Section 2 Flashcards

(88 cards)

1
Q

HistoRY You are called to see a 17-month-old male child who is currently in
the children’s ward.
He was brought into Accident and Emergency by his mother due to grunting and
looking red in the face. Two hours earlier he was eating ‘Bombay mix’ when he
had an episode of coughing and went blue. Shortly afterwards he recovered and
was well enough to eat a banana and chocolate biscuit
Past Medical History Full-term normal delivery
Vaccinations up-to-date
No previous anaesthetics
on examination Playing in the ward
Temperature: 37°C
Spo2: 94% on air
Respiratory rate: 22/min
on auscultation: harsh breath sounds on the left with some basal
crepitations
investigations Chest X-rays provided
summarise the case.

A
How well did you know this?
1
Not at all
2
3
4
5
Perfectly
2
Q

What are the anaesthetic
concerns?

A

• Paediatric case
• Risk of aspiration (Wait until fasted—not urgent)
• Possible chemical pneumonia

How well did you know this?
1
Not at all
2
3
4
5
Perfectly
3
Q

What are the signs of respiratory
distress in children?

A
How well did you know this?
1
Not at all
2
3
4
5
Perfectly
4
Q

explain the cXRs.

A

X-ray on inspiration
• Minimal hyperinflation seen on the left lung
• No foreign body (FB) seen
X-ray on expiration
• Hyperinflation of the left lung.
• In both inspiration and expiration images the diaphragms have not
moved.
• FB—not seen on the X-ray.

How well did you know this?
1
Not at all
2
3
4
5
Perfectly
5
Q

explain pathophysiology of hyperinflation (ball-valve mechanism).

A

• On inspiration both lungs will tend to appear similar in terms of their degree of aeration. The reason for this is that the trachea and bronchi normally widen on inspiration, allowing passage of air into the affected lung past the foreign body.
• On expiration the foreign body can obstruct the bronchi as the diameter of the bronchi decreases slightly on expiration. The greatest difference in lung aeration will therefore be seen on the expiration image as air is exhaled from the normal lung (right lung) but not from the affected lung (left lung).

How well did you know this?
1
Not at all
2
3
4
5
Perfectly
6
Q

it was planned to take this child to theatre for eUA for removal of foreign body. Would you use any premedication in this child? if yes,
what would you prescribe?

A

Antisialogouges
Atropine/Glycopyrollate
• Atropine dose 20–40 mcg/kg PO; max dose 500 mcg
Pros: reduce secretions, so reduces suctioning during bronchoscopy, vagolytic
Cons: thickening of mucus
eMLA/Ametop
• EMLA: 2.5% lidocaine and 2.5% prilocaine (leave it on for 45–60 minutes)
• Ametop: Amethocaine (leave it on for 30–45 minutes); causes
vasodilatation

How well did you know this?
1
Not at all
2
3
4
5
Perfectly
7
Q

What is the particular issue with peanuts as a foreign body?

A

These biological substances fragment and cause irritation and chemical pneumonia.

How well did you know this?
1
Not at all
2
3
4
5
Perfectly
8
Q

Explain the anaesthetic management pediatric foreign body aspiration.

A

• Preoperative assessment—anaesthetic and medical history, allergy and starvation status
• A, B, C
• Explain conduct of anaesthesia and consent parents
• Bronchoscopy should be postponed because child is not compromised.
inform
Trained assistant, senior anaesthetist check
• Anaesthetic equipment, airway equipment
• Anaesthetic and emergency drugs
Anaesthetic plan
• Inhalational induction with spontaneous ventilation (sevoflurane + oxygen)
• Avoid N2o (because of hyperinflated lung)
• Prior to bronchoscopy spraying of pharynx and vocal cords with 10% lignocaine (Max. 3 mg/kg, 1 puff = 10 mg)
• Can intubate as it gives surgeon an idea of the size of scope and avoids unnecessary trauma
• The correct size of scope is one which allows an audible leak of 20 cm H2o
• Maintain spontaneous breathing with a T piece attached to a side piece in the bronchoscope
• A small dose of neuromuscular blocking agent or propofol to aid extraction of the foreign body through the cords
• Once the procedure is finished, a tracheal tube can be inserted if a full stomach is considered a problem, and the patient woken up and extubated once protective reflexes have returned.
• Analgesia not usually required as the procedure is not painful.
Paracetamol can be given as required.

How well did you know this?
1
Not at all
2
3
4
5
Perfectly
9
Q

What are the different types of
bronchoscopes?

A

• Rigid: STORZ ventilating bronchoscope, Venturi scopes
• Flexible: Fibreoptic scope (Dormia basket can be used to extract foreign
body)

How well did you know this?
1
Not at all
2
3
4
5
Perfectly
10
Q

What are the complications of bronchoscopy, particularly with rigid bronchoscopes?

A

Trauma to lips, teeth, base of tongue, epiglottis, and larynx.
• Damage to the tracheobronchial tree is rare but causes pneumothorax, pneumomediastinum, and surgical emphysema.
• Haemorrhage is usually minor and settles spontaneously.

How well did you know this?
1
Not at all
2
3
4
5
Perfectly
11
Q

The child is in recovery. The nurse is concerned as he is tachycardic and in respiratory distress.
What are the differential diagnoses?

