Radio Flashcards

(18 cards)

1
Q

Normal chest finding on a Rx PA ?

A
How well did you know this?
1
Not at all
2
3
4
5
Perfectly
2
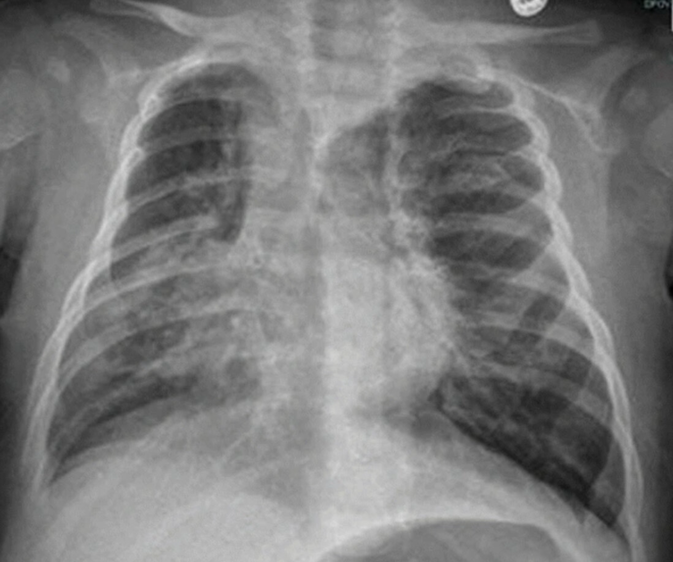
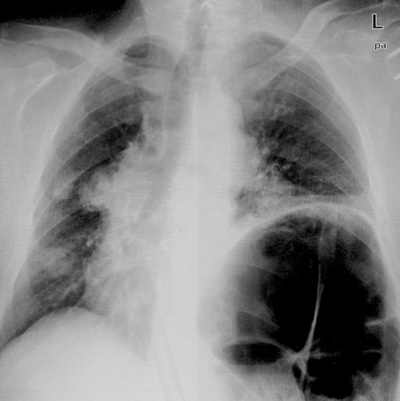
Q

Cardiaque et pulmonaire

A

The cardiac silhouette is enlarged (hatched green overlay), with an increased cardiothoracic ratio > 0.50 (red line:blue line). Prominent central pulmonary vessels (green overlay) reflect vascular redistribution. Interlobular septal thickening (Kerley B lines) is seen in the lower zones (examples indicated by dotted green lines)

How well did you know this?
1
Not at all
2
3
4
5
Perfectly
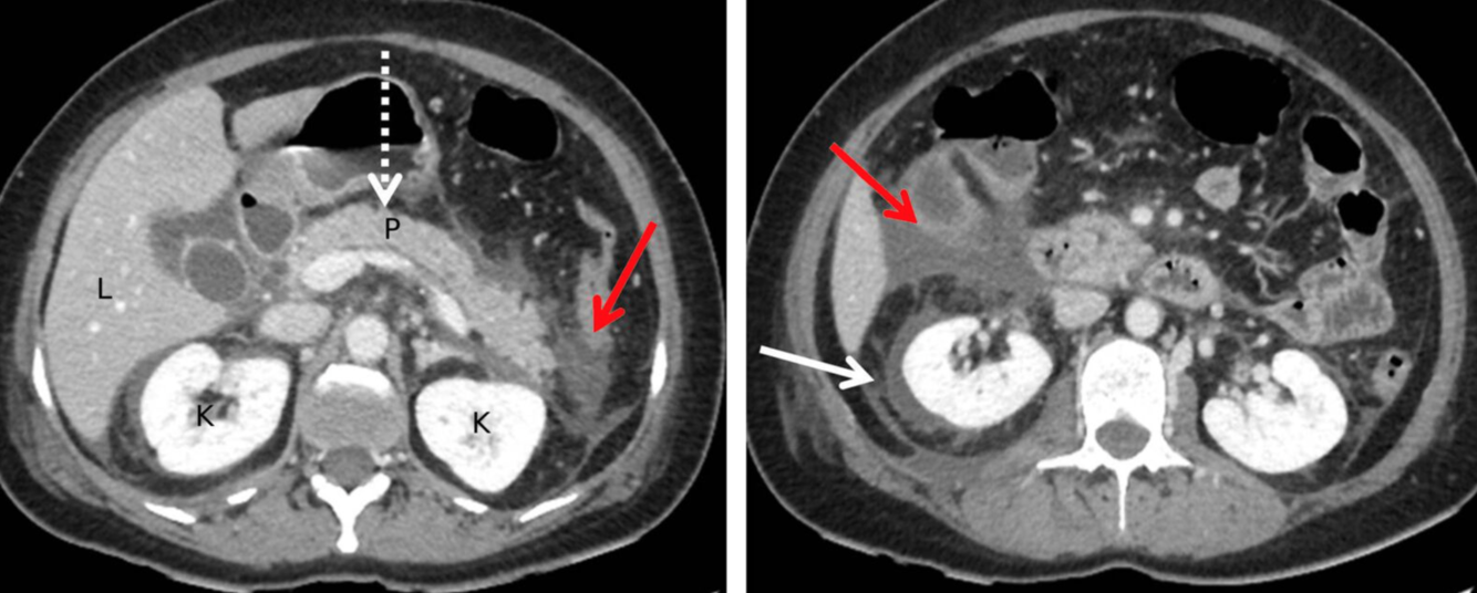
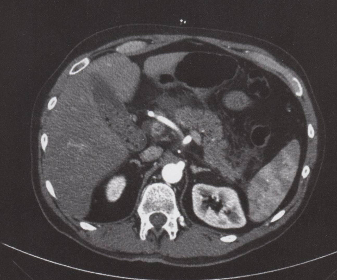
3
Q

