Lanky Schmidt is a tall, 29 year old male. He has presented to A+E feeling short of breath. He has right sided pleuritic chest pain. He is a non-smoker and otherwise healthy.
A chest radiograph shows a right sided pneumothorax 8mm in diameter.
How should the medical team proceed?
a) Reassure and Discharge
b) Observe for 6 hours and give Oxygen
c) List for elective Surgical Pleurodesis
d) Needle Aspiration and give Oxygen
e) Immediate wide bore cannula insertion at 2nd intercostal space
d)Needle Aspiration and give Oxygen - 1st line
c) Surgical pleurodesis is the conjoining of the parietal and visceral pleura in order to obliterate the pleural space. It is indicated in secondary pneumothoraces typically after multiple episodes.
e) Indicated in a tension pneumothorax (emergency)
Define a pneumothorax
when air gains access to, and accumulates in, the pleural space
What is a tension pneumothorax
a pneumothorax in which air enters the pleural cavity and is trapped during expiration;
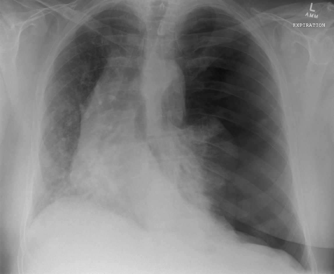
What does this CXR show

tension pneumothorax on the left side
What are the risk factors for a pneumothorax?
see image for rare risk factors

What are the 3 main causes of pneumothoraces
Explain the cause of
a) spontaneous Pneumothorax
b) secondary Pneumothorax
c) traumatic Pneumothorax
Spontaneous
Occurs in people with typically normal lungs
Typically in tall, thin males
It is probably caused by the rupture of a subpleural bleb
Secondary
Occurs in patients with pre-existing lung disease (e.g. COPD, asthma, TB)
Traumatic
Caused by penetrating injury to the chest
Often iatrogenic (e.g. during jugular venous cannulation, thoracocentesis)
Summarise the epidemiology of pneumothoraces
Annual incidence: 9/100,000 Mainly in 20-40 yr olds
4 x more common in MALES
Name the presenting symptoms of a pneumothorax
May be ASYMPTOMATIC if the pneumothorax is small
Name the presenting symptoms of a tension pneumothorax
Distress with rapid shallow breathing
What are the signs of a pneumothorax O/E?
There may be NO signs if the pneumothorax is small
Signs of respiratory distress
What are the signs of a tension pneumothorax O/E?
Severe respiratory distress
What is the first investigation to be ordered for a ?pneumothorax
CXR
What further investigations should be ordered for ?pneumothorax?
ABG –> check for hypoxaemia
What is the management plan for a tension pneumothorax?
EMERGENCY
How should a clinically stable spontaneous pneumothorax be managed?
How should a larger pneumothorax be managed?
percutaneous needle aspiration
If aspiration fails, a chest tube or small-bore catheter should be inserted into the pleural space
How should a larger secondary pneumthorax be managed?
inserted into the pleural space
How should recurrent pneumothoraces be managed?
What are the possible complications of a pneumothorax?
What is the prognosis for
a) primary pneumothorax
b) secondary pneumothorax
a) 30% - 50% of patients will have an ipsilateral recurrent pneumothorax
b) risk of contralateral pneumothorax