PNEUMO Flashcards

(20 cards)

1
Q

SAOS

Apnée = arrêt resp ≥10sec
Hypopnée : réduction du débit d’air de ≥ 30 % pdt ≥ 10sec

A
  1. Diag
    1. Polygraphie → à la maison
    2. Polysomnographie → GS
      1. saturation en oxygène
      2. pauses et le débit respiratoires → IAH
      3. les phases de sommeil
      4. événements d’éveil
  2. TTT
    • VNI
      • PAP continue ( CPAP )
      • PAP à deux niveaux ( BPAP )
    • alternatif → maladies légères à modérées.
      • Appareils buccaux
      • Thérapie positionnelle :position de sommeil latérale
    • Modification des voies respiratoires supérieures
      • Chirurgie mandibule
    • Soutien
      • Évitez OH , la nicotine et les sédatifs
      • perte de poids
      • Hygiène du sommeil
      • Mesures de soutien → +++ TA
How well did you know this?
1
Not at all
2
3
4
5
Perfectly
2
Q

Asthme

A
  1. Clinique
    1. Toux persistante et sèche, s’aggravela nuit, avec l’exercice ou triggers
    2. Respiration sifflanteen fin d’expiration = wheezing
    3. Dyspnée
    4. Oppression thoracique
    5. Hyperrésonance à la percussion pulmonaire
  2. Diag
    1. Première ligne = fct pulmonaire
      1. VEMS
      2. ↓ rapport VEMS / CVF
    2. Tests de réversibilité bronchique doit être de >12% du VEMS
    3. Tests de provocation bronchique
  3. TTT
    • aigue
      • O2 ≥ 94-98 %
      • Bêta2-agonistes inhalés
      • Anticholinergiques
      • Glucocorticoïdes (GC) par voie systémique
      • ± Sulfate de magnésium si sévère
How well did you know this?
1
Not at all
2
3
4
5
Perfectly
3
Q

Asthme

En fonction des paliers TTT mis en place

  1. Paliers 1 et 2 = asthme léger
    1. TTT choix
    2. Alternative
    3. R
  2. Palier 3 = asthme modéré
    1. TTT choix
    2. Alternative
    3. R
  3. Paliers 4 et 5 = asthme sévère.
    1. TTT choix
    2. Alternative
    3. R
A
    1. ø - CSI à faible dose
    2. ± CSI à faible dose - Antileucotriènes
    3. SABA
    1. CSI/LABA à faible dose
    2. CSI à dose modérée/haute ou CSI à faible dose + antileucotriènes
    3. SABA ou CSI / LABA à faible dose*
    1. CSI/LABA à dose modérée /haute
    2. Ajouter LAMA ou CSI à haute dose + antileucotriènes
      • ajouter LAMA ou Ajouter CS oral à faible dose
    3. SABA ou CSI/LABA à faible dose
How well did you know this?
1
Not at all
2
3
4
5
Perfectly
4
Q