ON voit quoi ?

A

TDM de l’abdomen (avec contraste ; plan axial) d’un patient atteint de pancréatite biliaire aiguë

Un échouage graisseux et fascial (superposition jaune) antérieur au pancréas (P) indique une inflammation péripancréatique. La vésicule biliaire (contour jaune) contient des calculs (exemples indiqués par une superposition rouge) et des boues. De plus, le canal cholédoque (overlay vert) est légèrement dilaté.

Le passage d’un calcul de la vésicule biliaire à travers le canal cholédoque peut entraîner une pancréatite aiguë

How well did you know this?
1
Not at all
2
3
4
5
Perfectly
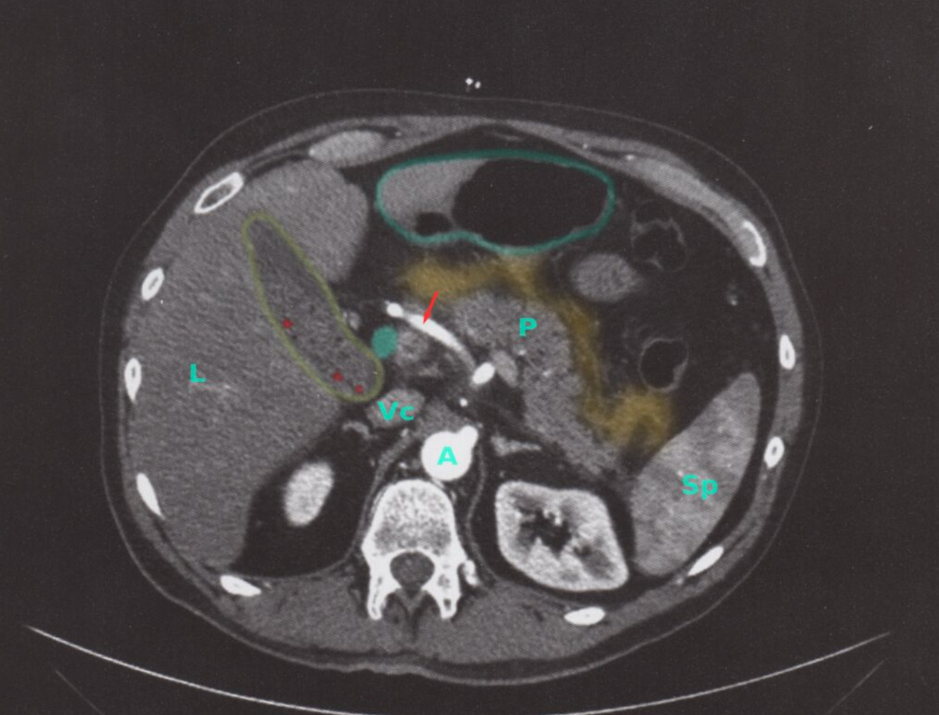
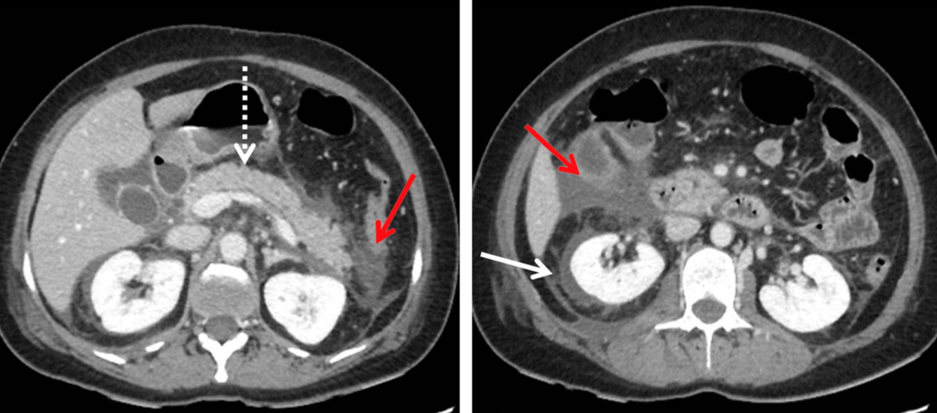
4
Q

