffbox?
APL, EPB, EPL - Abductor Pollicis Longus - Extensor Pollicis Brevis - Extensor Pollicis Longus
246
What causes a Boutonniere deformity?
Volar displacement of the lateral bands of the digit. - Abnormal PIP flexion while DIP extended 3 bands = 1 central slip + 2 lateral bands - CS inserts at base of middle phalanx - Lats insert at base of distal phalanx - Covered/held together by the transverse retinacular ligament
247
6 FLEXOR Extrinsic Hand Muscles
FCR, FCU, PL, FDP, FDS, FPL Wrist Flexors: - Flexor Carpi Radialis (median) - Flexor Carpi Ulnaris (ulnar) - Palmaris Longus (median) Digit Flexors: (median) - Flexor Digitorum Profundus (median + ulnar) - Flexor Digitorum Superficialis - Flexor Pollicis Longus
248
2 most important pulleys in the flexor part of the digits?
A2 and A4 Prevent bowstringing
249
What is the test to evaluate arterial flow to the hand?
Allen test (A) Both arteries are compressed with the patient’s hand in a fist. (B) Pressure over the ulnar artery is released while compression on the radial artery is maintained. (C) Capillary perfusion is assessed and then the test is repeated by reversing which vessel is compressed.
250
Describe areas of sensory distribution of the hand?
251
Describe Neutral position for hand splinting
= Intrinsic Plus Position - Volar splint - Wrist extension 30 deg - MCP flexion 90 deg - PIP + DIP extension
252
Indications for Hand Specialist consultation in the ED?
- Open fractures - Partial amputations - Complete amputations - Displaced intra-articular fractures - Fractures that do not maintain reduction
253
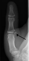
Describe 2 types of injuries at the base of distal phalanges
Mallet Finger - dorsal injury - inability to extend at DIP - extensor tendon involved, may have avulsion # Jersey Finger - volar injury - inability to flex at DIP - flexor digitorum profundus tendon involved, may have avulsion #
254
Describe this fracture?
SEYMOUR - transverse fracture of distal phalanx at the physis in Peds = SH1 or SH2 - typically crush injury in a door, etc. - may have associated nail bed injury (avulsion of nail at germinal matrix) = OPEN # - Keflex 50mg/kg/day divided into QID x 7-10 days
255
Mgmt of tuft fractures
Analgesia Splinting 2-4weeks, allow movement at DIP PPx ABX for nail bed/soft tissue injuries - Hand specialist referral for irreducible fracture or if "open"
256
Mgmt of transverse fractures of distal phalanx
- Protective splinting 2 weeks - Hand specialist referral if unstable reduction
257
Mgmt of longitudinal fractures of distal phalanx
- Splinting from distal to middle phalanx, 3-4 weeks - keep PIP mobile - passive ROM exercises after immobilization until pain free
258
Mgmt of Mallet finger injuries
- strict 6 week DIP immobilized splinting - neutral or hyperextension
259
Describe Metacarpal Fracture Allowable Angulation * How much shortening is acceptable?
* <5mm shortening >5mm may result in extensor lag
260
Describe this fracture?
REVERSE BENNETT - fracture-dislocation of 5th metacarpal base - Unstable due to pull of extensor carpi ulnaris tendon
261
Mgmt of non-displaced or minimally angulated metacarpal fractures?
Intrinsic-plus / Neutral volar splinting 3-4 weeks F/u Hand specialist in 1 week
262
Describe the reduction technique for Metacarpal fractures
Jahss maneuver - MCP + PIP joints flexed to 90 deg - apply upper/dorsal pressure thru proximal phalanx and downward volar pressure over metacarpal
263
Describe this XR
Lateral XR of PIP joint V sign = dorsal widening of joint where there is minimal subluxation Fracture at volar plate/base of mid phalanx + dorsal subluxation of PIP joint
264
Label/describe extensor tendon injury zones of the hand, including the thumb
265
What initial injury can cause a Swan Neck deformity?
Unrepaired mallet finger, where there is dorsal subluxation of the lateral bands at the PIP Hyperextension at PIP Flexion at DIP
266
Describe the Elson Test for Central Slip integrity
PIP held in maximal flexion Pt tries to extend PIP - if central slip intact, NO ext @ DIP - if central slip ruptured, YES ext @ DIP
267
What are the 3 types of extensor tendon injury in Zone V of the hand?
