The Symbicort inhaler consists of which two drugs?
Budesonide (steroid)
Formeterol (long-acting beta agonist)
Name an anti-muscarinic drug that is used to treat COPD.
Tiotropium
What is an important complication of COPD?
Pulmonary hypertension
How is COPD a risk factor for pneumothorax?
COPD leads to the formation of bullae (an air pocket that replaces lung tissue)
List causes of sudden-onset breathlessness (within seconds).
PE
Pneumothorax
Foreign body
NOTE: anxiety can also cause sudden-onset breathlessness
List causes of breathlessness that develops over minutes/hours.
Problems with the airways (inflammation/obstruction)
Pus in the interstitium (due to chest infection (e.g. pneumonia))
Fluid in the interstitium (due to acute heart failure)
Blood in the lungs (pulmonary haemorrhage)
List causes of breathlessness that develops over days/weeks.
Interstitial lung disease
Malignancy
Large pleural effusion
Neuromuscular
Anaemia/thyrotoxicosis
What is CPAP and what is it used for?
Continuous positive airway pressure
It provides positive airway pressure that keeps the airways open
It IMPROVES OXYGENATION
It is used in people with type 1 respiratory failure
E.g. if someone has pulmonary oedema and is not getting better, you may give them CPAP
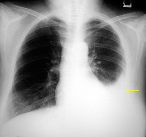
Describe the management of a primary pneumothorax that is: < 2 cm > 2 cm
< 2cm Discharge and repeat CXR
> 2 cm Aspiration If that fails, insert a chest drain
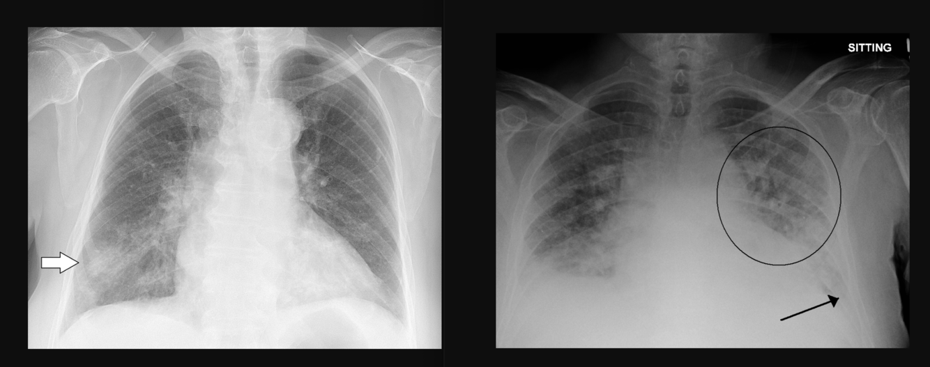
Describe the management of a secondary pneumothorax that is: < 2 cm > 2 cm
< 2cm Aspiration
> 2 cm Chest drain
What important feature of the chest drains must the patient be made aware of when they have on put in?
There is an underwater seal and it should be bubbling as the air comes out It should be kept below waist height
State a cause of homogenous white shadowing in the lung field on CXR.

Pleural effusion
State a cause of reticulo-nodular shadowing on CXR

Interstitial lung disease (e.g. pulmonary fibrosis)
State causes of fluffy white shadowing on CXR.

Pus – e.g. pneumonia (left)
Fluid – e.g. pulmonary oedema (right)
What is the first step in the acute management of a patient with PE? What are RBBB and Right Axis Deviation signs of?
High flow oxygen
State three ECG changes that may be seen in a patient with PE.
(all sugest RV strain which could be due to PE)
NOTE: ECG is not diagnostic of PE; normal ECG doesn’t exclude PE

How do you determine axis deviation on an ECG?
Look at leads I and II – are either of them overall negative? If either of them is overall negative – there is axis deviation Then look at lead aVL
What are RBBB and Right Axis Deviation signs of?
Right sided heart strain
What is the next step in the acute management of a patient with PE?
Low molecular weight heparin (e.g. enoxaparin, tinzaparin, dalteparin)
Explain BiPAP.
Form of non-invasive ventilation Provides positive pressure outside the lungs at the beginning of inspiration (iPAP) so that air goes into the lungs When the patient expires, the pressure doesn’t drop down to zero, it is maintained at an expiratory positive airway pressure (ePAP) NOTE: if iPAP = ePAP then it is CPAP
In what condition is BiPAP used?
Respiratory acidosis NOTE: COPD can cause CO2 retention and respiratory acidosis
Why is it important to continue LMWH for a few days once warfarin has been started?
Because warfarin causes a transient procoagulant phase due to the inhibition of protein C and protein S LMWH needs to be continued for a few days until INR remains within the target range for > 24 hours
What are the indications for thrombolysis in a case of PE?
Massive PE and blood pressure has dropped (haemodynamic compromise) What is the main diagnostic test for PE? CTPA
What important type of medication should patients a pneumothorax requiring a chest drain be put on?
Regular analgesia (the chest drain is very painful)