ON voit quoi ?

A

TDM de l’abdomen (avec produit de contraste ; plan axial)

Une collection liquide péripancréatique aiguë homogène non encapsulée (APFC) sans composants solides est visible. L’aspect est caractéristique de la pancréatite interstitielle aiguë (non compliquée). Un échouage liquidien et graisseux peut être observé en avant du pancréas ainsi que dans les espaces pararénaux (flèches rouges). Il existe également du liquide périrénal (flèche blanche). Le tissu pancréatique (flèche en pointillés ; P) est rehaussé de manière homogène, sans signe de nécrose tissulaire.

Les APFC peuvent être uniques ou multiples et se développent généralement au début de la pancréatite aiguë. La persistance pendant plus de 4 semaines augmente la probabilité de développement d’un pseudokyste.

How well did you know this?
1
Not at all
2
3
4
5
Perfectly
5
Q

ON voit quoi ?

A

Calculs de la vésicule biliaire

Radiographie de l’abdomen (vue AP ; décubitus dorsal)

Plusieurs structures calcifiées arrondies sont visibles dans le quadrant supérieur droit (cercle noir). Beaucoup ont un aspect feuilleté, avec une calcification centrale dense (verte) entourée d’un anneau intérieur clair et d’un anneau extérieur calcifié (contour blanc).

Les calculs de cholestérol pur, le type le plus courant de calculs biliaires, sont radiotransparents sur les radiographies abdominales. Le pigment noir et les calculs biliaires mixtes peuvent contenir suffisamment de calcium pour être radio-opaques.

How well did you know this?
1
Not at all
2
3
4
5
Perfectly
6
Q

ON voit quoi ?

A

Cholangiopancréatographie rétrograde endoscopique (CPRE)

La pointe de l’endoscope (E) est située dans le duodénum au niveau de l’ampoule de Vater. L’amélioration du contraste permet de visualiser les voies biliaires hépatiques, les canaux hépatiques gauche et droit, le canal cystique (CD), la vésicule biliaire (G), le canal cholédoque (CBD) et le canal pancréatique (PD). Plusieurs défauts de remplissage (exemples indiqués par une superposition verte) peuvent être observés dans la vésicule biliaire et le canal cystique.

Cette constatation est le diagnostic de lithiase biliaire.