Over dorsal MCPs, injury to sagittal band Type I = no tendon instability Type II = tendon subluxation or snapping Type III = complete tendon disruption *snapping relocation of the extensor mechanism with active extension
268
3 main types of FDP avulsion injuries
Type I = completely avulsed tendon migrating proximally through the flexor sheath into the palm - risk for compromised vascular supply to tendon, surgery ASAP 7-10 days Type II = complete avulsion with proximal retraction to the level of the PIP joint. - risk for compromised vascular supply to tendon, surgery ASAP 7-10 days Type III = avulsed tendon retracts only to the level of the A4 pulley - less concern for vascular compromise, though surgery still recommended within 7-10 days.
269
Label/describe flexor tendon injury zones
270
5 Indications for ED consult with Hand Specialist when flexor tendon injury involved
- Associated open fractures or dislocations - Grossly contaminated wounds - Bites - Arterial injury - Wound overlying the tendon cannot be closed in ED
271
Risk factors for Trigger finger?
Overuse/Repetitive forceful flexion Inflammatory joint disease DM Hypothyroidism
272
Mgmt of trigger fingers?
- NSAIDs - MCP blocking splint @ slight flexion for 6-10 weeks - corticosteroid injection (higher risk recurrence) - surgical release of A1 pulley
273
Mgmt of subungual hematoma?
If hematoma covers >50% nail bed = Trephinate with sterile 18g needle
274
Describe the zones for fingertip amputations
Zone I = distal to bony distal phalanx - heal by secondary intention Zone II = area between the distal phalanx and lunula - may need rev amp to cover with skin Zone III = proximal to the lunula - amp of distal phalanx to DIP I + II usually keep full fnc. III usually needs amp to DIP.
275
Indications for digit reimplantation
- amputation of thumb - multiple adjacent digits - pediatric patients - clean + sharp amputations
276
Relative contraindications to digit reimplantation
- severely crushed wounds - severely contaminated wounds - pt with significant co-morbidities - multi-level amputations of same digit
277
Describe Urbaniak Classification for Ring Avulsion Injuries
* Traumatic removal of a ring from a digit, that pulls off tissue Class I: Circulation adequate Class II: Circulation inadequate Class III: Complete degloving injury or complete amputation
278
Causes of onycholysis?
* Separation of nail from nail plate at distal end Trauma Fungal infxn Thyroid disease Psoriasis Chemotherapy
279
Mgmt of high-pressure injuries to hand?
- Ancef or CTX - analgesia - surgical debridement
280
Describe Dupuytren Contractures
Fibrosis of palmar fascia - tightening of fascia creating a cord that limits motion of specific finger or area of palm - PAINLESS Refer to hand specialist for: - percutaneous needle aponeurotomy - collagenase injections - open surgery
281
Risk factors for Dupuytren Contracture
Age >40 yrs Male Northern European Alcohol use Smoking Liver disease Thyroid disease DM Repetitive movements
282
How to best see hamate and pisiform fractures on XR?
Carpal tunnel view
283
Name the 8 carpal bones
Radial --> Ulnar Proximal 4: Scaphoid Lunate Triquetrum Pisiform Distal 4: Trapezium Trapezoid Capitate Hamate
284
Name the 2 most important intrinsic carpal ligaments for maintaining carpal stability?
Scapholunate Lunotriquetrial
285
Name the 3 articular surfaces between radius at the wrist?
Radiocarpal joint DRUJ interface with TFCC - triangular fibrocartilage complex = Articular disk
286
3 carpal bones at risk of AVN?
Scaphoid Lunate Capitate
287
List borders of the carpal tunnel
Carpal arch: Scaphoid Trapezium Pisiform Hamate & Flexor retinaculum
288
List contents of the carpal tunnel
Median nerve Flexor Pollicis Longus x1 Flexor Digitorum Profundus x4 Flexor Digitorum Superficialis x4
289
What is hypothenar hammer syndrome?
Single or repetitive blunt impact on hypothenar eminence with injury to hook of hamate (FRACTURE) resulting in thrombosis of superficial palmar arch of ulnar artery
290
What is Kienbock disease?
AVN of lunate
291
What are 3 measurements in normal XRs of the wrist?