A

• Residual anaesthetic
• Hypothermia
• Hypovolemia
• Hypercarbia
• Laryngospasm
• Aspiration
• Anaphylaxis
• Barotrauma

How well did you know this?
1
Not at all
2
3
4
5
Perfectly
12
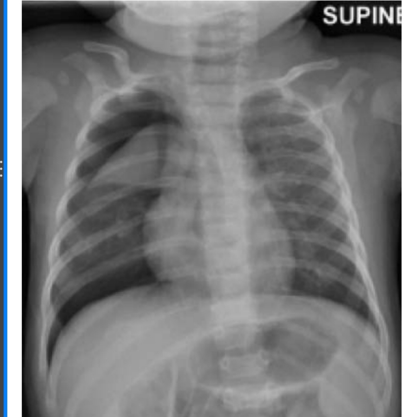
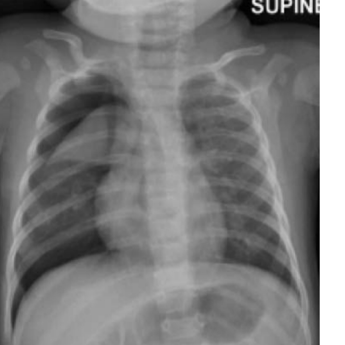
Q

An X-ray is done in recovery.
see Figure 2.3. What is your
diagnosis?

A

Barotrauma and right-sided pneumothorax with mediastinal shift.

How well did you know this?
1
Not at all
2
3
4
5
Perfectly
13
Q

What are the clinical signs you would expect in a child with pneumothorax?

A

• Hypoxic
• May be shocked
• Decreased air entry and hyper resonance on affected side
• Distended neck veins
• Later, trachea deviates away from affected side

How well did you know this?
1
Not at all
2
3
4
5
Perfectly
14
Q

How would you manage?

A

• High flow oxygen via reservoir mask
• Immediate needle thoracocentesis to relieve tension
• Chest drain urgently to prevent recurrence

How well did you know this?
1
Not at all
2
3
4
5
Perfectly
15
Q

After he recovers, he is thirsty.
Would you give him fluids?

A

No. It can be given after the lignocaine wears off; wait at least 1 hour.

How well did you know this?
1
Not at all
2
3
4
5
Perfectly
16
Q

A 37-year-old female who is 30 minute postpartum with an epidural
suddenly becomes short of breath and is worsening.
What are possible causes?

A

Patient factors
• Asthma
• Pulmonary infection
• Anaemia
obstetric factors
• Preeclampsia
• Amniotic fluid embolism (AFE)
• Pulmonary embolism
• Ergometrine use
• Cardiomyopathy
Anaesthetic factors
• High block assuming that the epidural is still being used in this case
Another way to classify the differential diagnoses is to take the obstetric
versus nonobstetric approach.

How well did you know this?
1
Not at all
2
3
4
5
Perfectly
17
Q

What is the pathophysiology of AFe?

A

First described by Steiner in 1941, it is a diagnosis of elimination after other causes of cardiovascular instability and collapse have been rejected. Difficult diagnosis is reflected by a wide ranging incidence of 1:8000 to 1:80 000 deliveries
Pathogenesis
• Embolic: due to an emboli caused by entry of amniotic fluid or fetal cells in the circulation
• Immunological: similar to anaphylaxis as fetal cells are not always present
Presentation
• Occurs usually during labour and delivery (including LSCS) but can occur up to 48 hours post delivery, typically in two phases
• Phase 1: characterised by acute shortness of breath and hypotension followed by cardiac failure, cardiac arrest, pulmonary oedema, acute lung injury, convulsions. and loss of consciousness.
○ The maternal mortality rate is 26%–60%.
• Phase 2: 40% of women who survived the first stage will go on to develop the haemorrhagic phase due to DIC.

How well did you know this?
1
Not at all
2
3
4
5
Perfectly
18
Q

What are the risk factors for AFe?

A

○No proven risk factors, but the following may be associated with a higher risk of developing AFE:
•Advanced maternal age, multiparity, meconium stained liquor, intrauterine fetal death, polyhydramnios, strong frequent or tetanic uterine contractions, microsomia, chorioamnionitis, uterine rupture, and placenta accreta.

How well did you know this?
1
Not at all
2
3
4
5
Perfectly
19
Q

What systemic changes occur during AFe?

A

Haemodynamic changes
• Increase in systemic and pulmonary vascular resistance, resulting in acute pulmonary hypertension, left ventricular dysfunction and pulmonary oedema.
• Myocardial dysfunction results from ischaemia and as a direct depressant effect of endothelin and humoral factors.
Pulmonary
• Vasospasm and ventricular dysfunction lead to hypoxia.
• Survivors develop an ARDS-like picture.
coagulation
• DIC
• Amniotic fluid contains activated coagulation factors II, VII, and X. It induces platelet aggregation, releases platelet factor III, and has a thromboplastin-like effect.
• The clinical picture is one of massive haemorrhage and haemodynamic
collapse.

How well did you know this?
1
Not at all
2
3
4
5
Perfectly
20
Q

What is the management of AFe?

A

○ The management is mainly supportive, invasive monitoring, and transfer to ITU.
Management goals in the operating theatre are
• Maintaining oxygenation—use of PEEP.
• Haemodynamic stability—inotropes are usually required.
• Maintenance of uterine tone.
• Management of DIC—Liaise with haematologist. FFP, cryoprecipitate, and platelets are usually required. Recombinant factor VII has been used in massive haemorrhage.

