Most ear disease observed in practice involves dermatopathology of the
Most ear disease observed in practice involves dermatopathology of the external ear

Dog with otitis externa
Otitis Externa
Very prevalent
Secondary bacterial/fungal
Dog with otitis externa
infections
– Staphylococcus, Pseudomonas, Proteus, Malassezia pachydermatis
• Underlying factors
– Allergic skin disease (atopy, food allergy)
– Ectoparasitism
– Foreign bodies
– Conformation – pendulous ears, stenotic acoustical meatus, hair
– Moisture – tropical climate, swimmers • Consequences
– Fibrosis
– Adnexal atrophy and hyperkeratosis
– Osseous metaplasia of cartilage stenosis of acoustical meastus
– = Constant ear infections
– Middle/inner ear infection

Suppurative otitis media in a calf
Otitis media
• Portals of pathogen entry
– Extension through perforation of the
tympanic membrane
– Ascension of the auditory tube
• Almost always bacterial
– Pasteurella multocida, Mycoplasma spp.
• Underlying factors
– Functionality of auditory tubes – Immunocompetency
• Consequences
– Inflammation (myringitis) or perforation
Suppurative otitis media in a calf
of tympanic membrane
– Erosion of auditory ossicles
– Horner’s syndrome
– Osteosclerosis of the tympanic bulla
– Formation of inflammatory polyps
– Progression to otitis interna
Otitis interna (Labyrinthitis)
• Portals of pathogen entry – Extension from otitis media +/‐
osteomyelitis of petrous temporal bone • Consequences
– Extension through internal acoustic meatus along CNVIIImeningitis
– Vestibular disease – head tilt, nystagmus, ataxia, circling, facial paralysis
– Sensory hair cell loss – permanent hearing impairment (also can be caused by noise, chemical ototoxins, or age‐ related)

Aural Plaques
Hyperkeratotic plaques of concave external ear of horses
Thought to be caused by papilloma virus spread by fly bites
Spontaneously resolve

Auricular hematoma

Cat with aural SCC
What neoplasias are only seen in the ear.
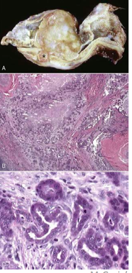
Ceruminous adenoma/ carcinoma
Inflammatory polyps

Ceruminous neoplasia

Ceruminous neoplasia
Ceruminous neoplasia

Inflammatory polyps
Inflammatory polyps