1) Radial styloid extends 9-12mm beyond articular surface of ulna (AP view) 2) Ulnar slant of distal radius is 15-25 degrees (AP view) 3) Normal volar tilt of 10-25 degrees (Lat view) 4) Intra-articular step-off >1mm
292
What is the importance of Gilula's arcs?
3 arcuate lines that are drawn along articular surfaces of carpal bones - widening, step-off, or changes suggest pathology
293
What are 3 additional XR views for carpal bone fractures/pathology?
Clenched fist Scaphoid Carpal tunnel
294
3 areas of scaphoid fracture?
Tuberosity + Distal pole Waist (most common) Proximal pole
295
2 types of triquetrum fractures?
Triquetral body Dorsal cortical chip
296
2 types of trapezium fractures?
Body Trapezial ridge
297
List complications of carpal bone dislocations
Median nerve injury Chronic carpal instability Degenerative arthritis
298
Describe Mayfield Classification for Lunate dislocations
Stage I = Scapholunate dissociation - Terry Thomas sign - widening of scapholunate joint on PA XR >3mm Stage II = Perilunate dislocation - capitate dorsally dislocated - abnormal carpal arcs on PA XR - lunate remains articulated with radius Stage III = Midcarpal dislocation - capitate +triquetrum dislocation Stage IV = Lunate dislocation - Piece of Pie sign (PA XR) - Spilled Tea Cup sign (Lat) - volar rotation of lunate - lunate not on top of radius
299
3 types of radial fracture with DRUJ injury, varied by location on radial bone?
Distal - Colles Diaphysis - Galeazzi Head - Essex-Lopresti
300
2 special tests that examine for DRUJ injury?
Piano key test (+) = ulnar head springs back like piano key after being depressed volarly and released Ballottement test (+) = radius is grasped firmly by examiner while ulna is fixed between examiner’s other thumb and index finger. Pressure is applied to ulna in dorsal and volar directions. Increased displacement relative to contralateral wrist suggests instability
301
List features of carpal tunnel syndrome
- Females - Chronic - Progressive - Repetitive overuse - Gradual onset of numbness, paresthesia, and pain in median nerve distribution (D1-3 + D4 radial aspect) - Bilateral often - Worse at night & after activity
302
List progressive complications of carpal tunnel syndrome
- decreased grip strength - hand clumsiness - thenar atrophy - trophic ulceration of the fingertips
303
List systemic co-morbid associations of carpal tunnel syndrome?
- RA - hypothyroidism - DM - renal failure - CHF - acromegaly - collagen vascular diseases - pregnancy - menopause
304
Special tests for dx'ing carpal tunnel syndrome?
Phalen = flex wrists for 1 min Weakness with thumb abduction Tinel sign = pain/paresthesias with light tapping over tunnel Durkan test = apply pressure over tunnel * highest sens & spec
304
List DDX of carpal tunnel syndrome?
- C6 or C7 radiculopathy - Raynaud syndrome - median nerve compression at pronator teres - brachial plexopathy
305
List additional investigations to dx carpal tunnel?
* primarily clinical dx - Nerve conduction study - MRI - U/S
306
List 5 factors that lessen the likelihood of successful nonoperative treatment for carpal tunnel?
(1) age >50 years, 2) symptom duration >10 months (3) constant paresthesias (4) stenosing flexor tenosynovitis (5) positive Phalen test at <30s
307
Non-op tx for carpal tunnel?
Splinting (all day or just night) Steroid injection NSAIDs
308
Causes of ACUTE carpal tunnel syndrome?
- distal radius fractures - lunate & perilunate dislocations - EPL tendon rupture - fracture-dislocations - hemorrhagic conditions - bleeding d/o - OAC use - infections - vascular disorders - any edema @ wrist
309
2 U/S findings of de Quervain disease?
1) fluid in the first dorsal extensor tendon compartment tendon sheath 2) thickening of the APL and EPB tendons
310
Non-op tx of de Quervains?
Thumb spica NSAIDs Steroid injections
311
Describe Intersection Syndrome?
