P2 PATHO LAB Flashcards

(27 cards)

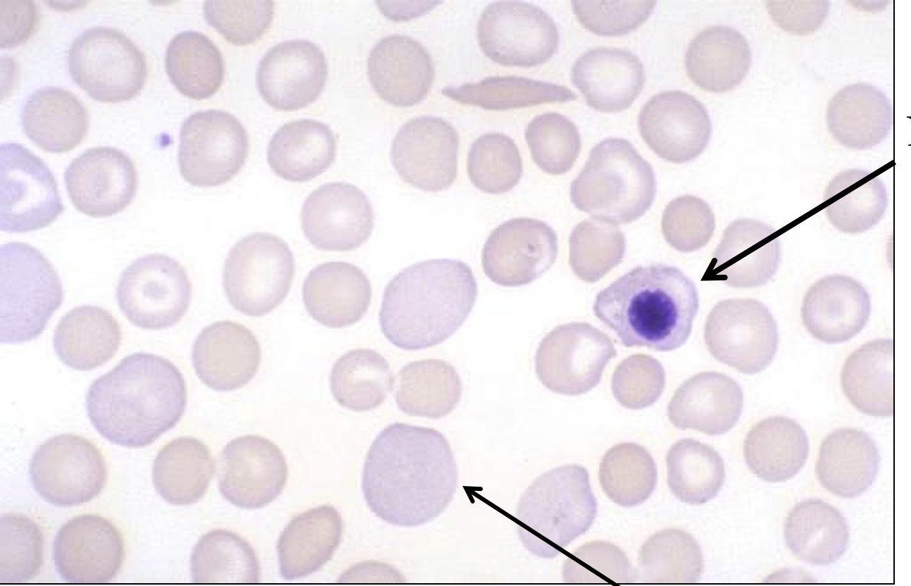
1
Q

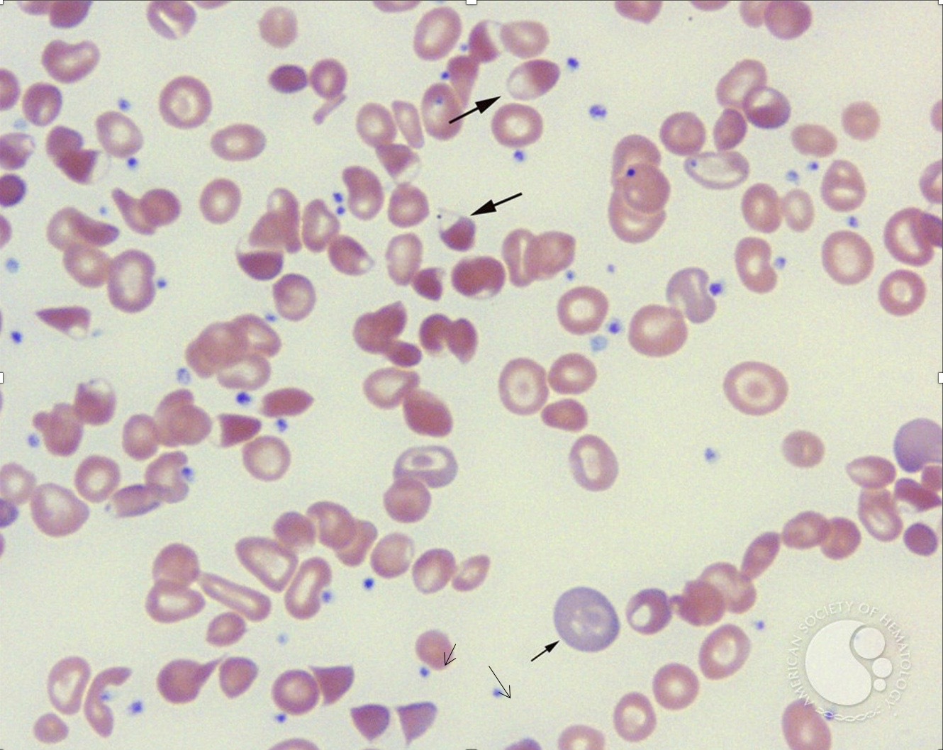
most common HA clinical picture

A
  • pallor , jaundice , splenomegaly
How well did you know this?
1
Not at all
2
3
4
5
Perfectly
2
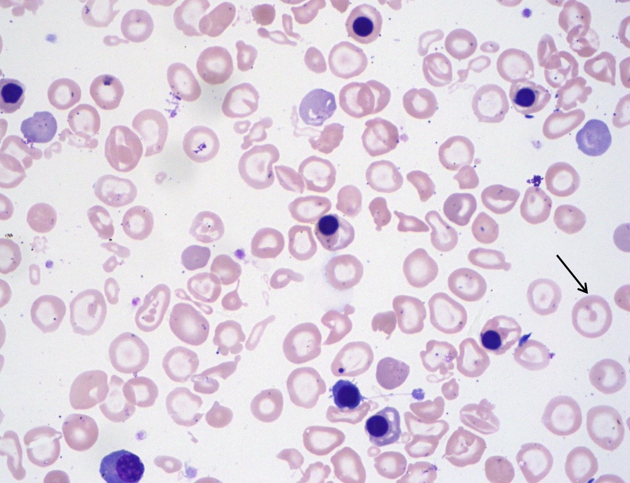
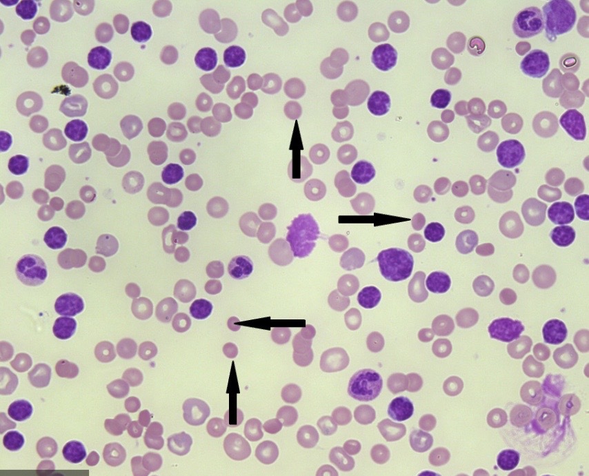
Q

in the blood smear shown
the upper arrow is representing

A

Nucleated RBC

How well did you know this?
1
Not at all
2
3
4
5
Perfectly
3
Q

in the blood smear shown
the lower arrow is representing

A

polychromatic macrocytic RBCs

How well did you know this?
1
Not at all
2
3
4
5
Perfectly
4
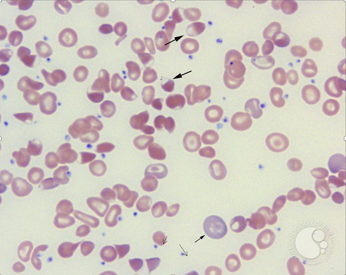
Q

in blood smear showed below
