Ectodermal Origin
Ectodermal Origin (sensitive to hypoxia)
Mesodermal Origin
Mesodermal Origin (not as sensitive to hypoxia)
nuclei
Arranged in nuclei
– CNS
ganglia
• Arranged in ganglia
– PNS

Neuron with nissl substance

Chromatolysis in a neuron
Chromatolysis

Acidophilia
Ischemic change, permanent
Cell death
Cell is shrunken, acidophilic, angular
Nucleus pyknotic-absent
Depending on cause may be regional
Occurs in trauma, hypoglycaemia, thiamine deficiency

Cytoplasmic vacuolation
• Lipid
Intracytoplasmic oedema
Lysosomal storage (accumulation of products) eg GM1 gangliosidosis
Transmissible Spongiform Encephalopathies (TSE eg BSE)

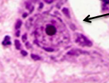
Rabies inclusions (in cytoplasm)

Herpes inclusion body (in nucleus)
Neuronophagia
Neuronophagia “eating neurons”
oligodendrocytes
sythesized myelin in the CNS
Schwann cells
synthesize myelin in the PNS
gliosis
Proliferation of astrocytes
gemistocytes
Swelling of astrocytes
Gitter Cell
Following brain trauma microglial cells will replicate and activate to clear up debris
Myelophages
Microglial cells, when they mop up myelin are called myelophages
Ependymal Cells

Cerbellar coning

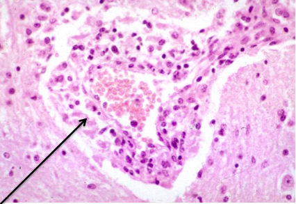
Vasculitis (inflammation of a blood vessel)

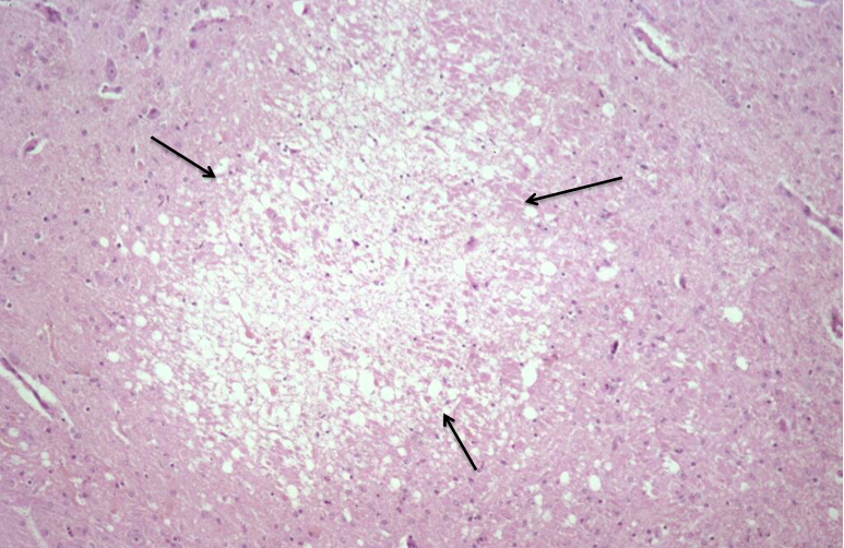
Area of malacia(softening) within a portion of brain
Encephalo
involving brain

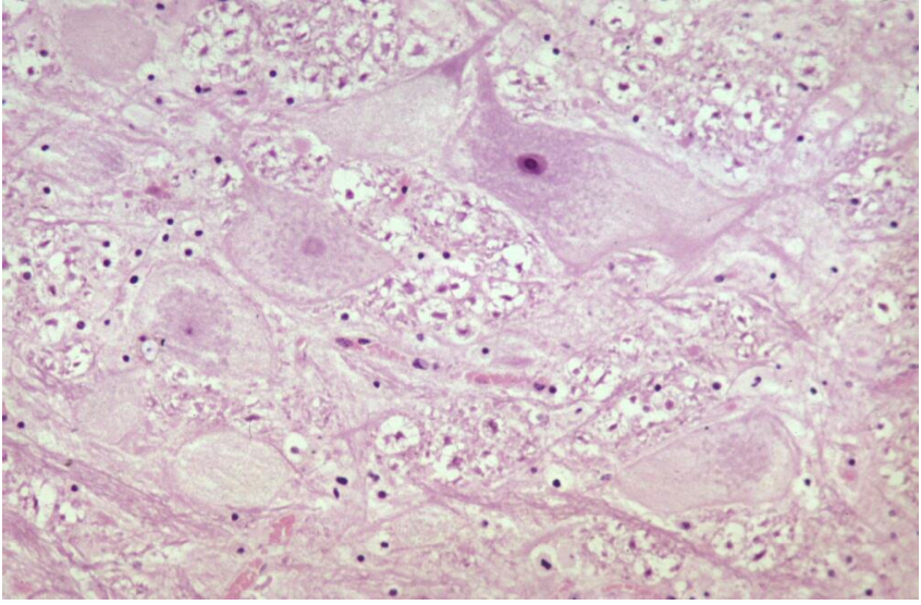
GM1 Gangliosidosis of
Friesian Calves