= Oarsman Syndrome (or Crossover) - overuse tendinopathy 2/2 rowing orweightlifting - 4-8cm proximal to de Quervain's pain at radial aspect of wrist - Inflammation where muscle bellies of APL + EPB crossover bellies of ECRL + ECRB
312
List 10 causes of reactive arthritis
- post-Streptococcal infection - Chlamydia - Salmonella - Shigella - B. burgdorferi (Lyme disease) - Yersinia - Rubella virus - HBV - Adenoviruses - Parvovirus - EBV
313
Outline 3 compartments of the forearm, & their contents
Volar (Superficial & Deep) - Flexors of hand & wrist (PL, FDS, FCR, FPL, FDP, FCU) - Ulnar nerve - Ulnar artery - Median nerve - Radial artery - Radial nerve - AIA & AIN Dorsal - Finger extensors (EDM, ECU, EPL, EDC) - Long thumb adductor (APL) - PIA & PIN Mobile wad of Henry - ECRB & ECRL - Brachioradialis
314
List 4 common complications of combined radial & ulnar fractures
Nonunion Malunion Infection Neurovascular injury
315
List 4 features that make ulnar shaft fractures unstable
>50% displacement >8deg angulation Involvement of prox 1/3 of ulna Instability @ DRUJ or PRUJ
316
List 4 XR findings in Galeazzi fractures that reveal DRUJ injury
AP VIEW: Widened space btwn distal radius & ulna >2mm Radius appears relatively shortened LATERAL VIEW: Dorsal displacement of ulnar head Ulnar styloid fractured at its base
317
List 2 XR findings (or clues) for Essex-Lopresti fractures, other than radial head fracture
Positive ulnar variance Widened DRUJ - may need 'grip view'
318
Outline goal timeline to reduce a dislocated hip
Within 6hr - Increased risk of AVN as time goes on
319
Name gold standard imaging for hip fracture, when not visible on XR
MRI - although not practical in ED
320
Outline age and sex predominance for femoral neck & intertrochanteric fractures
Women Postmenopausal over 50yrs
321
Outline Structures Within 3 Compartments of the Thigh
ANTERIOR 5 Muscles: - Quadriceps femoris - Sartorius - Iliacus - Psoas - Pectineus Nerve: - Lateral femoral cutaneous Vessel: - Femoral artery & vein MEDIAL 3 Muscles: - Gracilis - Adductor longus - Obturator externus Nerve: - Obturator Vessels: - Profundus femoris artery - Obturator artery & vein POSTERIOR 4 Muscles: - Biceps femoris - Semitendinosus - Semimembranosus - Adductor magnus Nerves: - Sciatic - Posterior femoral cutaneous Vessels: - Profundus femoris artery branches
322
Name disease that is leading cause of hip fracture
Osteoporosis
323
List 5 risk factors/associations with osteoporosis
- Hormonal changes related to aging - Genetic predisposition - Vitamin D deficiency - Lack of physical activity - Smoking
324
List 6 atraumatic & 3 traumatic causes of AVN of femoral head
ATRAUMATIC Chronic Corticosteroid Chronic Alcoholism Sickle cell disease Dysbarism Chronic pancreatitis HIV MEDS TRAUMATIC Post-hip dislocation Post-femoral neck fracture Athlete w/ energy deficit or overtraining
325
Diagnosis?
AVN Lt femoral head
326
Diagnosis?
Myositis Ossificans of the Proximal End of the Femur 2/2 direct blow to muscle or repeated minor trauma Persons w/ Hemophilia at risk
327
Diagnosis?
