P1 PATHO LAB Flashcards

(22 cards)

1
Q

mention the stain used

A

perl stain / ferric ferrocyanide or prussian blue

How well did you know this?
1
Not at all
2
3
4
5
Perfectly
2
Q

MCV indicates

A

red cell volume or size

How well did you know this?
1
Not at all
2
3
4
5
Perfectly
3
Q

MCH indicates

A

mean Hb content

How well did you know this?
1
Not at all
2
3
4
5
Perfectly
4
Q

MCHC indicates

A

mean Hb concentration in red cells

How well did you know this?
1
Not at all
2
3
4
5
Perfectly
5
Q

RDW indicates

A

red cell distribution width

How well did you know this?
1
Not at all
2
3
4
5
Perfectly
6
Q

immature RBCs are called

A

Reticulocytes

How well did you know this?
1
Not at all
2
3
4
5
Perfectly
7
Q

what values seen in CBC are indicative of microcytic hypochromic anemia

A

Decreased MCV , MCH , MCHC

How well did you know this?
1
Not at all
2
3
4
5
Perfectly
8
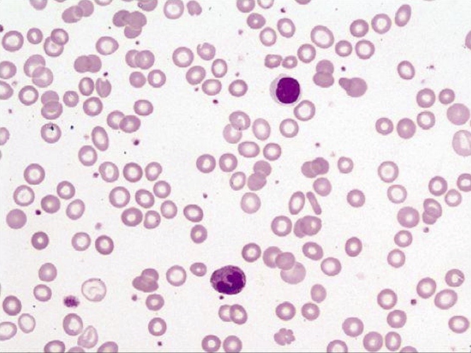
Q

smear is indicative of which type of anaemia

A

microcytic hypochromic anemia
( iron def.)

How well did you know this?
1
Not at all
2
3
4
5
Perfectly
9
Q

what test will you order to confirm your diagnosis for iron def.

A

serum iron
Ferritin
transferrin saturation
serum ferritin

How well did you know this?
1
Not at all
2
3
4
5
Perfectly
10
Q

what will your Pts TIBC be incase of iron def. anemia

A

Increased

How well did you know this?
1
Not at all
2
3
4
5
Perfectly
11
Q

what will your Pts TIBC be incase of chronic disease anemia

A

Either normal or decreased

How well did you know this?
1
Not at all
2
3
4
5
Perfectly
12
Q

what will your Pts iron levels be incase of sideroblastic anemia

A

Increased

How well did you know this?
1
Not at all
2
3
4
5
Perfectly
13
Q

what will your Pts ferritin & transferrin saturation be incase of sideroblastic anemia

A

Increased

How well did you know this?
1
Not at all
2
3
4
5
Perfectly
14
Q

mention some common causes of iron def. anemia

A
  • menstruation
  • pregnancy , breastfeeding
  • vegans
  • child on high milk consumption
  • peptic ulcer / celiac / IBD
How well did you know this?
1
Not at all
2
3
4
5
Perfectly
15
Q

etiology of sideroblastic anemia

A

Impaired heme synthesis

How well did you know this?
1
Not at all
2
3
4
5
Perfectly
16
Q

Genetic predisposition of sideroblastic anemia

A

x-linked
Autosomal dominant & recessive

17
Q

Acquired sideroblastic anemia is due to

A

drugs / lead toxicity / myelodysplastic syndrome

18
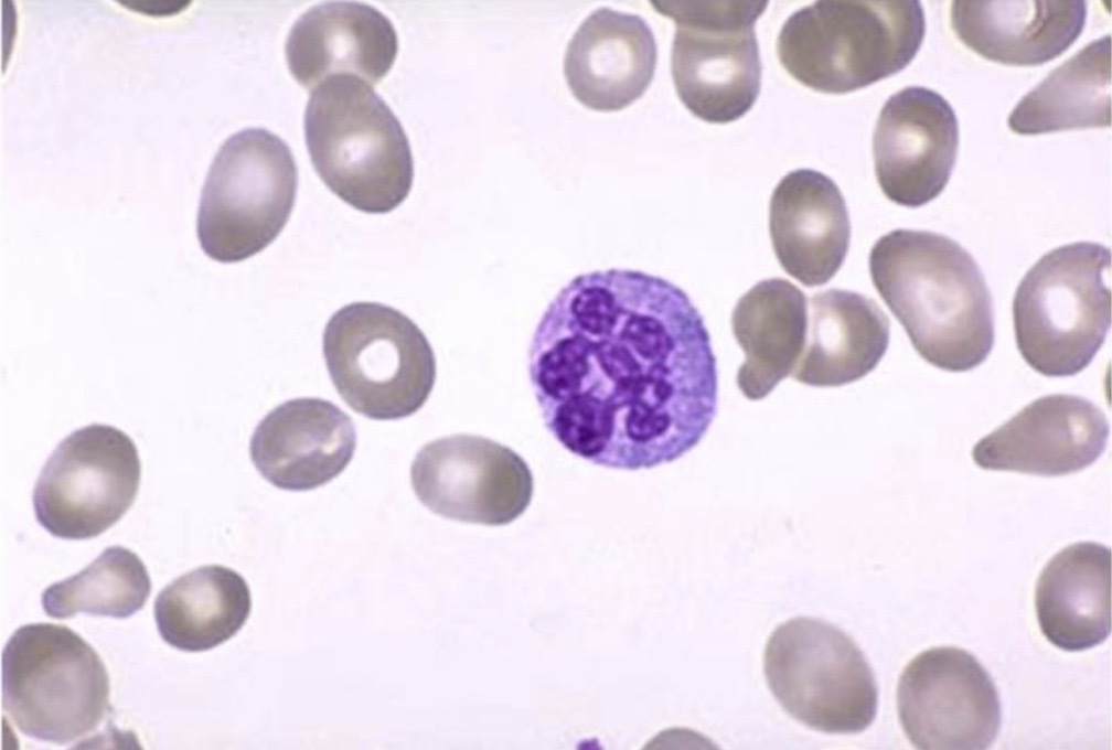
Q

what abnormalities are shown in the blood smear

A
  • macrocytes
  • ovalocytes
  • hyper-segmented neutrophil
  • macro-ovalocytes
19
Q

serum folate levels in B12 def.

A

Either normal or increased

20
Q

serum folate levels in folate def.

21
Q

red cell folate levels in B12 def.

A

Either normal or reduced

22
Q

red cell folate levels in folate def.