Bronchite aigue

A
  1. Clinique
    1. Signes et symptômes [4]
      1. Touxexpectorations
      2. Symptômes d’IVRSprécédentes ou simultanées
      3. Myalgies
      4. Douleur thoracique
      5. dyspnée
    2. Résultats d’auscultation [4]
      1. Ronchi
      2. Respiration sifflante
      3. Fines craquelures
  2. Diag = clinique
  3. TTT
    • symptomatique → AINS
      • Autres analgésiques : non recommandés en routine → Antitussifs
    • antibiotique déconseillé → uniquement si complications bactériennes
How well did you know this?
1
Not at all
2
3
4
5
Perfectly
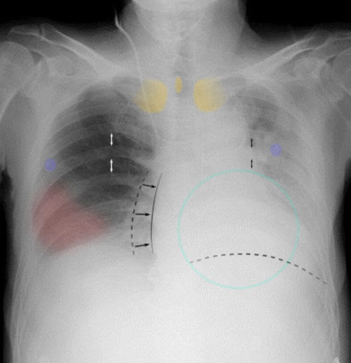
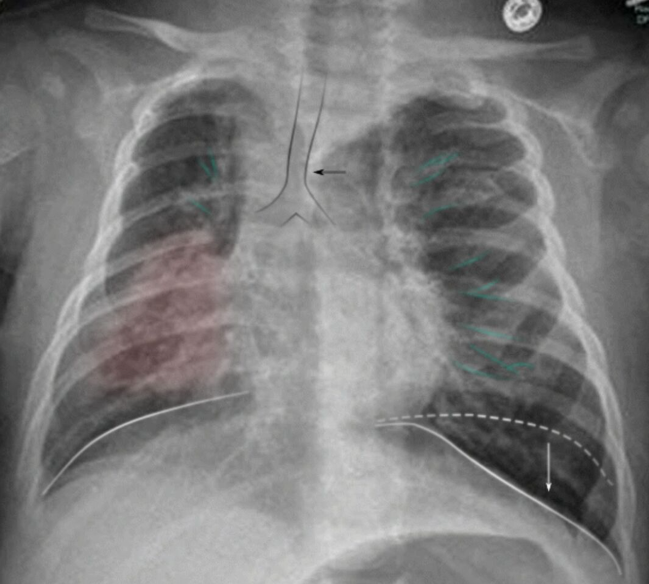
5
Q

Atélectasie

++ à 72h postop

A
  1. Clinique
  2. Diag :
    1. Gazo Aa
      → hypoxémie, ± PaCO2 faible et alcalose
    2. Rx
      1. collapsus lobaire → opacification homogène
      2. Shift médiastinale coté ipsi
  3. TTT
    • Mobilisation précoce
    • Manœuvres d’expansion pulmonaire → ⇡ pression+ en fin d’expiration
    • Traitement de la condition sous-jacente
  4. Prévention post chir → prescrivant opioïdes soulager la douleur → prudence car suppression de la toux
How well did you know this?
1
Not at all
2
3
4
5
Perfectly
6
Q

Sarcoïdose

++ jeune femme africaine

A
  1. Clinique
    1. aigue
    2. Chronique
      1. Pulmonaire (+courant) → Souvent asymptomatique au début
        1. Fibroseinterstitielle
      2. Extrapulmonaire
        1. Atteinte desganglions lymphatiques périphériques
        2. Uvéite granulomateuse
        3. Cutanées ( ∼25 % )
      3. Lupus pernio
      4. Musculo-squelettique → Arthralgies / arthrite ≈ PAR
      5. Système nerveux ( neurosarcoïdose ) → Paralysie NC ( ++nerf facial)
  2. Diag
    1. Rx GS
      1. Lymphadénopathie hilaire avec ou sans opacités réticulaires bilatérales
    2. CT si la radiographie pulmonaire est suspecte ou normale
    3. Labo :
    4. Bronchoscopie
  3. TTT
    • Sarcoïdose pulmonaire isolée : aucun traitement n’est nécessaire
      rémission spontanée élevée
    • Sarcoïdose symptomatique ou extrapulmonaire [13]
How well did you know this?
1
Not at all
2
3
4
5
Perfectly
7
Q

Bronchiolite

bronchioles inflamed because of a viral infection +++ respiratory syncytial virus (RSV)

++ enfant < 2ans → 2 - 6 mois

A
  1. Clinique
    • Initialement symptômes des voies respiratoires supérieures → rhinorrhée, fièvre légère et toux
    • Détresse respiratoire
    • Mauvaise alimentation
    • Auscultation : respiration sifflante, crépitements
  2. Diag
    1. clinique
    2. ± recherche VRS
    3. ± Rx → hyperinflation des poumons, infiltrats interstitiels ,atélectasie
  3. TTT
  4. Prévention → Palivizumab = Ac chez nourrissons à risque B. sévère, IM mensuelle pendant la saison VRS
  5. Compli
    → bronchiolite nourrisson associée risque accru développer de l’asthme
How well did you know this?
1
Not at all
2
3
4
5
Perfectly
8
Q