How well did you know this?
1
Not at all
2
3
4
5
Perfectly
21
Q

A 66-year-old previously fit and well male patient had a total hip replacement under a general anaesthetic. In recovery, he is complaining of unilateral eye pain.
What is your differential diagnosis?

A

ocular causes
•Conjunctivitis
•Corneal abrasion
•Corneal ulceration
•Foreign body
•Trauma
orbital causes
•Glaucoma
•Iritis
•optic neuritis
•Migraine
•Trauma

How well did you know this?
1
Not at all
2
3
4
5
Perfectly
22
Q

What are the most common/likely causes of painful eye?

A

• Corneal abrasion due to mask, eye tape, and decreased tear production
• Chemical injury from antiseptic solutions and drugs
• External pressure resulting in optic neuropathy
• Retinal ischaemia
• Exacerbation of glaucoma

How well did you know this?
1
Not at all
2
3
4
5
Perfectly
23
Q

What are the factors that make a patient high risk to attaining an eye injury?

A

• Position
° Lateral: abrasion/trauma
° Prone: optic nerve pressure/conjunctival oedema
• Pre-existing eye disease
• History of diabetes and hypertension
• Prolonged surgery

How well did you know this?
1
Not at all
2
3
4
5
Perfectly
24
Q

What is glaucoma?

A

Glaucoma is the condition where the free flow of aqueous humour is hindered, which can increase the intraocular pressure (IoP).
• Closed angle
• Open angle
• Normal tension glaucoma
In all types of glaucoma the loss of vision is due to optic nerve damage