How well did you know this?
1
Not at all
2
3
4
5
Perfectly
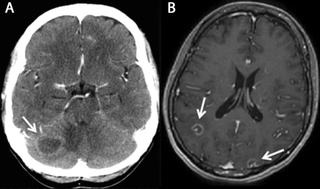
7
Q
A

Toxoplasmose cérébrale

How well did you know this?
1
Not at all
2
3
4
5
Perfectly
8
Q
A
  1. Saignement Epidurale
  2. Saignement sous dural
  3. Saignement intracérébral
  4. Blessure coup-contre coup → fracture occi et contusion frontal
  5. Lésion axonale diffuse
  6. Facial et orbital fracture
  7. Saignement sous arachnoïdien
How well did you know this?
1
Not at all
2
3
4
5
Perfectly
9
Q
A

Small bowel dilatation

X-ray abdomen (AP view, supine) of a patient with distal small bowel obstruction

Multiple gas-filled, dilated (> 3 cm diameter) loops of bowel can be identified as small bowel loops by the presence of plicae circulares (green overlay).

This appearance on a supine abdominal radiograph may indicate ileus or distal obstruction. An erect or decubitus view is generally required to help distinguish ileus from obstruction.

How well did you know this?
1
Not at all
2
3
4
5
Perfectly
10
Q
A

Mechanical small bowel obstruction

X-ray abdomen (AP view; erect position)

Multiple air-fluid levels (green overlay) are visible in the mid-abdomen. The opaque appearance of the pelvis (red overlay) is due to fluid-filled loops of small bowel. There is a paucity of gas in the colon, and an air-fluid level is present in the dilated stomach (S).

Erect and decubitus radiographs can reveal air-fluid levels that are not identifiable on supine radiographs. Air-fluid levels can indicate ileus or mechanical obstruction. A lack of distal gas and air-fluid levels at different heights in the same bowel loop (differential air-fluid levels) suggest obstruction

How well did you know this?
1
Not at all
2
3
4
5
Perfectly
11
Q
A

Dilated colon

X-ray abdomen (AP view; supine position) of a patient with a history of distal colonic obstruction

The transverse colon is dilated (green outlines) and distended loops of small bowel are present in the right lower quadrant (examples indicated by red outlines). Gas is present in the descending colon (blue outline), but no gas can be seen in the low pelvis in the region of the rectum (yellow overlay).

This radiographic appearance suggests distal mechanical obstruction or pseudo-obstruction in adynamic ileus. The acquisition of additional images (e.g., decubitus, prone) might help distinguish mechanical obstruction from pseudo-obstruction; the movement of gas would be restricted in obstruction and a transition point in the distal colon may be seen.

How well did you know this?
1
Not at all
2
3
4
5
Perfectly
12
Q
A

Atelectasis

X-ray chest (PA view)

A homogenous, triangular opacity is visible in the upper region of the right lung, immediately above the oblique fissure. The right hemidiaphragm is raised.

These findings are consistent with atelectasis of the basal portion of the right upper lobe.