Tuberculose

incidence la plus élevée = Inde, Indonésie, Chine, Philippines, Bangladesh, Nigéria, Pakistan et Afrique du Sud

A
  1. Clinique
  2. Diag :
    • Échantillons d’ expectoration → Obtenir ≥ 3 séparés de 8 à 24 heures → au moins un tôt le matin
      • Coloration Ziel-Nieelsen
      • Culture → GS → Haute Sn
      • PCR → confirmation
    • Imagerie
      • Rx ou CT
        • Primaire = lobe moyen/inf → complexe de Ghon
        • Réactivation = apex → lésions cavitaires fibrocasées
  3. TTT
    1. Antituberculeux standard VOIR PHARMA
      1. Phase intensive : 2 mois de rifampicine
        PLUS isoniazide, pyrazinamide et éthambutol
        * si HIV + → préfère rifabutine à rifamp.
      2. Phase de continuation : 4 mois de rifampicine PLUS isoniazide
      3. Durée totale = 6/ 12mois si méningite à TBC/ os/ articulations/ miliaire
        Traitement adjuvant Pyridoxine prévenir carence VitB 6
How well did you know this?
1
Not at all
2
3
4
5
Perfectly
9
Q

Tuberculose Latente
Diagnostic (2)

incidence la plus élevée = Inde, Indonésie, Chine, Philippines, Bangladesh, Nigéria, Pakistan et Afrique du Sud

A
  1. Test Cutané Tuberculine (TCT)
    1. utilisé pour diagnostiquer la tuberculose latente (TBL) ou de réactivation.
    2. préféré chez < 5ans
  2. Test de libération de l’interféron gamma (IGRA)
    1. Test sanguin utilisé pour diagnostiquer l’exposition à Mycobacterium tuberculosis ou autre
      → est plus Sp que TCT car pas influencé par vaccination BCG antérieure.
How well did you know this?
1
Not at all
2
3
4
5
Perfectly
10
Q
**_Tuberculose Latente_**
TTT court (2)

incidence la plus élevée = Inde, Indonésie, Chine, Philippines, Bangladesh, Nigéria, Pakistan et Afrique du Sud

A
  • 1er exclusion de TB active → aucun signe clinique ou radiologique
  • Thérapie pharmacologique → tous patients avec test libération IFN gamma ou test tuberculine ss cut positifs
  1. Isoniazide une fois par semaine PLUS rifapentine une fois par semaine pendant 3 mois
  2. PLUS pyridoxine (si à risque de neuropathie périphérique due à l’ INH )
    ou
  3. Rifampine une fois par jour pendant 4 mois
How well did you know this?
1
Not at all
2
3
4
5
Perfectly
11
Q

Tuberculose

  1. Différencier active de latente par quel examen ?
  2. Ensuite si TB active probable on fait quel examen supp ?

incidence la plus élevée = Inde, Indonésie, Chine, Philippines, Bangladesh, Nigéria, Pakistan et Afrique du Sud

A
  1. est déterminée par une radiographie pulmonaire
    → Si patient présent des symptômes de tuberculose ( fièvre, toux, sueurs nocturnes, hémoptysie) → Probable active → isoler avant autre test diagnostic
  2. Analyse des échantillons d’expectoration → 3 échantillons d’expectoration, 1. culture, 2. microscopie à frottis de bacilles acido-alcoolo-résistants et 3. PCR 2. et 3. utiles pour identifier rapidement TB active.
  3. nécessaire pour confirmer le diagnostic et vérifier la sensibilité.
How well did you know this?
1
Not at all
2
3
4
5
Perfectly
12
Q