How well did you know this?
1
Not at all
2
3
4
5
Perfectly
25
What is open- and closed-angle glaucoma?
○ Open-angle glaucoma (chronic glaucoma) is the condition in which aqueous fluid drains very slowly due to clogging of the trabecular mesh. ○ Closed-angle glaucoma, also called acute glaucoma, is an ophthalmologic emergency. •This occurs when the iris completely blocks fluid access to the trabecular meshwork. •The pressure builds up, causing the patient excruciating eye pain, and vision is lost quickly. ○ In normal tension glaucoma optic nerve damage is present but with normal IoP. •The cause is mainly familial and history of systemic heart disease such as irregular heart rhythm.
26
What are the determinants of ioP? What are the normal values?
IoP is dependent on • Contents, such as volume of aqueous, vitreous, and blood • Scleral compliance • Tone of extra ocular muscles • Drainage of aqueous, which depends on venous pressure Normal IoP = 16+/− 5 mmHg; >25 mmHg is pathological.
27
can the ioP be normal in glaucoma?
Yes. In open-angle and normal tension types, the IoP can be normal. The sclera adapts to increased volume, and hence IoP is normal.
28
explain the pathophysiology of closed-angle glaucoma.
○ Normally the aqueous humour produced by the ciliary body is drained to the veins through the Canal of Schlemm. ○ If the angle between iris and cornea is acute/blocked, then the drainage is affected, resulting in increased intraocular pressure. • Pain and loss of sight in extreme conditions; “silent thief of sight” Avoid drugs that dilate the pupils as this also can close the angle. See Figure 2.6
29
What is the effect of anaesthesia on ioP?
Consider IoP equivalent to ICP and structure your answers similarly. Any increase in volume and pressure intraocularly and obstruction to venous drainage would cause an increase in IoP. • IV induction drugs: decrease IOP except ketamine. • Muscle relaxants: suxamethonium increases IOP up to 10 mmHg due to extraocular muscle twitching. This can be overcome by giving adequate dose of IV induction agents. Nondepolarising muscle relaxants decrease IoP. • Hypoxia, hypercarbia, neck ties/coughing: increase IOP
30
How would you decrease the ioP in an acute setting?
General • Head up tilt • Avoid neck ties/coughing/vomiting, etc. • Maintain oxygenation, and avoid hypercarbia and hypotension. Drugs • Acetazolamide • Mannitol • Propofol
31
can you tell me the pathway of the light and corneal reflexes?
1. Pupillary (light) reflex ○ Afferent—Optic nerve, which terminates in the pretectal area of midbrain. ○ Axons from here then radiate bilaterally to terminate in the Edinger-Westphal nucleus ⊙Ciliary ganglion parasympathetic postganglionic axons travel in the short ciliary nerve and end on the iris sphincter. ○ Efferent—Oculomotor nerve ○ Ganglion—Ciliary ganglion ○ Central mediator—Occipital lobe of brain 2. corneal reflex ○ Afferent—Ophthalmic or nasociliary division of trigeminal nerve trigeminal nerve trigeminal ganglion spinal trigeminal tract spinal trigeminal nucleus ○ Efferent—Facial motor neurons facial nerve branch to orbicularis oculi ○ Ganglion—Trigeminal ganglion ○ Central mediator—Pons
32
Describe the blood supply of the spinal cord.
The spinal cord derives its blood supply from a single anterior spinal artery (ASA), paired posterior spinal arteries (PSA), and by the communicating segmental arteries and the pial plexus. AsA Single artery formed at the foramen magnum by the union of each vertebral artery. Blood flows centrifugally supplying the anterior two-thirds of the spinal cord in front of the posterior grey column. PsA Derived from the posterior inferior cerebellar artery (PICA) or vertebral artery, with blood flowing centripetally in this arterial system. The arteries lie along the postero lateral surface of the spinal cord medial to the posterior nerve roots. Pial arterial plexus Surface vessels branch from the ASA and PSA forming an anastomosing network that penetrates and supplies the outer portion of the spinal cord. segmental branches Segmental or radicular branches arise from various arteries—vertebral, deep cervical, costo cervical, aorta, and the pelvic vessels. Arteria radicularis magna, or the artery of Adamkiewicz Arises from the thoracolumbar part of the aorta, usually on the left, and enters the spinal cord at the level of L1. Various regions of spinal cord are vascularised unevenly. The cervical and lumbosacral parts are well vascularised whereas the thoracic part of the spinal cord, especially the anterior region, derives the branches from intercostal and iliac arteries, which vary in location and numbers making it prone to ischaemic damage. See Figures 2.7 and 2.8.
33
Describe the venous drainage of the spinal cord. What is its importance?
○ Radicular and spinal veins drain into the internal vertebral venous plexus and later drain into the azygos system and the superior vena cava. ○ The plexus communicates with the basilar sinus in the brain and with the pelvic veins and inferior vena cava. ○ So in patients with increased intra-abdominal pressure, blood is diverted from the inferior vena cava to the plexus, leading to engorgement of epidural veins. a. This increases the risk of accidental venous puncture during the conduct of epidural anaesthesia. b. It also decreases the effective epidural space volume, thereby requiring a smaller volume of local anaesthetic
34
Which part of the spinal cord acts as a watershed zone?
○ Watershed effect occurs when two streams of blood flowing in opposite directions meet. ○ This happens where the radicular artery unites with the ASA, where blood courses upward and downward from the entry point, thus leaving a watershed region between the adjacent radicular areas where blood flows in neither direction. ○ The watershed effect is maximum in the mid-thoracic area due to the greater distance between the radicular arteries
35
What are the causes for poor blood supply to the cord?
1. Trauma 2. Rupture of aortic aneurysm 3. Dissection of the aorta 4. Inflammation of aorta—vasculitis, collagen disorders 5. Venous hypertension 6. Degenerative spinal diseases and disc herniation 7. Severe atherosclerosis and luminal narrowing 8. Iatrogenic • Vasoconstrictors in epidural space • Surgical cross clamping of the aorta • Coeliac plexus block • Deliberate/accidental hypotension
36
What are the risk factors for spinal cord ischaemia during aortic surgery?