Calcific Trochanteric Bursitis
328
List 5 cancers with common mets to bone
Breast Lung Thyroid Kidney Prostate
329
List 6 atypical non-orthopedic causes of hip pain in adults
Nephrolithiasis PID Osteomyelitis Malignancies Inguinal & Femoral hernias LNA
330
List 3 physical exam findings of displaced Femoral Neck Fracture
External rotation Abduction Shortening
331
List nerves at risk of injury in anterior vs posterior hip dislocation
Anterior = Femoral nerve Posterior = Sciatic nerve
332
List 10 DDx of a Painful Hip W/out Obvious Fracture
Referred pain (lumbar spine, hip, or knee) AVN of femoral head Degenerative joint disease or OA Lumbar disk herniation Diskitis Transient synovitis of hip Septic arthritis Bursitis Tendonitis Ligamentous injuries of knee or hip Occult fracture SCFE Perthes’ disease Tumour (Lymphoma) DVT Arterial insufficiency Osteomyelitis Iliopsoas abscess Retroperitoneal hematoma Inguinal hernia Inguinal LNA Genitourinary complaints Sports-related hernia
333
List 3 general causes of pathologic femur fractures
Metastatic Metabolic Endocrine dzs
334
List 3 methods for identifying subtle femoral head/neck fractures
Shenton lines Normal & Reverse S curves Tracing of trabecular lines
335
List 5 contraindications to traction splints for hip fractures
Suspected pelvic fracture Patellar fracture Ligamentous knee injury Tibia or Fibula fracture Open fractures w/ exposed bone
336
Outline Classification of Open Fractures
TYPE I - <1cm - Minimal soft tissue damage - Mechanism = Bone edge pierces outward TYPE II - 1-10cm - Moderate soft tissue damage, w/out nerve, arterial, or periosteal stripping TYPE III - >10cm - Extensive muscle devitalization - Nerve & Arterial involvement - Mechanism = High-energy & velocity GSWs
337
List 2 nerve blocks for fractured hip pain relief
Femoral Nerve Block Fascia Iliacus Block
338
Outline displacement cutoff for conservative vs operative mgmt of an avulsion fracture
2cm
339
Outline diagnoses seen in A vs B
A = Avulsion fracture of Lt ASIS by Sartorius B = Avulsion fracture of Rt AIIS by Restuc Femoris
340
List 6 risk factors for increased mortality after femoral neck fracture
Older age Male sex Psychiatric illness ESRD CHF Institutionalized pts
341
List 2 major complications of femoral neck fractures
AVN Non-union ------------ PE Osteomyelitis Septic arthritis
342
Outline classification of Intertrochanteric Fractures
Number of Parts 2 = fem head + shaft 3 = GT or LT also #d 4 = both trochanters #d
343
Diagnosis?
Lt Greater Trochanter fracture - displaced superior & posterior
344
List 1 complication of subtrochanteric femoral fractures
Fat embolism
345
List 6 common concomitant injuries in patients with femoral shaft fractures
- Ligamentous knee damage - Hip fracture - Fracture-dislocations - Femoral neck fracture - Supracondylar femoral fracture - Patellar fracture
346
Diagnosis?
Lt Anterior (Obturator) Hip Dislocation
347
List 4 risk factors for AVN in hip dislocations
Total dislocation time Severity of the injury Number of reduction attempts Presence of comorbidities
348
List 3 classic physical exam findings of posterior hip dislocation
Hip flexed Adducted Internally rotated
349
List MOST sensitive clinical sign of peroneal nerve palsy, plus 2 other signs
Weakness of extensor hallucis longus = great toe extension AND Weakness of ankle dorsiflexion Numbness over foot dorsum
350
List 3 XR findings to differentiate posterior vs anterior hip dislocations
1) Appearance of lesser troch - hidden in posterior - visible in anterior 2) Size of femoral head - smaller in posterior - larger in anterior 3) Shenton line - smooth, curved line drawn along Superior border of Obturator Foramen & Medial aspect of Femoral Metaphysis - would be abnormal in either dislocation
351
List 4 complications of prolonged hip dislocations
AVN femoral head Traumatic arthritis Permanent sciatic nerve palsy Joint instability
352
List 2 relative contraindications to closed reduction of a dislocated hip
Femoral neck fracture Distal fractures in dislocated extremity
353
Diagnosis?