How well did you know this?
1
Not at all
2
3
4
5
Perfectly
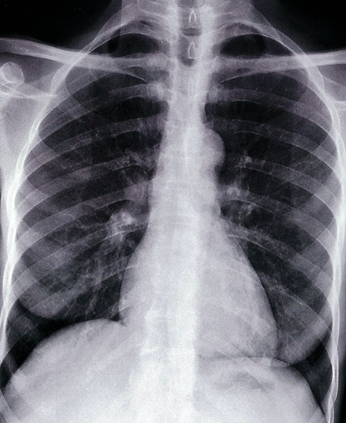
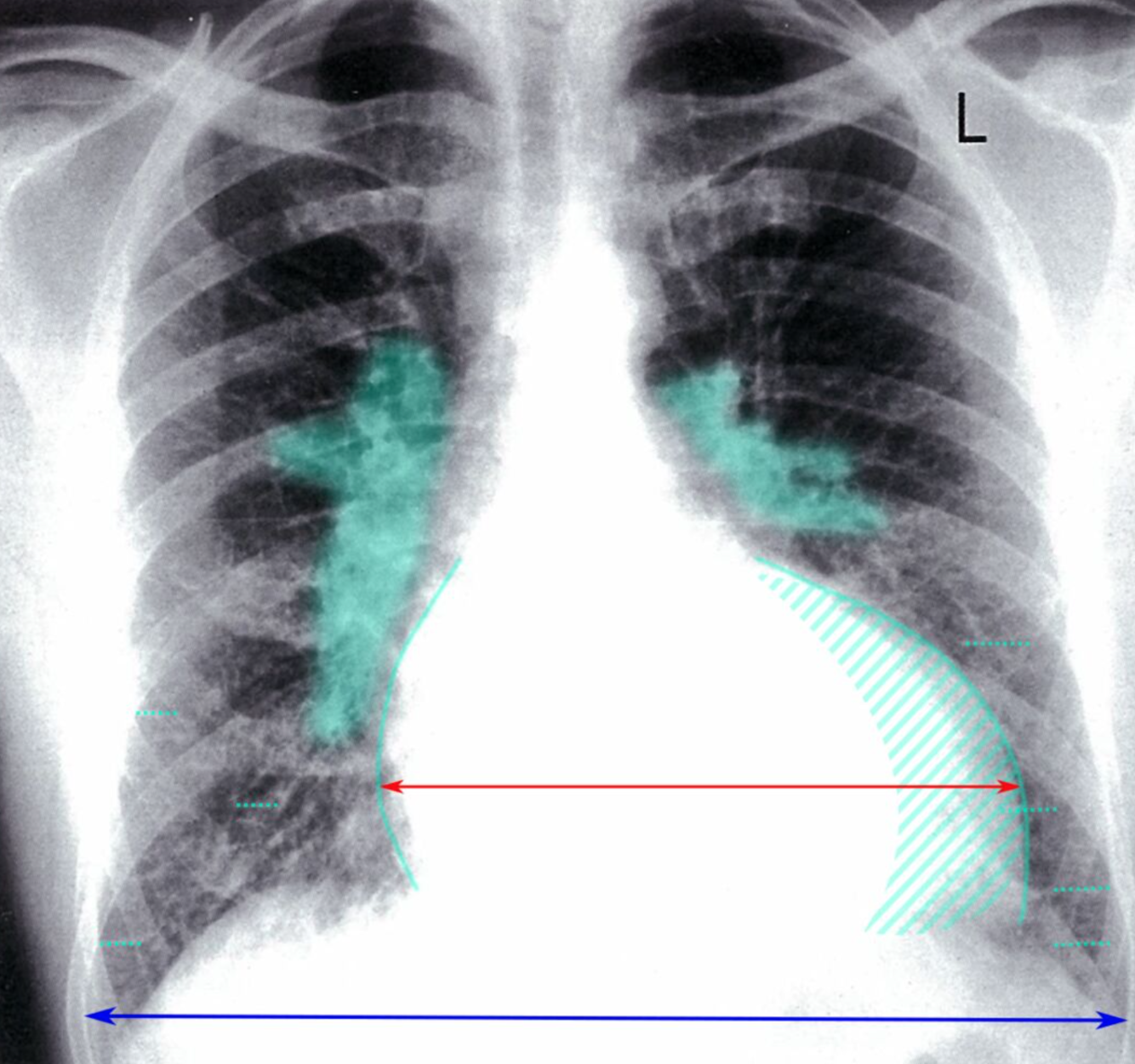
13
Q
A

Elevation of the left hemidiaphragm with left basal atelectasis

Chest x-ray (PA view)

There is basal atelectasis of the left lung with elevation of the left hemidiaphragm. The colon (hatched overlay) is filled with air and there is a mediastinal shift to the right (arrows). A round, possibly neoplastic lesion (circle) is visible in the lower zone of the right lung

How well did you know this?
1
Not at all
2
3
4
5
Perfectly
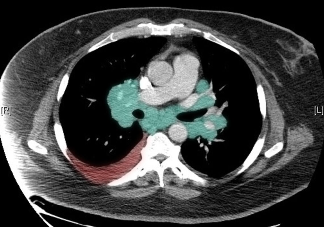
14
Q
A

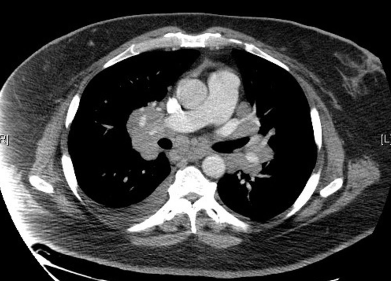
Sarcoidosis

CT of the thorax (axial view)

Bilateral hyperdensities in the areas of the mediastinal and hilar lymph nodes can be seen (green overlay).
There is also evidence of right-sided pleural effusion (red overlay).

This is the typical appearance of bilateral lymphadenopathy, a common finding in sarcoidosis.