Pneumonie typique

Clinique 6
+ 2 chez IS

A
  1. Forte fièvre et frissons
  2. Toux productive avec expectoration purulente ( jaune-verdâtre )
  3. Crépitements et bruits respiratoires bronchiques à l’auscultation
  4. Diminution des bruits respiratoires
  5. Matité à la percussion
  6. Tachypnée et dyspnée
  7. Chez IS : forte fièvre et épanchement
How well did you know this?
1
Not at all
2
3
4
5
Perfectly
13
Q

Pneumonie atypique

Clinique 3

A

évolution indolente (apparition lente)

  1. Toux sèche et non productive
  2. Dyspnée
  3. Auscultation souvent sans particularité
How well did you know this?
1
Not at all
2
3
4
5
Perfectly
14
Q

Pneumonie

TTT PAC 5jours

  1. BSH sans comorbidités ni FR de pathogènes résistants (3)
  2. Comorbidités ou FR de pathogènes résistants
    1. (3)
    2. (1)
A
  1. Monothérapie avec :
    1. Amoxicilline
    2. Doxycycline
    3. ou macrolide
    1. Thérapie combinée
      1. Une β-lactamine antipneumococcique :
        1. Augmentin
        2. Céfuroxime
      2. PLUS :
        1. Un macrolide → Azithromycine ou Clarithromycine OU
        2. Doxycycline
    2. Monothérapie : avec une fluoroquinolone
      1. Lévofloxacine
How well did you know this?
1
Not at all
2
3
4
5
Perfectly
15
Q

Pneumonie

TTT PAC 5jours

  1. BSH sans comorbidités ni FR de pathogènes résistants (3)
  2. Comorbidités ou FR de pathogènes résistants
    1. (3)
    2. (1)
A
  1. Monothérapie avec :
    1. Amoxicilline
    2. Doxycycline
    3. ou macrolide
    1. Thérapie combinée
      1. Une β-lactamine antipneumococcique :
        1. Augmentin
        2. Céfuroxime
      2. PLUS :
        1. Un macrolide → Azithromycine ou Clarithromycine OU
        2. Doxycycline
    2. Monothérapie : avec une fluoroquinolone
      1. Lévofloxacine
How well did you know this?
1
Not at all
2
3
4
5
Perfectly
16
Q

Pneumonie

TTT PAC 5jours

  1. BSH sans comorbidités ni FR de pathogènes résistants (3)
  2. Comorbidités ou FR de pathogènes résistants
    1. (3)
    2. (1)
A
  1. Monothérapie avec :
    1. Amoxicilline
    2. Doxycycline
    3. ou macrolide
    1. Thérapie combinée
      1. Une β-lactamine antipneumococcique :
        1. Augmentin
        2. Céfuroxime
      2. PLUS :
        1. Un macrolide → Azithromycine ou Clarithromycine OU
        2. Doxycycline
    2. Monothérapie : avec une fluoroquinolone
      1. Lévofloxacine
17
Q

Principales causes pulmonaire de dyspnée ? (6)

A
  1. Pneumonie
  2. Exacerbation BPCO, asthme
  3. Pneumothorax de tension, spontanné
  4. EP / embolie graisseuse ++ postop
  5. ARDS
  6. Syndrome thoracique aigue ++ drépano
18
Q

Principales causes cardiaque de dyspnée ? (6)

A
  1. SCA
  2. Tamponnade
  3. Décompensation IC
  4. Cardiomyopathie
  5. Arrythmie
  6. Atteinte valve mitrale
19
Q

Principales causes subaiguë de toux ? (7)

A
  1. BPCO
  2. Post IVRS
  3. Tuberculose
  4. Rhinite
  5. Asthme
  6. RGO
  7. Bronchite / bronchectiasie
20
Q

Quel traitement / mécanisme lors d’une toux :
1. productive
2. sèche

A
  1. Mucolytique → N-acetylcystéine
  2. Antitoussif avec action centrale ≈ opioide effet