
hyperadrenocorticism
Clinical signs
Alopecia (appears bilaterally
symmetrical)
Polyphagia
PU/PD
Pot belly
Stinks

Adrenocortical…

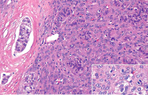
Adrenocortical carcinoma
In dogs, adrenocortical tumors mostly arise from the
In dogs, adrenocortical tumors mostly arise from the zona fasciculata

Another lesion you can observe due to hyperadrenocorticism… calcicutis cutis

Many adrenocortical neoplasms are
Many adrenocortical neoplasms are non productive (exact proportion not reported).
Roughly 50% benign/malig; Around 10% bilateral.
If there is an adrenocortical tumor, will there be Cushing’s disease?
Conn’s syndrome
Cat with “Conn’s syndrome”
Mineralocorticoids
Signs due to hyper- aldosteronism
Hypertension
Polymyopathy – due to hypernatremia and hypokalemia
Ferret adrenal neoplasm
Signs due to hyper- estrogenism
Alopecia
(appears bilaterally symmetrical)
PU/PD
Vulvar enlargement
Anemia
Endometrial/prostatic hyperplasia
Cortisol normal

Diffuse vs nodular adrenocortical hyperplasia….

Nodular adrenocortical hyperplasia is a senile change observed in many species.
corticotroph
ACTH-secreting
Corticotroph adenomas comprised of cells which can secrete
Corticotroph adenomas comprised of cells which can secrete ACTH.
Most of the Cushings cases are dependent on what?
In dogs, ~85% of Cushing’s cases are “pituitary dependent” (secondary), ~15% “adrenal dependent” (primary).
Pituitary adenomas in dogs
In dogs, the majority of pituitary adenomas are active and from the pars distalis>>intermedia.
Where do most of the pit. adenomas arise from in horses?
In horses, most pituitary adenomas are from the pars intermedia, some produce ACTH.

PPID
Hirsuitism (failure to shed)
PU/PD
Polyphagia
Hyperhidrosis
Insulin resistance
Abnormal fat deposition

Pituitary cyst in a German Shepherd puppy
MDx:

MDx:

thyroid hyperplasia
not all proliferative endocrine lesions lead to
Important learning point – not all proliferative endocrine lesions lead to organ hyperfunction.
HypoT
Gain in body weight without change in appetite
Bilaterally symmetrical alopecia, scaly skin
• Myxedema, atherosclerosis in severe cases