the first upper arrow is indicating

A

blister cells

How well did you know this?
1
Not at all
2
3
4
5
Perfectly
5
Q

in blood smear showed below
the last ( lowest to the left ) arrow is indicating

A

bite cells

How well did you know this?
1
Not at all
2
3
4
5
Perfectly
6
Q

stain used

A

methylene blue

How well did you know this?
1
Not at all
2
3
4
5
Perfectly
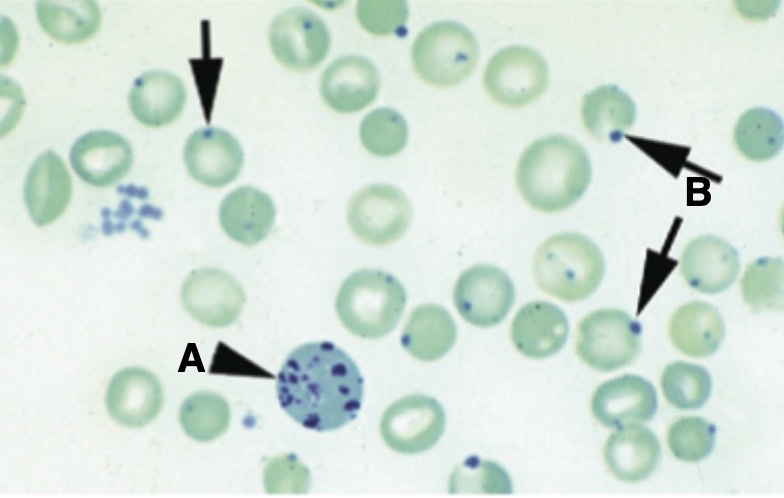
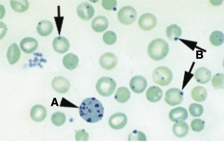
7
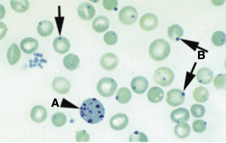
Q

what is A

A

reticulocyte

How well did you know this?
1
Not at all
2
3
4
5
Perfectly
8
Q

what are B

A

Heinz bodies

How well did you know this?
1
Not at all
2
3
4
5
Perfectly
9
Q

levels of bilirubin in G6PD def.

