P3 PATHO LAB Flashcards

(14 cards)

1
Q

acute leukaemia presentation

A

-signs of BM failure
- bleeding
- fever

How well did you know this?
1
Not at all
2
3
4
5
Perfectly
2
Q

antigen marker commonly present on myeloid cells

A

CD33

How well did you know this?
1
Not at all
2
3
4
5
Perfectly
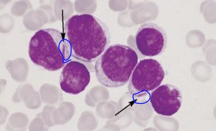
3
Q

in AML , what is indicated by black arrow

A

Auer rods

How well did you know this?
1
Not at all
2
3
4
5
Perfectly
4
Q

in AML ,what antigen markers are commonly detected

A

CD33 . CD13

How well did you know this?
1
Not at all
2
3
4
5
Perfectly
5
Q

good prognosis marker seen in AML

A

Translocation between 8 & 21 chromosomes in cytogenetic study
& t(15;17)

How well did you know this?
1
Not at all
2
3
4
5
Perfectly
6
Q

what is the diagnostic cytogenetic abnormality seen in acute premyelocytic leukaemia

A

t (15;17)

How well did you know this?
1
Not at all
2
3
4
5
Perfectly
7
Q

test to be done to confirm CML diagnosis

A

cytogenetic study

How well did you know this?
1
Not at all
2
3
4
5
Perfectly
8
Q

this karyotype is seen in which type of leukaemia

A

Chronic myeloid leukaemia

How well did you know this?
1
Not at all
2
3
4
5
Perfectly
9
Q

cytogenetic study in CML will reveal abnormality in which chromosomes

A

the Philadelphia chromosome
Between chromosomes 9 & 22

How well did you know this?
1
Not at all
2
3
4
5
Perfectly
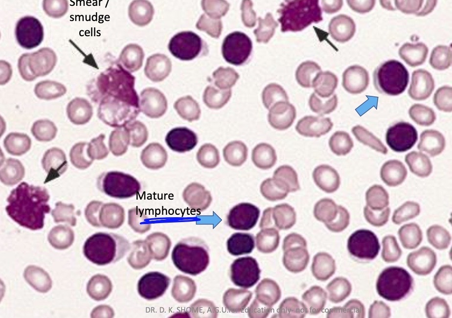
10
Q

cella that are seen in blood smear that are Characteristic for CLL

A

smear / smudge cells

How well did you know this?
1
Not at all
2
3
4
5
Perfectly
11
Q

in flow cytometry of CLL , what antigen markers are commonly detected

A

CD19 , CD5 , CD23

How well did you know this?
1
Not at all
2
3
4
5
Perfectly
12
Q

levels of WBC in CLL

A

Increased

How well did you know this?
1
Not at all
2
3
4
5
Perfectly
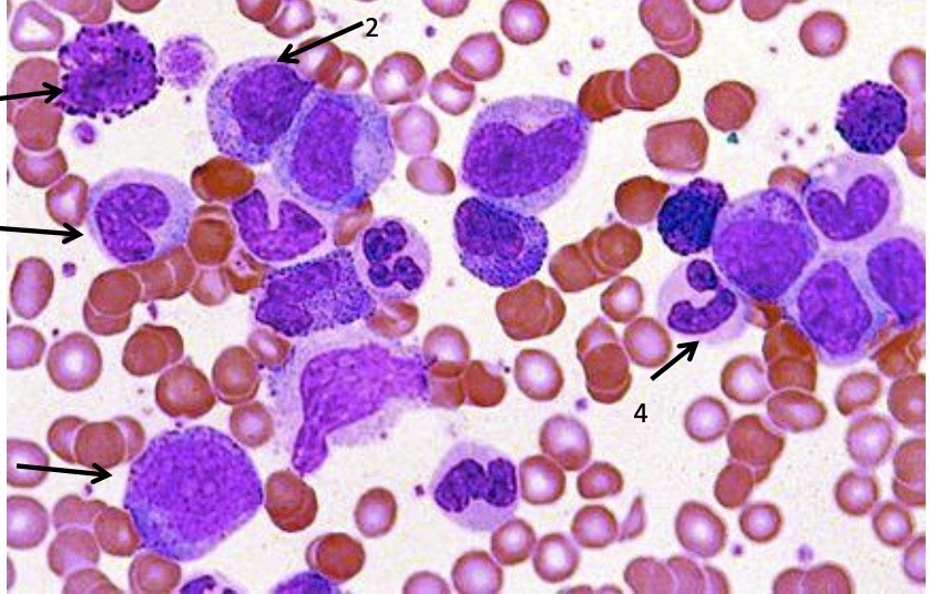
13
Q

cells present in CML blood smear

A

Mature & immature granulocytes

How well did you know this?
1
Not at all
2
3
4
5
Perfectly
14
Q

minimum number of blast cells in blood/marrow required for a diagnosis of acute leukaemia ?

A

20%

How well did you know this?
1
Not at all
2
3
4
5
Perfectly