○ According to recent statistics, incidence of spinal cord ischaemia following thoracoabdominal aortic aneurysm repair is 3% –18% despite improved surgical technique, transfusion, and perfusion technology. ○ The factors that determine the neurological outcome after aortic cross clamping are: 1. Presence of predisposing factors, such as atherosclerosis, diabetes, and renal disease 2. Extent of aneurysm 3. Duration of cross clamp 4. Surgical difficulty 5. Previous aortic surgery 6. Severity of perioperative hypotension
37
What are the different spinal cord protection strategies undertaken during thoracoabdominal aneurysm repair?
1. Mild systemic hypothermia (32°–34°C): The most reliable protective adjunct and helps by decreasing metabolic demands and attenuating inflammatory response to ischaemia. 2. Maintaining spinal cord perfusion pressure (SCPP) depends on the mean arterial pressure and cerebrospinal fluid pressure (CSFP). SCPP = MAP − CSFP Cross-clamping leads to proximal hypertension and increased cerebrospinal fluid pressure. So controlling the arterial pressure with vasopressors or decreasing CSFP via lumbar drains plays a significant role in maintaining SCPP. 3. Distal aortic shunting through femorofemoral bypass and left heart bypass increases the blood flow to the distal aorta. 4. Pharmacological neuroprotection: Agents such as free radical scavengers, barbiturates, steroids, opiate antagonists, etc., have been evaluated in decreasing the risk of ischaemic damage of the cord. 5. Monitoring spinal cord function with MEPs/SSEPs have proved effective in preventing damage by avoiding important radicular arteries.
38
What is AsA syndrome? What are the findings?
○ ASA syndrome—problems in the anterior spinal artery territory resulting in critical ischaemia of the anterior part of the spinal cord. ○ The characteristic findings are Motor • Loss of motor function bilaterally below the level of lesion due to the involvement of corticospinal tracts Sensory • Loss of spinothalamic tracts resulting in bilateral thermoanaesthesia • But intact light touch, vibration, and proprioception due to preservation of posterior columns Autonomic • Sexual dysfunction; loss of bladder and bowel function due to the effect on descending autonomic tract See Figure 2.9.
39
What are the causes of increased co2 intra-operatively?
• Hypoventilation • Rebreathing • Sepsis • Malignant hyperpyrexia (MH) • Skeletal muscle activity/hypermetabolism • CO2 insufflation
40
How would you manage hypercapnia?
• Increase ventilation • Change soda lime or increase flows • Increase depth of anaesthesia, muscle relaxants • Specific treatment of MH
41
What are the causes of raised co2 during a laparoscopic procedure?
• Hypoventilation • CO2 insufflation • CO2 embolism
42
What are the causes of raised co2 during a laparoscopic procedure?
• Hypoventilation • CO2 insufflation • CO2 embolism
43
Are there any contraindications for laparoscopic procedure?
Medical contraindications to laparoscopic surgery are always relative. Successful laparoscopic surgery has been performed on anticoagulated, pregnant, and morbidly obese patients.
44
What are the problems with gas insufflation?
• Cardiovascular ° ‚cardiac index: ‚venous return due to compression of IVC and Trendelenburg position ° ·SVR: Aortic and splanchnic compression ° ·MAP ° Ischaemia: alteration in supply and demand ° Arrhythmia: Vagally mediated and ventricular due to high Co2 ° Cardiac failure • Respiratory ° ‚FRC - Diaphragmatic splinting and cephalad displacement - Atelectasis - Pulmonary shunting - Hypoxaemia ° ·Airway pressures: barotrauma or pneumothorax ° ·Co2: Rises by 1 kPa—needs 25% increase in minute volume ° Endobronchial intubation ° Gas embolism: Rare and Co2 is safe • Renal effect: ‚Renal blood flow and GFR • Acid aspiration
45
At what intraabdo inalpressures is a healthy patient at risk of cardiovascular compromise?
>20 mmHg >30 mmHg, Cardiac index might fall by 50%
46
What are the issues with positioning?
• Head up: Hypotension and cerebral hypoperfusion • Head down: Cerebral oedema, retinal detachment (long operations) • Soft tissue damage due to pressure; e.g. Brachial plexus injury with pressure on the shoulder and neck if used with harness to prevent the patient from slipping down with extreme head down.
47
What are advantages and disadvantages of laparoscopic surgery?
Pros: • Pulmonary function better preserved following laparoscopic surgery; FVC‚ 27% after laparoscopic surgery and by 48% after open surgery • Less painful, earlier discharge from hospital • Cosmetic appealing surgical scars cons: • Postoperative nausea and vomiting—50% of patients require antiemetics, so prophylactic antiemetics may be given routinely • Pain following laparoscopic surgery consists of early transient vagal abdominal and shoulder discomfort due to peritoneal irritation by residual carbon dioxide
48
What are the factors that determine the morbidity in gas/air embolism?
• Volume of gas entrainment: The closer the vein of entrainment is to the right heart, the smaller the lethal volume. - As little as 0.5 mL in Lt anterior descending artery or 2 mL in cerebral circulation is fatal. Traditional estimation is 5 mL/kg • Rate of accumulation: > 0.30 mL/kg/min • Patient’s position at the time of the event
49
What is the pathophysiology of gas embolism?
• Pressure effect: Air entering the systemic venous circulation puts a substantial strain on the right ventricle, and rise in pulmonary artery pressures. This increase in PA pressure can lead to right ventricular outflow obstruction and decrease pulmonary venous return to the left heart, which in turn would lead to resultant decreased cardiac output and eventual systemic cardiovascular collapse. • Inflammatory effect: The air embolism effects on the pulmonary vasculature can lead to serious inflammatory changes in the pulmonary vessels such as direct endothelial damage and accumulation of platelets, fibrin, neutrophils, and lipid droplets. Secondary injury as a result of the activation of complement and the release of mediators and free radicals can lead to capillary leakage and eventual noncardiogenic pulmonary edema. • V/Q mismatch: Alteration in the resistance of the lung vessels and ventilation-perfusion mismatching can lead to intra-pulmonary right-to-left shunting and increased alveolar dead space with subsequent arterial hypoxia and hypercapnia.
50