How well did you know this?
1
Not at all
2
3
4
5
Perfectly
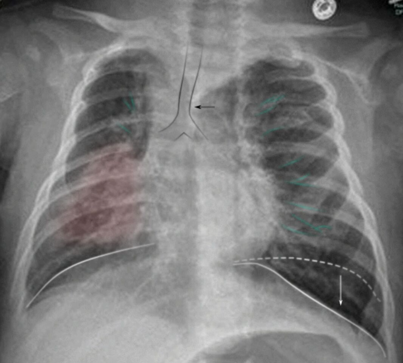
15
Q
A

Bilateral hyperinflation and right lung consolidation

X-ray chest (AP view) of a child with viral bronchiolitis and focal pneumonia

Bilateral perihilar peribronchial thickening (examples of bronchi indicated by green lines) is accompanied by hyperinflation with diaphragmatic depression (indicated by white lines and arrow). In the right lung, a superimposed area of consolidation from pneumonia (red overlay) is associated with atelectasis and ipsilateral mediastinal shift (indicated by black arrow).

Black outline: trachea; white dashed line: physiological position of left hemidiaphragm

How well did you know this?
1
Not at all
2
3
4
5
Perfectly
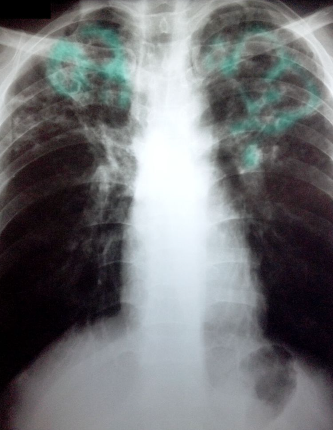
16
Q
A

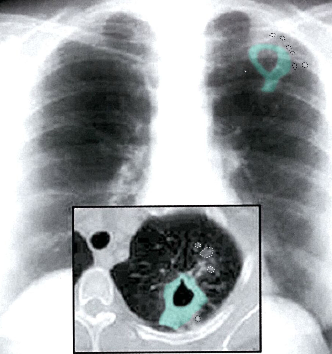
Cavitary lung lesion

X-ray chest (PA view; insert: axial CT, lung window) of a patient with postprimary tuberculosis

A thick-walled irregularly shaped cavity (green overlay) in the left lung apex is surrounded by micronodular opacities (examples indicated by dotted lines), which are better seen on the CT image than on the chest radiograph.

The differential diagnosis for a cavitary lung lesion includes both infectious (bacterial, fungal, and occasionally parasitic) and noninfectious (malignant, inflammatory, vascular, and traumatic) etiologies. In postprimary tuberculosis, the apicoposterior segments of the upper lobes and superior segments of the lower lobes are common sites of involvement. A thick-walled cavity accompanied by consolidation or nodular opacities can signify active disease

