
Metastatic carcinoma.

Atrophy of right liver lobe due to colonic impaction. AVC

Fibrosis due to parasitic migration

“White-spotted” liver in a pig: due to parasitic migration

End stage liver in a dog. From: Mc Gavin and Zachary
In cases of chronic injury, regeneration can result in hepatocellular nodular proliferation, fibrosis and impaired blood and bile flow. This condition is commonly known as cirrhosis.

Capsular hepatic fibrosis. Equine liver.

Capsular fibrosis/perihepatitis filamentosa and atrophy of right liver lobe in a horse with colonic impaction.

Incidental lesions: tension lipidosis
Focal areas of pale discoloration
Adjacent to mesenteric attachment
Seen occasionally in cattle and horses

Liver Autolysis

Bile Inhition

Multifocal liver necrosis
Size: <1mm to1cm.
Etiology: Infections= bacterial, viral, parasitic.

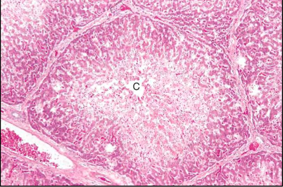
Centrilobular or Zone 3/ periacinar or Centrilobullar necrosis is commonly due to hypoxia. Pig liver. C = central vein

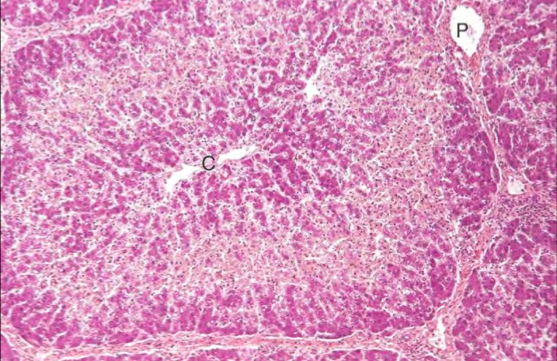
Midzonal necrosis. Pig liver. C = central vein, P = portal area. This pattern of degeneration and necrosis is rarely seen.

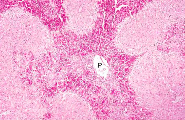
Zone 1, Periportal necrosis. Horse liver P = portal area. Etiology is often toxic

Patterns of hepatocellular degeneration and necrosis
Massive hepatic necrosis
Involves entire lobule or contiguous lobules
Although this type of necrosis is commonly severe, the name massive indicates involvement of the whole lobule.

One of the most common causes of massive hepatic necrosis is the condition known as hepatosis dietetica of swine.
Hepatosis dietetica has been associated with generation of free radicals and deficiency of Vitamin E/Selenium.

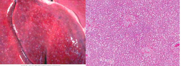
MASSIVE HEPATIC NECROSIS IN HEPATOSIS DIETETICA OF SWINE. CUT SURFACE

Congenital cysts

CONGENITAL POLYCYSTIC LIVER DISEASE
Multiple cysts are located in the liver and kidney
Cair terriers, West Highland white terries, and Persian cats are predisposed to the disease. Also described in other species
May result in mortality due to liver or renal failure

Moose liver with a parasitic cyst

Dog liver with congenital liver cysts

Hepatic chronic passive congestion

Chronic passive congestion
“Nutmeg appearance”
Reticulated pattern due to zonal congestion

Hepatic vein thrombosis: also known as Budd-chiari syndrome is characterized by hepatomegaly, ascites, and abdominal pain. It is caused by thrombosis of the hepatic vein and the adjacent inferior vena cava.
Probable causes include conditions producing thrombotic tendencies or sluggish flow such as myeloproliferative disorders, infections, trauma and neoplasia.