A 78-year-old female is booked for bunion operation. She complains of chest pain on her right side, cough, and weight loss. How do you preassess her?
History • Anaesthetic history, paying particular attention to cardiac and respiratory function • Smoking history examination • Signs of weight loss and cachexia • Cardiovascular and respiratory examination investigations • Routine bloods, cross matching • Arterial blood gas • Lung Spirometry, diffusion capacity (DLCO), predicted postoperative FEV1 • Cardiopulmonary exercise testing (CPET)
51
What is DLco, and how do you measure it?
DLCo is the diffusion capacity and is calculated by measurement of carbon monoxide taken up by p
52
How do you predict postoperative FeV1?
○ The predicted or estimated postoperative (epo) values of FEV1, FVC, and diffusion capacity can be obtained by consideration of the lung volume removed at surgery. ○ For lobectomy, the simple calculation uses the number of bronchopulmonary segments removed compared with the total number (19) in both lungs. Example: Consider a patient with a preoperative FEV1 of 1.6 litre, which is 80% of predicted normal. For right middle lobectomy (two segments), epo-FEV1 = 1.6 × 17/19 = 1.43 litre ppo-FEV1% = 80% × 17/19 = 71% ○ often a V/Q scan is used to measure how much the lung that will not be operated on contributes to lung function and then combine with a formula to calculate postoperative FEV1.
53
What values of the lung function tests would you accept before proceeding to surgery?
○ The flow chart in Figure 2.5 is an amalgamation of the British Thoracic Society and American College of Chest Physicians’ guidelines. ○ The initial screening tool is of preoperative measured FEV1 with >2 litre required for pneumonectomy and >1.5 litre for lobectomy. ○ If there is no diffuse lung disease and no comorbidity, achievement of the appropriate lung volume is sufficient. ○ When these threshold lung volumes are not present, full respiratory function testing allows calculation of the predicted postoperative FEV1 and DLCo. ○ If both are >40% and the oxygen saturation is >90% on air, the patient is in an average risk group. If either (or both) the predicted postoperative FEV1 or DLCo are <40%, the patient should undergo formal CPET. ○ The threshold Vo2 max of 15 ml/kg/min delineates between high- and medium-risk patients. ○ This patient is undergoing a thoracotomy and lung resection.
54
What are your airway options?
For thoracotomy, one lung ventilation is desired and hence you can use a double lumen tube (DLT) or bronchial blocker.
55
How would you choose and insert a DLt?
• Commonly used tube is left-sided Mallinckrodt. Size 39–41 for male and 37 for female. • Insert with stylet, pass vocal cords, then remove stylet, and rotate the tube to 90 degrees and advance. once resistance is felt, inflate tracheal cuff and check both lungs. • Then inflate bronchial cuff and clamp off tracheal lumen. Confirm single lung ventilation. Repeat on opposite side. • Gold standard: Check with fibreoptic scope before and after positioning. on the left side, blue bronchial cuff should just be visible below carina; on the right side, also check that right upper lobe corresponds to opening “slit” in distal bronchial lumen.
56
What are the pain relief options postop?
• Systemic • Paracetamol, NSAIDs, IV opioids • Neuraxial ° Epidural—Gold standard but failure rate and hypotension from bilateral sympathetic blockade. ° Intrathecal—Not often used. ° Paravertebral—Getting more popular, can be placed by surgeon by direct vision or anaesthetist. Single-side blockade makes for less incidence of hypotension. ° Intercostal and intrapleural—Can be used but the limited effectiveness makes its use not as popular.
57
name the compounds used to absorb carbon dioxide in the breathing system.
• Soda lime - Commonly used, it has been proven that presence of sodium hydroxide, at any level, provides the basis for anaesthetic agent dehalogenation, which can lead to formation of compound A and carbon monoxide. • Baralyme or barium lime - It is made of 80% calcium hydroxide and 20% barium hydroxide. This is less efficient than soda lime and also produces compound A more quickly. • Litholyme or lithium lime - Also an effective carbon dioxide absorbent, litholyme is free of the strong bases (NaoH, KoH) and does not produce compound A or carbon monoxide. - Lithium chloride acts as the catalyst to accelerate the formation of calcium carbonate. • Amsorb - Contains calcium hydroxide and calcium chloride and is not associated with the formation of carbon monoxide or compound A. • Amsorb Plus - It is a new generation carbon dioxide absorbent, free from strong alkali metal hydroxides. - It utilizes calcium hydroxide as the active base with minor constituents that promote speed and capacity of absorption. - Amsorb Plus is specifically designed for low and minimal flow anaesthesia. • Dragersorb and Medisorb - These are produced by Drager and GE healthcare, respectively, with varying proportions of constituents.
58
Describe soda lime in detail
○ Soda lime consists of 94% calcium hydroxide, 5% sodium hydroxide, and a small amount of potassium hydroxide (0.1%) and silica to prevent disintegration. ○ A dye or colour indicator such as ethyl violet is also added, which changes the colour when the soda lime is exhausted. - This happens at pH < 10. pH 13.5 ○ Moisture content 14%–19% ○ 1 kg absorbs 120 L of carbon dioxide ○ When exhaled gases reach the canister, carbon dioxide absorption takes place and heat and water are produced. The warmed and humidified gas rejoins the fresh gas flow (FGF). ○ In a patient with tidal ventilation of 6 L/min and Co2 production of 250 ml/min, the soda lime will be exhausted in 6 hours at FGF of 1 L/min and in 8 hours if the FGF is 3 L/min.
59
What is the chemical reaction during the absorption of co2 by soda lime?
Co2 + H2o H2Co3 then H2Co3 + 2 KoH - K2Co3 + 2 H2o + Energy then K2Co3 + Ca(oH)2 - CaCo3 + 2KoH oR Co2 + 2NaoH Na2Co3 + H2o + heat then Na2Co3 + Ca(oH)2 CaCo3 + 2NaoH Each mole of Co2 (44 g) reacted produces one mole of water (18 g). The overall reaction is Ca(oH)2 + Co2 CaCo3 + H2o + heat
60
What are the harmful products that are formed when using soda lime?