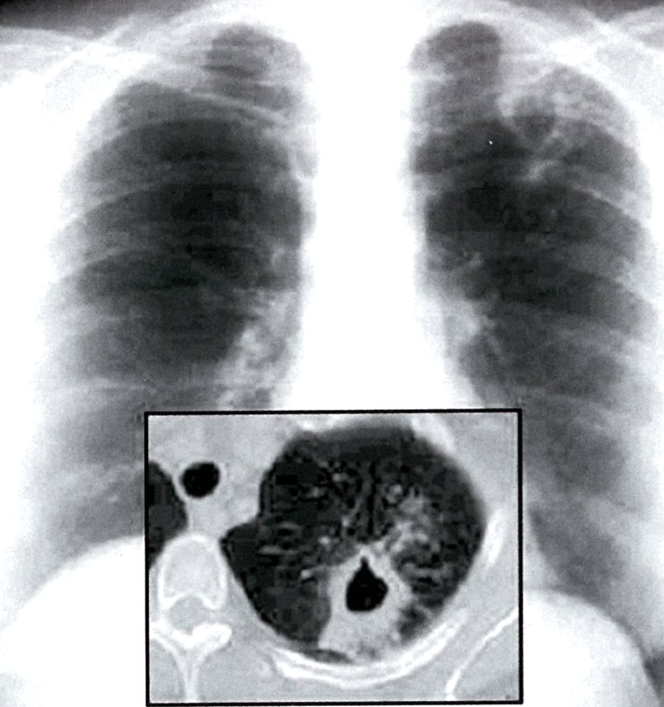
17
Q
A

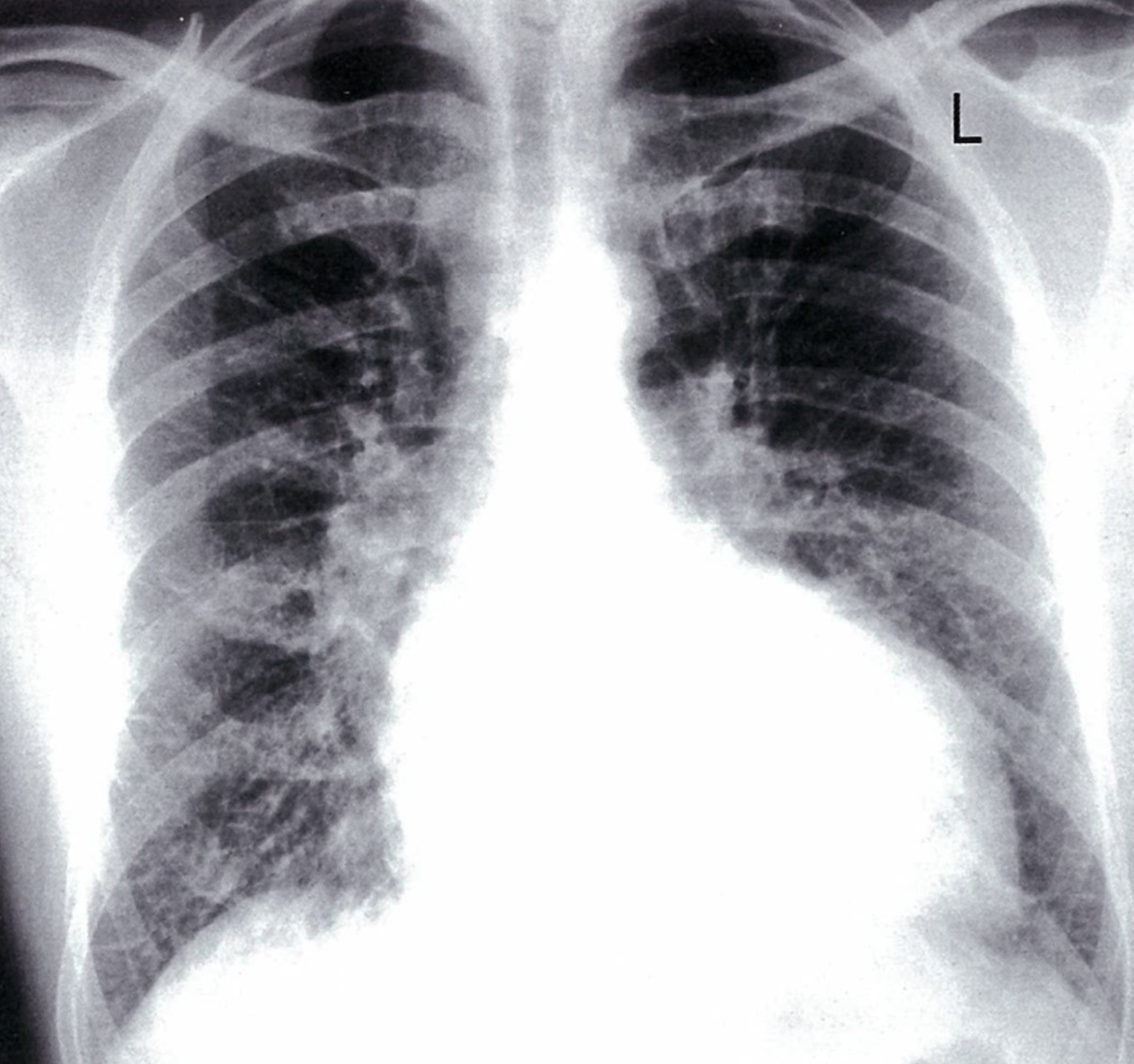
Post-primary tuberculosis

Posteroanterior chest x-ray showing bilateral apical, streaky parenchymal densities (green borders). These are most likely cavernous changes, which may occur during the course of post-primary tuberculosis. The full extent of cavernous formation can not be assessed on an x-ray; a CT scan should be performed.

