P2 PATHOLOGY Flashcards

(14 cards)

1
Q

sites of hemolysis

A
  • intravascular
  • extravascular
How well did you know this?
1
Not at all
2
3
4
5
Perfectly
2
Q

give disease examples of intravascular hemolysis

A
  • hereditary spherocytosis
  • G6PD def.
  • SCD , thalassemia
How well did you know this?
1
Not at all
2
3
4
5
Perfectly
3
Q

mention 2 integral RBC membrane proteins

A

BAND 3 , glycophorins

How well did you know this?
1
Not at all
2
3
4
5
Perfectly
4
Q

mention 2 peripheral RBC membrane proteins

A

spectrin , ankyrin

How well did you know this?
1
Not at all
2
3
4
5
Perfectly
5
Q

cause of hereditary spherocytosis

A

def. or functional abnormalities in RBcC membrane proteins

How well did you know this?
1
Not at all
2
3
4
5
Perfectly
6
Q

genetic predisposition of hereditary spherocytosis

A

autosomal dominant
severe forms : autosomal recessive

How well did you know this?
1
Not at all
2
3
4
5
Perfectly
7
Q

function of G6PD

A

synthesis of NADPH & GSH

How well did you know this?
1
Not at all
2
3
4
5
Perfectly
8
Q

Function of GSH

A

RBC protection against oxidant damage

How well did you know this?
1
Not at all
2
3
4
5
Perfectly
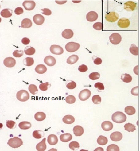
9
Q

you will confirm your G6PD def. Diagnosis if you see these in blood smear

A
  • heinz bodies
  • blister cells
  • bite cells , spherocytes
How well did you know this?
1
Not at all
2
3
4
5
Perfectly
10
Q

point mutation in beta globin gene will cause

A

sickle cell disease

How well did you know this?
1
Not at all
2
3
4
5
Perfectly
11
Q

levels of beta globin in beta thalassemia

A

Decreased

How well did you know this?
1
Not at all
2
3
4
5
Perfectly
12
Q

Levels of alpha globin in beta thalassemia

A

Increased

How well did you know this?
1
Not at all
2
3
4
5
Perfectly
13
Q

in alpha thalassemia , HbH precipitates as

A

inclusion bodies

How well did you know this?
1
Not at all
2
3
4
5
Perfectly
14
Q

when antibodies inhibit ADAMTS13 , Pts WILL DEVELOP

A

thrombotic thrombocytopenic purpura

How well did you know this?
1
Not at all
2
3
4
5
Perfectly