A

Increased

How well did you know this?
1
Not at all
2
3
4
5
Perfectly
10
Q

levels of LDH in G6PD def.

A

INCREASED

How well did you know this?
1
Not at all
2
3
4
5
Perfectly
11
Q

levels of HEPATOGLOBIN in G6PD def.

A

low

How well did you know this?
1
Not at all
2
3
4
5
Perfectly
12
Q

coombs test results in G6PD def.

A

Negative

How well did you know this?
1
Not at all
2
3
4
5
Perfectly
13
Q

test to be done to confirm G6PD def. Diagnosis

A

G6PD assay

How well did you know this?
1
Not at all
2
3
4
5
Perfectly
14
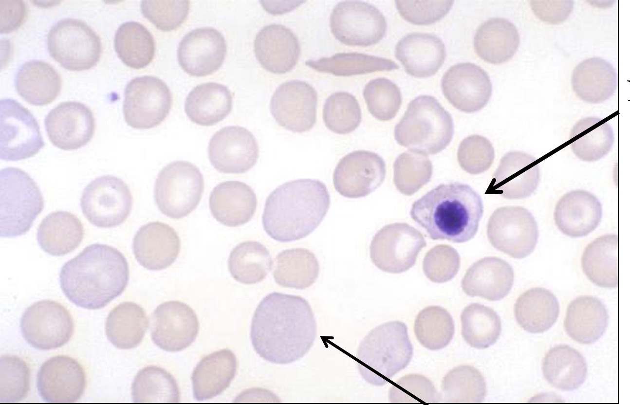
Q

Identify the cells pointed at by the arrow

A

spherocytes

How well did you know this?
1
Not at all
2
3
4
5
Perfectly
15
Q

Identify this lab test don in spherocytosis

A

Osmotic fragility test

How well did you know this?
1
Not at all
2
3
4
5
Perfectly
16
Q

levels of HbF in beta thalassemia major

17
Q

Levels of HbA2 in beta thalssemia minor

18
Q

levels of iron , ferritin , transferrin saturation in beta thalassemia minor

A

normal levels

19
Q

blood smear of a Hb Bart’s hydrops fetalis syndrome
Identify the cells pointed by the arrow

20
Q

mention the stain used

A

Brilliant cresyl blue

21
Q

black arrow is showing

A

Nucleated RBC

22
Q

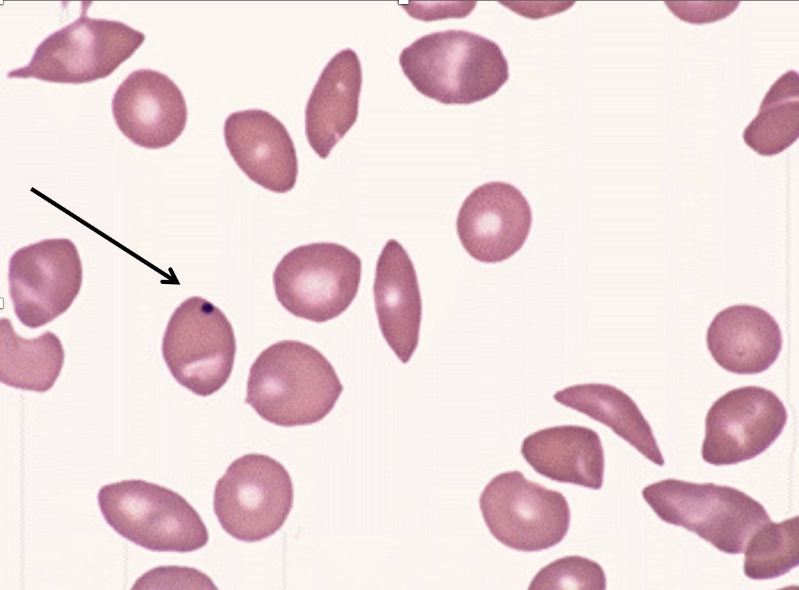
Sickle cell anemia blood smear below ,
black arrow is showing

A

howell- jolly body

23
Q

levels of HbF in sickle cells anemia

24
Q

levels of HbA2 in sickle cell anemia

25
blood smear from anaemic Pt black arrows are showing
schistocytes
26
test to be done to confirm TTP diagnosis
ADAMTS 13 activity test
27
Identify the test showed below
direct coombs test / direct antiglobulin test