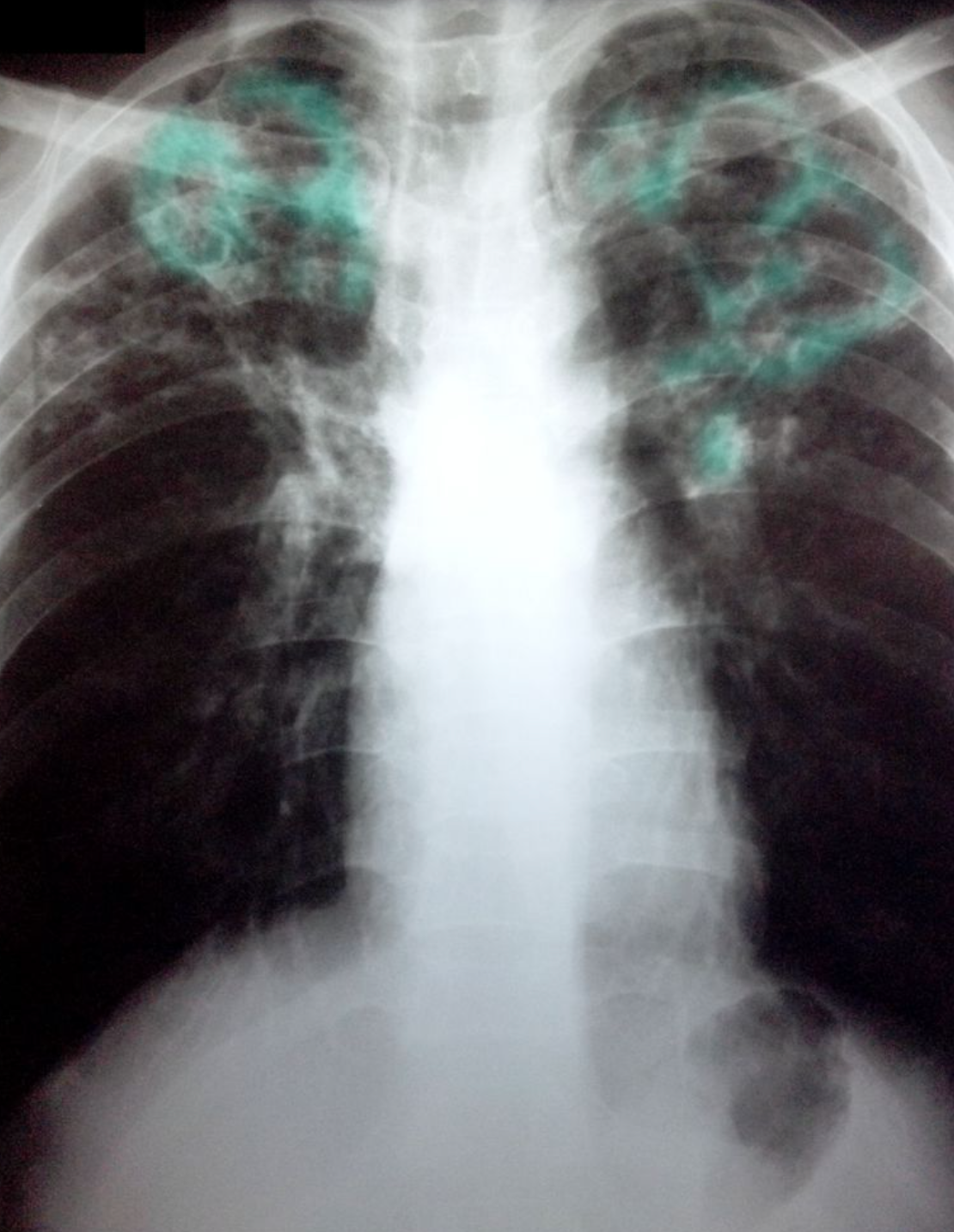
18
Q
A

Post-primary tuberculosis

Posteroanterior chest x-ray showing bilateral apical, streaky parenchymal densities (green borders). These are most likely cavernous changes, which may occur during the course of post-primary tuberculosis. The full extent of cavernous formation can not be assessed on an x-ray; a CT scan should be performed.