compound A • Is a fluoro methyl ether produced when sevoflurane is used with soda lime due to dehydrohalogenation in the presence of KoH. • Factors that increase the production of compound A are ° High sevoflurane ° Increasing temperature ° Low FGF ° Use of baralyme carbon monoxide • Occurs when inhalational agents with CHF2 moiety such as desflurane, enflurane, and isoflurane are used with desiccated soda lime granules. This happens when the system is left unused for a long time. This can lead to formation of carboxyhaemoglobin and can be significant in smokers especially when very low flows are used. • Factors increasing the production of CO include ° Type of inhaled anaesthetic agent (magnitude of Co production from greatest to least is desflurane > enflurane > isoflurane > sevoflurane) ° High absorbent dryness ° Type of absorbent (at a given water content, baralyme produces more Co than soda lime) ° Increased temperature ° Higher anaesthetic concentration • Other insignificant substances like methane, acetone, ethanol, etc.
61
What is the size of the soda lime granules? How does this affect its performance?
The typical size is expressed as between 4–8 mesh. It means the granules will pass through a mesh with 4–8 strands per inch in each axis. The uniformity in size is necessary to provide a smooth flow. They should provide larger surface area but lesser resistance to flow. Bigger molecules would cause gas channelling, and smaller granules can increase the resistance to gas flow
62
What are the uses and advantages of using soda lime?
• Anaesthetic use • Non anaesthetic use—in submarines and recompression chambers • Metabolic monitoring—in alkaline fuel cells to extract carbon dioxide as it affects the measurement Advantages • Permits low flows without rebreathing carbon dioxide, making the system cost effective • Less waste and pollution • Humidification of inspired gases due to the inherent exothermic reaction
63
is the colour indicator always accurate and represent the usage of soda lime?
No. The decrease in pH causes the indicator to change colour, so any product that causes a decrease in pH can mimic an exhausted soda lime. In partial exhaustion, the carbonic acid levels increase and cause the change in colour of the indicator. If the soda lime is unused, then the free hydroxyl ions from the depth of the canister migrate to the surface and neutralise the acid, reverting the colour change. As a result, the soda lime appears fresh although it is partially exhausted.
64
What are the clinical signs of soda lime exhaustion?
No. The decrease in pH causes the indicator to change colour, so any product that causes a decrease in pH can mimic an exhausted soda lime. In partial exhaustion, the carbonic acid levels increase and cause the change in colour of the indicator. If the soda lime is unused, then the free hydroxyl ions from the depth of the canister migrate to the surface and neutralise the acid, reverting the colour change. As a result, the soda lime appears fresh although it is partially exhausted.
65
What are the clinical signs of soda lime exhaustion?
• Increased spontaneous respiratory rate in the absence of muscle relaxant • Increase in sympathetic drive • Respiratory acidosis • Increased surgical bleeding due to hypertension and coagulopathy
66
What are the pros and cons of using a circle system?
Advantages • Economy of anaesthetic consumption • Warming and humidification of the inspired gases • Reduced atmospheric pollution Disadvantages • Unstable if closed-system is used • Slow changes in the inspired anaesthetic concentration with low flows and out-of-circuit vaporiser
67
What are the components of a circle system and rough dimensions of tubing?
• CO2 absorber canister • Breathing bag • Unidirectional inspiratory and expiratory valves • Fresh gas supply • Pressure-relief valve • Corrugated hoses and a Y-piece The body of the absorber is connected to the patient by means of inspiratory and expiratory tubes and a Y-piece the size of which is important when anaesthetising paediatric patients as very small tidal volumes may not generate enough pressure to open the valves effectively. The effective dead space of the Y-piece is larger than it appears, and so there can be rebreathing of exhaled gas. These difficulties are overcome by the use of purpose-built infant absorbers and paediatric tubing and Y-pieces.
68
What drugs are used in the treatment of malignancy?
This is one of the difficult questions but keeps reappearing at the FRCA. control of disease progression • Cytotoxics immunosuppressants • Immunoglobins, anti-lymphocytes such as cyclosporine and tacrolimus control of symptoms • Analgesics • Antiemetics • Anxiolytics • Antisialogogues Prevent/treat metastasis • Bone-modifying drugs (e.g., Alendronic acid)
69
classify cytotoxic drugs.
• Alkylating agents Act by chemically altering DNA by adding alkyl groups to the electronegative groups of cancer cells. (e.g. Cisplatin, Carboplatin, Chlorambucil, Cyclophosphamide) • Anti-metabolites The anti-metabolites function as the building blocks of DNA by imitating the role of purine or pyrimidine and stop cell division. (e.g. Methotrexate, cytarabine) • Plant alkaloids They block cell division by inhibiting microtubule function. (e.g. vinca alkaloids) • Topoisomerase inhibitors Topoisomerases are enzymes that are essential to maintain the topology of the DNA. Interfering with these enzymes prevents the normal functions of the DNA, such as transcription, replication, and repair. (e.g. amasacrine and etoposide) • Antitumour antibiotics (e.g. Dactinomycin, daunorubicin, doxorubicin) • Hormones Prednisone and dexamethasone in high doses can damage lymphoma cells. Tamoxifen is a selective oestrogen receptor modulator. Finasteride is a 5 alpha reductase inhibitor. • Monoclonal antibodies Monoclonal antibodies attach themselves to tumour-specific antigens, thereby increasing immune response to tumour cell. (e.g. rituximab, cetuximab, trastuzumab)
70
What are the common side effects of chemotherapy drugs?
Pulmonary toxicity • Infection due to neutropenic myelosuppression • Pneumonitis: methotrexate and cyclophosphamide • Pulmonary fibrosis: bleomycin cardiac toxicity • Arrhythmias, myocardial infarction, congestive cardiac failure, cardiomyopathy, myocarditis, and pericarditis: cyclophosphamide • Torsades de Pointes: cisplatin and anthracyclines Renal toxicity • Acute and chronic renal failure: cisplatin and carboplatin Hepatotoxicity • Fatty change, cholestasis, and hepatocellular necrosis: methotrexate and cyclophosphamide neurotoxicity • Peripheral and cranial neuropathy, autonomic dysfunction, and seizures: Vinca alkaloids and methotrexate Haematological toxicity • Myelodepression and neutropenic sepsis: most agents