Lt posterior hip dislocation
354
Outline 5 reduction techniques for hip dislocations
Allis (posterior & obturator) - pt supine, pelvis stabilized by assistant - w/ knee flexed, apply steady traction - bring hip to 90deg flexion w/ traction and gentle rotation - once reduced, bring hip to extended position Stimson (posterior) - pt prone, leg hanging over bed - hip & knee flexed 90deg - assistant stabilizes pelvis - apply downward traction in line w/ femur, gently rotate fem head - when reduced, bring hip to extension Captain Morgan (posterior) - pt supine, stabilize pelvis - provider puts foot up on bed, pt's pop fossa over provider knee - provider lifts their leg, gentle downward on pt ankle, and gentle rotate leg Whistler (posterior) - pt supine, stabilize pelvis - pt contra leg flexed hip & knee, foot on bed - provider arm under ipsilat knee, hand on contra knee, other hand on ipsilat ankle - provider stands up with arm strong, puts traction on femur, gentle rotation of hip Traction-Countertraction (anterior pubic) - pt supine - longitudinal leg traction - hyperextend and IR, assistant downward pressure on fem head
355
List clinical features of femoral nerve injury
Sensation deficit superior and medial to patella (anterior thigh) Weakness of knee extension Decreased or Absent DTR of knee
356
List clinical features of sciatic nerve injury
Sensory loss posterior thigh & below knee Weakness of hamstrings & all muscles below knee - Extensor hallicus longus weakness Decreased or Absent DTR of ankle
357
List 4 types of hip dislocation
Posterior Anterior - pubic - obturator Central - thru acetabulum Inferior - Luxatio erecta femoris
358
Outline Ottawa Knee Rule
ONLY injuries w/in last 7d XR w/ ANY one of: 1. Age > 55 yrs 2. Inability to walk at least 4 steps at time of injury AND in ED 3. Inability to flex knee to 90deg 4. Isolated patellar tenderness 5. Tenderness over fibular head
359
List 6 hard & 4 soft signs of popliteal vascular injury
HARD - Angio or OR exploration if any (+): - Absent pedal pulses - Cool mottled foot - Expanding popliteal hematoma - Palpable thrill - Pulsatile hemorrhage - Classic 5 Ps (pain, pallor, paresthesia, poikliothermia, paralysis SOFT - CTA of Duplex US if any (+): - Decreased pulse relative to uninjured side - Significant hemorrhage at time of injury - Nonexpanding hematoma - Foot or leg paresthesias
360
Outline test criteria that effectively excludes significant popliteal artery injury
ABI >0.9 over 24h period - check q3-4h after knee dislocation
361
Name most commonly injured major ligament of the knee
ACL
362
Outline function of 4 main knee ligaments
ACL - Prevents anterior displacement of tibia in relation to femur PCL - Prevents posterior displacement of tibia in relation to femur MCL - Prevents valgus deviation LCL - Prevents varus deviation
363
Name the most accurate test for ACL injuries, w/ high sensitivity & specificity
Lachman test
364
List 2 special tests for PCL integrity
Posterior drawer test Posterior sag sign
365
List 2 special tests for meniscal tears
McMurray Test Apley Test
366
List 5 types of knee dislocation
anterior - hyperextension posterior - dashboard injury medial lateral rotary
367
List 5 delayed complications associated w/ traumatic knee dislocations
DVT Compartment syndrome Pseudoaneurysm Arterial thrombosis Heterotopic ossification
368
Outline most common mechanism of injury in tibial plateau fractures
Strong valgus force with axial loading - fall from height - MVCs
369
Diagnosis?
Segond Fracture Bone avulsion of lateral tibial plateau - Site of attachment of LCL - usually accompanied by ACL disruption
370
What ligamentous injuries are common with tibial plateau fractures in general?
ACL and MCL
371
What ligamentous injury is common with Tibial Spine/Intercondylar Eminence fracture?
ACL
372
List 7 risk factors for Quadriceps and Patellar Tendon Ruptures
RA Gout SLE Hyperparathyroidism Iatrogenic immunosuppression in organ transplant pts Chronic steroid use Fluoroquinolone use
373
List 4 clinical features of Quadriceps & Patellar Tendon Ruptures
1) Acute onset of pain, ecchymoses over anterior aspect of knee & a palpable defect in patella bone, or quadriceps/patella tendon 2) Loss or limitation of active leg extension w/ extension lag during last 10deg of maneuver 3) High-riding patella (patella alta) w/ patellar tendon rupture & superior retraction 4) Low-riding patella (patella baja) w/ quadriceps tendon rupture & inferior retraction
374
Outline Insall-Salvati ratio
Lateral knee XR w/ flexed knee 30deg. = Patellar tendon length / Patellar length - Normal 0.8 - 1.2 - Patella Baja < 0.8 - Patella Alta >1.2
