What are the two groups of sex organs and what does each contain?
Primary Sex Organs - produce gametes (ovaries, testes)
Secondary/Accessory Sex Organs - nourish gametes and transport them (glands, external genitalia)
What are the primary and secondary sex organs of the male?
Primary - Testes (produce sperm & testosterone)
Secondary -
17

Testes
18

Scrotum
3

Penis
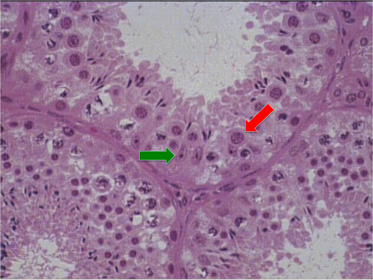
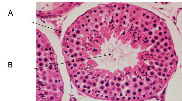
What is the round structure shown here?
What is their function and what are their cells?

Seminiferous Tubule
Indicated by blue arrows:

Spermatogonia
Green arrow:
What is it?
What is its function?

Sertoli (Sustentacular) Cells

part A

Leydig (interstitial) Cells
What is the process of sperm cell production called? And what are its two stages?
Spermatogenesis
Stage 1: _Meiosis _
Stage 2: Spermiogenesis - spermatids differentiate into mature sperm
What are the stages of spermatogenesis from spermatogonium to spermatozoa?
What is the order of the reproductive duct system in males from seminiferous tubule to urethra?
What do A, B and C make up?
What are its regions (A, B and C) ?
Its function?

Epididymis
Regions:

Vas (Ductus) Deferens
Starred structure:
What is its covering and what does it contain?

Spermatic Cord
What is this passage?

inguinal canal

Prostatic Urethra

Membranous Urethra
9

Spongy Urethra
Indicated by red arrow:

External Urethral Orifice
What are the three accessory glands of the male reproductive system?
11

Seminal Vesicles

ejaculatory duct