71
What specific problems arise with the use of steroids?
Water and sodium retention, hypokalaemia, hypertension, hyperglycaemia, diabetes, osteoporosis, proximal myopathy, dyspepsia, peptic ulcer, euphoria, depression, infection, poor wound healing, Cushing’s, etc
72
What are the problems in methotrexate?
Increased infection, abnormal LFTs, thrombocytopenia, photosensitivity
73
What is tumour lysis syndrome (tLs)?
It is a group of metabolic complications that can occur after treatment of cancer, usually lymphomas and leukaemias. Precipitating medication includes combination chemotherapy or steroids, and it sometimes occurs without any treatment and is known as ‘spontaneous tumour lysis syndrome’.
74
What are the pathophysiological changes in tLs?
Hyperkalaemia High turnover of tumour cells leads to spill of potassium into the blood. • Cardiac conduction abnormalities (can be fatal) • Severe muscle weakness or paralysis Hyperphosphataemia Causes acute renal failure because of deposition of calcium phosphate crystals in the renal parenchyma Hypocalcaemia Calcium precipitates with phosphate to form calcium phosphate, leading to hypocalcaemia. • Tetany • Seizures • Emotional instability/agitation/anxiety • Myopathy Hyperuricaemia Acute uric acid nephropathy (AUAN)
75
How can tLs be prevented?
• Adequate IV hydration • Alkalinisation of urine • Prophylactic oral or IV allopurinol • Rasburicase as an alternative to allopurinol
76
Describe the analgesia in cancer patients.
Simple analgesics: Paracetamol and nonsteroidal agents Weak opioids: tramadol and codeine Strong opioids: morphine, diamorphine in oral, parenteral, transdermal and neuraxial routes Special drugs: gabapentin, pregabalin Nerve blocks
77
What is breakthrough pain?
Breakthrough pain is defined as pain of moderate or severe intensity occurring against a background of controlled chronic pain. It could be spontaneous, incidental, or procedural. As with any cancer pain, treatment relies on detailed assessment and formulation of a multidisciplinary therapy plan. Rapid acting opioids have been successfully used to treat breakthrough pain, but it remains a difficult therapeutic problem.
78
What are the causes of increased co2 intra-operatively?
• Hypoventilation • Rebreathing • Sepsis • Malignant hyperpyrexia (MH) • Skeletal muscle activity/hypermetabolism • CO2 insufflation
79
How would you manage this?
• Increase ventilation • Change soda lime or increase flows • Increase depth of anaesthesia, muscle relaxants • Specific treatment of MH
80
What are the causes of raised co2 during a laparoscopic procedure?
• Hypoventilation • CO2 insufflation • CO2 embolism
81
Are there any contraindications for laparoscopic procedure?
Medical contraindications to laparoscopic surgery are always relative. Successful laparoscopic surgery has been performed on anticoagulated, pregnant, and morbidly obese patients
82
What are the specific anaesthetic issues for laparoscopic procedures?
• Pneumoperitoneum and its effects • Positioning: extreme head up or head down • Surgical issues: trauma of a viscus, vascular trauma
83
What are the problems with gas insufflation?
• Cardiovascular ° ‚cardiac index: ‚venous return due to compression of IVC and Trendelenburg position ° ·SVR: Aortic and splanchnic compression ° ·MAP ° Ischaemia: alteration in supply and demand ° Arrhythmia: Vagally mediated and ventricular due to high Co2 ° Cardiac failure • Respiratory ° ‚FRC - Diaphragmatic splinting and cephalad displacement - Atelectasis - Pulmonary shunting - Hypoxaemia ° ·Airway pressures: barotrauma or pneumothorax ° ·Co2: Rises by 1 kPa—needs 25% increase in minute volume ° Endobronchial intubation ° Gas embolism: Rare and Co2 is safe • Renal effect: ‚Renal blood flow and GFR • Acid aspiration
84
At what pressures is a healthy patient at risk of cardiovascular compromise?
>20 mmHg >30 mmHg, Cardiac index might fall by 50%
85
What are the issues with positioning?
• Head up: Hypotension and cerebral hypoperfusion • Head down: Cerebral oedema, retinal detachment (long operations) • Soft tissue damage due to pressure; e.g. Brachial plexus injury with pressure on the shoulder and neck if used with harness to prevent the patient from slipping down with extreme head down.
86
What are advantages and disadvantages of laparoscopic surgery?
Pros: • Pulmonary function better preserved following laparoscopic surgery; FVC‚ 27% after laparoscopic surgery and by 48% after open surgery • Less painful, earlier discharge from hospital • Cosmetic appealing surgical scars cons: • Postoperative nausea and vomiting—50% of patients require antiemetics, so prophylactic antiemetics may be given routinely • Pain following laparoscopic surgery consists of early transient vagal abdominal and shoulder discomfort due to peritoneal irritation by residual carbon dioxide
87
What are the factors that determine the morbidity in gas/air embolism?
• Volume of gas entrainment: The closer the vein of entrainment is to the right heart, the smaller the lethal volume. As little as 0.5 mL in Lt anterior descending artery or 2 mL in cerebral circulation is fatal. Traditional estimation is 5 mL/kg • Rate of accumulation: > 0.30 mL/kg/min • Patient’s position at the time of the even
88
What is the pathophysiology of gas embolism?
• Pressure effect: Air entering the systemic venous circulation puts a substantial strain on the right ventricle, and rise in pulmonary artery pressures. This increase in PA pressure can lead to right ventricular outflow obstruction and decrease pulmonary venous return to the left heart, which in turn would lead to resultant decreased cardiac output and eventual systemic cardiovascular collapse. • Inflammatory effect: The air embolism effects on the pulmonary vasculature can lead to serious inflammatory changes in the pulmonary vessels such as direct endothelial damage and accumulation of platelets, fibrin, neutrophils, and lipid droplets. Secondary injury as a result of the activation of complement and the release of mediators and free radicals can lead to capillary leakage and eventual noncardiogenic pulmonary edema. • V/Q mismatch: Alteration in the resistance of the lung vessels and ventilation-perfusion mismatching can lead to intra-pulmonary right-to-left shunting and increased alveolar dead space with subsequent arterial hypoxia and hypercapnia.