375
Describe reduction of dislocated patella
Knee passively extended while inferomedially directed pressure is applied to patella
376
List MSK Overuse Syndromes
Patello-femoral pain syndrome Iliotibial band syndrome Peripatellar Tendinitis Plica syndrome (redundant folds of synovium) Popliteus tendinitis Bursitis
377
List 7 risk factors for Patellofemoral Pain Syndrome
Gluteal weakness Quadriceps weakness Patellar subluxation Prepatellar bursitis Arthritis Meniscal tears Quadriceps/Patellar tendinopathy
378
Outline lab values of synovial aspirate that suggests bacterial septic arthritis in adults
WBC >50k Neutrophils 90%
379
Outline 4 compartments of the lower leg and their contents
ANTERIOR Muscles: - tibialis anterior - long toe extensors Vessels: - anterior tibial artery Nerve: - deep peroneal nerve = sensation to first web space of foot LATERAL Muscles: - peroneus longus - peroneus brevis Nerve: - superficial peroneal nerve = sensation to dorsum of foot SUPERFICIAL POSTERIOR Muscles: - gastrocnemius - plantaris - soleus Nerve: - sural nerve = sensation lateral side of foot & distal calf DEEP POSTERIOR Muscle: - tibialis posterior - long toe flexors Vessels: - posterior tibial artery - peroneal artery Nerve: - tibial nerve = sensation to plantar aspect of foot
380
Outline Ogden Classification of Tibial Tuberosity Fractures
Type 1: secondary ossification centre fracture (near patellar tendon insertion) Type 2: fracture extends btwn primary & secondary ossification centres Type 3: fracture extends to primary center of ossification Type 4: entire proximal tibial physis fractured Type 5: sleeve avulsion fracture from secondary ossification centre PLUS: Type A: non-displaced Type B: displaced
381
List 6 complications of tibial shaft fractures
Compartment syndrome (highest risk 24-48 hrs) Infection - shallow easily exposed bone Nerve injury - “foot off the brake, to the right, and on the gas” DVT Pseudoaneurysm Fat embolism Delayed healing - average union 20-30 weeks Malrotation CRPS
382
List 3 DDx for presumed Ankle Sprains
Talar dome osteochondral lesions Nondisplaced fracture of lateral posterior process of Talus Fracture of anterior process of calcaneus
383
List 8 DDx for Presumed Ankle Fracture/Dislocation
Ankle sprain Achilles tendon rupture Syndesmosis injury ± proximal tibial fracture Retinaculum rupture Tendon dislocation Monoarthropathies Charcot joint Foot fracture Pathologic fracture
384
Outline Ottawa Ankle & Foot Rules
ANKLE XR if malleolar region pain & 1+ of: - Tender at posterior distal 6cm or tip of lateral malleolus - Tender at posterior distal 6cm or tip of medial malleolus - Inability to WB at least 4 steps immediately after injury AND in ED FOOT XR if midfoot pain & 1+ of: - Tender at navicular - Tender at base of fifth metatarsal - Inability to WB at least 4 steps immediately after injury AND in ED
385
Outline Weber classification for distal fibular fractures
A = below tibiotalar joint - WBAT w/ brace or boot & Ortho f/u B = at level of tibiotalar joint - NWB, Ortho in ED C = above tibiotalar joint - NWB, Ortho in ED
386
List 7 DDx for Presumed Ankle Sprain or Ankle/Foot Tendon Injuries
Lateral collateral ligament sprain Peroneal tendon dislocation Osteochondral lesion of the talar dome Fracture of the posterior process of the talus Fracture of the lateral process of the talus Fracture of the anterior process of the calcaneus Midtarsal joint injury Fracture of the base of the fifth metatarsal Achilles tendon injury
387
List 5 XR Findings Consistent with Lisfranc Injuries
AP VIEW: Fleck sign—bony fragment between medial cuneiform and second metatarsal Lateral displacement of second metatarsal with respect to middle cuneiform >2 mm widening between medial cuneiform and second metatarsal >1 mm widening between first and second metatarsals or medial and middle cuneiforms and metatarsals LATERAL VIEW: Dorsal subluxation of the metatarsals at the tarsometatarsal joint Talometatarsal angle >15° Reduced plantar distance between medial cuneiform and fifth metatarsal
388
List 6 structures of the talar ring
Tibial plafond Medial malleolus Deltoid ligaments Calcaneus Lateral collateral ligaments Syndesmotic ligaments
389
List 6 ankle fractures that require Ortho consult in the ED
All open fractures Pilon fractures Bimalleolar fractures Trimalleolar fractures Tillaux fractures in children Displaced medial malleolar fractures Displaced lateral malleolar fractures
390
List 8 risk factors for Achilles tendon rupture
SLE RA DM CKD Hyperparathyroidism Gout Fluoroquinolones Steroid INJECTIONS